بیلداپ دندان چیست؟ (بررسی جامع و ساده این درمان محافظه کارانه)
- تـاریـخ:
- دسته بندی: مقالات, مقالات ترمیم دندان
- نوشته شده توسط آرتمان درمان
- 44 نظر کاربران
فهرست عناوین این نوشتار
زمانی که دندان به شدت آسیب دیده و به ویژه به تازگی درمان ریشه شده، میتوان با کمک بیلداپ دندان و بدون نیاز به تراش گسترده، آن را احیا و بازسازی کرد. این روش به دندانپزشکان اجازه میدهد تا با حفظ بیشترین ساختار دندان طبیعی، مقاومت و عملکرد دندان را بازیابی کنند. در این فرآیند، از مواد کامپوزیتی مخصوصی استفاده میشود که به دندان چسبیده و آن را تقویت میکند.
بیلداپ دندان (buildup) به معنای بازسازی دندان آسیبدیده یا عصبکشی شده است. این پروسه یکی از محافظهکارانهترین درمانهای دندانپزشکی به شمار میآید و بر حفظ حداکثری دندان طبیعی تمرکز دارد. در این روش، هدف اصلی بازسازی و احیای دندانهایی است که به شدت آسیب دیدهاند و به تازگی تحت درمان ریشه قرار گرفتهاند. چنین روشی برای افرادی مناسب است که مایل به حفظ دندان طبیعی خود هستند و در واقع تمایلی به استفاده از درمانهای تهاجمی ندارند.
| ویژگیها | بیلداپ دندان | روکش |
|---|---|---|
| نوع درمان | ترمیمی، محافظهکارانه | پروتزی، تهاجمی |
| نیاز به تراش دندان | حداقل تراش (فقط دیوارههای ضعیف) | تراش گسترده (۱.۵ تا ۲ میلیمتر از کل دندان) |
| حفظ بافت دندان طبیعی | یک جلسه | ۲ تا ۴ جلسه (آمادهسازی، قالبگیری، نصب روکش) |
| تعداد جلسات درمانی | دندان با بافت تاج باقیمانده | دندان با تخریب گسترده بافت تاج |
| امکان تشخیص پوسیدگی جدید | آسان (از طریق معاینه و رادیوگرافی) | دشوار، غالباً در مراحل پیشرفته قابل تشخیص است |
| مواد مورد استفاده | کامپوزیت یا آمالگام | سرامیک، فلز، یا ترکیبی از آنها |
| طول عمر درمان | بسته به مراقبت، بهداشت و شرایط فیزیکی دهان | معمولاً بیشتر، به شرط اجرای صحیح و بهداشت مناسب |
همه چیز بعد از درمان ریشه و یا آسیب گسترده دندانی شروع می شود…
درمان ریشه یا روت کانال تراپی یکی از مراحل ضروری برای نجات دندانهایی است که به شدت آسیب دیده یا عفونت کردهاند. در این روش، عصب و پالپ دندان که دچار عفونت یا آسیب شدهاند، برداشته میشوند و فضای داخل دندان تمیز و ضدعفونی میشود. سپس این فضا با مواد خاصی پر میشود. با این حال، پس از انجام این درمان، دندان به طور قابل توجهی ضعیفتر از قبل میشود.
این ضعف، ناشی از حذف بخش بزرگی از بافت سخت و عصب دندان است که نقش مهمی در استحکام و پایداری دندان دارد. دیوارههای دندان نازکتر و شکنندهتر میشوند و دندان بدون حمایت طبیعی خود، بیشتر در معرض شکستگی قرار میگیرد. بنابراین، پس از درمان ریشه، نیاز به ترمیم و تقویت دندان ضروری است تا (دندان) بتواند به طور موثری وظایف خود را انجام داده و از شکستگی و آسیبهای بیشتر جلوگیری شود.
دندان های درمان ریشه شده، نباید به روش معمولی ترمیم شوند!
ممکن است بسیاری از دندانها بعد از درمان ریشه به اشتباه با همان روشهای ساده پر شوند، اما این کار میتواند باعث شکستن دندان و حتی در آینده نیاز به کشیدن آن شود. به همین دلیل است که باید این دندانها به روش معمولی (پر کردن ساده) ترمیم نشوند.
