بهترین روش ترمیم دندان جلو چیست؟ (بررسی همه درمان ها)
- تـاریـخ:
- دسته بندی: مقالات, مقالات ترمیم دندان
- نوشته شده توسط آرتمان درمان
- بدون نظر کاربران
فهرست عناوین این نوشتار
دندان های قدامی یا جلویی، ویترین لبخند و یکی از مهم ترین اجزای زیبایی صورت هستند. هرگونه آسیب، پوسیدگی یا تغییر رنگ در این ناحیه، چالش بزرگی برای فرد ایجاد می کند. در خصوص ترمیم دندان های قدامی (جلویی)، امروزه ما با طیف وسیعی از درمان ها روبرو هستیم که از یک پرکردگی ساده آغاز شده و تا روکش های کامل دندان ادامه می یابند. هنر و علم دندانپزشکی در این است که با درک دقیق میزان تخریب بافت دندان، بهترین روش ترمیم دندان جلو را انتخاب کند که کمترین تهاجم و بیشترین ماندگاری را داشته باشد. در این مقاله به تشریح دقیق و علمی این روش ها می پردازیم.
معیارهای علمی در انتخاب بهترین روش ترمیم دندان جلو کدامند؟
برای اینکه بتوانیم یک روش درمانی را به عنوان بهترین روش ترمیم دندان جلو برای یک مراجع خاص معرفی کنیم، باید پروتکل های درمانی را بر اساس “میزان بافت سالم باقیمانده” اولویت بندی کنیم. چراکه اصل بنیادین در دندانپزشکی امروز، “حداقل مداخله” (Minimally Invasive) است. به این معنی که تا زمانی که می توانیم با روش های ساده تر و با حفظ ساختار دندان مشکل را حل کنیم، نباید به سراغ روش های تهاجمی تر برویم.
انتخاب بهترین روش ترمیم بر اساس میزان تخریب دندان
| 🔍 میزان آسیب دندان | ✅ روش پیشنهادی | 🧠 منطق علمی |
| پوسیدگی سطحی | کامپوزیت ساده | حفظ حداکثری مینای سالم |
| لبپریدگی جزئی | باندینگ کامپوزیت | بدون تضعیف ساختار دندان |
| تخریب بیش از 40٪ | بیلداپ دندان | بازسازی مقاومت |
| تغییر رنگ شدید | لمینت سرامیکی | ثبات رنگ بلندمدت |
| تخریب کامل تاج | روکش دندان | محافظت کامل از دندان |
معیارهای اصلی ما در انتخاب روش ترمیم مناسب این ها هستند:
- عمق پوسیدگی یا شکستگی
- وضعیت عصب دندان (زنده بودن یا درمان ریشه شدن)
- میزان نیروهای وارد شده به دندان در هنگام جویدن
- و انتظارات زیبایی شناختی مراجع محترم
انواع روش های ترمیم دندان جلو بر اساس وسعت آسیب چه هستند؟
1. ترمیم ساده با کامپوزیت برای پوسیدگی های محدود

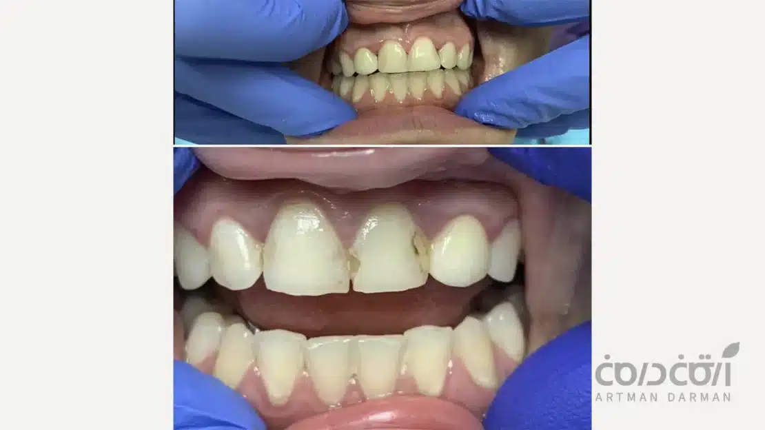
اولین و محافظه کارانه ترین خط درمان در دندانپزشکی، پر کردن یا ترمیم ساده دندان است. زمانی که دندان جلو دچار پوسیدگی های کوچک تا متوسط می شود (معمولاً در بین دندان ها یا پشت دندان)، بهترین روش ترمیم دندان جلو استفاده از ترمیم های ساده کامپوزیتی است. در این روش، متخصص ترمیمی و زیبایی تنها بافت های پوسیده و بیمار را با دقت حذف می کند و حفره ایجاد شده را با مواد همرنگ دندان پر می کند.
