چرا برای نصب لمینت نیاز به تراشیدن دندان داریم؟ (بررسی میزان تراش)
- تـاریـخ:
- دسته بندی: مقالات, مقالات لمینت دندان
- نوشته شده توسط آرتمان درمان
- بدون نظر کاربران
فهرست عناوین این نوشتار
یکی از مهم ترین نگرانی های افرادی که قصد انجام لمینت دندان دارند، مقدار تراش برای لمینت دندان است. تصور عمومی این است که برای نصب لمینت، مقدار زیادی از دندان باید حذف شود. اما آیا این تصور درست است؟ واقعیت این است که مقدار تراش در لمینت بسته به نوع طرح درمان، وضعیت دندان، و جنس لمینت، بسیار متغیر است.
در این مقاله، با دقت بررسی می کنیم که دقیقاً چقدر تراش لازم است، چه عواملی بر آن تأثیر می گذارند، و چگونه می توان بین حفظ ساختار طبیعی دندان و رسیدن به لبخند دلخواه، تعادل برقرار کرد.
هدف از نصب لمینت دندان چیست؟
لمینت دندان یک لایه بسیار نازک است که از جنس پرسلن (سرامیک) ساخته می شود. این لایه ظریف روی سطح جلویی دندان ها قرار می گیرد. هدف اصلی از انجام درمان لمینت، اصلاح ظاهر دندان ها از نظر شکل، رنگ، اندازه یا فرم است تا لبخندی زیباتر و هماهنگ تر ایجاد شود.

چرا برای نصب لمینت، میبایست دندان را تراش داد؟
برای اینکه این لایه نازک (لمینت) به طور دقیق و کاملاً متناسب روی سطح دندان قرار بگیرد، معمولاً نیاز به تراش مختصر مینای دندان وجود دارد. مقدار تراش برای لمینت دندان هرچقدر باشد معمولا به دلایل زیر انجام می شود:
- نشستن صحیح لمینت: اگر مینای دندان تراشیده نشود، لمینت روی دندان “نشست” کامل و یکدستی نخواهد داشت و ممکن است لبه های آن برجسته به نظر برسد.
- جلوگیری از ضخامت غیرطبیعی: بدون تراش، دندان به همراه لمینت، ضخیم تر از حد طبیعی به نظر می رسد و حس ناخوشایندی برای فرد ایجاد می کند. تراش جزئی باعث می شود ضخامت نهایی دندان با لمینت، طبیعی و متناسب باشد.
- ایجاد فضای مناسب برای چسبندگی: تراشیدن سطحی از مینای دندان، فضای لازم را برای چسباندن محکم و پایدار لمینت فراهم می کند و اتصال بین لمینت و دندان را بهبود می بخشد.
در مجموع، این مقدار تراش برای لمینت دندان به متخصص ترمیمی و زیبایی دندان کمک می کند تا لمینت را به گونه ای قرار دهد که کاملاً با دندان هماهنگ شود. و از همه مهم تر نتیجه نهایی هم از نظر زیبایی و هم از نظر عملکرد، طبیعی و دلپذیر باشد.

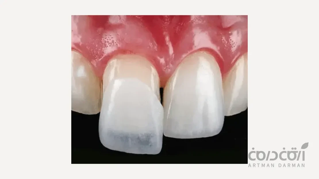
مراحل تراشیدن دندان برای لمینت چگونه است؟
فرآیند تراش دندان برای لمینت، یک مرحله دقیق و کنترلشده است که با هدف حفظ حداکثری بافت سالم دندان انجام میشود. در نخستین گام، دندانپزشک پس از بررسی طرح لبخند و تعیین شکل نهایی لمینت، میزان تراش مورد نیاز را با دقت مشخص میکند. سپس با استفاده از ابزارهای ظریف، لایهای بسیار نازک از مینای سطح جلویی دندان تراشیده میشود تا فضای لازم برای قرارگیری لمینت ایجاد گردد. در این مرحله، ضخامت تراش معمولاً کمتر از یک میلیمتر است و تنها بخشهای ناهموار یا برجسته سطح دندان اصلاح میشوند. پس از اتمام تراش، سطح دندان پالیش و تمیز میشود تا برای قالبگیری دقیق و ساخت لمینت آماده گردد. این مراحل به گونهای طراحی شدهاند که زیبایی، استحکام و سلامت دندان تا حد ممکن حفظ شود.
