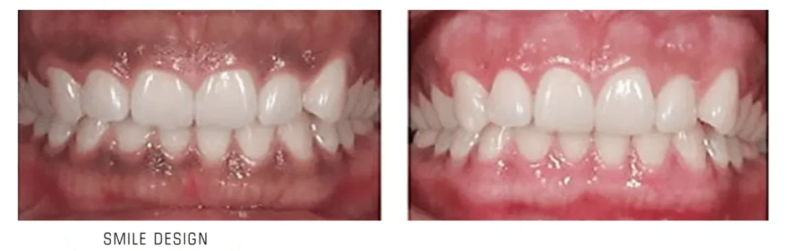
تمام آنچه که باید درباره اصلاح طرح لبخند بدانید
- تـاریـخ:
- دسته بندی: مقالات, مقالات دندانپزشکی عمومی
- نوشته شده توسط آرتمان درمان
- 8 نظر کاربران
فهرست عناوین این نوشتار
در برخی مواقع پیش آمده که حین صحبت با عدهای از افراد، چشمانمان روی لبخندشان مکث میکند و از لبخند زدنشان لذت میبریم. در واقع، لبخند این افراد باعث جلب توجه ما میشود. گویی که آنها یا به صورت طبیعی و مادرزاد یک طرح لبخند زیبا دارند، یا طی فرآیند طراحی و اصلاح طرح لبخند، صاحب چنین لبخند زیبایی شده اند.
دلیل جذاب بودن برخی لبخندها نمایان بودن فاکتورهای مهم زیبایی شناسی در آن لبخندها است. در یک طرح لبخند زیبا اصولی وجود دارد که، رعایت این اصول، لبخند را جذابتر میکند. این اصول با گذشت زمان تغییری نمیکنند و تغییر مد و سلیقه، تاثیری روی آنها ندارد. این پایهها زیر ساختار لبخندی زیبا در هر زمان هستند.
جدول جامع اصول و روشهای اصلاح طرح لبخند 🦷📐
| موضوع اصلی | توضیح مختصر |
| تعریف طرح لبخند 😊 | هماهنگی ساختار دندانها، لبها و احساسات در لبخند که زیبایی و عملکرد اجتماعی فرد را شکل میدهد. |
| روشهای اصلاح طرح لبخند 🦷 | شامل بلیچینگ، ترمیم دندانها، لمینت و کامپوزیت ونیرها و جراحی زیبایی لثه برای بهبود ظاهر لبخند است. |
| اصول زیبایی شناسی لبخند 📐 | تقارن، تراز لبخند، نسبت طلایی، شکل لبه دندانها و سلامت لثه از مهمترین اصول زیبایی شناسی لبخند هستند. |
| عوامل تاثیرگذار بر زیبایی ⚖️ | موقعیت فکها، سلامت و رنگ لثهها، فرم و رنگ دندانها و تراز قرارگیری آنها در لبخند تاثیرگذارند. |
| هدف اصلاح طرح لبخند 🎯 | ایجاد تعادل و هماهنگی بین دندانها، لثه، عضلات و مفاصل برای حفظ زیبایی و سلامت دهان و دندان. |
طرح لبخند چیست؟
لبخند، توانایی هر فرد برای بروز طیفی از احساسات است و این ساختار و حرکت دندانها و لبها هستند که یک طرح لبخند را میسازند. اهمیت لبخند موضوع تازهای نیست؛ بنابرای به همین یک نکته اشاره میشود که یکی از عواملی که بر روی عملکرد فرد در جامعه تاثیرگذار است، لبخند است. به همین دلیل امروزه طراحی لبخند شاید یکی از دغدغههای بسیاری از افراد جامعه باشد.

