توضیح مهم ترین چیزهایی که باید درباره لمینت دندان بدانید
- تـاریـخ:
- دسته بندی: مقالات, مقالات لمینت دندان
- نوشته شده توسط آرتمان درمان
- بدون نظر کاربران
فهرست عناوین این نوشتار
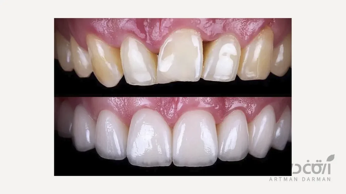
لمینت دندان در اصل نوعی ونیر دندانی (Dental Veneer)است. ونیرها پوسته ها یا لایه های نازکی هستند که به منظور زیبایی و پوشاندن عیوب ظاهری دندان استفاده می شوند. کامپوزیت ونیر و لمینیت سرامیکی دو نوع رایج از این ونیرها هستند که ما در این نوشتار درباره مورد دوم صحبت می کنیم.
لمینت دندان چیست؟
پرسلین ونیر (Porcelain Veneer) یا لمینت دندان در واقع یک لایه بسیار نازک است که معمولاً از جنس سرامیک ساختهمیشود. این لایه ظریف روی سطح بیرونی دندان های جلویی (قدامی) قرار می گیرد.
این “پوسته های” سرامیکی، با تراش بسیار محدود و محافظه کارانه مینای دندان؛ روی سطح دندان چسبانده می شوند. هدف اصلی از انجام درمان لمینت، ایجاد اصلاحات زیبایی در ظاهر دندان ها است.
انواع لمینت دندان
لمینتهای دندانی از نظر جنس و روش ساخت به چند نوع اصلی تقسیم میشوند که هرکدام ویژگیها، مزایا و کاربردهای خاص خود را دارند. به طور کلی، دو گروه اصلی برای لمینتها وجود دارد: لمینت سرامیکی (پرسلین ونیر) و لمینت کامپوزیتی (کامپوزیت ونیر). لمینتهای سرامیکی که از جنس سرامیکهای مقاوم و زیبا مانند E-max ساخته میشوند، دوام بالاتر، درخشندگی طبیعیتر و مقاومت بیشتر در برابر تغییر رنگ دارند. در مقابل، لمینتهای کامپوزیتی از مواد رزینی ساخته میشوند و با وجود هزینه کمتر و تراش محدودتر، ماندگاری کمتری دارند و به مرور زمان ممکن است تغییر رنگ دهند. علاوه بر این، برخی نمونه های جدیدتر مانند لمینتهای فوقنازک (Ultra-thin) یا بدون تراش (No-prep) نیز ساخته شدهاند که برای افرادی مناسباند که به درمانهای محافظه کارانهتر تمایل دارند.
به طور مشخص پرسلین ونیرها چه کاربردهایی دارند؟
درمان زیبایی لمینت دندان برای رفع نواقص مختلف دندان ها کاربرد دارد و می تواند به شما در دستیابی به یک لبخند زیبا و هماهنگ کمک کند. مهم ترین کاربردهای این ونیرها عبارت است از:

۱. تغییر رنگ دندان های تیره یا دارای لکه
لمینت برای افرادی که از تغییر رنگ های شدید دندان ها رنج می برند، گزینه بسیار مناسبی است. این تغییر رنگ ممکن است ناشی از:
- مصرف برخی داروها در گذشته
- مصرف مکرر نوشیدنی های رنگی مانند چای و قهوه
- یا حتی عوامل ژنتیکی باشد
طوری که با روش های معمول سفیدکننده (بلیچینگ) قابل رفع نیستند. لمینت با پوشاندن سطح خارجی دندان، رنگی روشن و یکدست ایجاد می کند و تیرگی ها را پنهان می سازد.
۲. اصلاح شکستگی ها، لب پریدگی ها یا سایش مینای دندان
اگر دندان های شما دچار شکستگی های جزئی، لب پریدگی های کوچک یا سایش مینای دندان شدهاند، لمینت می تواند به راحتی این نواقص را پوشش دهد. این کار باعث می شود دندان ها ظاهری سالم، کامل و یکپارچه پیدا کنند و از آسیب بیشتر به بافت های دندان جلوگیری شود. لمینت دندان به عنوان یک لایه محافظ و زیبایی بخش برای این دندان ها عمل می کند.