آیا تراشیدن دندان درد دارد؟
تراشیدن دندان برای لمینت معمولاً بدون درد انجام میشود. چون این تراش فقط در حد لایه سطحی میناست و وارد بخشهای حساستر دندان نمیشود. پیش از شروع کار، دندانپزشک با بیحسی موضعی خفیف، هرگونه احساس ناراحتی احتمالی را از بین میبرد تا بیمار در طول درمان آرامش کامل داشته باشد. پس از پایان تراش نیز ممکن است برای مدت کوتاهی حساسیت خفیف به سرما یا گرما احساس شود که طبیعی و گذراست. در واقع، اگر تراش بهدرستی و با دقت انجام شود، این مرحله کاملاً راحت، سریع و بدون درد خواهد بود.
مقدار تراش استاندارد در لمینت سرامیکی چقدر است؟
| موقعیت دندان | میزان متوسط تراش | توضیح |
| دندان های قدامی بالا | حدود ۰.۳ تا ۰.۷ میلی متر | بستگی به میزان جلوآمدگی، ضخامت دندان و هدف درمان دارد. |
| دندان های قدامی پایین | معمولاً ۰.۲ تا ۰.۵ میلی متر | به دلیل فضای کمتر، تراش محافظه کارانه تر انجام می شود. |
در بسیاری از موارد، تراش تنها در حد سطح مینای دندان انجام می شود و به عاج دندان (لایه زیرین مینا) نمی رسد، مگر در مواردی که دندان از قوس دندانی بیرون زده است و نیاز به تراش بیشتر وجود دارد. این باعث می شود حساسیت دندانی یا عوارض بلندمدت به حداقل برسد.
چه زمانی تراش دندان برای لمینت کمتر انجام می شود؟
در چند سال گذشته، روش های لمینت بدون تراش (No-Prep Veneers) مطرح بودند. اما امروزه، با توجه به بررسی های دقیق تر و نتایج بلندمدت، متخصصان دریافتهاند که این روش ها ممکن است با عوارضی همراه باشند و به همین دلیل، دیگر توصیه نمی شوند. حتی در مواردی که نیاز به حداقل تغییر باشد، تراش بسیار اندک و کنترل شدهای از مینای دندان ضروری است تا لمینت به درستی روی دندان قرار گیرد و مشکلی ایجاد نکند.
با این حال، در برخی شرایط، مقدار تراش برای لمینت دندان می تواند بسیار محدود باشد. این موضوع به آناتومی خاص دندان شما و همچنین نتیجه ای که انتظار دارید، بستگی دارد.

مواردی که در آن ها میزان تراش دندان برای لمینت کمتر است ….
چندین عامل وجود دارد که باعث می شود بتوان از تراش کمتری برای نصب لمینت استفاده کرد:
عدم بیرون زدگی دندان ها
اگر دندان های شما به طور طبیعی در وضعیت مناسبی قرار دارند و برجستگی یا نامنظمی خاصی ندارند، نیازی نیست مقدار تراش برای لمینت دندان را بیشتر کرد. در این حالت، لمینت می تواند به شکل طبیعی و بدون اضافه کردن حجم نامطلوب، روی سطح دندان قرار گیرد.
نزدیک بودن رنگ دندان ها به رنگ نهایی لمینت
زمانی که رنگ طبیعی دندان های شما به رنگ لمینت انتخابی نزدیک باشد، نیازی به تراشیدن عمیق تر مینا برای پوشاندن رنگ اصلی دندان نیست. این موضوع به ویژه در مواردی که هدف اصلی، تغییرات جزئی در سایه رنگ دندان است، اهمیت پیدا می کند.