مهمترین درمان در فرآیند اصلاح طرح لبخند
در لبخندی زیبا هماهنگی کاملی بین تمامی اجزاء دندانی و صورتی به هنگام لبخند دیده میشود. جهت اصلاح طرح لبخند و برقراری چنین هماهنگی، طیف وسیعی از درمانها انجام می شود که برخی از مهمترین آن ها عبارتند از:
بلیچینگ دندان
بلیچینگ دندانی یکی از رایج ترین روش های اصلاح طرح لبخند است و جهت سفید کردن دندان مورد استفاده قرار می گیرد. در این درمان تغییر رنگ دندان ها برطرف شده و انواع لکه های دندانی برطرف می شوند. بلیچینگ دندان به دو صورت در مطب و یا در خانه انجام داده می شود. بلیچینگ در مطب ایمن ترین و بهترین روش سفید کردن دندان ها است. اینکار مخصوصاً اگر با لیزر دیود انجام شود با نتایج بهتر و محافظه کارانه تری همراه خواهد بود.
ترمیم دندانها
برخی از ترمیم های دندانی شامل موارد زیر می شود:
- رفع پوسیدگی دندان و پر کردن دندان ها
- ترمیم های اینله وانله
- باندینگ کامپوزیت به دندان ها
- بیلداپ و بازسازی دندان ها
- و …
ونیرهای سرامیکی یا لمینت دندان
لمینت ها لایه های نازکی هستند که برای بهبود دندان های تغییر رنگ یافته، شکسته، لب پر شده و … به سطح جلوی دندان ها متصل می شوند. مدت زمان طولانی است که لمینت دندان به عنوان یک درمان رایج جهت اصلاح طرح لبخند بکار می رود.
کامپوزیت ونیرها
اصلاح طرح لبخند با کامپوزیت روشی بسیار محافظه کارانه و کم هزینه تر نسبت به لمینت های دندانی است. در این روش از رزین کامپوزیت برای اصلاح جزئی دندان ها (تنها بخشی از دندان) و یا اصلاح گسترده دندان در تمام سطوح استفاده می شود. برای اصلاح طرح لبخند با کامپوزیت دندان نیازی به تراش دندان نیست و تمام مراحل در مطب دندانپزشک (بدون نیاز به لابراتوار) انجام می شود.
سایر روش های اصلاح طرح لبخند عبارتند از:
- روکش دندان در مواردی که آسیب های گسترده دندانی وجود دارد
- ارتودنسی دندان
- جراحی زیبایی لثه
- و…
بهترین دندان، دندان طبیعی خود شماست!
رویکرد ما در مجموعه دندانپزشکی آرتمان درمان انجام درمان به صورت محافظه کارانه و با حفظ حداکثری نسج دندان طبیعی است. اگر به دنبال درمانی اصولی، طبیعی ومحافظه کارانه هستید، با همین نگاه میزبان شما در آرتمان درمان هستیم.
02166003625 09021216575طراحی لبخند چیست و چه مفهومی دارد؟
طراحی لبخند یا اصلاح طرح لبخند به معنای استفاده از اصول علمی و هنری برای ایجاد یک لبخند زیبا و برطرف کردن ایرادات لبخند است. این اصول با توجه به موارد زیر شکل گرفته و یا تدوین شده اند:
- بررسی داده های جمع آوری شده از بیماران
- مدل های تشخیصی
- معاینات دندانپزشکی
- عکس های رادیوگرافی
- و با در نظر گرفتن اصول پایه و بیسیک هنری در مورد زیبایی
البته گاه معیارهای زیبایی ممکن است از مفاهیم فرهنگی، قومی و نژادی تاثیر گرفته و با معیارهای معمول و عرف تفاوت داشته باشند.
به نقل از ScienceDirect
“The primary goal of esthetic treatment is to ensure patient satisfaction and meet their expectations of improving their facial esthetics and smile. However, some patients may have doubts regarding the irreversible nature of the treatment. In such cases, the Digital Smile Designing (DSD) technique can be employed to educate and motivate patients.”
«هدف اصلی درمانهای زیبایی، اطمینان از رضایت بیمار و برآورده کردن انتظارات وی در زمینه بهبود زیباییشناسی صورت و لبخند است. با این حال، برخی بیماران ممکن است نسبت به غیرقابل بازگشت بودن برخی درمانها دچار تردید شوند. در چنین مواقعی، تکنیک طراحی لبخند دیجیتال (DSD) میتواند برای آگاهسازی و انگیزش بیماران بهکار گرفته شود.»
اهداف اصلاح و طراحی لبخند چیست؟
پیتر داوسون (Peter Dawson) از بزرگان علم دندانپزشکی هدف از بازسازی، طراحی و اصلاح طرح لبخند را ایجاد سیستمی با ثبات دانسته که اجزای آن در صلح و هارمونی کنار یکدیگر کار می کنند.
این اجزاء شامل موارد زیر می شوند:
- دندان ها
- بافتهای لثهای
- عضلات
- مفاصل
- و استخوانها
با این تعریف، طراحی لبخند را نمیتوان جزئی جداگانه از سیستم دهان و دندان دانست. و کسب نتیجهای که کلیت زیبایی و سلامتی را توامان دربرداشته باشد، مستلزم توجه به کلیه اجزای سیستم دهان و دندان ها است.
به عنوان مثال، کامپوزیت ونیرهایی که بدون در نظر گرفتن فضای لثهای قرار داده شدهاند، موجب التهاب بافتهای لثهای شده و علاوه بر سلامتی، زیبایی را نیز دچار مخاطره میکنند. و یا لمینت دندان و روکشهایی که بدون توجه به اکلوژن (نحوه روی هم آمدن دندانها) و برقراری تماسهای صحیح با دندانهای مقابل بر روی دندانها قرار داده میشوند، به مرور زمان موجب آسیب به عضلات و مفاصل فک میگردند.
چه عواملی در زیبایی لبخند تاثیرگذارند؟
هر کدام از عوامل زیر میتوانند در زیبایی لبخند موثر باشند:
- زیبایی صورت و چهره
- زیبایی لثه
- زیبایی میکروستاتیک
- زیبایی ماکروستاتیک
زیبایی چهره و صورت
یکی از عواملی که در زیبایی لبخند یا طرح لبخند یک فرد تاثیر بسزایی دارد، محل قرارگیری فکین (فک های بالا و پایین) نسبت به یکدیگر است. فک پایین به طور معمول عقبتر و یا در داخل فک بالا قرار داشته و دندان های فک بالا جلو تر از دندان های فک پایین قرار گرفته اند.