۳. بستن فاصله بین دندان ها (دیاستما)
وجود فاصله بین دندان ها، به ویژه در دندان های قدامی، می تواند بر زیبایی لبخند تأثیر منفی بگذارد. لمینت می تواند با بستن این فواصل (که در اصطلاح دندانپزشکی دیاستما نامیدهمیشوند)، لبخندی یکپارچه و هماهنگ ایجاد کند. این روش یک جایگزین سریع تر برای درمان های ارتودنسی است. مخصوصا در مواردی است که فواصل بین دندان ها کم و محدود باشد.

۴. اصلاح ناهمراستایی های خفیف و چرخش های جزئی دندان
در شرایطی که دندان ها دارای ناترازی های خفیف یا چرخش های جزئی هستند و نیاز به درمان ارتودنسی گسترده ندارند، لمینت دندان می تواند بدون نیاز به بریس ارتودنسی، آن ها را در یک راستا و هماهنگ نشان دهد. پرسلین ونیر در واقع با تغییر ظاهر سطح بیرونی دندان، این نامنظمی ها را پنهان می کند و خط لبخند را صاف تر نشان می دهد.
۵. اصلاح دندان های کوتاه یا نامتوازن
اگر برخی از دندان های شما به طور طبیعی کوتاه تر از بقیه هستند یا از نظر اندازه و شکل نامتوازن به نظر می رسند، لمینت سرامیکی می تواند به آن ها طول و فرم مناسب و متناسب با سایر دندان ها بدهد. با این روش، دندان ها هماهنگ تر و زیباتر به نظر می رسند و به ایجاد یک لبخند متوازن کمک می کنند.
۶. بهبود کلی طرح لبخند
در نهایت، لمینت دندان را می توان برای بهبود کلی و جامع طرح لبخند به کار برد. با ترکیب اصلاحات در رنگ، شکل، اندازه و همراستایی دندان ها، لمینیت می تواند یک تغییر مثبت و چشمگیر در ظاهر کلی لبخند شما ایجاد کند. و به شما اعتماد به نفس بیشتری ببخشد. این درمان یک سرمایه گذاری برای داشتن لبخندی است که همیشه آرزویش را داشتید.
به نقل از Dentistry Journal
Laminate veneers are thin, translucent porcelain covers that are bonded to the front surfaces of teeth to enhance aesthetics and correct minor imperfections
“لمینتهای دندانی پوششهای نازک و شفاف از سرامیک هستند که به سطح جلویی دندانها چسبانده میشوند تا زیبایی را افزایش دهند و نقصهای جزئی را اصلاح کنند.”
چه کسانی کاندید مناسبی برای لمینت دندان هستند؟
امروزه لمینیت دندان یکی از رایج ترین و پرتقاضا ترین درمان های زیبایی در ایران و جهان است. بسیاری از افراد مایل هستند با کمک این ونیرها طرح لبخند خود را اصلاح کنند. اما آیا هر شخصی که تمایل به انجام این درمان دارد واقعا کاندید مناسبی برای آن است؟

قاعدتا پاسخ این سوال خیر است. مانند تمام درمان های دیگر، بهتر است که افراد شرایط انجام این درمان را در وهله اول داشته باشند. اما چه افرادی بیشتر از همه می توانند طرح لبخند خود را با لمینت دندان زیباتر کنند:
به طور کلی این افراد کاندیداهای ایده آل برای لمینت سرامیکی هستند:
افراد دارای مینای دندان سالم
پرسلین ونیر برای اتصال محکم و پایدار خود، به یک لایه سالم و کافی از مینای دندان نیاز دارد. وجود مینای قوی، تضمین می کند که لمینت به خوبی روی دندان قرار می گیرد و دوام بیشتری خواهد داشت.
افرادی که انتظارات واقع بینانه دارند ..
آن دسته از مراجعانی که که درک درستی از نتایج لمینت دندان دارند و انتظاراتشان منطقی است، معمولاً از درمان خود راضی تر خواهند بود. لمینت سرامیکی می تواند لبخند شما را به شکل چشمگیری بهبود بخشد، اما نتیجه نهایی باید همسو با واقعیت های دندانپزشکی و زیبایی شناختی باشد.