ضخامت کافی مینای طبیعی
هرچند که تراش همیشه لازم است، اما اگر مینای دندان شما به طور طبیعی از ضخامت کافی برخوردار باشد، دندانپزشک می تواند با تراشی کنترل شده، فضای لازم را برای لمینت ایجاد کند، بدون اینکه به ساختار اصلی دندان آسیبی وارد شود.

عدم نیاز به اصلاحات وسیع در فرم یا چرخش دندان ها
بیایید فرض کنیم که هدف از لمینت، اصلاحات جزئی در شکل دندان باشد. (مثلاً پر کردن یک فاصله کوچک بین دندان ها یا پوشاندن ناهنجاری های محدود). اینجا دیگر نیازی به تغییرات گسترده در فرم یا موقعیت دندان ها (مانند رفع چرخش شدید) وجود ندارد، بنابراین مقدار تراش برای لمینت دندان کمتر می شود.
به طور خلاصه …
در این گونه شرایط، دندانپزشک می تواند با حفظ حداکثری ساختار طبیعی دندان، لمینت را نصب کند و نتیجه ای طبیعی و زیبا به دست آورد. همچنین باعث می شود به خوبی از بروز عوارض احتمالی ناشی از عدم تراش نیز جلوگیری شود.
به نقل از Pocket Dentistry
Minimal-prep veneers typically require 0.3–0.5 mm reduction, while conventional feldspathic porcelain veneers may require 0.5–0.7 mm
«لمینتهای کمتراش معمولاً به کاهش ۰.۳–۰.۵ میلیمتر نیاز دارند، در حالی که لمینتهای سرامیک فلدسپاتیک سنتی ممکن است به ۰.۵–۰.۷ میلیمتر کاهش نیاز داشته باشند.»
چه زمانی ممکن است میزان تراش دندان برای لمینت کمی بیشتر شود؟
متخصصانی که رویکرد محافظه کارانه را دنبال می کنند، معمولا به حداقل مقدار تراش برای لمینت دندان بسنده می کنند. اما گاهی اوقات نیاز است که مقداری بیشتر از مینا را تراش داد. مثلا در موارد زیر احتمال نیاز به تراش بیشتر داریم:
دندان های بیرون زده یا چرخیده
اگر دندان های شما به سمت جلو آمدهباشند یا دچار چرخش قابل توجهی باشند، برای اینکه لمینت بتواند آن ها را در یک راستا و موقعیت صحیح قرار دهد و ظاهری صاف و مرتب ایجاد کند، نیاز به تراش بیشتری وجود دارد. این کار فضای کافی برای قرارگیری لمینت و اصلاح فرم دندان را فراهم می کند.
اصلاح رنگ های تیره و مقاوم به سفیدکنندهها
در مواردی که دندان ها دارای لکه های شدید یا تغییر رنگ های بسیار تیره (مثلاً ناشی از مصرف تتراسایکلین در کودکی) هستند و به درمان های سفیدکننده پاسخ نمی دهند، نیاز است که مقدار تراش برای لمینت دندان بیشتر شود. به این دلیل که فضای کافی برای لایه ای از لمینت که بتواند این تیرگی را به طور کامل پوشش دهد، ایجاد شود.
ناهماهنگی شدید در فرم و اندازه دندان ها
اگر دندان های شما از نظر شکل یا اندازه دارای ناهماهنگی های بسیار آشکاری باشند، دندانپزشک مجبور است تراش بیشتری انجام دهد تا لمینت بتواند این تفاوت ها را به خوبی پوشش دهد. (مثلاً دندان هایی که بسیار کوچک یا بسیار بزرگ هستند، یا شکل های نامنظم دارند)
ضخامت بالای لایه لمینت برای پوشش بهتر
گاهی اوقات، برای دستیابی به نتیجه زیبایی شناسی مطلوب یا پوشش کامل مشکلات زمینه ای دندان، نیاز به استفاده از لایه ضخیم تری از لمینت است. در چنین شرایطی، برای جلوگیری از برجستگی دندان، باید مقدار تراش برای لمینت دندان بیشتر صورت بگیرد تا لمینت به خوبی روی دندان قرار بگیرد.
