کامپوزیت ونیر دندان چیست؟ (بررسی مزایا، معایب و مراحل درمان)
- تـاریـخ:
- دسته بندی: مقالات, مقالات کامپوزیت دندان
- نوشته شده توسط آرتمان درمان
- بدون نظر کاربران
فهرست عناوین این نوشتار
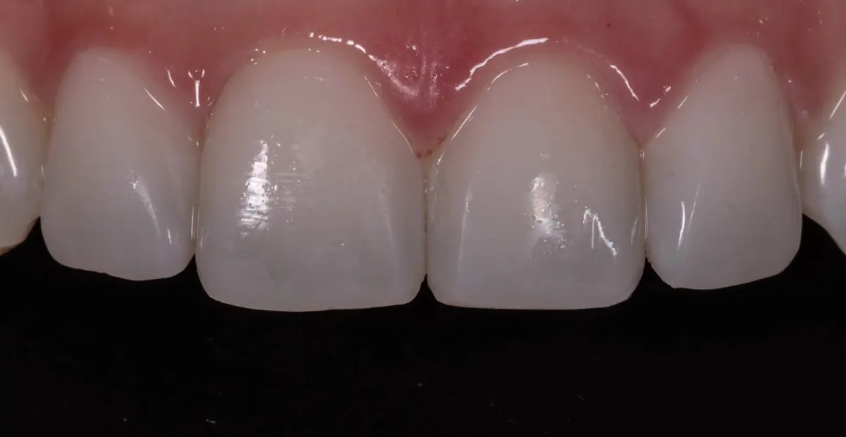
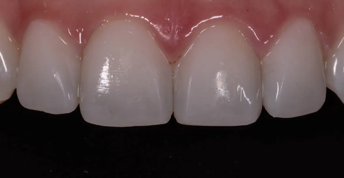
بسیاری از شرایط بالینی از قبیل تغییر رنگ دندانها، شکستگیهای گسترده، دندانهای نامرتب یا پوسیدگی دندانها ممکن است باعث ایجاد اختلال در زیبایی طرح لبخند شوند. این امر معمولاً سبب ایجاد تصویری ناخوشایند از خود شده و تاثیری منفی بر کیفیت زندگی دارد. در دندانپزشکی ترمیمی و زیبایی این شرایط بالینی را میتوان ترمیم یا درمان کرد و زیبایی را مجددا به لبخند بازگرداند. روشهای مختلفی برای این منظور وجود دارد که یکی از آنها کامپوزیت ونیر دندان است. کامپوزیت ونیرها درمانی محافظه کارانه و رایج هستند که به شکلی اصولی و بدون آسیب به دندان ها، طرح لبخند را اصلاح میکنند. کامپوزیت دندان به دلیل جذابیتهای زیبایی شناختی و تطبیق پذیری با ظاهر طبیعی دندانها طرفداران زیادی پیدا کرده است. در این بخش به بررسی مزایای کامپوزیت دندان و اینکه چرا آرتمان درمان در این زمینه بهترین انتخاب است خواهیم پرداخت.
📋 جدول مقایسهای و کاربردی کامپوزیت ونیر دندان
| 🔍 موضوع | ✅ توضیح مختصر | 📌 نکات کلیدی |
|---|---|---|
| 🦷 چیست؟ | لایهای نازک از رزین همرنگ دندان | زیبایی + ترمیم سطح دندان |
| 💰 هزینه | مقرونبهصرفهتر از لمینت | مناسب برای بودجههای متوسط |
| 🛠️ نوع درمان | محافظهکارانه، بدون تراش زیاد | حفظ مینای دندان |
| ⏱️ زمان انجام | معمولاً در ۱ جلسه | سریع و بدون درد |
| 🎨 تنوع رنگ | قابل تطبیق با رنگ دندان | قابل شخصیسازی با راهنمای رنگ |
| 🧪 مواد | رزین کامپوزیتی | چسبندگی بالا به دندان |
| 🔬 کاربردها | رفع شکستگی، تغییر رنگ، فاصله دندانی | اصلاح طرح لبخند |
| 🧰 تکنیک اجرا | مستقیم (در مطب) یا غیر مستقیم (لابراتوار) | بسته به مورد انتخاب میشود |
| 🪥 مراقبت لازم | رعایت بهداشت دهان، اجتناب از خوراکیهای رنگی | نایتگارد برای دندانقروچه ضروری است |
| 🧯 میزان تهاجم | بسیار کم (گاهی بدون نیاز به تراش) | عدم آسیب به لثه و دندان |
| 🕒 طول عمر | ۵ تا ۱۰ سال (با مراقبت) | بستگی به بهداشت و عادات غذایی دارد |
| ⚠️ محدودیتها | مناسب نبودن برای افراد با دندان قروچه شدید | یا ترمیمهای بسیار وسیع |
| 💎 مزایا | زیبایی، هزینه کمتر، حفظ بافت دندان، بازگشتپذیری | جایگزین مناسب برای لمینت و روکش در بسیاری موارد |
| ❌ معایب | تغییر رنگ با گذشت زمان، حساس به فشار زیاد | نیاز به پولیش دورهای |
| 👨⚕️ مناسب چه افرادیست؟ | کسانی که دنبال زیبایی با کمترین تغییر هستند | و کسانی که نمیخواهند لمینت یا روکش کنند |
ونیر دندان چیست؟
قبل از پرداختن به درمان کامپوزیت ونیر دندان، بهتر است ابتدا با مفهوم ونیر آشنا شویم. ونیر (Dental Veneer) را میتوان به عنوان یک لایه از مواد همرنگ دندان توصیف کرد. این لایه به منظور زیبایی و اصلاح طرح لبخند بر روی سطح دندان ها اعمال میشود. ونیرها در واقع طیف وسیعی از بدشکلی های دندانی را برطرف می کنند و یا آسیب های وارده به سطح خارجی دندان ها را به خوبی اصلاح می کنند.