افرادی که به دنبال اصلاح فرم یا رنگ دندان هستند
لمینیت ابزاری عالی برای اصلاح تغییر رنگ های مقاوم، بستن فواصل کوچک بین دندان ها، اصلاح لب پریدگی ها یا ناهماهنگی های جزئی در شکل دندان ها است. اگر هدف شما چنین اصلاحاتی است، ونیر پرسلین می تواند انتخاب بسیار مؤثری باشد.
چه کسانی کاندیدای مناسبی برای لمینت دندان نیستند؟
به طور خاص این افراد ممکن است نتوانند درمان ونیر پرسلین را انجام دهند:

افراد با تحلیل لثه فعال یا عفونت پریودنتال
اگر لثه های شما دچار تحلیل فعال یا بیماری های لثه (عفونت های پریودنتال) است، انجام لمینت توصیه نمی شود. ابتدا باید این مشکلات لثه درمان و کنترل شوند تا بستر سالمی برای قرارگیری لمینت فراهم شود. نادیده گرفتن این موارد می تواند به شکست درمان زیبایی و تشدید مشکلات لثه منجر شود.
کسانی با دندان قروچه شدید یا بهداشت ضعیف دهانی
دندان قروچه شدید می تواند فشار زیادی به لمینت ها وارد کند و باعث شکستگی یا لب پریدگی آن ها شود. همچنین، اگر بهداشت دهانی مناسبی نداشته باشید و به طور منظم مسواک و نخ دندان نکشید، ریسک پوسیدگی در زیر لمینت یا مشکلات لثه به شدت بالا می رود. و در نهایت موفقیت درمان را به خطر می اندازد.
متقاضیان با پوسیدگی وسیع یا تخریب ساختاری دندان
اگر دندان ها دچار پوسیدگی های گسترده یا تخریب ساختاری شدید باشند، لمینت دندان به تنهایی نمی تواند راه حل مناسبی باشد. در چنین مواردی، دندان ممکن است به درمان های ترمیمی پیچیده تر مانند بیلداپ، روکش کامل، پست و روکش و … نیاز داشته باشد تا استحکام لازم را به دست آورد.
اگر به دنبال درمان هایی با رویکرد محافظه کارانه و کم تهاجم هستید که با کمترین آسیب به دندان، باعث حفظ حداکثری ساختار دندان طبیعی شما شود، جهت دریافت مشاوره تخصصی و طرح درمان اختصاصی شماره تماس خود را وارد فرمایید
حداقل سن برای انجام لمینت دندان چقدر است؟
انجام لمینت دندان معمولاً برای افرادی توصیه میشود که رشد دندانی و فکی آنها به طور کامل پایان یافته باشد. به طور معمول، حداقل سن مناسب برای لمینت دندان حدود ۱۸ سالگی است، زمانی که استخوان فک و دندانها به ثبات نسبی رسیدهاند و تغییرات رشدی قابل توجهی در ساختار دهان رخ نمیدهد. در سنین پایین تر، احتمال تغییر موقعیت دندانها یا رشد فک وجود دارد که میتواند باعث ناهماهنگی و افتادن لمینت در آینده شود. با این حال، در برخی موارد خاص و با نظر دندانپزشک متخصص زیبایی، ممکن است لمینت برای افراد جوانتر نیز انجام شود؛ بهویژه اگر هدف اصلاح نقصهای جزئی در شکل یا رنگ دندانها باشد. تصمیمگیری در این زمینه باید بر اساس ارزیابی دقیق وضعیت فک، مینای دندان و نیاز زیبایی بیمار صورت گیرد.