دلیل اینکه چرا نمیتوانیم و نباید این دندان ها را با پر کردن معمولی ترمیم کرد، این است که، دندانهایی که درمان ریشه میشوند، مقدار زیادی از بافت سخت خود را از دست میدهند و دیوارههای دندان نیز ضعیف و نازک میشوند. اگر این دندانها را با روشهای معمولی پر کنیم، ممکن است به خوبی مقاومت نکنند و بشکنند.
بنابراین، برای حفظ سلامت و استحکام دندانهای درمان ریشه شده، باید از تکنیکهای بهتری استفاده کنیم. درمانهای تخصصی (فراتر از پر کردن معمولی دندان) کمک میکنند تا دندان تقویت شود و در برابر فشار و ضربههای روزانه بهتر عمل کند. به این ترتیب، دندان شما دوام بیشتری خواهد داشت و احتمال شکستگی آن کمتر میشود.
بهترین دندان، دندان طبیعی خود شماست!
رویکرد ما در مجموعه دندانپزشکی آرتمان درمان انجام درمان به صورت محافظه کارانه و با حفظ حداکثری نسج دندان طبیعی است. اگر به دنبال درمانی اصولی، طبیعی ومحافظه کارانه هستید، با همین نگاه میزبان شما در آرتمان درمان هستیم.
02166003625 09021216575درمانهای رایج برای ترمیم دندان پس از درمان ریشه چه هستند؟
برای بازسازی دندانهای ضعیف شده پس از درمان ریشه، دو روش اصلی وجود دارد: درمان پروتزی و درمان ترمیمی (بازسازی و بیلداپ دندان). هر یک از این روشها بسته به میزان بافت باقیمانده دندان و شرایط خاص مورد استفاده قرار میگیرند:
درمان پروتزی (روکش کردن دندان)
یکی از روشهای معمول برای ترمیم دندانهای ضعیف شده پس از درمان ریشه، استفاده از روکش دندان یا کراون (Dental Crown) است. روکش دندانی زمانی مناسب است که بخش بزرگی از بافت دندان از بین رفته باشد و امکان ترمیم دندان با روشهایی مانند بیلداپ دندان به طور مستقیم وجود نداشته باشد.

در این روش، دندان طی فرآیندی نسبتا تهاجمی آماده میشود. این فرآیند شامل تراشیدن دور تا دور مقدار زیادی از ضحامت مینای دندان برای ایجاد فضای مناسب جهت قرارگیری روکش است. سپس از دندان تراش خورده قالبی تهیه میشود که به لابراتوار ارسال میشود تا روکش مناسب ساخته شود. این روکش پس از آماده شدن به دندان چسبانده میشود.
روکش دندانی استحکام و پایداری بیشتری به دندان میبخشد و از آن در برابر شکستگی و آسیبهای بیشتر محافظت میکند. اما روکش کردن دندان یک رویکرد تهاجمی است و و در دندانپزشکی محافظهکارانه به دلیل تراش گسترده دندان (در طی پروسه آماده سازی)، مورد استفاده قرار نمیگیرد مگر اینکه واقعا نیاز باشد.
درمان ترمیمی (بیلداپ دندان)
روش دیگر برای ترمیم دندانهای ضعیف شده (معمولا بعد از درمان ریشه)، بیلداپ دندان است. این روش زمانی استفاده میشود که حداقلی از بافت دندانی برای نگهداری ماده ترمیمی وجود داشته باشد.

بیلداپ دندان روشی محافظهکارانهتر از روکش است و به دندان کمک میکند تا مقاومت بیشتری در برابر فشارهای جویدن و سایر نیروهای مکانیکی روزانه داشته باشد. این روش زمانی انجام میشود که بافت باقیمانده دندان به اندازهای باشد که بتواند مواد ترمیمی را به خوبی نگه دارد و اصطلاحاً گیر ماده رخ دهد. با استفاده از بیلداپ، دندان درمان ریشه شده میتواند عملکرد طبیعی خود را بازیابد و دوام بیشتری داشته باشد. آماده سازی دندان برای این درمان با حداقل آسیب به نسج طبیعی دندان همراه است.