انواع مختلف ونیر دندان
کامپوزیتهای دندانی بر اساس ترکیب مواد، کاربرد و ویژگیهای ظاهری و فنی به چند دسته مختلف تقسیم میشوند. شناخت این انواع به دندانپزشک کمک میکند تا بسته به نیاز هر بیمار، مناسبترین گزینه را انتخاب کند:
| 🔢 نوع کامپوزیت | 📋 ویژگیها | 🎯 کاربرد |
|---|---|---|
| ✨ کامپوزیت ونیر سرامیکی | ترکیب سرامیک و رزین، مقاومت بالا در برابر لکه و تغییر رنگ، شفافیت بالا | مناسب برای دندانهای جلو با نیاز به زیبایی و شفافیت بالا |
| 🇩🇪 کامپوزیت ونیر آلمانی | مواد با کیفیت بالا، رنگ طبیعی، دوام و استحکام عالی | قابل استفاده برای دندانهای جلو و خلفی |
| 🇨🇭 کامپوزیت ونیر سوئیسی | تکنولوژی پیشرفته، شفافیت طبیعی، مقاومت بالا در برابر سایش و لکه | افرادی با حساسیت زیاد به زیبایی ظاهری دندان |
| 🎨 کامپوزیت ونیر لیرینگ (لایهای) | ساختار چندلایه برای بازسازی فرم، رنگ و شفافیت دندانها | مناسب برای اصلاحات دقیق و طبیعیتر در طرح لبخند |
| 🪞 کامپوزیت ونیر لبه شیشهای | ظاهر براق، شفافیت بالا، بازتاب نور طبیعی | ایدهآل برای دندانهای قدامی و لبخندهای پر جلوه |
| 🏷️ برندهای برتر بازار | 3M، Ivoclar، Bisco، GC — کیفیت بالا، دوام زیاد، ظاهری طبیعی | انتخاب برند بسته به نیاز بیمار و نظر دندانپزشک |
کامپوزیت ونیر دندان چیست؟
ونیر کامپوزیت دندان درمانی بسیار محافظه کارانه، با تراشی بسیار بسیار کم و مقرون به صرفه تر از لمینت دندان است. این در واقع درمانی است که در آن ظاهر دندان های قدامی با کمک لایه های کامپوزیت رزین، بهبود میابد. تقریبا تمام مشکلات دندانی که با لمینت برطرف می شوند، با کامپوزیت ونیر نیز برطرف می شوند. برخی از مشکلاتی که به خوبی با کامپوزیت ونیر برطرف می شوند شامل تغییر رنگ داخلی دندان، فاصله بین دندان ها، تحلیل مینا، کوتاه شدن دندان ها، انواع لکه های دندانی و … می شوند.
کامپوزیت ونیر ها به وسیله رزینی که خاصیت باند یا چسبندگی به بافت دندان دارد، به دندان متصل می شوند. به دلیل این خاصیت باندینگ در زمان اصلاح طرح لبخند با کامپوزیت ونیر یا هرگونه ترمیم با کمک کامپوزیتها، نیاز به برداشت بافت دندان به منظور ایجاد گیر نمیباشد. کامپوزیتها به خاطر طبیعت محافظه کارانه، باند شدن بهتر به بافت دندان و همچنین تامین زیبایی، انقلابی در دندانپزشکی ترمیمی پدید آورده اند.
انجام ونیر کامپوزیت به صورت فول یا پارشیل
این ونیرها معمولاً می توانند به دو صورت فول یا پارشیل انجام شوند:
بررسی پارشیل ونیرها
در دندانپزشکی محافظه کارانه تلاش ما این است که هر نوع درمان اعم از زیبایی یا ترمیمی را با تمرکز بر حفظ حداکثری بافت و نسج دندان انجام دهیم. این اصل در خصوص نصب ونیر کامپوزیت دندان نیز صادق است. در واقع توصیه می شود اگر دندان های قدامی به صورت جزئی آسیب دیده اند یا نواحی تغییر رنگ یافته کم است، به جای اینکه تمام دندان های قدامی کامپوزیت ونیر شوند، درمان به صورت پارشیل و جزئی انجام شود. به درمانی با این وسعت کم که محافظه کارانه و توصیه شده تر است، اصطلاحاً پارشیل کامپوزیت ونیر گفته می شود.
فول ونیر ها
از طرفی فول کامپوزیت ونیر دندان برای ترمیم آسیبهای گسترده یا نواحی تغییر رنگ داخلی که بیشترِ سطوح دندان را در بر گرفته کاربرد دارند. به عبارت سادهتر در کامپوزیت ونیرهای مانند ونیر پارشیل، تنها قسمتی از دندان با کامپوزیت پوشیده میشود. اما در فول ونیر یا ونیر کامل تمام سطح دندان با کامپوزیت پوشیده خواهد شد. در واقع در فول ونیرها، ما تمام دندان های حاضر در طرح لبخند را به منظور ترمیم و زیبایی حداکثری تحت پوشش قرار می دهیم.
