همه چیز درباره بستن فاصله بین دندان ها در دندانپزشکی
- تـاریـخ:
- دسته بندی: مقالات, مقالات دندانپزشکی عمومی
- نوشته شده توسط آرتمان درمان
- 21 نظر کاربران
فهرست عناوین این نوشتار
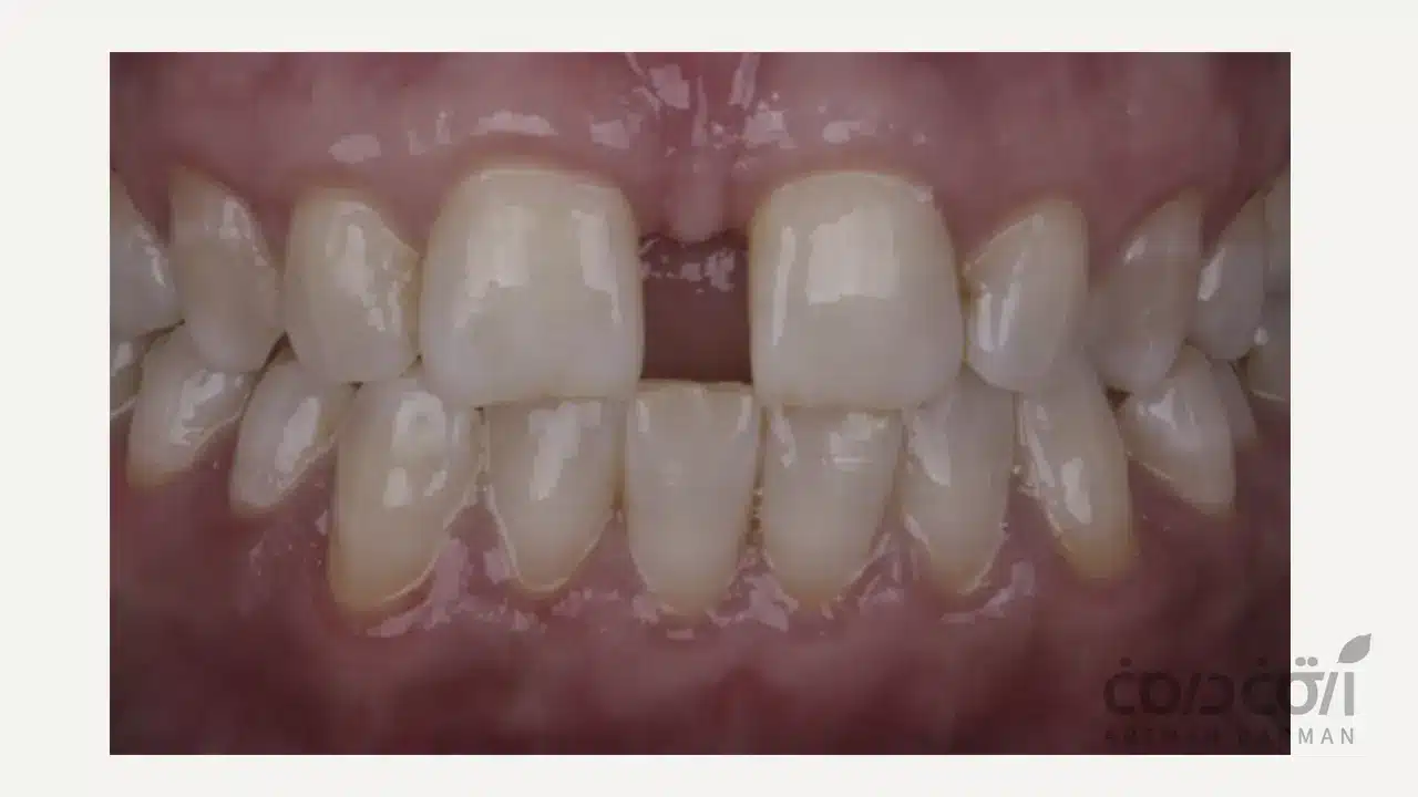
فاصله بین دندان ها که در اصطلاح دندانپزشکی به آن دیاستما (Diastema)گفته می شود، یکی از مشکلات رایج در طرح لبخند است. این وضعیت می تواند هم جنبه زیبایی داشته باشد و هم باعث بروز اختلالات عملکردی شود. دیاستما معمولاً بین دندان های قدامی دیده میشود اما ممکن است در هر ناحیهای از دهان ایجاد شود. خوشبختانه روش های متنوع و مؤثری برای بستن فاصله بین دندان ها وجود دارد که بر اساس نوع و شدت مشکل، توسط دندانپزشک انتخاب می شوند.
علل ایجاد فاصله بین دندان ها (توضیحی جامع)

پیش از اینکه به بررسی روش های بستن فاصله بین دندان ها بپردازیم اجازه دهید که علل بروز دیاستما را با هم مرور کنیم. زیرا درک دقیق علت این فاصله ها اولین گام برای انتخاب بهترین روش درمانی است. مهم ترین دلایل دیاستما عبارتند از:
عوامل ژنتیکی و وراثتی
یکی از مهم ترین دلایل بروز فاصله بین دندان ها، سابقه خانوادگی و وراثت است. اگر یکی از والدین یا اعضای نزدیک خانواده شما دیاستما داشتهباشند، احتمال انتقال این ویژگی به شما افزایش می یابد.