مواد مورد استفاده در بیلداپ دندان
در بیلداپ دندان معمولاً از مواد ترمیمی مقاوم و چسبنده استفاده میشود تا ساختار از دست رفته دندان به خوبی بازسازی و تقویت گردد. رایجترین این مواد، کامپوزیتهای رزینی هستند که علاوه بر مقاومت مناسب، زیبایی طبیعی دندان را نیز حفظ میکنند و امکان فرمدهی دقیق به دندان را فراهم میآورند. در برخی شرایط خاص، دندانپزشک ممکن است از آمالگام استفاده کند که دوام بالایی دارد و برای دندانهای خلفی که تحت فشار جویدن بیشتری هستند مناسب است. انتخاب نوع ماده بستگی به موقعیت دندان، میزان بافت باقیمانده و نیاز به زیبایی دارد، اما در اکثر موارد، کامپوزیت به دلیل چسبندگی بهتر و تطابق رنگ طبیعی دندان، گزینه ترجیحی است.
مراحل انجام بیلداپ دندان:
در مراحل انجام بیلداپ، ابتدا دندانپزشک وضعیت دندان را بررسی میکند و در صورت نیاز از عکس رادیوگرافی کمک میگیرد تا میزان تخریب مشخص شود. سپس بعد از بیحسی، دندان از رطوبت و بزاق جدا میشود تا مواد ترمیمی بهتر بچسبند. در ادامه، پوسیدگیها و بخشهای ضعیف دندان پاکسازی شده و اگر لازم باشد از پست برای استحکام بیشتر استفاده میشود. بعد، ماده ترمیمی (مانند کامپوزیت) بهصورت لایهلایه روی دندان قرار میگیرد و هر لایه با نور مخصوص سفت میشود. در پایان، فرم و سطح دندان اصلاح شده و پس از پولیش، تماس دندان با دندانهای کناری بررسی میشود تا عملکرد و ظاهر طبیعی به دندان بازگردد.
به نقل از Journal of Esthetic and Restorative Dentistry
“Direct composite build-up is a conservative approach that can be completed in a single appointment and provides good esthetics and function.”
“بیلدآپ مستقیم با کامپوزیت یک روش محافظهکارانه است که میتواند در یک جلسه انجام شود و زیبایی و عملکرد خوبی فراهم کند.”
بررسی مهمترین تفاوتهای بین روکشهای دندانی و بیلداپ دندان
دو روش روکش دندان و بیلداپ دندان، هرچند که هر دو به منظور ترمیم و بازسازی دندانهای ضعیف شده پس از درمان ریشه انجام میشوند، اما تفاوتهای عمدهای با هم دارند. این تفاوتها شامل نحوه آمادهسازی و میزان تهاجمی بودن، احتمال تشخیص پوسیدگی دندان، و تعداد جلسات مورد نیاز برای تکمیل درمان میباشند.
نحوه آمادهسازی و میزان تهاجمی بودن
باز هم تاکید میشود که روکش دندان یک روش تهاجمیتر است و نیاز به تراشیدن بخش زیادی از بافت باقیمانده دندان دارد. در این روش، دندان باید به میزان ۱٫۵ تا ۲ میلیمتر (به صورت دور تا دور) تراشیده شود تا فضای کافی برای قرارگیری روکش فراهم شود. این میزان تراش میتواند بخشهای سالم باقیمانده دندان را نیز از بین ببرد، که ممکن است در آینده منجر به ضعف بیشتر دندان شود.
در مقابل، بیلداپ دندان یک روش محافظهکارانهتر است که تلاش میکند تا حد امکان بافت دندانی باقیمانده را حفظ کند. در این روش، تراشیدن دندان تنها به کوتاه کردن دیوارههای ضعیف محدود میشود و این دیوارهها سپس با ماده ترمیمی پوشش داده میشوند. این رویکرد کمک میکند تا ساختار طبیعی دندان تا حد زیادی حفظ شود و تنها بخشهای آسیب دیده مورد ترمیم قرار گیرند.
احتمال تشخیص پوسیدگی دندان
یکی از مزایای بیلداپ دندان نسبت به روکش، امکان تشخیص آسانتر پوسیدگیهای جدید است. در دندانهای بازسازی شده با بیلداپ، هر گونه پوسیدگی جدید (حتی جزئی و اندک) هم به صورت کلینیکی و هم از طریق رادیوگرافی قابل تشخیص است. این امر باعث میشود که پوسیدگیهای جدید به موقع شناسایی و درمان شوند، قبل از اینکه به مشکلات بزرگتری تبدیل شوند.