زمان و مهارتی که برای نصب فول کامپوزیت ونیرها صرف می شود، قابل توجه است
هنگام در نظر گرفتن فول ونیر به عنوان طرح درمان، چندین فاکتور مهم مانند سن بیمار، اکلوژن یا نحوه روی هم قرارگیری دندانها، سلامتی بافتها، موقعیت دندانها، همچنین بهداشت دهان و دندان باید مورد ارزیابی قرار گیرند. در صورت استفاده از فول ونیرها، فراهم آوردن انحناهای فیزیولوژیک مناسب به ویژه در نواحی که ونیرها در تماس با لثه قرار میگیرند، جهت اطمینان از سلامت لثه بسیار اهمیت دارد.
فول ونیرها می توانند درمانی مستقیم یا غیر مستقیم باشند
فول ونیرها میتوانند هم با تکنیک مستقیم و هم غیر مستقیم انجام شوند. در تکنیک مستقیم دندانپزشک با استفاده از کامپوزیتهای زیبایی، ونیرها را بر روی سطح خارجی دندانها شکل میدهد، که البته درمانی است زمان بر که به کار زیادی نیاز دارد. در تکنیک غیر مستقیم، از دندان ها قالبگیری شده و کامپوزیت ونیر به صورت غیرمستقیم در لابراتوار ساخته شده و بر روی دندانها چسبانده میشوند. در افراد با سنین پایین و یا زمانی که تک دندان تغییر رنگ یافته داریم، تکنیک مستقیم انتخاب ارزشمندی میباشد.

مراحل کامپوزیت دندان
فرایند کامپوزیت دندان کاملا بدون درد و ناراحتی است که در یک جلسه تمامی مراحل آن قابل اجرا است. در اینجا مراحل روش کامپوزیت دندان را شرح میدهیم:
مشاوره با متخصص دندانپزشک زیبایی
قبل از استفاده از مواد کامپوزیتی، دندانپزشک دندان را به طور کامل معاینه کرده و در مورد درمان مناسب تصمیم گیری میکند. این مرحله اغلب شامل گرفتن تصاویر اشعه ایکس برای ارزیابی میزان پوسیدگی یا آسیب است. اگر از کامپوزیت برای پر کردن دندان استفاده شود، هر گونه مواد پوسیده خارج میشود. سپس ناحیه اطراف دندان تمیز میشود و برای پر کردن دندان آماده میشود.
انتخاب رنگ کامپوزیت
کامپوزیت دندان در رنگهای مختلف برای مطابقت با رنگ طبیعی دندانها ارائه می شود. دندانپزشک رنگی را انتخاب میکند که دقیقاً با رنگ دندان طبیعی بیمار مطابقت داشته باشد تا اطمینان حاصل شود که کامپوزیت به خوبی با هم ترکیب میشود. انتخاب رنگ کامپوزیت که توسط دندانپزشک پیشنهاد می شود پس از در نظر گرفتن خواسته های بیمار اتخاذ میشود.
جداسازی دندان
دندان معمولاً با استفاده از یک سد لاستیکی جدا میشود تا از تداخل رطوبت در فرایند کامپوزیت جلوگیری شود. بزاق و رطوبت میتوانند از چسبیدن کامپوزیت به درستی جلوگیری کنند، بنابراین بسیار مهم است که دندان خشک بماند.
چسب کامپوزیتی
یک چسب مخصوص کامپوزیت روی دندان آماده شده اعمال میشود. این عامل به چسبیدن مواد کامپوزیت به سطح دندان کمک میکند. چسب معمولاً با استفاده از نور مخصوص سخت میشود.
قرار دادن کامپوزیت
پس از آماده سازی کامل دندان، ونیر کامپوزیت به صورت لایه لایه روی دندان اعمال میشود. هر لایه به گونهای روی دندان قرار میگیرد که با خطوط دندان مطابقت داشته باشد و با استفاده از نور لیزری محکم میشود. این نور به مواد کامپوزیتی کمک میکند تا سخت شوند و به ساختار زیرین دندان بچسبند.
شکل دادن و پرداخت دندان
هنگامی که کامپوزیت اعمال شد دندانپزشک کامپوزیت را طوری شکل میدهد که کاملاً بر روی دندان قرار گیرد. این شامل برش دادن مواد اضافی کامپوزیت برای اطمینان از ظاهر و احساس طبیعی است. مرحله آخر پولیش کامپوزیت برای دستیابی به یک سطح صاف و زیبا است.
بررسی و تنظیمات نهایی
دندانپزشک از بیمار میخواهد که یک نوار را گاز بگیرد تا اطمینان حاصل کند که کامپوزیت در نحوه بایت آنها اختلال ایجاد نمیکند. هر گونه تنظیمات ضروری برای اطمینان از راحتی و عملکرد بهتر دندان در این مرحله انجام میشود.
مشاوره با متخصص دندانپزشک زیبایی
قبل از استفاده از مواد کامپوزیتی، دندانپزشک دندان را به طور کامل معاینه کرده و در مورد درمان مناسب تصمیم گیری میکند. این مرحله اغلب شامل گرفتن تصاویر اشعه ایکس برای ارزیابی میزان پوسیدگی یا آسیب است. اگر از کامپوزیت برای پر کردن دندان استفاده شود، هر گونه مواد پوسیده خارج میشود. سپس ناحیه اطراف دندان تمیز میشود و برای پر کردن دندان آماده میشود.