این موضوع نشان دهنده نقش پررنگ ژن ها در تعیین اندازه دندان ها و ابعاد فکین است که می تواند به طور مستقیم بر نحوه قرارگیری دندان ها در دهان تأثیر بگذارد.
ناهماهنگی اندازه دندان و فک
گاهی اوقات، اندازه دندان ها نسبت به فضای موجود در فک کوچک تر است. در چنین شرایطی، حتی با رویش کامل تمام دندان ها، فضای اضافی بین آن ها باقی می ماند. این وضعیت به خصوص در دندان های قدامی مشهود است و منجر به ایجاد فواصل قابل مشاهده می شود. خود عدم تناسب می تواند ریشه های ژنتیکی داشتهباشد که بر رشد و نمو دندان ها و استخوان فک اثر می گذارد.
تأثیر فرنوم لبی بزرگ یا پایین

در بسیاری از کیس های بستن فاصله بین دندان ها مقصر اصلی فرنوم لب بالا است. فرنوم لبی، نواری از بافت نرم است که لب بالا را به لثه متصل می کند. در برخی افراد، این فرنوم ممکن است ضخیم تر از حد معمول یا در موقعیت پایین تری قرار گرفتهباشد و دقیقاً بین دو دندان جلویی فک بالا قرار گیرد.
این عامل فیزیکی به عنوان یک مانع عمل کرده و از نزدیک شدن دندان ها به یکدیگر جلوگیری می کند. در نتیجه، یک فاصله مشخص بین دو دندان جلو (معمولاً دندان های ثنایای مرکزی) ایجاد می شود.
عادت های رفتاری نامناسب
برخی عادت های رفتاری طولانی مدت می توانند به تدریج باعث جا به جایی دندان ها و ایجاد فاصله شوند:
- مکیدن انگشت شست: این عادت که غالباً در دوران کودکی مشاهدهمیشود، با اعمال فشار مداوم و غیرطبیعی به دندان های جلویی، آن ها را به سمت جلو هل می دهد و منجر به ایجاد یا تشدید دیاستما می شود.
- فشار زبان (تراست زبان): این عادت زمانی رخ می دهد که فرد هنگام بلع یا حتی در حالت استراحت، زبان خود را به جای سقف دهان، به پشت دندان های جلویی فشار می دهد. این نیروی مداوم و مکرر می تواند به مرور زمان دندان ها را از موقعیت طبیعی خود دور کرده و فواصل جدیدی ایجاد کند.
غیبت دندانی یا تحلیل بافت های حمایتی از آن
در برخی موارد هم افرادی برای بستن فاصله بین دندان ها مراجعه می کنند که دندان غائب دارند. قضیه از این قرار است که نبود یک یا چند دندان در قوس فکی می تواند به طور مستقیم یا غیرمستقیم منجر به ایجاد فاصله بین دندان ها شود. در واقع بعد از کشیدن دندان، دندان های مجاور ممکن است به تدریج به سمت فضای خالی حرکت می کنند. نتیجه این وضعیت ایجاد فواصل جدید بین سایر دندان های دیگر است.
علاوه بر این، تحلیل لثه و استخوان فک که اغلب نتیجه بیماری های پریودنتال (بیماری های لثه) است، باعث کاهش حمایت از دندان ها می شود. این کاهش حمایت می تواند منجر به لق شدن دندان ها و جابجایی آن ها شود که در نهایت به ایجاد یا گسترش دیاستما منتهی می گردد.
بهترین دندان، دندان طبیعی خود شماست!
رویکرد ما در مجموعه دندانپزشکی آرتمان درمان انجام درمان به صورت محافظه کارانه و با حفظ حداکثری نسج دندان طبیعی است. اگر به دنبال درمانی اصولی، طبیعی ومحافظه کارانه هستید، با همین نگاه میزبان شما در آرتمان درمان هستیم.
02166003625 09021216575مزایای بستن فاصله بین دندانها چیست؟
بستن فاصله بین دندانها تنها یک اقدام زیبایی نیست، بلکه تأثیر مستقیم بر سلامت دهان، عملکرد جویدن و حتی اعتمادبهنفس فرد دارد. وجود فضا بین دندانها میتواند باعث تجمع پلاکهای میکروبی و باقیماندن ذرات غذا شود و در نتیجه احتمال التهاب لثه یا پوسیدگی در نواحی بین دندانی را افزایش دهد. زمانی که فاصلهها اصلاح، سطوح دندانها تماس طبیعی پیدا میکنند و تمیز کردن آنها با مسواک و نخ دندان آسانتر میشود.
از نظر زیبایی، اصلاح این فواصل باعث هماهنگی لبخند و تناسب بهتر بین دندانها و لبها میشود. افرادی که از دیاستما یا فاصلههای قابلمشاهده در ناحیهی جلویی دندانهای خود رنج میبرند، معمولاً پس از درمان احساس اعتمادبهنفس بیشتری در جمع دارند. علاوه بر جنبهی زیبایی، رفع فاصلهها میتواند به بهبود تلفظ برخی حروف، تنظیم فشارهای وارد بر دندانها در هنگام جویدن و توزیع یکنواخت نیروها در فک کمک کند.
در مجموع، این درمان نهتنها باعث ایجاد لبخندی هماهنگتر و طبیعیتر میشود، بلکه نقش مهمی در حفظ سلامت طولانیمدت دندانها و بافتهای اطراف آن ایفا میکند.