در مقابل، پوسیدگیهای ایجاد شده در زیر روکش دندان غالباً به سختی قابل تشخیص هستند. این پوسیدگیها معمولاً در معاینه کلینیکی یا حتی در رادیوگرافیها قابل مشاهده نیستند، مگر اینکه پوسیدگی به مرحله پیشرفتهای رسیده باشد و بخشهای زیادی از ساختار دندان را تخریب کرده باشد. این تأخیر در تشخیص میتواند منجر به مشکلات جدیتری شود که نیاز به درمانهای پیچیدهتر و پرهزینهتر دارند.
تعداد جلسات مورد نیاز
تعداد جلسات مورد نیاز برای تکمیل درمان نیز یکی دیگر از تفاوتهای مهم بین این دو روش است. درمان غیر مستقیم با روکش دندان معمولاً نیاز به ۲ تا ۴ جلسه دارد. این جلسات شامل مراحل مختلفی از جمله آمادهسازی دندان، قالبگیری، ساخت روکش در لابراتوار، و در نهایت نصب روکش میباشند.
در مقابل، درمان مستقیم دندانها با بیلداپ دندانی تنها در یک جلسه امکانپذیر است. این روش سریعتر بوده و نیاز به مراحل طولانی و پیچیدهای ندارد. بیلداپ دندان به طور مستقیم در مطب دندانپزشک انجام میشود و بیمار میتواند بلافاصله پس از یک جلسه درمان، به فعالیتهای روزمره خود بازگردد.
ترمیم دندان بدون تاج با بیلداپ امکانپذیر است؟
گاهی اوقات تاج دندان به صورت گستردهای آسیب میبیند و از دندان تنها ریشهها باقی میماند. در این شرایط، روند ترمیم دندان متفاوت است و روش بیلداپ برای چنین دندانهایی کاربردی ندارد. دلیل این امر آن است که برای انجام بیلداپ، باید حداقل مقداری از تاج دندان طبیعی باقی مانده باشد تا بتوان کامپوزیت را به آن باند یا متصل کرد.
در نتیجه، ترمیم دندان بدون تاج با روش بیلداپ امکانپذیر نیست و نیاز به طرح درمان دیگری برای دندانهایی که تاج ندارند وجود دارد. این درمانها معمولاً شامل جراحی افزایش طول تاج، استفاده از پست و کور و نهایتاً روکش دندان است. این روشها به دندانپزشک اجازه میدهد تا ساختار کافی برای پشتیبانی از روکش دندان ایجاد کند و به بازسازی دندان کمک کند.
به طور کلی، هرچند روش بیلداپ یکی از روشهای موثر در ترمیم دندانهای آسیب دیده است، اما در مواردی که تاج دندان به طور کامل از بین رفته است، این روش نمیتواند به تنهایی کافی باشد. به همین دلیل، در چنین شرایطی استفاده از روشهای دیگر برای بازسازی و ترمیم دندان ضروری است تا کارکرد و زیبایی دندان به حالت اولیه بازگردد.
ماندگاری و دوام دندان بازسازی شده چقدر است؟
طول عمر بیلداپ دندان به چند عامل بستگی دارد:
بافت باقی مانده دندان
یکی از عوامل مهم در تعیین طول عمر بیلداپ دندان، میزان بافت باقیمانده دندان است. هرچه میزان بافت سالم و باقیمانده دندان بیشتر باشد، احتمال موفقیت و دوام بیلداپ افزایش مییابد. دندانهایی که بافت باقیمانده کمتری دارند، ممکن است به دلیل ضعف ساختاری زودتر دچار مشکل شوند.

موقعیت دندان
موقعیت دندان در قوس فکی نیز نقش مهمی در ماندگاری بیلداپ دارد. دندانهایی که در نقاطی از فک قرار دارند که تحت فشار بیشتری هستند، ممکن است نیاز به مراقبت بیشتر و حتی تقویت اضافی داشته باشند. اکلوژن یا نحوهی روی هم آمدن دندانها نیز تعیین میکند که چه میزان فشار بر روی دندان وارد میشود. فشار بیش از حد بر روی دندان بیلداپ شده میتواند منجر به شکست زودهنگام آن شود.
میزان رعایت بهداشت دهان و دندان
در نهایت، میزان رعایت بهداشت دهان و دندان توسط بیمار از عوامل کلیدی در تعیین طول عمر بیلداپ دندان است. رعایت دقیق بهداشت دهان و دندان، مانند مسواک زدن منظم، استفاده از نخ دندان، و مراجعه به دندانپزشک برای معاینات دورهای، میتواند به افزایش دوام و ماندگاری بیلداپ دندان کمک کند. بدون رعایت بهداشت مناسب، حتی بهترین بیلداپها نیز ممکن است دچار خرابی و مشکلات شوند.