به نقل از dentaleconomics
“Composite veneers are coming back in vogue due to advances in digital technology. Dentists can enhance a patient’s smile with minimal biologic risk to the teeth and predictable function and esthetics.”
«ونیرهای کامپوزیتی به دلیل پیشرفتهای فناوری دیجیتال دوباره در حال محبوب شدن هستند. دندانپزشکان میتوانند با حداقل خطر زیستی برای دندانها و عملکرد و زیبایی پیشبینیشده، لبخند بیمار را بهبود بخشند.»
چه زمانی استفاده از ونیرهای کامپوزیتی بهترین روش درمانی است؟
از آنجا که کامپوزیتها باند مناسبی به مینا و عاج دندان دارند، زمانی که دندانها به دلایل مختلف مینای خوبی ندارند، گزینه مناسبی جهت درمانهای زیبایی میباشند. و به طور کلی در شرایط زیر اصلاح طرح لبخند با کامپوزیت ونیرها کاملاً مناسبترین درمان است:
- زمانی که سطح خارجی دندان به دلایل مادرزادی، بیماری ها، سایش ها، عادات ناصحیح و ترمیم های قبلی مینای مناسبی برای باند ندارد
- ترمیم های کامپوزیتی قبلی نامناسب
- تغییر رنگ ترمیم های قبلی
تغییر رنگ دندانی
همچنین در مواقعی که مینای دندان کاملا سالم بوده و فرد از رنگ دندان خود رضایت دارد، نیاز به پوشانده شدن کامل دندان نیست. در این موارد می توان برای اصلاح طرح لبخند با کامپوزیت ونیر پارسیل، درمانی محافظه کارانه انجام داد.

حتی هنگامی که رنگ دندان ها دلخواه شخص نیست، می توان پس از بلیچینگ یا سفید کردن دندان ها، کامپوزیت ونیر پارسیل را بر روی دندان ها قرار داد.
فاصله بین دندانی
زمانی که فرد دارای دیاستم یا فاصله بین دندان ها است نیز می توان با کمک اتصال مستقیم کامپوزیت دندان این فاصله را بست و ظاهر طرح لبخند فرد را بهتر جلوه داد.
شکستگیهای وسیع دندانی
دندانهایی که دچار شکستگی های وسیع تاج دندان هستند را میتوان توسط کامپوزیتها ترمیم و ونیر نمود. امروزه با وجود کامپوزیت هایی که از نظر استحکام و زیبایی در حد کاملا قابل قبولی قرار دارند، نیاز به تراش وسیع این دندان ها جهت انجام روکش دندان نبوده و میتوان آنها را به شکلی کاملا محافظه کارانه و مشابه با فرم و رنگ دندان مشابه بازسازی نمود.
کاندیدای مناسب برای کامپوزیت دندان
- افرادی که به دنبال بهبود ظاهر دندان با کمترین تغییر روی دندان طبیعی خود هستند.
- کسانی که ممکن است، کاندید مناسب برای عملهای تهاجمیتر مانند لمینت نباشند.
- کسانی که گزینه برگشت پذیر را ترجیح میدهند یا تمایل بیشتر به حفظ ساختار دندان طبیعی خود دارند.
- بیماران با شکستگی و پوسیدگی دندان جزئی می توانند کامپوزیت دندان را انتخاب کنند.
- کسانی که تغییر رنگ سطحی یا لکههای کوچک دارند
- افرادی با فاصلههای کوچک بین دندانها که میخواهندطررح لبخند خود را اصلاح کنند.
کسانی که نباید کامپوزیت کنند
- افرادی که دندانهای خود را به هم فشار میدهند یا میسایند(دندان قروچه) ممکن است به مواد کامپوزیت آسیب برسانند.
- کامپوزیت دندان پشتیبانی کافی برای ترمیمهای بزرگ ارائه نمیدهد.
- بیمارانی که متعهد به حفظ بهداشت دهان و دندان نیستند ممکن است شاهد خراب شدن سریعتر مواد کامپوزیت باشند.
- بیمارانی که بافت دندان ضعیفی دارند.

سن مناسب برای کامپوزیت دندان
کامپوزیت ونیر برای افرادی که رشد دندانهایشان کامل شده است مناسب است. معمولاً توصیه میشود انجام این درمان پس از سن ۱۸ سالگی انجام شود تا دندانها و فک به ثبات نسبی رسیده باشند. با این حال، سن بهتنهایی ملاک نیست و سلامت دندانها، وضعیت لثهها و عادات دهانی نیز باید بررسی شوند. دندانپزشک متخصص با ارزیابی دقیق این عوامل، بهترین زمان و روش درمان را برای هر فرد تعیین میکند تا نتایج طولانی مدت و طبیعی ایجاد شود.
مقایسه لمینت و کامپوزیت ونیر
در دندانپزشکی، لمینتها به طور کلی به لایههای نازکی گفته میشود که روی دندان را میپوشاند در حالی که کامپوزیت به رزین همرنگ دندان که برای پر کردن و چسباندن مستقیم روی دندان استفاده میشود، اطلاق میشود.
مقایسه کاربرد لمینت دندان و کامپوزیت دندان
کاربرد لمینت دندان
لمینت عمدتاً برای اهداف زیبایی، پوشاندن دندانهای تغییر رنگ یافته، شکسته یا نامرتب استفاده میشود.