روش بستن فاصله بین دندان ها چیست؟
اگر بین دندان هایتان فاصله دارید، خوشبختانه راه های مختلفی برای اصلاح آن وجود دارد:
۱. ارتودنسی دندان
ارتودنسی یکی از مؤثرترین و پایدارترین راه ها برای بستن فاصله بین دندان ها است. (به خصوص وقتی که فاصله زیاد باشد یا همراه با نامرتبی های دیگر دندانی باشد). مزیت اصلی ارتودنسی این است که ریشه دندان ها را به آرامی به موقعیت صحیح حرکت می دهد و در این فرآیند، هیچ تراش یا آسیبی به بافت اصلی دندان وارد نمی شود. ارتودنسی معمولا یا به صورت ثابت انجام می شود یا نامرئی:
ارتودنسی ثابت با سیم و براکت

این روش شامل استفاده از براکت های فلزی یا سرامیکی است که روی سطح دندان ها چسباندهمیشوند. سیم های مخصوصی که از این براکت ها عبور می کنند، با اعمال نیروی ملایم و مداوم ، دندان ها را به سمت هم حرکت می دهند. این روش برای فواصل بزرگ و پیچیده بسیار کارآمد است.
ارتودنسی نامرئی با الاینرهای شفاف
اگر نمی خواهید براکت ها روی دندان هایتان به چشم بیایند، می توانید از الاینرهای شفاف استفاده کنید. این الاینرها که شبیه به پلاک های شفاف هستند، به صورت سفارشی برای هر فرد ساختهمیشوند و باید هر دو هفته یک بار تعویض شوند. آن ها دندان ها را به آرامی جابجا و اصلاح فاصله بین دندان ها را خوشایندتر کردهاند.
مزایا ارتودنسی
| مزیت ارتودنسی | توضیح |
|---|---|
| ماندگاری طولانیمدت | نتایج ارتودنسی در صورت رعایت مراقبتهای لازم، پایدار بوده و معمولاً نیاز به تکرار درمان ندارد. |
| درمان چند مشکل بهصورت همزمان | این روش علاوه بر بستن فاصلهها، به اصلاح نامرتبی دندانها، ناهنجاریهای بایت و مشکلات فکی نیز کمک میکند. |
| قابل انجام در سنین مختلف | ارتودنسی محدود به سن خاصی نیست و در هر دورهای از زندگی میتوان از آن بهره برد. |
معایب ارتودنسی
| عیب ارتودنسی | توضیح |
|---|---|
| طولانی بودن دوره درمان | رسیدن به نتیجه نهایی ممکن است چند ماه تا چند سال زمان ببرد. |
| ظاهر نامطلوب در طول درمان | وجود براکتها و سیمها ممکن است از نظر ظاهری برای برخی افراد ناخوشایند باشد. |
| نیاز به مراجعات مکرر | برای تنظیم سیمها و بررسی روند درمان، مراجعه منظم به دندانپزشک ضروری است. |
| محدودیتهای غذایی | باید از مصرف غذاهای سفت، چسبناک یا شیرین خودداری کرد تا به براکتها آسیب نرسد. |
| احساس درد یا ناراحتی | بهویژه در روزهای ابتدایی یا بعد از هر بار تنظیم، ممکن است درد یا فشار احساس شود. |
| احتمال بازگشت درمان | در صورت عدم استفاده از ریتینر پس از پایان درمان، ممکن است دندانها به حالت قبلی برگردند. |
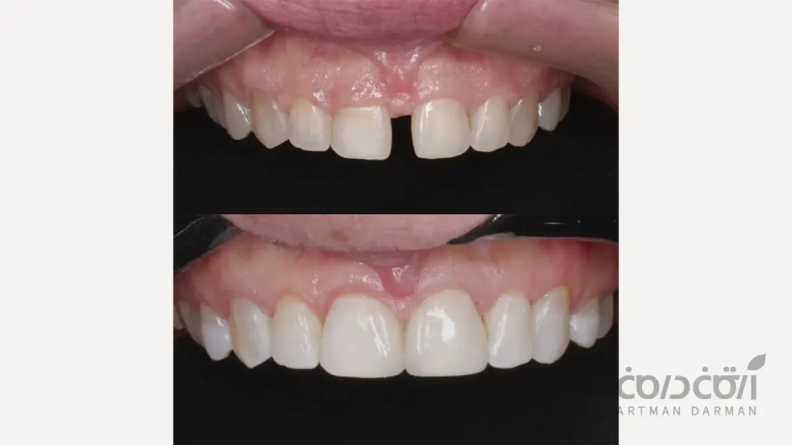
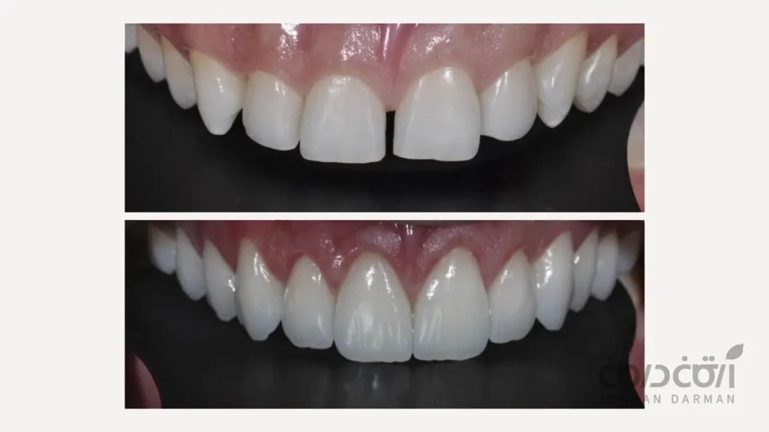
۲. ونیر کامپوزیت یا سرامیکی
ونیرها گزینهای عالی برای بستن فاصله های کم هستند، به خصوص وقتی که فرد تمایلی به گذراندن دوره طولانی درمان ارتودنسی ندارد. این روش بیشتر جنبه زیبایی دارد و با افزایش حجم دندان ها، فاصله ها را می پوشاند و در واقع ساختار اصلی دندان را تغییر نمی دهد. ما دو نوع ونیر دندانی داریم:
کامپوزیت ونیر

این روش بدون نیاز به تراش زیاد دندان و معمولاً در یک جلسه نسبتا طولانی انجام می شود. مواد کامپوزیتی همرنگ دندان مستقیماً روی سطح دندان قرار میگیرند و شکل دادهمیشوند.