در این سطح از درمان، هدف اصلی بازگرداندن سلامت و یکپارچگی دندان است
کامپوزیت های امروزی به خوبی با دندان های اطراف هماهنگ هستند. به این معنی که رنگ دندان اطراف را به خود دارند و مرز ترمیم کاملاً محو می شود. برای پوسیدگی های کلاس ۳ (بین دندانی) و کلاس ۴ (لبه دندان) که وسیع نیستند، این روش قطعاً بهترین روش ترمیم دندان جلو است. زیرا بیشترین حجم از مینای دندان سالم دست نخورده باقی می ماند و استحکام دندان حفظ می شود.
2. باندینگ کامپوزیت راهکاری هنرمندانه برای اصلاحات جزئی

گاهی اوقات دندان پوسیدگی ندارد، اما دچار نقایص ظاهری کوچک است. در این شرایط، تکنیک باندینگ کامپوزیت (Composite Bonding) به عنوان بهترین روش ترمیم دندان جلو مطرح می شود. تفاوت باندینگ با پر کردن ساده در این است که باندینگ بیشتر جنبه زیبایی و اصلاح فرم دارد و اغلب نیازی به تراشیدن دندان نیست.
این روش برای مواردی زیر کاربرد دارد:
- ترک های جزئی دندانی
- لب پر شدن های جزئی لبه دندان
- وجود فواصل کوچک بین دندان ها (دیاستم)
- یا اصلاح زوایای دندان به کار می رود.
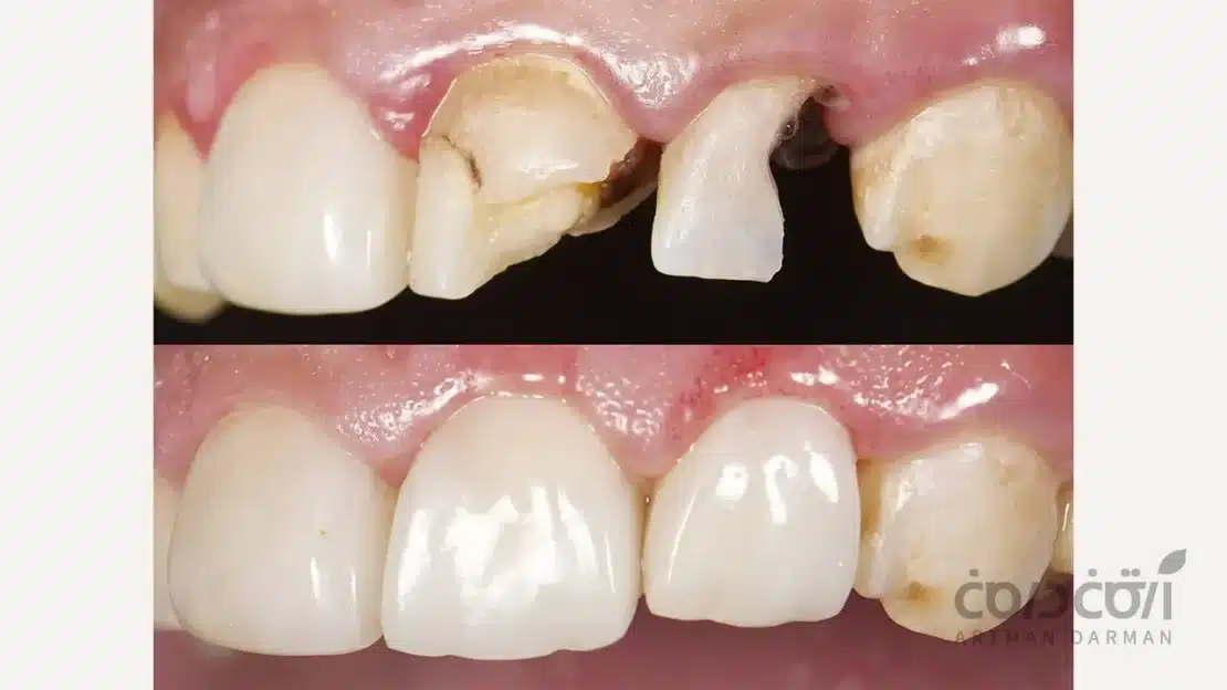
3. بیلداپ دندان یا بازسازی ساختاری دندان های تخریب شده

زمانی که میزان تخریب دندان فراتر از یک پوسیدگی ساده می رود، به خصوص در دندان هایی که درمان ریشه (عصب کشی) شده اند یا شکستگی های وسیع دارند، ما وارد حیطه “بیلداپ دندان” (Dental Build-up) می شویم.