کاربرد کامپوزیت دندان
ونیر کامپوزیتی برای اهداف ترمیمی و زیبایی، مانند پر کردن حفرهها و ترمیم ترک دندانها، استفاده میشود.
مواد به کار رفته و میزان تراش دندان
مواد به کار رفته در لمینت دندان
لمینت معمولاً از مواد سرامیکی ساخته میشوند و نیاز به تراش مینای دندان دارند. لمینت در صورتی که به شکل معمولی اجرا شود به 3 جلسه برای اجرا نیاز دارد ولی به کمک دندانپزشکی دیجیتال در یک جلسه لمینت دندان فوری قابل اجرا است.
مواد به کار رفته در کامپوزیت دندان
ساخته شده از مواد کامپوزیتی، در یک جلسه اعمال میشود و اغلب به حداقل نیاز به تراش مینای دندان نیاز دارد.

بهترین دندان، دندان طبیعی خود شماست!
رویکرد ما در مجموعه دندانپزشکی آرتمان درمان انجام درمان به صورت محافظه کارانه و با حفظ حداکثری نسج دندان طبیعی است. اگر به دنبال درمانی اصولی، طبیعی ومحافظه کارانه هستید، با همین نگاه میزبان شما در آرتمان درمان هستیم.
02166003625 09021216575ونیرهای از جنس کامپوزیت را می توان به دو طریق بر روی دندان ها شکل داد:
مونوکروماتیک و با استفاده از کامپوزیت یونیورسال
این نوع از کامپوزیتها میزانی از شفافیت را دارا هستند که هم جهت بازسازی لایههای عاجی (دنتین یا لایه زیرین مینای دندان) و هم لایههای مینایی دندان (سطحیترین لایه) به کار میروند. در واقع در صورت استفاده از این نوع کامپوزیتها، لایههای مختلف عاجی و مینایی تنها با استفاده از یک رنگ شکل داده میشوند.
پلی کروماتیک و با استفاده از کامپوزیتهای با رنگهای مختلف
گاه برای دستیابی به زیبایی بهینه، ونیرهای کامپوزیت مستقیم باید به صورت لایه لایه و با کمک کامپوزیت هایی با رنگ ها و شفافیت های مختلف بر روی دندان ها قرار داده شوند تا ونیرهای پلی کروماتیک مناسب حاصل شود.
بهترین رنگ کامپوزیت دندان
انتخاب بهترین رنگ برای کامپوزیت دندان شامل انتخاب رنگی است که با دندانهای طبیعی شما مطابقت داشته باشد تا ظاهری یکپارچه و زیبا داشته باشد. دندانپزشکان برای تعیین رنگی که به بهترین وجه با دندانهای اطراف مطابقت دارد، از راهنمای رنگ کامپوزیت استفاده میکنند. رنگ کامپوزیت دندان باید به طور طبیعی با دندانهای شما، به خصوص دندانهای مجاور، تطبیق داده شود. رنگ مورد نظر خود را طوری انتخاب کنید که ظاهر طبیعی باشد. کامپوزیت بیش از حد سفید روی یک یا دو دندان میتواند غیر طبیعی و مصنوعی به نظر برسد مگر اینکه همه دندانهای قابل مشاهده به طور مشابه درمان شود.
در انتخاب رنگ کامپوزیت برای همه دندان ها، رنگ پوست و حتی لثه تاثیر گذار است. به این دلیل دریافت مشاوره از یک متخصص با تجربه اهمیت دو چندانی پیدا میکند.

بروساژ دندانها میتواند جهت تمیز کردن سطح دندان و از بین بردن لکههای رنگی که موجب مزاحمت در انتخاب رنگ صحیح میگردند، مفید باشد.
چرا اتصال کامپوزیت ونیرها به دندان ها با کمترین عوارض همراه است؟
حداقل به سه دلیل زیر فرآیند اصلاح طرح لبخند با کامپوزیت ونیرها، برای دندانهای ما عوارضی ندارد:
۱. حفظ ساختار دندان به حداکثر میزان
اصلاح طرح لبخند با ونیر کامپوزیت ها یک اقدام دندانپزشکی یا درمان محافظه کارانه است. به جز در موارد محدود، برای نصب آنها نیازی به تراش دادن دندانها نیست و تنها در صورت نیاز ممکن است میزان بسیار جزئی و اندکی از ضخامت مینای دندان تراشیده شود. (به عنوان مثال زمانی که یک دندان یا قسمتی از آن در خارج از قوس دندانی باشد مقدار جزئی از دندان تراش میخورد.)
بنابراین درمان با ونیرهایی از این دست، میتواند درمانی کاملا محافظهکارانه باشد که به هیچ وجه موجب حساسیت دندانها نمیگردد.
۲. حفاظت از لثهها و عدم تداخل با فضای لثهای
به طور کلی در هر درمانی که بر روی تاج دندان انجام میشود، اعم از ترمیمها، روکش ها و ونیرهای مختلف، نباید تداخلی با فضای لثهای داشته باشند. تهاجم به فضایی که مختص لثههاست، به مرور زمان موجب تورم، التهاب، تغییر رنگ و تحلیل لثهها شده و در دراز مدت سبب تحلیل استخوان میگردد.

ونیر کامپوزیت ها باید با روش صحیح و با کمک گرفتن از محصولاتی خاص، در ناحیهی تماس با بافت لثهای قرار بگیرند. این محصولات شامل نخهای زیر لثهای و ماتریسهای (نوارهای) مخصوص هستند که کمک میکنند تا کامپوزیتها حین قرارگیری بر روی دندان وارد فضای لثهای نشوند و موجب التهاب نگردند.