به نقل از Journal of Esthetic and Restorative Dentistry
“Closing the gap between teeth can be achieved using composite resin restorations that provide a conservative and esthetic solution without extensive tooth preparation.”
«بستن فاصله بین دندانها میتواند با استفاده از ترمیمهای رزین کامپوزیت انجام شود که راهحلی محافظهکارانه و زیبا بدون نیاز به آمادهسازی گسترده دندانها ارائه میدهد.»
لینک منبع: onlinelibrary.wiley.com
مزایا کامپوزیت ونیر
| مزیت کامپوزیت ونیر | توضیح |
|---|---|
| نتیجه سریع | در مدت زمان کوتاه (گاهی حتی در یک جلسه) فاصله بین دندانها بسته میشود. |
| غیرتهاجمی بودن | معمولاً نیاز به تراش کم یا حداقلی دندان دارد و ساختار طبیعی دندان حفظ میشود. |
| هزینه مناسبتر | در مقایسه با برخی روشهای دیگر مانند لمینت سرامیکی یا ارتودنسی، مقرونبهصرفهتر است. |
| بهبود همزمان زیبایی | علاوه بر بستن فاصله، رنگ، فرم و اندازه دندانها نیز اصلاح میشود. |
| قابلیت ترمیم | در صورت آسیب یا لبپریدگی، بهراحتی قابل ترمیم و اصلاح است. |
| بدون نیاز به درمان طولانی | برخلاف ارتودنسی، نیاز به ماهها یا سالها زمان درمان ندارد. |
| حداقل درد و ناراحتی | معمولاً بدون درد بوده و نیاز به بیحسی گسترده ندارد. |
معایب کامپوزیت ونیر
| عیب کامپوزیت ونیر | توضیح |
|---|---|
| ماندگاری کمتر | نسبت به روشهایی مثل لمینت سرامیکی یا ارتودنسی، طول عمر کمتری دارد و ممکن است نیاز به تعویض یا ترمیم داشته باشد. |
| تغییر رنگ | کامپوزیت در طول زمان میتواند دچار لکهپذیری و تغییر رنگ شود، بهویژه با مصرف قهوه، چای یا سیگار. |
| استحکام کمتر | در مقایسه با لمینت سرامیکی مقاومت کمتری دارد و احتمال لبپریدگی یا شکستگی بیشتر است. |
| نیاز به مراقبت بیشتر | برای حفظ ظاهر و دوام، رعایت بهداشت دهان و پرهیز از عادات مخرب (مثل گاز زدن اجسام سخت) ضروری است. |
| عدم اصلاح مشکلات اساسی | فقط ظاهر دندانها را بهبود میدهد و مشکلات ریشهای مثل ناهنجاریهای فکی یا بایت را برطرف نمیکند. |
لمینت سرامیکی

این نوع ونیر بادوام تر است و ظاهری بسیار طبیعی تر دارد. برای لمینت سرامیکی، ابتدا یک لایه نازک از مینای دندان تراش می خورد و سپس از دندان ها قالب گیری می شود. لمینت ها را در لابراتوار می سازند و در جلسه دوم روی دندان ها متصل می شوند.
مزایا لمینت
| مزیت لمینت دندان | توضیح |
|---|---|
| نتیجه سریع | در مدت کوتاه (معمولاً طی چند جلسه) فاصله بین دندانها بسته و لبخند اصلاح میشود. |
| زیبایی بالا | ظاهر دندانها طبیعی، یکنواخت و بسیار جذابتر میشود. |
| ماندگاری مناسب | در صورت مراقبت صحیح، لمینت سرامیکی دوام بالایی دارد. |
| مقاومت در برابر رنگپذیری | نسبت به کامپوزیت کمتر دچار تغییر رنگ در اثر چای، قهوه و سیگار میشود. |
| اصلاح همزمان ظاهر دندان | علاوه بر بستن فاصله، رنگ، فرم و اندازه دندانها نیز بهبود پیدا میکند. |
معایب لمینت
| عیب لمینت دندان | توضیح |
|---|---|
| تراش دندان | معمولاً نیاز به تراش بخشی از مینای دندان دارد که برگشتپذیر نیست. |
| هزینه بالا | نسبت به روشهایی مثل کامپوزیت، هزینه بیشتری دارد. |
| غیرقابل برگشت بودن | پس از انجام لمینت، دندانها دیگر به حالت اولیه برنمیگردند. |
| احتمال شکستگی | در برابر ضربه یا فشار زیاد ممکن است دچار ترک یا شکستگی شود. |
| نیاز به تعویض در بلندمدت | با گذشت زمان ممکن است نیاز به تعویض یا ترمیم داشته باشد. |
| حساسیت دندانی | در برخی افراد بعد از تراش دندان، حساسیت به سرما و گرما ایجاد میشود. |
| عدم اصلاح مشکلات فکی | فقط ظاهر دندان را اصلاح میکند و مشکلات بایت یا فک را درمان نمیکند. |
۳. باندینگ دندان

برای بستن فاصله بین دندان ها با روش باندینگ دندان، از مواد همرنگ دندان (رزین کامپوزیت) استفاده می شود که مستقیماً روی سطح دندان قرار می گیرند. متخصص ترمیمی و زیبایی با مهارت خاصی این ماده را شکل می دهد و با تاباندن نور مخصوص، آن را به دندان می چسباند.