اگر فک بالا بصورت غیر نرمال عقبتر از حالت عادی خود نسبت به فک پایین قرار گیرد یا بالعکس، خیلی جلو تر از حالت معمول خود باشد، فرم نا زیبایی را در طرح لبخند ایجاد می کند. این مشکلات با مراجعه به جراح فک و صورت و انجام جراحی ارتوگناتیک و ارتودنسی برای هماهنگ کردن دندان ها با وضعیت جدید برطرف شده و بدین شکل لبخند این افراد تصحیح می گردد.

زیبایی لثه
متخصصان دندانپزشکی (به خصوص متخصص ترمیمی و زیبایی دندان یا متخصصین پریو) طی فرآیند اصلاح طرح لبخند، تلاش خود را میکنند تا عیوب ظاهری لثه را برطرف کنند. و برای این منظور، 3 فاکتور زیر را بررسی کرده و هر نوع مشکلی در خصوص آنها را اصلاح میکنند:
- رنگ لثه ها
- میزان لثه قابل رویت
- انحنای لثهها
رنگ لثه در یک لبخند زیبا باید چگونه باشد؟
رنگ لثه طبیعی در یک طرح لبخند زیبا، صورتی است. و لثهای که از حالت طبیعی خارج شده و ملتهب است، نمایی قرمز رنگ و نازیبا دارد. لثههای ملتهب معمولا با درمان جرم گیری دندان به حالت عادی خود باز میگردند.