3. انجام پالیش دقیق پس از انجام کار و انجام پالیشهای دورهای منظم
عامل دیگری که سبب میگردد کامپوزیت ونیر ها بدون عارضه و با دوام بیشتر در دهان باقی بمانند، انجام پالیش نهایی و دقیق و همراه با صرف زمان مناسب است. در این حالت سطحی صیقلی در تمام نواحی ونیرهای کامپوزیتی اعم از سطح خارجی، بین دندانی و در تماس با لثهها ایجاد میشود. به این ترتیب تجمع پلاک میکروبی بر روی ونیرها به حداقل رسیده و ونیرها عوارضی مانند التهاب لثهها که عامل اصلی آن پلاک میکروبی است را ایجاد نمیکنند.
همچنین با انجام پالیشها به طور دورهای و منظم، ثبات رنگ مناسبی به دست خواهد آمد و عارضهی تغییر رنگ کامپوزیت ونیرها به حداقل میزان کاهش پیدا خواهد کرد.
علت التهاب یا عفونت لثه بعد از کامپوزیت چیست؟
گاهی پس از انجام کامپوزیت ونیر، لثهها قرمز یا متورم می شوند. این مشکل معمولاً به دلایلی مانند رعایت نکردن بهداشت دهان و دندان، تراش بیش از حد مینای دندان، عدم تطابق کامل کامپوزیت با سطح دندان، حساسیت یا آلرژی به مواد کامپوزیتی و وجود عفونت پیش از انجام کامپوزیت رخ میدهد. با رعایت بهداشت مناسب، انجام معاینات دورهای و نصب دقیق کامپوزیت توسط دندانپزشک متخصص، این التهاب معمولاً کوتاه بوده و به راحتی برطرف میشوند.
پالیش نهایی کامپوزیت ونیرها به چه شکل انجام میشود؟
پالیش نهایی ونیر کامپوزیت ها بسیار حائز اهمیت بوده و بر ثبات رنگ ونیرها در طول زمان و همچنین سلامتی لثهها تاثیر مستقیم دارد. پالیش کامپوزیت ونیرها با استفاده از ابزارهای مختلفی صورت میپذیرد:



مزایای کامپوزیت ونیر ها چیست؟
| ✅ مزیت | 🔬 توضیح علمی و کاربردی |
|---|---|
| 🛠️ کمتهاجمی | اغلب بدون نیاز به تراش مینای دندان انجام میشود، بنابراین بافت دندان سالم حفظ میشود. |
| ⏱️ زمان انجام سریع | معمولاً در یک جلسه قابل انجام است، برخلاف لمینت که نیاز به قالبگیری و لابراتوار دارد. |
| 💰 هزینه کمتر نسبت به لمینت سرامیکی | گزینهای اقتصادیتر برای اصلاح طرح لبخند با نتایج قابل قبول. |
| 🎨 زیبایی فوری و قابل تنظیم | فرم، رنگ و اندازه دندانها قابل اصلاح بوده و بهصورت مستقیم قابل مشاهده و تغییر است. |
| 🔄 قابل بازگشت بودن | چون تراش زیادی ندارد، در صورت نیاز میتوان آن را برداشت یا تعویض کرد. |
| 🧪 ترمیمپذیر بودن | در صورت لبپریدگی یا شکستگی، میتوان بخش آسیبدیده را بدون برداشتن کامل ترمیم کرد. |
| 🪞 شفافیت و درخشندگی طبیعی | نوع کامپوزیتهای پیشرفته ظاهر طبیعی شبیه مینای دندان ایجاد میکنند. |
معایب و نکات منفی ونیر کامپوزیت چیست؟
| ❌ عیب | 🔬 توضیح علمی و کاربردی |
|---|---|
| 📆 عمر کمتر نسبت به لمینت سرامیکی | معمولاً بین ۵ تا ۷ سال دوام دارد، در حالی که لمینتهای سرامیکی تا ۱۵ سال یا بیشتر عمر میکنند. |
| ☕ احتمال تغییر رنگ | به مرور زمان ممکن است در اثر مصرف قهوه، چای، سیگار و مواد رنگدار تغییر رنگ دهد. |
| 🔧 حساسیت به فشار یا ضربه | نسبت به لمینت سرامیکی مقاومت کمتری دارد و ممکن است لبپر یا ترکخورده شود. |
| 🧼 نیاز به مراقبت دقیقتر | به بهداشت دهان حساستر است و جرمگیری مکرر و پولیش منظم نیاز دارد. |
| 👨⚕️ وابسته به مهارت دندانپزشک | نتیجه نهایی بسیار وابسته به دقت در فرمدهی، رنگبندی و پولیش توسط دندانپزشک است. |
| ⏱️ طول درمان محدود در برخی موارد | برای مشکلات شدیدتر در فرم یا موقعیت دندان مناسب نیست و نیاز به ارتودنسی یا درمانهای دیگر دارد. |
چگونه باید از ونیر کامپوزیت ها مراقبت کنیم؟
- کامپوزیت ونیر ها همانند دندان طبیعی خاصیت رنگ پذیری دارند بنابراین باید مانند دندان ها واقعی تمیز شوند و از مصرف خوراکی های رنگدانه دار با آنها خودداری شود یا مصرفشان کاهش یابد
- به دلیل ادامه یافتن فرآیند پلیمریزاسیون کامپوزیت، تا دست کم 1 روز پس از ترک مطب (بویژه در 48 ساعت اول) باید از مصرف خوراکی ها بخصوص مایعات رنگدانه دار مانند نوشابه ها، چای و قهوه و…. اجتناب کرد.