در انتخاب رنگ و طراحی لمینت دندان چه مواردی مهم هستند؟
در فرآیند طراحی و انتخاب رنگ لمینت دندان، دقت و هماهنگی میان عوامل مختلف اهمیت زیادی دارد تا نتیجه نهایی طبیعی، متناسب و زیبا به نظر برسد. در مرحله انتخاب رنگ، باید به رنگ پوست، فرم لبها، سفیدی چشمها و حتی حالت چهره توجه شود تا رنگ لمینت با ویژگیهای ظاهری فرد هماهنگ باشد و لبخندی طبیعی ایجاد کند. همچنین در طراحی لمینت، فرم و اندازه دندانها، نحوه قرارگیری آنها در قوس فکی، میزان نمایش دندان هنگام لبخند و هماهنگی با دندانهای مجاور از فاکتورهای کلیدی محسوب میشوند. استفاده از فناوریهای دیجیتال در طراحی لبخند (Digital Smile Design) و شبیهسازی پیش از انجام درمان، به متخصص لمینت دندان این امکان را میدهد تا بهترین طرح و رنگ را متناسب با چهره هر فرد انتخاب کند. نتیجه نهایی زمانی ایدهآل خواهد بود که زیبایی و هماهنگی لبخند با اجزای صورت در بالاترین سطح خود قرار گیرد.
مراحل انجام لمینت دندان به چه صورت است؟
انجام لمینت دندان یک فرآیند دقیق و چندمرحله ای است که برای دستیابی به بهترین نتایج زیبایی شناختی طراحی میشود. هر مرحله با دقت انجام می شود تا لبخندی زیبا و طبیعی برای شما به ارمغان بیاید:
انجام مشاوره و بررسی تخصصی توسط متخصص ترممیی و زیبایی دندان
اولین گام، یک جلسه مشاوره کامل و بررسی تخصصی است. در این مرحله، متخصص ترمیمی و زیبایی سلامت کلی دهان و دندان های شما را ارزیابی می کند. همچنین، وضعیت بافت لثه به دقت بررسی می شود.
نکته بسیار مهم دیگر، توقع و انتظار شما از نتیجه نهایی است. شما و دندانپزشک با هم درباره رنگ، شکل و اندازه دلخواه ونیرها صحبت می کنید تا اهداف درمان به وضوح مشخص شوند.

طراحی دیجیتال لبخند (DSD)
پس از ارزیابی اولیه، نوبت به مرحله هیجان انگیز طراحی دیجیتال لبخند (Digital Smile Design – DSD) می رسد. در این مرحله، با استفاده از نرم افزارهای پیشرفته و تصاویر دندان های شما، یک شبیه سازی دقیق از نتیجه نهایی لبخندتان انجام می شود. این مرحله به شما کمک می کند تا قبل از شروع درمان، ببینید لبخند جدیدتان با لمینت دندان چطور خواهد بود و در صورت نیاز، تغییرات دلخواهتان را اعمال کنید.

تراش محافظه کارانه دندان
در این مرحله، دندان ها برای قرارگیری لمینیت آماده می شوند. برای لمینت های سرامیکی، معمولاً یک لایه بسیار بسیار نازک، بین ۰.۳ تا ۰.۷ میلی متر از مینای دندان، به صورت محافظه کارانه تراشیده می شود. تراش لمینت دندان بسیار ظریف است و هدف آن ایجاد فضای کافی برای نشستن دقیق لمینیت روی دندان و جلوگیری از برجستگی یا ضخیم به نظر رسیدن دندان است، تا نتیجه نهایی کاملاً طبیعی و زیبا باشد.
قالب گیری یا اسکن دیجیتال
پس از تراش دندان ها، متخصص ترمیمی و زیبایی از دندان های آمادهشده قالب گیری می کند. امروزه در بسیاری از مطب های پیشرفته، این کار با استفاده از اسکنرهای دیجیتال انجام می شود که دقت بسیار بالاتری دارند. اطلاعات به دست آمده از قالب یا اسکن، به لابراتوار دندانپزشکی فرستاده می شود تا لمینت های اختصاصی شما با نهایت دقت و جزئیات ساختهشوند.
نصب لمینت و پالیش نهایی
در جلسه نهایی، لمینت های اختصاصی روی دندان های شما قرار می گیرند. دندانپزشک از یک باندینگ رزینی مخصوص و بسیار قوی برای چسباندن لمینت ها به سطح دندان استفاده می کند. پس از چسباندن، لبه های ونیر با دقت پالیش می شوند تا کاملاً صاف و طبیعی به نظر برسند و با لثه شما هماهنگ باشند. در نهایت، با یک لبخند جدید و درخشان از مطب خارج خواهید شد.