گاهی لثهها به طور مادرزادی حاوی رنگدانههایی هستند که رنگ آنها را از حالت صورتی و طبیعی خود خارج میکند. امروزه این گونه تغییر رنگها به کمک لیزر دندانپزشکی برطرف میشوند.
در یک لثه طبیعی و زیبا چه مقدار از بافت لثه باید مشخص باشد؟
در بعضی ازافراد هنگام لبخند زدن مقدار زیادی از لثهها آشکار و نمایان میشود. این فرم از لبخند، لبخند لثه ای (gummy smile) نامیده می شود. لبخند لثهای حالتی است که در آن، هنگام لبخند زدن لب، بالایی بیش از حد به بالای دندانهای بالایی رفته و لثهها را نمایان می سازد. این وضعیت سبب ایجاد لبخندی ناخوشایند می شود.

یکی از علت های این وضعیت، بیش فعالی عضلهای است که لب بالایی را بالا میبرد. گاهی اوقات، داشتن یک لب بالایی باریک سبب تشدید لبخند لثهای شده و با نمایانتر کردن لثهها، مشکل را تشدید میکند.
این نوع از لبخند لثهای را میتوان به آسانی و به نحوی موثر با استفاده از تزریق ژل بوتاکس در ناحیه عضله لب بالا درمان نمود. این ماده فعالیت عضلهای که لب بالایی را بالا میبرد را کم میکند.
از علل دیگر لبخند لثهای کوچک بودن و مربعی شکل بودن دندان ها و پوشانده شدن میزان زیادی از آن ها توسط لثهها است. در این حالت با جراحی زیبایی لثه و یا جراحی افزایش طول تاج میتوان لبخند فرد را اصلاح نمود.
انحنای لثه در یک لبخند زیبا به چه شکل است؟
کانتور یا انحنای لثهای شش دندان قدامی (جلویی) فک بالا نقش مهمی در زیبایی طرح لبخند ایفاء میکند. کانتور لثهای معمولا زنیت لثهای (gingival zenith) نامیده می شود. برای تامین زیبایی لثهها، مارجینها یا لبههای لثهای دو دندان ثنایای جلویی باید در یک سطح قرار داشته باشند.

درعین حال مارجینهای لثهای این دو دندان باید کمی بالاتر از دو دندان ثنایای کناری و همسطح با دندانهای نیش باشند. مارجینهای لثهای دندانهای ثنایای کناری 2-0.5 میلیمتر پایینتر از دندانهای ثنایای میانی و نیشها قرار دارد.
در صورتی که چنین توازنی برقرار نباشد، با انجام جراحی زیبایی لثه میتوان لبههای لثهای را تصحیح و متوازن کرد.
به طور کلی هر چقدر این عدم قرینگی به خط میانی دو دندان جلو نزدیکتر باشد، بیشتر قابل تشخیص خواهد بود. در نتیجه در دندانهای خلفی (عقبی) لزوم این قرینه بودن کمتر خواهد بود. اما قرینه بودن کانتورهای دو دندان ثنایای میانی همیشه لازم است.
زیبایی میکرواستاتیک
منظور از زیبا سازی میکرواستتیک یا (Microstatic) طبیعی جلوه دادن دندانها با در نظر گرفتن ویژگیها و جزئیات هر کدام از دندان های طبیعی ما است. هر دندانی که طی فرآیند اصلاح طرح لبخند بر اساس اصول میکرواستاتیک زیباسازی شده باشد باید از هر نظر مشابه با یک دندان واقعی، زیبا باشد و مخصوصا در جزئیات تمام ویژگی های یک دندان طبیعی را داشته باشد.