لطفا به این نکته مهم توجه کنید که ….
هرچند در این موارد تراش بیشتر ضروری است، اما باید توجه داشت که هرچه میزان تراش بیشتر باشد، لایه محافظ طبیعی دندان (مینا) کاهش می یابد. این کاهش مینا می تواند خطراتی مانند افزایش حساسیت دندان به گرما و سرما، تغییر رنگ لمینت در آینده یا حتی نیاز به درمان های ترمیمی پیچیده تر (مانند روکش یا عصب کشی در موارد نادر) را در پی داشته باشد. به همین دلیل، تصمیم گیری برای تراش بیشتر همیشه با دقت و پس از بررسی کامل توسط دندانپزشک صورت می گیرد.
اگر به دنبال درمان هایی با رویکرد محافظه کارانه و کم تهاجم هستید که با کمترین آسیب به دندان، باعث حفظ حداکثری ساختار دندان طبیعی شما شود، جهت دریافت مشاوره تخصصی و طرح درمان اختصاصی شماره تماس خود را وارد فرمایید
آیا همیشه می توان مقدار تراش برای لمینت دندان را کاهش داد؟
خیر همیشه اینطور نیست! تصمیم گیری درباره میزان تراش دندان برای لمینت، باید کاملاً اختصاصی و با بررسی دقیق وضعیت دندان، لثه، بایت و فرم فک هر مراجع انجام شود. متخصص ترمیمی و زیبایی دندان باید قبل از هر اقدامی، اسکن دیجیتال یا قالب گیری انجام دهد تا فضای موجود برای لمینت را تحلیل کرده و از تراش غیرضروری جلوگیری شود.
راهکاری وجود دارد که بتوان با کمک آن مقدار تراش برای لمینت دندان را کم کرد؟
اگر حفظ بافت طبیعی دندان برای شما یک اولویت اصلی است، بله راهکارهایی در این خصوص وجود دارد. مثلا گاهی اوقات، برای رسیدن به بهترین نتیجه با حداقل تراش، درمان ارتودنسی پیش از لمینت پیشنهاد می شود.
با مرتب کردن دندان ها از طریق ارتودنسی، می توان نظم و همراستایی دندان ها را بهبود بخشید. این کار باعث می شود که وقتی نوبت به لمینت می رسد، دندان ها در موقعیت مناسب تری قرار داشته باشند و نیاز به تراش برای اصلاح ناهنجاری ها به شدت کاهش یابد.
آیا جایگزینی برای لمینت دندان وجود دارد؟
بله. هر چند که لمینت دندان بهترین روش اصلاح طرح لبخند محسوب می شود اما اگر به هر دلیل نخواهید این درمان را انجام دهید جایگزین هایی برایش وجود دارد:
کامپوزیت ونیر (Composite Veneer)
کامپوزیت ونیر یک راه حل محبوب و مانند درمان لمینت کم تهاجم است. در بسیاری از موارد، این روش با حداقل میزان تراش انجام می شود. ولی باز هم میزان تراشش تقریبا مثل مقدار تراش برای لمینت دندان است.
در این روش، متخصص ترمیمی و زیبایی مستقیماً مواد کامپوزیت را روی سطح دندان قرار داده و آن را شکل می دهد. حتی اگر نیاز به تراش باشد، این تراش بسیار حداقلی خواهد بود. این روش برای اصلاح تغییر رنگ های جزئی، بستن فاصله های کوچک بین دندان ها یا اصلاح فرم جزئی دندان ها بسیار مناسب است.

بلیچینگ (سفید کردن دندان) یا باندینگ دندان
در مواردی که هدف اصلی شما از انجام لمینت دندان صرفاً سفیدتر کردن دندان ها یا اصلاح جزئی فرم آن ها (مثلاً پر کردن یک لب پریدگی کوچک) است، روش هایی مانند بلیچینگ (آفیس یا خانگی) یا باندینگ دندان می توانند گزینه های مناسبی باشند.