مزایای لمینت دندان چیست؟
- افزایش جذابیت لبخند با ظاهری طبیعی
- حفظ ساختار دندان نسبت به روش هایی مانند روکش
- دوام بالا در صورت مراقبت مناسب
- مقاومت در برابر لکه
عوارض احتمالی یا محدودیت های لمینت دندان چیست؟
- شکستگی یا لب پریدگی در صورت ضربه یا عادت های نامناسب (مثل دندان قروچه)
- عدم امکان برگشت به حالت اولیه در لمینت های سرامیکی
- نیاز به بهداشت دقیق دهان و پیگیری منظم
مقایسه لمینت با سایر درمان های زیبایی
| درمان | میزان تهاجم | ماندگاری | هزینه تقریبی | زیبایی نهایی |
| لمینت دندان سرامیکی | کم | بالا | زیاد | بسیار بالا |
| کامپوزیت ونیر | کم | متوسط | متوسط | بالا |
| بلیچینگ (سفید کردن) | بسیار کم | پایین | کم | محدود به رنگ |
| ارتودنسی نامرئی | بدون تراش | طولانی مدت | بالا | اصلاح کل فک |
عمر مفید لمینت سرامیکی چقدر است؟
لمینتهای سرامیکی به دلیل ساختار مستحکم و ثبات رنگ بالا، یکی از بادوام ترین گزینهها در میان درمان های زیبایی دندان محسوب میشوند. در صورت رعایت صحیح بهداشت دهان و مراجعه منظم به دندانپزشک، عمر مفید این لمینتها معمولاً بین ۱۰ تا ۱۵ سال یا حتی بیشتر است. دوام لمینت سرامیکی به عواملی مانند نوع سرامیک مورد استفاده (مانند E-max)، مهارت دندانپزشک در نصب، وضعیت بهداشت دهان و عادات روزمره بیمار بستگی دارد. پرهیز از عادت هایی مانند دندانقروچه، باز کردن اجسام با دندان یا مصرف بیش از حد نوشیدنیهای رنگدار میتواند نقش مهمی در افزایش طول عمر لمینتها داشته باشد. در صورت نگهداری مناسب، لمینتهای سرامیکی نهتنها زیبایی لبخند را برای سالها حفظ میکنند، بلکه درخشش طبیعی خود را نیز از دست نخواهند داد.
چطور بعد از نصب ونیر پرسلین ها از آن ها مراقبت کنیم؟
پس از اینکه ونیر پرسلن ها روی دندان ها قرار می گیرند، رعایت یک سری نکات ساده جهت حفظ زیبایی، دوام و سلامت آن ها ضروری است. این مراقبت ها به حفظ درخشندگی و عملکرد مطلوب لمینت ها در بلندمدت کمک می کنند:
مسواک زدن منظم با خمیر دندان غیرساینده
برای اینکه لمینت ها و دندان های طبیعی تمیز بمانند، مسواک زدن منظم، حداقل دو بار در روز، از اهمیت زیادی برخوردار است. نکته مهم در این زمینه، انتخاب خمیر دندان های غیرساینده است. برخی خمیر دندان ها دارای ذرات زبری هستند که به مرور زمان می توانند به سطح لمینت آسیب بزنند یا باعث کدر شدن آن شوند.
استفاده روزانه از نخ دندان
مسواک زدن به تنهایی قادر به پاکسازی کامل تمامی نواحی (به ویژه فضاهای بین دندانی و مرز اتصال لمینت سرامیکی به لثه)، نیست. بنابراین، استفاده روزانه از نخ دندان (برای حذف ذرات غذا و پلاک از این نواحی) بسیار بسیار حیاتی است. این عمل از:
- تجمع پلاک
- پوسیدگی احتمالی در اطراف ونیر
- و التهاب لثه پیشگیری می کند.
پرهیز از مصرف غذاهای بسیار سفت یا چسبناک
لمینت دندان، با وجود استحکام مناسب، در برابر نیروهای شدید و ناگهانی آسیب پذیر است. به همین دلیل، باید از گاز زدن یا جویدن غذاهای بسیار سفت مانند:
- ته دیگ
- آجیل های با پوست سخت
- یخ
- یا آبنبات های سفت پرهیز شود.