برخی از فاکتورهایی که در خصوص زیبایی میکرواستاتیک مورد توجه قرار میگیرند عبارتند از:
- خصوصیات آناتومیک اولیه و جزئیات آناتومی ثانویه از مهم ترین این موارد هستند (که مختص به هر دندان بوده و بازسازی آن ها بخصوص در دندان های قدامی که در طرح لبخند بیشتر به چشم می آیند بسیار اهمیت دارد.)
- نسبت طول به عرض دندان که فرم کلی آن را مشخص می کند
- رنگ دندان ها
- میزان شفافیت دندان ها بخصوص در ناحیه لبه دندانهای قدامی
برخی از پروسههای اصلاح طرح لبخند برای رعایت اصول میکرواستاتیک کدامند؟
در صورتی که فرم و تمامی خصوصیات آناتومی دندان ایده آل است، ولی دندانها از رنگ مناسبی برخوردار نیستند، میتوان از درمان بلیچینگ جهت بهبود رنگ استفاده کرد.
و زمانی که همرنگ و هم فرم دندانها نیاز به تغییر دارند، بسته به شرایط دندان از درمان هایی مانند کامپوزیت ونیر، لمینت های سرامیکی و در بعضی از موارد از روکش استفاده می شود.
زیبایی ماکرواستاتیک
در زیبایی میکرواستاتیک ما بر روی جزئیات زیبایی شناسی تک تک دندان ها تمرکز داشتیم و کاری به دندانهای مجاور یا مجموعه ای از دندانها نداریم. اما در یک طرح لبخند زیبا نه تنها تک تک دندانها در نمای لبخند باید زیبا باشند که نحوه قرارگیری چند دندان با هم نیز باید مورد بررسی قرار گیرد.

در واقع در زیبایی میکرواستاتیک انگار که دوربین زوم شده است و ما در نمایی نزدیک تنها می توانیم یک دندان را ببینیم و روی آن کار کنیم. اما در زیبایی ماکرواستاتیک مانند این است که دوربین از سوژه فاصله گرفته و ما نمایی کلی تر را مشاهده می کنیم. به این معنا که زیبایی ماکرواستاتیک هنگام درنظر گرفتن چندین دندان کنار هم خود را نشان میدهد.
زیبایی ماکرواستاتیک کلیات یک لبخند را در نظر میگیرد
به تعبیری کلیت دندانها در قابهای لثهای و در ارتباط با چهره بیمار تصویری سهبعدی را ایجاد میکند. حالا در این تصویر سهبعدی آنچه اهمیت دارد نحوهی چیدمان عناصر است.
اگر دندانها بسیار زیبا و خوشرنگ و آناتومیک باشند ولی چیدمان درستی نداشته باشند، این بینظمی، کل تصویر لبخند را تحت تاثیر قرارخواهد داد. مانند فردی که تک تک دندانهایش از نظر رنگ و فرم زیبا هستند ولی همین دندانها وقتی کنار هم قرار میگیرند به دلیل بی نظمی لبخند زیبایی را بوجود نمی آورند. مهم ترین درمان برای این جنبه از زیبایی درمان ارتودنسی میباشد .
چه اصولی سبب زیباتر شدن لبخند می گردند؟
تقارن (Symmetry)
در یک لبخند زیبا تقارن در دو طرف خط میانی صورت از اهمیت بالایی برخوردار است. دو دندان ثنایای میانی (دندانهای پیش یا پیشین) فک بالا باید در اندازه، طول و شکل متقارن باشند.

تراز افقی (Horizental Alignment)
به طور ایدهآل خط لبخند بهتر است تراز بوده و با خط افق موازی باشد.

خط لبخند (Smile Line)
در یک طرح لبخند زیبا، هنگام لبخند زدن لبه دندانهای فک بالا باید خط منحنی ایجاد شده توسط لب پایین را دنبال کند.

پهنای لبخند (Smile Width)
در یک طرح لبخند باریک، دندانهای خلفی (عقبی) اغلب در سایه هستند و این باعث تشکیل مثلثهای تاریکی در گوشههای دهان میشود. یک اصلاح طرح لبخند با پهنای بیشتر باعث میشود میزان ایدهآلی از دندانها از جلو به عقب دیده شوند که این مسئله لبخند را جذابتر میکند.