باندینگ برای فواصل کوچک تا متوسط مناسب است و یک روش سریع و کم هزینه محسوب می شود. این روش هم مانند ونیر کامپوزیت، با افزایش حجم دندان، فاصله را از بین می برد.
مزایا باندینگ دندان
| مزیت باندینگ دندان | توضیح |
|---|---|
| انجام سریع | معمولاً در یک جلسه قابل انجام است و نتیجه فوری دارد. |
| هزینه مناسب | نسبت به لمینت و ارتودنسی، گزینه اقتصادیتری محسوب میشود. |
| حداقل تراش دندان | اغلب بدون تراش یا با تراش بسیار جزئی انجام میشود و ساختار دندان حفظ میشود. |
| ظاهر طبیعی | در صورت اجرای صحیح، ظاهر دندانها طبیعی و هماهنگ به نظر میرسد. |
| بدون درد | معمولاً بدون نیاز به بیحسی و با حداقل ناراحتی انجام میشود. |
| ترمیم آسان | در صورت لبپریدگی یا آسیب، بهراحتی قابل اصلاح و ترمیم است. |
| بهبود همزمان فرم دندان | علاوه بر بستن فاصله، شکل و ظاهر دندانها نیز بهتر میشود. |
معایب باندینگ دندان
| عیب باندینگ دندان | توضیح |
|---|---|
| ماندگاری محدود | نسبت به لمینت و ارتودنسی دوام کمتری دارد و ممکن است زودتر نیاز به ترمیم پیدا کند. |
| تغییر رنگ | با گذشت زمان و مصرف موادی مثل قهوه، چای یا سیگار ممکن است دچار لکه و تغییر رنگ شود. |
| استحکام کمتر | در برابر فشار و ضربه مقاومت کمتری دارد و احتمال لبپریدگی بیشتر است. |
| نیاز به مراقبت بیشتر | برای حفظ ظاهر، رعایت دقیق بهداشت و پرهیز از عادات آسیبزا ضروری است. |
۴. جراحی فرنوم (فرنکتومی)
اگر علت اصلی فاصله بین دندان های قدامی شما، وجود فرنوم لبی بزرگ یا پایین باشد، انجام یک جراحی مختصر برای برداشتن یا اصلاح آن ضروری است. این جراحی که به آن فرنکتومی می گویند، معمولاً با لیزر یا تیغ جراحی انجام می شود و فرآیند ساده ای دارد. در بسیاری از موارد، برای دستیابی به نتایج پایدارتر و رفع کامل فاصله، این جراحی با درمان ارتودنسی ترکیب می شود تا اثربخشی درمان بیشتر شود.
مزایا جراحی فرنوم
| مزیت جراحی فرنوم | توضیح |
|---|---|
| بستن علت اصلی فاصله | در مواردی که فرنوم عامل ایجاد دیاستما باشد، با حذف آن مشکل از ریشه برطرف میشود. |
| جلوگیری از بازگشت فاصله | بعد از ارتودنسی یا درمانهای دیگر، احتمال برگشت فاصله دندانی کاهش مییابد. |
| بهبود نتایج ارتودنسی | در صورت انجام همزمان یا قبل از ارتودنسی، باعث پایدارتر شدن نتیجه درمان میشود. |
| افزایش سلامت لثه | حذف کشش غیرطبیعی فرنوم میتواند به سلامت بهتر لثه کمک کند. |
| ساده و کمتهاجمی بودن | معمولاً یک جراحی کوچک و سرپایی با دوره نقاهت کوتاه است. |
| بهبود عملکرد لب و لثه | حرکت طبیعی لب و کاهش کشش روی بافت لثه را به همراه دارد. |
معایب جراحی فرنوم
| عیب جراحی فرنوم | توضیح |
|---|---|
| نیاز به جراحی | یک اقدام تهاجمی است و نیاز به برش یا لیزر دارد. |
| درد و ناراحتی موقت | پس از عمل ممکن است درد، تورم یا حساسیت در ناحیه ایجاد شود. |
| احتمال خونریزی | در روزهای ابتدایی بعد از جراحی، خونریزی خفیف ممکن است رخ دهد. |
| نیاز به مراقبت بعد از عمل | رعایت دقیق بهداشت و مراقبتهای پس از جراحی ضروری است. |
| عدم اصلاح کامل بهتنهایی | در بسیاری از موارد باید همراه ارتودنسی یا درمانهای دیگر انجام شود. |
| احتمال باقی ماندن جای زخم | در برخی افراد ممکن است اسکار یا بافت اضافی خفیف ایجاد شود. |
| هزینه اضافی درمان | در صورت نیاز به ترکیب با ارتودنسی، هزینه کلی درمان افزایش مییابد. |
برای اصلاح فاصله بین دندان ها، کدام روش برای شما مناسب تر است؟
وقتی صحبت از بستن فاصله بین دندان ها می شود، نمی توان یک نسخه واحد برای همه پیچید. انتخاب بهترین روش درمانی برای شما به عوامل مختلفی بستگی دارد. متخصص ترمیمی و زیبایی یا ارتودنتیست با در بررسی این عوامل، مناسب ترین راهکار را پیشنهاد خواهد داد. بیایید نگاهی دقیق تر به این عوامل بیندازیم:
سن مراجع

سن شما نقش مهمی در انتخاب روش درمان دارد. معمولاً نوجوانان و جوانان گزینه های درمانی بیشتری پیش رو دارند؛ چرا که استخوان های فک آن ها هنوز در حال رشد هستند. و دندان ها راحت تر می توانند جابجا شوند. این گروه سنی به خوبی به درمان های ارتودنسی پاسخ می دهند و نتایج پایدارتری به دست می آورند.