در این شرایط، دیواره های دندان ضعیف شده اند و پر کردن ساده دیگر نمی تواند استحکام لازم را فراهم کند. بنابراین بیلداپ دندان به عنوان بهترین روش ترمیم دندان جلو برای بازگرداندن ساختار و مقاومت دندان انتخاب می شود.
4. ونیر کامپوزیت دندان برای تغییرات زیبایی گسترده تر

وقتی هدف از درمان فراتر از ترمیم یک نقطه خاص است و بیمار نیاز به تغییر رنگ یا فرم کل سطح جلویی دندان دارد، ونیر کامپوزیت وارد میدان می شود. در این روش، لایه ای از کامپوزیت روی تمام سطح بیرونی دندان قرار می گیرد.
ونیر کامپوزیت می تواند بهترین روش ترمیم دندان جلو برای کسانی باشد که می خواهند طرح لبخند خود را اصلاح کنند اما تمایلی به تراش زیاد دندان یا هزینه های بالای لمینت سرامیکی ندارند.
به نقل از PubMed
Adhesively bonded veneers made from various silicate ceramic materials have contributed significantly to the esthetic rehabilitation of anterior dentition, allowing restoration of biomechanics, adequate function, and masking of highly discolored teeth.
ونیرهای چسباندهشده با استفاده از مواد سرامیکی سیلیکاتی مختلف، نقش مهم و موثری در ترمیم زیبایی دندانهای جلویی داشتهاند، به طوری که علاوه بر بازیابی عملکرد مناسب دندان، میتوانند تغییر رنگهای شدید را نیز بپوشانند.
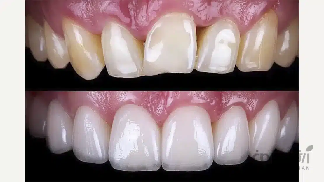
5. لمینت سرامیکی دندان اوج زیبایی و ماندگاری

در پله بالاتر از ونیرهای کامپوزیتی، لمینت های سرامیکی (Dental Laminates) قرار دارند. این روش زمانی به عنوان بهترین روش ترمیم دندان جلو انتخاب می شود که بیمار خواهان ثبات رنگ دائمی، درخشش شیشه ای و استحکام سطحی بالاتر باشد. لمینت ها پوسته های نازک سرامیکی هستند که در لابراتوار ساخته می شوند.
برای اصلاح تغییر رنگ های شدید که با بلیچینگ یا کامپوزیت پوشانده نمی شوند، و یا برای تغییر فرم های اساسی که نیاز به استحکام بالا دارند، لمینت سرامیکی قطعاً بهترین روش ترمیم دندان جلو است. این درمان یک سرمایه گذاری بلندمدت برای زیبایی لبخند محسوب می شود.