خط لثه (Gum line)
خط لثه بالاترین نقاط در سطح لثهای دندانهای فک بالا (زنیت لثهای) را به هم وصل میکند. این خط در دو طرف دهان باید متقارن باشد.
به طور ایدهآل این خط میتواند خط لب بالا را دنبال کند که باعث میشود میزان بسیار کمی از لثه دیده شود یا اینکه لب بالا در جایی قرار گیرد که میزان کمی از لثهها در حد ۲ میلیمتر دیده شود.

نسبت طلایی (Golden Proportion)
نسبت طلایی که در طبیعت و در آثار هنری وجود دارد، در یک طرح لبخند زیبا هم موجود است. این نسبت طلایی بین پهنای دندانهای قدامی انسان (در صورتی که از روبرو دیده شود) و همچنین در نسبت طول به عرض یک دندان قدامی نرمال وجود دارد.
زمانی که طرح لبخند یک فرد از روبرو مشاهده میشود، پهنای هر دندان جلویی 60 درصد پهنای دندان مجاور آن است. به عنوان مثال نسبت ریاضی که بین دندان های ثنایای میانی، ثنایای کناری و نیش برقراراست: 0.6 -1 – 1.6 می باشد. رعایت این نسبت در بازسازی و اصلاح طرح لبخند و در زیبایی آن بسیار موثر است.

شکل لبه دندانی (Incisal Edge Configuration)
در یک لبخند جوان این شکل نامنظم است، در حالی که در لبخند افراد با سن بالاتر ظاهری تختتر دارد.

زوایای بین لبه دندانها (Interincisal Angles)
زوایای بین لبهای، فضاهای مثلثی کوچکی بین لبه دندانها هستند. وجود این فضاها نمای طبیعیتری را به لبخند میبخشد.

لبها (Lips)
لبها برای دندان حکم قاب برای یک تصویر را دارند. تقارن لبها میتواند به ایدهآل شدن طرح لبخند کمک کند.

لثههای سالم (Healthy Gums)
بافت لثهها باید محکم و به رنگ صورتی روشن بوده و بدون تورم و خونریزی باشد.