در مقابل، برای بزرگسالان که رشد استخوانی آن ها کامل شدهاست، ممکن است روش هایی مانند ونیر یا باندینگ سریع تر و عملی تر باشند. به خصوص اگر فاصله کم باشد و زمان برایشان اهمیت زیادی دارد.
شدت و محل فاصله (از مهم ترین عوامل تاثیرگذار در بستن فاصله بین دندان ها)
اندازه فاصله بین دندان ها و اینکه این فاصله در کدام قسمت از دهان قرار دارد، در انتخاب روش درمان بسیار تأثیرگذار است. به عنوان مثال:
- برای فاصله های کوچک و جزئی (به ویژه در دندان های قدامی)، روش هایی مثل باندینگ یا ونیر می توانند گزینه هایی سریع و مؤثر باشند. این روش ها با اضافه کردن مواد به دندان، فاصله را می پوشانند.
- اما برای فاصله های بزرگ تر، متعدد، یا در مواردی که همراه با نامرتبی کلی دندان ها هستند، ارتودنسی معمولاً بهترین و جامع ترین راه حل است، زیرا ریشه های دندان ها را به درستی حرکت می دهد و هماهنگی کلی فک و دندان ها را بهبود می بخشد.

میزان سلامت لثه و استخوان فک
سلامت بافت های نگهدارنده دندان (لثه و استخوان فک) برای ما بسیار مهم است. قبل از هرگونه درمان برای بستن فاصله بین دندان ها، دندانپزشک سلامت لثه ها و تراکم استخوان فک را بررسی می کند. اگر لثه ها دچار التهاب یا بیماری باشند (بیماری های پریودنتال) یا استخوان فک تحلیل رفتهباشد، ابتدا باید این مشکلات درمان شوند.
باید این را در نظر داشت که دندان ها برای جابجایی موفقیت آمیز در ارتودنسی یا حتی انجام ونیر و باندینگ، نیاز به یک پایه محکم و سالم دارند. در برخی موارد، تحلیل استخوان یا لثه می تواند خودش دلیل ایجاد فاصله باشد و در این صورت، درمان اولیه این مشکلات اهمیت بیشتری پیدا می کند.
چطور از دندان ها بعد از رفع دیاستما مراقبت کنیم؟
رفع فاصله بین دندانها پایان مسیر درمان نیست. برای حفظ نتیجه و جلوگیری از بازگشت فاصله، رعایت برخی اصول مراقبتی ضروری است. متخصص شما پس از پایان درمان، بر اساس روش انتخابی (ارتودنسی، ونیر، باندینگ یا جراحی)، دستورالعمل مشخصی برای نگهداری ارائه میدهد.
استفاده از ریتینر پس از ارتودنسی
در بیمارانی که فاصلهی بین دندانها با ارتودنسی اصلاح شدهاست، استفاده از ریتینر نقش مهمی در پایداری نتیجه دارد. ریتینر میتواند ثابت یا متحرک باشد و معمولاً بر اساس وضعیت دهان و دندان، توسط متخصص تعیین میشود. هدف از استفادهی ریتینر، حفظ موقعیت جدید دندانها و جلوگیری از بازگشت آنها به حالت اولیه است. بیتوجهی به استفادهی منظم از ریتینر ممکن است باعث ایجاد فاصلهی مجدد میان دندانها شود. رعایت دستورالعملهای متخصص در مورد مدت و نحوهی استفاده از ریتینر، تضمینکنندهی پایداری درمان است.

مراقبت از دندانها پس از باندینگ یا ونیر
در درمانهایی که برای رفع فاصله از باندینگ کامپوزیت یا ونیر سرامیکی استفاده شدهاست، مراقبت روزمره از دندانها اهمیت ویژهای دارد. رعایت بهداشت دهان با مسواک نرم، استفاده از نخ دندان و مراجعههای منظم به دندانپزشک، به حفظ سلامت لثه و ماندگاری ترمیمها کمک میکند. اجتناب از وارد کردن فشار یا گاز زدن مواد غذایی سخت با دندانهای جلویی نیز باعث میشود دوام کامپوزیت یا سرامیک کاهش پیدا نکند. بررسی دورهای توسط دندانپزشک میتواند از بروز شکستگیهای سطحی یا تغییر رنگ ترمیمها جلوگیری کند.