مراقبتهای بعد از بیلداپ دندان
بعد از انجام بیلداپ، رعایت چند نکته ساده میتواند در افزایش دوام و ماندگاری ترمیم نقش مهمی داشته باشد. تا چند ساعت پس از درمان بهتر است از جویدن غذاهای سفت با دندانی که ترمیم شده خودداری شود تا ماده ترمیمی کاملاً پایدار گردد. رعایت دقیق بهداشت دهان، یعنی مسواک زدن ملایم و استفاده روزانه از نخ دندان، از تجمع پلاک در اطراف ترمیم جلوگیری میکند و مانع تغییر رنگ یا پوسیدگی ثانویه میشود. همچنین، معاینههای دورهای نزد دندانپزشک برای بررسی سلامت ترمیم و وضعیت اکلوژن (نحوه قرارگیری دندانها روی هم) ضروری است. در صورتی که بیمار دندانقروچه دارد یا شبها فشار زیادی به دندانها وارد میکند، استفاده از محافظ شب یا نایتگارد توصیه میشود تا ساختار ترمیمشده از آسیبهای احتمالی در امان بماند.
👋 برای کسب اطلاعات بیشتر درباره روشهای ترمیم دندان، مطالعه سایر مقالات وبسایت آرتمان درمان پیشنهاد میشود
پست و کور دندان چیست و چه زمانی انجام می شود؟
همه چیز درباره پر کردن یا ترمیم دندان + و شرح مراحل انجام آن
توضیح اینله و انله به زبان ساده + شرح مراحل
آشنایی با مهم ترین ترمیم های بعد از درمان ریشه دندان
برای بازسازی دندان آسیب دیده بیلداپ دندان بهتر است یا روکش؟
✅ نتیجهگیری
بعد از درمان ریشه، ترمیم دندان باید با دقت و بر پایه اصول محافظهکارانه انجام شود تا استحکام، دوام و عملکرد آن حفظ شود. بیلداپ دندان در بسیاری از موارد، با کمترین میزان تراش، میتواند جایگزین مناسبی برای روشهای تهاجمیتر باشد. اگر به دنبال مرکزی هستید که در تمام مراحل درمان (از نخستین جلسه مشاوره تا پایان مسیر) بر این اصول تکیه داشته باشد، در آرتمان درمان آمادهایم با همین نگاه از شما میزبانی کنیم.
❓ پاسخ به سوالات پر تکرار در رابطه با بلیداپ دندان
وقتی بخش قابل قبولی از تاج دندان باقی مانده باشد و امکان اتصال پایدار مواد ترمیمی وجود داشته باشد، بیلداپ گزینهای محافظهکارانهتر و مناسبتر است.
خیر، بیلداپ فقط زمانی قابل انجام است که بخشی از تاج طبیعی دندان باقی مانده باشد. در مواردی که فقط ریشه مانده، درمانهای تکمیلی مانند پست، کور و روکش لازم است.
خیر، بسته به شرایط دندان و نظر دندانپزشک، ممکن است از کامپوزیت یا آمالگام برای بیلداپ استفاده شود، اما کامپوزیت به دلیل زیبایی و چسبندگی بهتر کاربرد گستردهتری دارد
بیلداپ معمولاً در یک جلسه انجام میشود، اما روکش دندانی معمولاً به ۲ تا ۴ جلسه نیاز دارد (آمادهسازی، قالبگیری، تحویل روکش).
دریافت مشاوره و نوبت آنلاین
فیلد های "*" اجباری هستند
مقالات مرتبط
وقتی از هر واحد دندان در دندانپزشکی صحبت می کنیم منظورمان چیست؟
زمانی که برای مشاوره اصلاح طرح لبخند یا کاشت دندان
سن مناسب لمینت دندان از چه زمانی شروع می شود؟
تمایل به داشتن لبخندی بی نقص و درخشان سن و
بررسی جدیدترین روش های ترمیم دندان (با تمرکز بر بیلداپ)
در سال های اخیر، دندانپزشکی ترمیمی و زیبایی شاهد تغییراتی
44 دیدگاه در “بیلداپ دندان چیست؟ (بررسی جامع و ساده این درمان محافظه کارانه)”
سلام خسته نباشید من دندان ۶ بالا_ چپ خیلی سیاه شده بود و یه مقدار کم شکسته بود رفتم دکتر برام عصب کشی کرد و با کامپوزیت پر کرد مثل دندان سالم شده بود ولی گفتن روکش میخواد الان دندانم برای روکش تراش داده شده میخواستم ببینم اصلا نیازی به روکش بوده و اینکه اگر روکش بذاریم و بعد دندان دچار مشکل بشه میشه دیگ روکش نزاشت و دندان را بیلداپ کرد؟؟ آیا راهی هست
با سلام، یک روکش با تطابق مناسب سال ها ماندگاری دارد و نیاز به تعویض ندارد.