بلیچینگ رنگ دندان ها را روشن می کند و باندینگ با استفاده از مواد کامپوزیت، نواقص کوچک را بدون تراش یا با حداقل تراش اصلاح می کند. این روش ها به مراتب تهاجم کمتری دارند و می توانند نتایج زیبایی شناختی قابل قبولی ارائه دهند.
تراش نادرست دندان چه عوارضی به همراه دارد؟
تراشیدن نادرست یا بیش از اندازه دندان، میتواند بر نتیجه نهایی لمینت و سلامت طولانیمدت دندان تأثیر منفی بگذارد. اگر عمق تراش بیش از حد باشد و به لایه عاج برسد، ممکن است دندان دچار حساسیت شدید به گرما و سرما شود یا در آینده نیاز به درمانهای ترمیمی پیچیدهتر پیدا کند. از سوی دیگر، تراش ناکافی یا ناهمگون باعث میشود لمینت روی دندان به درستی ننشیند، در لبهها برجستگی یا فاصله ایجاد شود و احتمال شکستن یا جدا شدن آن افزایش یابد. در مواردی نیز تراش غیردقیق میتواند موجب التهاب لثه، گیر غذایی و تغییر رنگ در مرز بین دندان و لمینت شود. به همین دلیل، دقت در طراحی تراش و اجرای صحیح آن توسط متخصص ترمیمی و زیبایی، نقش کلیدی در ماندگاری و زیبایی نهایی لبخند دارد.
برای کسب اطلاعات جامعتر درباره مراحل درمان و انتخابهای مربوط به لمینت دندان، مطالعه سایر مقالات وبسایت آرتمان درمان را به شما پیشنهاد میکنیم.
آیا کامپوزیت یا لمینت برای دندان های دارای تحلیل لثه مجاز است؟
9 نکته ضروری برای مراقبت از لمینت دندان
برای انتخاب بهترین متخصص لمینت در غرب تهران، این ۵ معیار کافیست
میزان ماندگاری و طول عمر لمینت دندان چقدر است؟
چیزهایی که باید درباره متخصص لمینت دندان بدانید
هرآنچه که باید درباره لمینت سرامیکی دندان بدانید
✅اگر شما هم به دنبال لبخندی طبیعی تر هستید ….
در درمان های زیبایی بهتر است که تمرکز بر رویکرد محافظه کارانه و نتایج طبیعی باشد. هرچه دندان طبیعی کمتر آسیب ببیند و نتایج به زیبایی دندان های طبیعی نزدیک تر باشد، درمان موفقیت آمیزتر می شود.
اگر شما نیز به دنبال مرکزی هستید که در تمام مراحل درمان (از نخستین جلسه مشاوره تا پایان مسیر) بر این اصول تکیه داشته باشد، در آرتمان درمان آماده ایم با همین نگاه از شما میزبانی کنیم.
❓پاسخ به سوالات رایج درباره مقدار تراش برای لمینت دندان
بیشتر متخصصان ترمیمی و زیبایی بر اصول محافظه کارانه و نتایج طبیعی تمرکز دارند. آن ها می توانند مقدار تراش دندان برای لمینت را به شکل درستی کنترل کنند و تمام مراحل را با حوصله و مهارت بیشتر دنبال کنند.
معمولا خیر زیرا دندان از قبل تراش خوردهاست و بنابراین نیازی به تراش مجدد نیست.
📚منابع
pubmed.ncbi.nlm.nih.gov
ada.org
دریافت مشاوره و نوبت آنلاین
فیلد های "*" اجباری هستند
مقالات مرتبط
وقتی از هر واحد دندان در دندانپزشکی صحبت می کنیم منظورمان چیست؟
زمانی که برای مشاوره اصلاح طرح لبخند یا کاشت دندان
سن مناسب لمینت دندان از چه زمانی شروع می شود؟
تمایل به داشتن لبخندی بی نقص و درخشان سن و
بررسی جدیدترین روش های ترمیم دندان (با تمرکز بر بیلداپ)
در سال های اخیر، دندانپزشکی ترمیمی و زیبایی شاهد تغییراتی