کنترل عادات رفتاری و مراجعات دورهای
برخی عادتها مانند فشار دادن زبان به دندانها یا مکیدن انگشت در دوران کودکی، میتوانند باعث ایجاد مجدد فاصلهها شوند. شناسایی و اصلاح این عادتها بخش مهمی از نگهداری پس از درمان است. در صورت نیاز، گفتاردرمانی یا تمرینهای خاص برای اصلاح الگوی بلع و وضعیت زبان پیشنهاد میشود. همچنین انجام معاینات منظم دندانپزشکی در ماهها و سالهای پس از درمان اهمیت دارد؛ زیرا در صورت مشاهدهی تغییر جزئی در موقعیت دندانها، مداخلهی بهموقع از بازگشت دیاستما پیشگیری میکند.
👋 برای آگاهی بیشتر از روند درمان بیماری های عمومی دهان و دندان، مطالعه سایر مقالات وبسایت آرتمان درمان توصیه میشود.
میزان بودجه و انتظارات زیبایی
در مسیر بستن فاصله بین دندانها، سه عامل نقش کلیدی ایفا میکنند: بودجهای که در اختیار دارید، سطح انتظاراتتان از نتیجه نهایی، و انتخاب مرکزی که بتواند با نگاهی حرفهای و متعهدانه شما را در این مسیر همراهی کند. روشهای درمانی مختلف، هزینهها، مدت زمان و نتایج متفاوتی دارند. برای مثال:
- ارتودنسی ممکن است هزینه برتر و زمان برتر باشد، اما نتایجی جامع و پایدار به ارمغان می آورد. (که هم جنبه زیبایی و هم عملکردی دارد.)
- در مقابل، باندینگ معمولاً کم هزینه ترین و سریع ترین گزینه است، اما دوام کمتری دارد.
- ونیرها هم می توانند گزینه هایی با زیبایی عالی باشند، اما هزینه آن ها بر اساس نوع (کامپوزیت یا سرامیک) متفاوت است.
اگر به دنبال مرکزی هستید که در تمام مراحل درمان — از نخستین جلسه مشاوره تا پایان مسیر — بر این اصول تکیه داشته باشد، در آرتمان درمان آمادهایم با همین نگاه از شما میزبانی کنیم.

پرسش های متداول درباره بستن فاصله بین دندان ها
در بسیاری از موارد، فاصله دندان ها صرفاً یک مسئله زیبایی است و نیازی به درمان ندارد. اما در برخی موارد، این فاصله ها می توانند باعث:
تأثیر منفی بر اعتماد به نفس
مشکلات تلفظ و گفتار
گیر کردن غذا و افزایش خطر پوسیدگی
تحلیل لثه و استخوان در نواحی باز
شوند. بنابراین مشاوره با یک دندانپزشک متخصص می تواند بهترین مسیر درمانی را مشخص کند.
اگر علت اصلی درمان نشود (مثلاً فرنوم باقی بماند یا ارتودنسی بدون ریتینر باشد)، احتمال بازگشت وجود دارد.
معمولاً بین ۶ تا ۱۸ ماه (بر اساس شدت مشکل).
روش هایی مثل باندینگ یا ونیر بدون درد هستند. ارتودنسی ممکن است در ابتدای درمان کمی ناراحتی ایجاد کند.
بله، در بسیاری از کودکان فاصله بین دندانهای شیری طبیعی است. این فضا با رویش دندانهای دائمی (مخصوصاً دندانهای نیش)، معمولاً خودبهخود برطرف میشود.
بستن فاصله بین دندانها باعث بهبود تلفظ حروفی مثل “س” و “ز” و افزایش کارایی جویدن میشود.
دریافت مشاوره و نوبت آنلاین
فیلد های "*" اجباری هستند
مقالات مرتبط
تفاوت بین پرکردن دندان و ترمیم دندان چیست؟ (هرچیزی که باید بدانید)
برخی از مراجعان محترم به دنبال درک تفاوت بین پرکردن
چرا دندانم لق میشود؟ چگونه این مشکل را درمان کنم؟
لق شدن دندان در یک کودک، غالباً نشان دهنده ی
21 دیدگاه در “همه چیز درباره بستن فاصله بین دندان ها در دندانپزشکی”
سلام من 38 سالمه و دو دندنا بالام از هم فاصله دارند با توجه به سنم که ارتودنسی برام راحت نیست، بهترین راه درمان برای من چیست؟
با سلام، اگر دندان ها شرایط خوبی داشته باشند محافظه کارانه ترین راه حل پارشیل ونیر هست اما در نظر داشته باشید برای طرح درمان دقیق حتما نیاز به معاینه کلینیکی می باشد.
سلام وقت بخیر
فاصله بین دندان های من خیلی زیاده می خواستم بدونم روی طول لمینت تاثیر داره؟
بهتر نیست ارتودنسی کنم ؟
چون سنم زیادم ارتودنسی برام سخته ترجیح میدم لمینت انجام بدم
با سلام، به طور کلی ارتودنسی اولویت اول درمانی است. حال اگر به هر دلیل قابل انجام نیست طرح درمان های دیگر مورد بررسی قرار می گیرد، البته گاه می توان به شکل ترکیبی درمان ها را انجام داد.