- قطع یا کاهش مصرف دخانیات توصیه میشود.
- خوردن و جویدن معمولی پس از ترمیم ونیر مشکلی ندارد. اما باید از گاز زدن و جویدن مواد بسیار سفت مانند یخ ، آجیل و دانههای بسیار سفت خودداری شود. زیرا ممکن است باعث ساییدگی و حتی شکستگی لبههای ترمیم شود.
- در افراد با دندان قروچه، استفاده از نایت گارد هنگام خواب توصیه میشود.
- رعایت بهداشت دندانها با مسواک و نخ دندان، همچنین معاینات منظم دندانپزشکی (حداقل یک بار در سال) برای حفظ سلامت ونیرها و دندانها ضروری میباشد.
کامپوزیت ونیر دندان بهتر است یا درمان روکش (crown)؟
برخلاف روکشهای دندانی که برای استفاده از آنها باید حجم زیادی از بافت طبیعی دندان (مینای دندان) تراشیده شود، کامپوزیتها برای استفاده به عنوان یک درمان ترمیمی-زیبایی نیازی به تراش زیاد مینای دندان ندارند و با توجه به همین موضوع ( تراش بسیار کم مینا در حد چند دهم میلیمتر) به شکل یک لایه نازک روی دندان آسیبدیده قرار میگیرند و محل تلاقی آنها با خطوط لثه قابل رویت نیست و همین امر سبب میشود که این درمان زیبایی اصلاً ساختگی به نظر نرسد .
با توجه به طیف وسیع رنگهای ونیر کامپوزیتهای پوشاننده سطح دندانها، میتوان این انتظار را داشت که این درمانهای ترمیمی-زیبایی بیشترین هماهنگی را با سایر دندانهای فرد بیمار داشته باشند.
ضمنا این موضوع را در نظر داشته باشید که اگر دندانی که زیر روکش قرار دارد پوسیده شود، در مراحل اولیه زیر ضخامت زیاد روکش از دید پنهان میشود و نه در معاینات کلینیکی و نه در تصاویر رادیوگرافی قابل تشخیص نخواهد بود که با استفاده از ونیر کامپوزیتهای دندانی به جای روکش دندان این مشکل تا حدود زیادی برطرف میشود.
اصلاح طرح لبخند با کامپوزیت ونیرها معمولا در یک جلسه نسبتاً طولانی انجام میشود با این حال، این نوع از درمان، هزینه کمتری نسبت به سایر درمانهای دیگر دارد و همانطور که ذکر شد با توجه به عدم نیاز به تراش زیاد بافت مینای دندان، به عنوان یک درمان محافظهکارانه نسبت به روکش دندان شناخته میشود.
ضمناً زمانی که پرکردگیهای متعدد زیبایی دندانهای جلویی فرد بیمار را دستخوش تغییر کرده باشد، در صورتی که ساختار باقیمانده از دندان مورد قبول دندانپزشک متخصص زیبایی باشد، میتوان از ونیز کامپوزیتها به جای روکش استفاده کرد و زیبایی طبیعی به دندان بخشید.

بهترین برند کامپوزیت دندان
چندین برند معتبر برای کامپوزیت دندان با کیفیت بالا شناخته شدهاند که به دلیل دوام، سهولت استفاده، زیبایی و کیفیت خود شناخته شدهاند. برخی از برندهای برتر کامپوزیت عبارتاند از:
- 3M ESPE
- Dentsply Sirona
- Ivoclar Vivadent
- GC America
هنگام انتخاب برند کامپوزیت دندان، بسیار مهم است که با یک متخصص دندانپزشکی مشورت کنید که میتواند بهترین مواد و رنگ را که مطابق با نیازها و انتظارات خاص شما باشد، راهنمایی کند.

طول عمر و ماندگاری کامپوزیت دندان
طول عمر کامپوزیت دندان میتواند بر اساس عوامل مختلفی متفاوت باشد اما معمولاً از موارد زیر متغیر است:
- 5 تا 7 سال برای کامپوزیت دندان برای برندهای معمولی عمر میکند.
- تا 10 سال یا بیشتر برای کامپوزیتهای باکیفیت که در ترمیمهای وسیعتر استفاده میشود.
طول عمر روش های دندانپزشکی به طور مستقیم با میزان بهداشت دهان و دندان بیماران در ارتباط است، طول عمر کامپوزیت ونیر وابستگی بسیار زیادی به این موضوع دارد. درادامه عواملی که در تعیین طول همر ونیر کامپوزیتی موثر هستند را مورد بررسی قرار داده ایم.