6. روکش دندان به عنوان آخرین گزینه درمانی

در انتهای این طیف درمانی، روکش دندان (Dental Crown) قرار دارد. روکش یک پوشش کامل است که دور تا دور دندان را احاطه می کند. در فلسفه دندانپزشکی مدرن و محافظه کارانه، روکش تنها زمانی بهترین روش ترمیم دندان جلو است که هیچ یک از روش های قبلی (بیلداپ، ونیر یا لمینت) قابل انجام نباشند.
این شرایط معمولاً زمانی پیش می آید که دندان به قدری تخریب شده است که هیچ دیواره سالمی برای نگه داشتن مواد ترمیمی باقی نمانده، یا دندان تحت فشارهای سنگین جویدن قرار دارد و خطر شکستن آن بسیار بالاست.
بهترین دندان، دندان طبیعی خود شماست!
رویکرد ما در مجموعه دندانپزشکی آرتمان درمان انجام درمان به صورت محافظه کارانه و با حفظ حداکثری نسج دندان طبیعی است. اگر به دنبال درمانی اصولی، طبیعی ومحافظه کارانه هستید، با همین نگاه میزبان شما در آرتمان درمان هستیم.
02166003625 09021216575مقایسه تمامی روش های ذکر شده در یک نگاه
برای انتخاب بهترین روش ترمیم دندان جلو، باید نگاهی مقایسه ای به این روش ها داشته باشیم:
- پوسیدگی کوچک: پر کردن ساده (حفظ کامل ساختار).
- لب پر شدگی یا دیاستم: باندینگ کامپوزیت
- تخریب وسیع یا عصب کشی: بیلداپ دندان
- تغییر رنگ/فرم با بودجه محدود: ونیر کامپوزیت
- تغییر رنگ/فرم با دوام بالا: لمینت سرامیکی
- تخریب کامل تاج: روکش دندان
این سلسله مراتب نشان می دهد که بهترین روش ترمیم دندان جلو همیشه روشی است که در پله های پایین تر (کم تهاجمی تر) قرار دارد، مگر اینکه اجبار کلینیکی ما را به پله های بالاتر ببرد.
مقایسه روشهای ترمیم دندان جلو در یک نگاه
| 🦷 روش ترمیم | 🎯 کاربرد اصلی | 🪥 میزان تراش | ⏳ ماندگاری تقریبی |
| کامپوزیت ساده | پوسیدگیهای کوچک | خیلی کم | 5–7 سال |
| باندینگ کامپوزیت | اصلاحات جزئی | بدون تراش | 4–6 سال |
| بیلداپ دندان | تخریب وسیع / عصبکشی | کم | 7–10 سال |
| ونیر کامپوزیت | اصلاح فرم و رنگ | کم | 5–7 سال |
| لمینت سرامیکی | زیبایی پیشرفته | متوسط | 10–15 سال |
| روکش دندان | تخریب شدید تاج | زیاد | 10–15 سال |
اهمیت تشخیص صحیح دندانپزشک در موفقیت درمان را نباید فراموش کرد
انتخاب میان این روش ها کاری تخصصی است. ممکن است مراجع محترم تصور کند که به روکش نیاز دارد، در حالی که یک بیلداپ دقیق می تواند دندان او را نجات دهد و بافت بیشتری را حفظ کند. یا بالعکس، ممکن است اصرار بر ترمیم ساده برای دندانی که دیواره هایش از دست رفته، منجر به شکستگی غیرقابل ترمیم دندان شود. بنابراین، بهترین روش ترمیم دندان جلو در واقع نتیجه تشخیص صحیح متخصص ترمیمی و زیبایی بر اساس اصول بیومکانیک است.
دندانپزشک با بررسی ضخامت دیواره های باقیمانده، وضعیت لثه و نیروهای بایت، مشخص می کند که دندان در کدام دسته قرار می گیرد. برای مثال، اگر دندانی بیش از ۵۰ درصد نسج خود را از دست داده باشد، بیلداپ ممکن است کافی نباشد و روکش به بهترین روش ترمیم دندان جلو تبدیل شود.
برای تضمین ماندگاری ترمیم ها چه اقداماتی نیاز است؟
صرف نظر از اینکه کدام یک از این روش ها به عنوان بهترین روش ترمیم دندان جلو برای شما انتخاب شده است، نگهداری صحیح کلید دوام ترمیم است.