سلام ببخشید من در حدود یک سال پیش یک اشتباهی کردم و با خلال دندان های جلوم رو تمیز میکردم و لثه ام ببن دندون وسط ام ی نقطه بالا تر رفته و سنم به ۱۸ نرسیده امکان داره به مرور زمان لثه ام پایین تر بیاد و درست شه
با سلام، بله این احتمال وجود دارد اما بهتر است توسط یک متخصص جراح لثه یا پریودنتست هم معاینه شوید.
سلام من ۱۵ سالمه و دو دندون جلویی فک بالام فاصله هس با توجه ب سنم میشه اقدام کرد یا باید صبر کنم تا ۱۸ سالگی؟
.با سلام، بهتر است تا 18 سالگی صبر کنید
سلام وقتتون به خیر..من یه پسر هشت ساله دارم که بعد از افتادن دندان شیری ..دو دندان دائمی جلویی فک بالا با فاصله زیاد حدود 4 میلی دراومده !!خواستم ببینم برای بستن فاصله بین دندان ها الان باید اقدام بشه یا وقتی کل دندان ها رویش کرد(الان 20 تا دندان داره که تقریبا نیمی شیری و نیمی دائمی است)
با سلام، در حال حاضر برای تصمیم گیری بسیار زود است. نه تنها تا زمان رویش تمامی دندان های دائمی، بلکه تا سن 18 سالگی که رشد فکین کامل می شود باید صبوری بفرمایید و تازه آن زمان است که می توان در مورد طرح درمان احتمالی البته اگر نیاز باشد نظر داد
سلام
بنده بین دندون های بالای فک جلویی فاصله ای به انداره ۲/۵هستش و مشکل دگ اینکه دندونهای جلویی اندازشون بزرگ هستش و بخاطر مخارج بالای ارتودنسی نمیتونم انجام بدم خواسم بدونم راه حل دیگه وجود داره ؟
با سلام، با توضیحاتی که فرمودید به نظر می رسد راه حل ها محدود به حوزه ی ارتودنسی بوده و اگر درمان آلترناتیوی هم وجود داشته باشد، باز هم باید با همفکری متخصص ارتودنسی و متخصص ترمیمی ارائه شود
من بین همه ی دندون هام فاصله هست و به دلایلی نمیخوام ارتودنسی کنم میشه بگین چه روشی برای من بهتره ؟
با سلام، جهت بررسی طرح درمان مناسبتر بهتر است حتما به طور کلینیکی ویزیت شوید. اما به طور کلی اگر فرم و رنگ دندانها مناسبند بهتر است درمانی بسیار محافظهکارانه با پارسیل کامپوزیت ونیر انجام شود یعنی با کامپوزیت فقط فاصلهها بسته شوند و تا حد امکان مینای دندانهایتان دستنخورده باقی بمانند. اما اگر رنگ و فرم دندانها هم نیاز به اصلاح دارند میتوان برای بستن فاصلهها و به طور همزمان اصلاح طرح لبخند از لمینتهای سرامیکی استفاده کرد.
موفق باشید
عادت دارم با خلال دندان ، دندونامو بعد از غذا تمیز کنم . ممکنه بی دندونام فاصله ایجاد کنه؟
اول از همه باید دقت شود که خلال دندان فقط برای برداشت تکههای بزرگ مواد غذایی مناسب بوده و به هیچ عنوان جای نخ دندان را نمیگیرد. برای حذف پلاک میکروبی در نواحی بین دندانی، نخ دندان بهترین گزینه است و در مواقعی که فاصله بین دندانها وجود دارد میتوان از مسواکهای بین دندانی استفاده کرد.
استفاده مکرر از خلال دندان موجب تحلیل لثهها میگردد. چه خلال دندان به صورت قدیمی و چوبی باشد و چه به شکل جدید که پلاستیکی هستند و با طعمهای مختلف تعبیه میشوند.
در واقع خلال دندان باعث ایجاد فاصله بین دندانها نمیشود بلکه به دنبال تحلیل رفتن لثهها بین دندانها فضایی ایجاد میشود که به نظر میرسد دندانها از هم فاصله پیدا کردهاند.
ممنون از مطلب کاملتون
منم دندونام فاصله دارن میخام راهشو پیدا کنم
سلامت باشید
با معاینه کلینیکی و بررسی رادیوگرافی، طرح درمان محافظهکارانه که زیبایی و عملکرد را تواما تامین کند، مشخص میشود.
– سلام، یه سوال داشتم، من فقط بین دو تا دندونای جلوی فک بالام فاصله دارم و بین بقیه دندونام هیچ فاصله ای نیست. میشه لطفا بفرمایین کدوم درمان برای من مناسب تره؟
درود بر شما،
زمانی که فاصله بین دندان ها وجود دارد، بر اساس فرم و رنگ دندانها و میزان فاصلهی موجود بین دندانها، درمان مناسب انتخاب می شود. برای ارائه طرح درمان قطعی، معاینه کلینیکی و رادیوگرافی ضروری است.
سلام ، من بین دندونای جلوی فک بالا و پایینم فاصله هست ولی به چند دلیل نمیخوام ارتودونسی انجام بدم و البته دندونای خیلی زردی هم دارم . میخواستم بدونم کامپوزیت برای من بهتره یا لمینت؟