عوامل مؤثر بر طول عمر کامپوزیت دندان
چندین عامل بر مدت زمان ماندگاری کامپوزیت دندان تأثیر میگذارد، از جمله:محل قرارگیری: کامپوزیتها در نواحی پر فشار مانند دندانهای آسیاب تحت فشار بیشتری هستند و ممکن است سریعتر از کامپوزیتهایی که در دندانهای جلو قرار میگیرند فرسوده شوند.عادات دهانی: عاداتی مانند دندان قروچه، ناخن جویدن یا مصرف غذاهای سفت میتواند به سرعت باعث فرسودگی و آسیب به کامپوزیتها شود.بهداشت دهان و دندان: رعایت خوب بهداشت دهان و دندان، از جمله مسواک زدن منظم، نخ دندان کشیدن و معاینات منظم دندانپزشکی، میتواند عمر کامپوزیت دندان را افزایش دهد.کیفیت مواد کامپوزیت و تکنیک متخصص: مواد کامپوزیتی با کیفیت بالاتر و کاربرد دقیق توسط دندانپزشکان ماهر میتواند دوام این روش درمانی را به میزان قابل توجهی بهبود بخشد.رژیم غذایی فرد: مصرف غذاها و نوشیدنیهای سفت یا چسبناک مانند قهوه، چای و شراب قرمز، میتواند ظاهر و یکپارچگی کامپوزیت دندان را با یجاد لکه تحت تأثیر قرار دهند.
برای کسب اطلاعات جامعتر درباره مراحل درمان و انتخابهای مربوط به کامپوزیت دندان، مطالعه سایر مقالات وبسایت آرتمان درمان را به شما پیشنهاد میکنیم.
منظور از متخصص کامپوزیت دندان این ۳ دندانپزشک است!
آیا ونیر کامپوزیت درد دارد؟ (دلایل احتمالی درد کامپوزیت ونیر چیست؟)
کامپوزیت ها چه کمکی به ترمیم و حفظ زیبایی دندان های قدامی می کنند؟
راهنمای انتخاب بهترین متخصص کامپوزیت در غرب تهران
✅ نتیجهگیری
کامپوزیت ونیر روشی سریع، کمتهاجمی و زیباشناسانه برای اصلاح طرح لبخند است که با تنوع بالا و نتایج طبیعی، انتخابی محبوب در دندانپزشکی زیبایی به شمار میرود. البته موفقیت درمان به انتخاب برند مناسب و مهارت دندانپزشک بستگی دارد.
اگر به دنبال مرکزی هستید که در تمام مراحل درمان (از نخستین جلسه مشاوره تا پایان مسیر) بر این اصول تکیه داشته باشد، در آرتمان درمان آماده ایم با همین نگاه از شما میزبانی کنیم.
❓پاسخ به سؤالات متداول در مورد ونیر کامپوزیت دندان
توصیه میشود پس از درمان کامپوزیت دندان، حداقل 24 ساعت از خوردن غذاهای سفت اجتناب کنید. با این حال، از آنجایی که کامپوزیتها با استفاده از نور مخصوص در طول عمل سخت میشوند، میتوانید بلافاصله پس از آن غذاهای نرم بخورید و مایعات بنوشید.
کامپوزیت دندان خود باعث پوسیدگی دندان نمیشود. با این حال، لبههای کامپوزیت گاهی اوقات میتواند محلی برای تجمع پلاک باشد. ونیر کامپوزیتی در صورت بی توجهی به بهداشت دهان میتواند منجر به پوسیدگی شود.
بله کامپوزیت دندان را میتوان حذف یا جایگزین کرد. این اغلب زمانی انجام میشود که کامپوزیت فرسوده شده، آسیب دیده باشد یا در صورت وجود پوسیدگی در زیر پر شده باشد.
کامپوزیت دندان برای اصلاحات جزئی زیبایی را میتوان در یک جلسه تکمیل کرد. درمانهای پیچیدهتر یا چند مرحله ای ممکن است نیاز به بازدیدهای اضافی داشته باشد.
کامپوزیت دندان به طور ذاتی باعث ایجاد بوی بد دهان نمیشود. اگر پوسیدگی زمینهای یا بیماری لثه در اطراف ترمیم کامپوزیت وجود داشته باشد، به دلیل بهداشت نامناسب دهان ممکن است بوی بد دهان ایجاد شود.
کامپوزیت دندان دائمی نیست اما راه حلی بادوام است که میتواند تا 10 سال دوام بیاورد. طول عمر به عواملی مانند محل قرارگیری، کیفیت مواد و عادات دهانی بیمار بستگی دارد.
با گذشت زمان، کامپوزیت دندان ممکن است کمی تغییر رنگ دهد، به خصوص اگر مرتباً در معرض غذاها و نوشیدنیهایی که رنگی قرار گیرند. مراقبت مناسب و تمیز کردن منظم میتواند این اثر را به حداقل برساند.
هنگامی که کامپوزیت سفت شد، رنگ آن قابل تغییر نیست. با این حال، اگر تغییر رنگ رخ دهد یا اگر تغییر رنگ مورد نظر باشد، مواد کامپوزیت موجود را میتوان با یک کامپوزیت جدید با رنگ متفاوت جایگزین کرد.
📚منابع
pubmed.ncbi.nlm.nih.gov
ada.org
دریافت مشاوره و نوبت آنلاین
فیلد های "*" اجباری هستند
مقالات مرتبط
وقتی از هر واحد دندان در دندانپزشکی صحبت می کنیم منظورمان چیست؟
زمانی که برای مشاوره اصلاح طرح لبخند یا کاشت دندان
سن مناسب لمینت دندان از چه زمانی شروع می شود؟
تمایل به داشتن لبخندی بی نقص و درخشان سن و
بررسی جدیدترین روش های ترمیم دندان (با تمرکز بر بیلداپ)
در سال های اخیر، دندانپزشکی ترمیمی و زیبایی شاهد تغییراتی