- ترمیم های کامپوزیتی (پرکردگی، باندینگ، ونیر، بیلداپ): نیاز به پولیش دوره ای دارند و باید از جویدن غذاهای خیلی سفت یا رنگی با آن ها پرهیز کرد.
- ترمیم های سرامیکی (لمینت، روکش): نیاز به مراقبت در برابر ضربه دارند و بهداشت لبه های آن ها (محل اتصال به دندان) بسیار حیاتی است.
رعایت بهداشت دهان، استفاده از نخ دندان و مراجعات منظم، وجه مشترک مراقبت در تمام این روش هاست.
فلسفه آرتمان درمان همواره تمرکز بر روی ترمیم های محافظه کارانه است …
انتخاب بهترین روش ترمیم دندان جلو مسیری است که از ساده ترین درمان ها آغاز شده و به پیچیده ترین آن ها ختم می شود. اگر دندان شما آسیب جزئی دارد، پر کردن ساده یا باندینگ بهترین انتخاب است. اگر آسیب وسیع تر است، بیلداپ دندان هنرمندانه ترین راه برای نجات دندان بدون روکش است. برای زیبایی بیشتر، ونیر و لمینت گزینه های طلایی هستند و روکش، سنگر آخر برای حفظ دندان های ضعیف است.
👋 برای کسب اطلاعات بیشتر درباره روشهای ترمیم دندان، مطالعه سایر مقالات وبسایت آرتمان درمان پیشنهاد میشود
پست و کور دندان چیست و چه زمانی انجام می شود؟
توضیح اینله و انله به زبان ساده + شرح مراحل
آشنایی با مهم ترین ترمیم های بعد از درمان ریشه دندان
بیلداپ کامپوزیت؛ راهی برای بازسازی ساختار و عملکرد دندان های آسیب دیده
بررسی جدیدترین روش های ترمیم دندان (با تمرکز بر بیلداپ)
✅در مجموعه ما، تعهد بر این است که همیشه از پله اول درمان را شروع کنیم…
ما معتقدیم که بهترین روش ترمیم دندان جلو، روشی است که کمترین دستکاری را در طبیعت دندان شما ایجاد کند و در عین حال نتایج طبیعی و ماندگار را حاصل کند. با مشاوره دقیق، ما مناسب ترین راهکار را متناسب با شرایط دندان تان انتخاب خواهیم کرد. اگر به دنبال مرکزی هستید که در تمام مراحل درمان (از نخستین جلسه مشاوره تا پایان مسیر) بر این اصول تکیه داشته باشد، در آرتمان درمان آماده ایم با همین نگاه از شما میزبانی کنیم.
❓سوالات متداول درباره روش های ترمیم دندان قدامی
خیر، بیلداپ فرآیندی پیچیده تر و وسیع تر از پر کردن ساده است.
خیر، این یک باور قدیمی است. اگر دندان جلو دیواره های کناری سالمی داشته باشد، بیلداپ دندان قطعاً بهترین روش ترمیم دندان جلو است و نیازی به تراشیدن دندان برای روکش نیست.
تمام روش ها اگر با مهارت و توسط متخصص ترمیمی و زیبایی انجام شوند، طبیعی هستند. اما لمینت های سرامیکی و روکش های تمام سرامیک به دلیل خواص نوری ذات سرامیک، بیشترین شباهت را به مینای دندان دارند.
دریافت مشاوره و نوبت آنلاین
فیلد های "*" اجباری هستند
مقالات مرتبط
7 علامت اصلی عفونت ریشه دندان + روش های درمان این عفونت
مراجعهکنندگان به مراکز دندانپزشکی اغلب با مشکل عفونت ریشه
پر کردن دندان با کامپوزیت و مواد همرنگ دندان
برای ترمیم پوسیدگی دندان، دندانپزشک ابتدا قسمت پوسیده دندان را
ترمیم دندان شکسته: چگونه دندان شکسته شده را ترمیم کنیم؟
شکستگی دندان یک مشکل نه چندان رایج است که میتواند