👋 برای آگاهی بیشتر از روند درمان بیماری های عمومی دهان و دندان، مطالعه سایر مقالات وبسایت آرتمان درمان توصیه میشود.
انواع عمل جراحی لثه و هر آنچه که باید درباره آن ها بدانید
آشنایی کامل با پلاک دندان + (معرفی روش های از بین بردن پلاک دندانی)
✅اهمیت رعایت اصول جامع در اصلاح طرح لبخند برای دستیابی به زیبایی و سلامت پایدار
در دنیای امروز، زیبایی لبخند تنها به سفید بودن دندانها محدود نمیشود، بلکه نیازمند در نظر گرفتن مجموعهای از اصول علمی، هنری و تخصصی است که در هماهنگی کامل اجزای صورت، دندانها و لثه نمود پیدا میکند. یک طرح لبخند موفق، نتیجه دقت به جزئیات میکرواستاتیک، ماکرواستاتیک و اصول عملکردی فک و عضلات است. تمامی درمانهای موثر در این مسیر — از بلیچینگ گرفته تا لمینت، ارتودنسی و جراحیهای زیبایی لثه — زمانی نتیجهای ماندگار و دلپذیر خواهند داشت که با نگاه تخصصمحور و شخصیسازیشده انجام شوند. اگر به دنبال مرکزی هستید که در تمام مراحل درمان — از نخستین جلسه مشاوره تا پایان مسیر — بر این اصول تکیه داشته باشد، در آرتمان درمان آمادهایم با همین نگاه از شما میزبانی کنیم.
❓سوالات رایج درباره اصلاح طرح لبخند
درمانهایی مانند بلیچینگ، کامپوزیت ونیر، لمینت، ترمیمهای دندانی، جراحی لثه و ارتودنسی از روشهای رایج اصلاح طرح لبخند هستند.
بسته به نوع درمان و شرایط هر فرد، این مدت میتواند از یک جلسه بلیچینگ چند ساعته تا چند ماه درمان ارتودنسی متغیر باشد.
نتایج تا حد زیادی پایدار هستند، اما مراقبتهای منظم دندانی و حفظ بهداشت دهان برای ماندگاری طولانیمدت ضروری است.
خیر، جراحی لثه تنها زمانی توصیه میشود که مشکلات لثهای یا نیاز به اصلاح طول تاج دندان برای زیبایی بیشتر وجود داشته باشد.
دریافت مشاوره و نوبت آنلاین
فیلد های "*" اجباری هستند
مقالات مرتبط
7 علامت اصلی عفونت ریشه دندان + روش های درمان این عفونت
مراجعهکنندگان به مراکز دندانپزشکی اغلب با مشکل عفونت ریشه
پر کردن دندان با کامپوزیت و مواد همرنگ دندان
برای ترمیم پوسیدگی دندان، دندانپزشک ابتدا قسمت پوسیده دندان را
ترمیم دندان شکسته: چگونه دندان شکسته شده را ترمیم کنیم؟
شکستگی دندان یک مشکل نه چندان رایج است که میتواند
8 دیدگاه در “تمام آنچه که باید درباره اصلاح طرح لبخند بدانید”
سلام خسته نباشید من دندانهای نیشم تیز و بلند هستند راهی به جز تراش دادن هست که هم تیزیشون برطرف بشه هم بلندیشون؟
با سلام، تیزی دندان را شاید بتوان با تغییر انحنای لبه ای تا حدی تصحیح نمود ولی بلندی را خیر
– علاقه زیادی به خوردن تخمه دارم. جدیدا تصمیم گرفتم لبخندمو درست کنم. کامپوزیت یا لمینت کدومشو میتونم انجام بدم؟
بعد از کارهای زیبایی و اصلاح طرح لبخند، حال با هر درمانی که انجام شود، جهت دوام و ماندگاری آن ها مراقبتهایی توصیه میشود و یکی از این توصیهها، منع مصرف خوراکیهای سخت است.
خوردن تخمه نیروی متمرکز و نقطهای روی کامپوزیت و لمینت وارد میکند و موجب شکستگی (fracture)، پریدگی (chipping) و ترک (crack) بر روی کامپوزیت و لمینت میشود.
تفاوتی که بین این دو درمان وجود دارد این است که کامپوزیت بیشتر مستعد پریدگی است اما در صورت پریدگی یا شکستگی قابلیت تعمیر (repairable) راحتتری دارد. لمینت در برابر پریدگی مقاومتر است ولی تعمیر آن دارای مراحل کاری بیشتر بوده و باند ضعیفتری دارد.
طرح درمان نهایی را میتوان پس از معاینه کلینیکی و مشاوره، به صورت قطعی تعیین نمود.
سلام
دندونای نیشم بلندن و لبخندمو به هم ریختن . میشه با تراش کوتاهشون کرد جوری که حساس نشن ؟
درود بر شما،
بله میتوان با اناملوپلاستی این کار را انجام داد که با تراش اندک و کاملا محافظهکارانه و محدود به مینای دندان صورت میگیرد و بسیاری از اوقات تغییر قابل توجهی در طرح لبخند ایجاد میکند.
سلام وقت شما به خیر ، معمولا طرح لبخند برای چند تا دندون انجام میشه ؟
با سلام،
تعداد دندانها بسته به شرایط دندانها، ارتباط دندانها با لبها و صورت و پهنای لبخند متفاوت خواهد بود. اما در اکثر مواقع هشت تا ده دندان در فک بالا و شش تا هشت دندان در فک پایین نیاز به درمانهای زیبایی جهت طراحی لبخند دارند.