همچنین، خوراکی های بسیار چسبناک نظیر تافی یا گز می توانند به لمینت فشار وارد کرده و خطر جدا شدن آن را افزایش دهند.
مراجعه منظم برای معاینه و پالیش
حتی در صورت عدم وجود هیچ گونه مشکلی، مراجعه منظم و دوره ای به متخصص ترمیمی و زیبایی برای معاینه و پالیش لمینت ها از اهمیت بالایی برخوردار است. دندانپزشک می تواند هرگونه مشکل احتمالی را در مراحل اولیه تشخیص دهد و با انجام پالیش حرفه ای، درخشندگی و زیبایی ونیرهای سرلمیکی را حفظ نماید. این مراجعات عموماً هر شش ماه تا یک سال توصیه می شوند.
استفاده از نایت گارد در صورت دندان قروچه شبانه
اگر عادت به دندان قروچه (براکسیسم) یا فشردن دندان ها به هم در طول شب وجود دارد، استفاده از یک نایت گارد (محافظ دهانی شبانه) امری بسیاری ضروری است. این وسیله محافظتی، نیروهای شدید ناشی از دندان قروچه را جذب می کند. در نتیجه از وارد آمدن آسیب های مکانیکی به لمینت دندان، نظیر شکستگی یا لب پریدگی آن، جلوگیری می کند. نایت گارد به صورت سفارشی برای هر فرد تهیه می شود.
برای کسب اطلاعات جامعتر درباره مراحل درمان و انتخابهای مربوط به لمینت دندان، مطالعه سایر مقالات وبسایت آرتمان درمان را به شما پیشنهاد میکنیم.
آیا کامپوزیت یا لمینت برای دندان های دارای تحلیل لثه مجاز است؟
آیا دندان روکش شده را می توان لمینت کرد؟
برای انتخاب بهترین متخصص لمینت در غرب تهران، این ۵ معیار کافیست
تفاوت رنگ لمینت A و B چیست؟ (توضیحات کامل در این خصوص)
✅ اگر شما هم به دنبال یک درمان طبیعی و محافظه کارانه لمینت هستید …
در درمان های زیبایی همچون لمینت دندان بهتر است که تمرکز بر رویکرد محافظه کارانه و نتایج طبیعی باشد. هرچه دندان طبیعی کمتر آسیب ببیند و نتایج به زیبایی دندان های طبیعی نزدیک تر باشد، درمان موفقیت آمیزتر می شود.
اگر شما نیز به دنبال مرکزی هستید که در تمام مراحل درمان (از نخستین جلسه مشاوره تا پایان مسیر لمینیت دندان) بر این اصول تکیه داشته باشد، در آرتمان درمان آماده ایم با همین نگاه از شما میزبانی کنیم.
❓پاسخ به سوالات رایج درباره ونیر پرسلین ها
در صورت مراقبت صحیح، لمینت سرامیکی بین ۱۵ تا ۲۰ سال و حتی بیشتر دوام دارد.
خیر. اگر به درستی انجام شود و بیمار انتخاب مناسبی باشد، آسیبی به دندان نمی زند.
لمینت های سرامیکی در برابر تغییر رنگ بسیار مقاوم اند.
بله. ولی چون تراش دادهشده، دندان به محافظت نیاز دارد و جایگزینی ونیر قبلی با لمینت سرامیکی جدید ضروری است.
دریافت مشاوره و نوبت آنلاین
فیلد های "*" اجباری هستند
مقالات مرتبط
هرآنچه که باید درباره لمینت سرامیکی دندان بدانید
در میان تمام روش های اصلاح طرح لبخند، لمینت سرامیکی
متخصص ایمپلنت دندان کیست: چه دندانپزشکی جراحی ایمپلنت انجام میدهد؟
افرادی که قصد دارند دندان یا دندانهای از دسترفته خود
با مهم ترین مراقبت های بعد از بلیچینگ دندان آشنا شوید
همانطور که میدانید، بلیچینگ یک درمان زیبایی با هدف سفید