دندانی که برای روکش تراش می خورد به این دلیل که تمام مینای آن از بین می رود دیگر قابل بیلداپ نیست و در صورت بروز مشکل باید درمان انجام و مجددا روکش شود.
خوبه که مردم دارن آروم آروم با مفهوم بیلداپ آشنا میشن. یکسال تمام وقت گذاشتم و تو فضای مجازی و اجتماعات گروهی تاکید کردم که هر دندان عصب کشی شده ای به روکش نیاز ندارد و با بیلداپ درمان بهتری صورت میگیرد. متاسفانه من روکش کردم یه واحد و فهمیدم چع روش ناپسندی هستش. متاسفانه کلینیک های طبیعت دوست و با انرژی مثه کلینیک شما تو سطح فضای مجازی فعال نیستند. ای کاش کلینیک شما هم در فضای مجازی فعالیت داشت تا مردم آگاه تر میشدن نسبت به تفاوت های بیلداپ و روکش. از این دست کلینیک ها کم هست تو سطح کشور. به وجودتون افتخار کنید که مبناتون حفظ نعمت خدایی هستش با کمترین آسیب در حالیکه خیلی از کلینیک ها این اصل رو زیر پا گذاشتن و مبناشون چیزای دیگه شده.
آشنایی با افرادی چون شما که خواست و دغدغه مشترک با ما دارند بسیار سبب خشنودی است، دقیقا مانند این که در دیار غربت با همزبان خود برخورد کنیم.
سپاس از بیان نقطه نظراتتان
با عرض سلام و احترام خدمت شما
خسته نباشید میگم خدمت شما
بنده از استان خوزستان، شهر اهواز پیام میدم
سوالی داشتم در زمینه بیلداپ ( بازسازی ) دندان؟
یکی از دندان های جلویی بر اثر خوردن غذا که آش رشته بیرون بود در آش چندین سنگ ریز بود هنگام خوردن سنگ ها به ساختار دندان جلویی ضربه زدن و دندون جلویی من دچار شکستگی شدید و پوسیدگی شدید بود نصف ساختار دندون جلویی متأسفانه ریخت و شکست فقط تا الان تاج و ریشه دندون شکسته مونده
۴ سال پیش متوجه تخریب و شکستگی ساختار دندون شدم اما به خاطر قرمز بودن شرایط همه گیری ویروس کووید ۱۹ نتونستم به دندانپزشک متخصص ریشه مراجعه کنم
می خواستم بدونم با استفاده از روش بیلداپ امکان بازسازی فوری دندان جلویی هست؟
در یک جلسه دندانپزشک متخصص ریشه می تونه تا حدودی دندون جلویی رو بازسازی فوری کنه؟ یا چند جلسه می خواد؟
من تا الان سابقه عصب کشی و درمان ریشه دندون نداشتم؟
دندون های سالمی داشتم
مدام مسواک میزدم
باور کنید زندگی به کامم تلخ شده
نمیدونم کی روز میشه و کی شب
و یکی اینکه از سوزن بی حسی ترس شدید دارم
با سلام، در اکثر موارد درمان ریشه در یک جلسه قابل انجام است. اگر امکان انجام بیلداپ وجود داشته باشد، انجام آن هم در یک جلسه صورت می گیرد. در حال حاضر نیاز هست که دندان به شکل کلینیکی و در رادیوگرافی بررسی شود. به هیچ عنوان نگران تزریق ماده بیحسی نباشید، قبل از تزریق، دندانپزشک تان با قرار دادن ژل بیحسی ناحیه ورود سوزن را بیحس می کنند و شنا هیچ تجربه ناخوشایندی نخواهید داشت و انجام درمان ریشه هم کاملا بدون درد و ناراحتی خواهد بود. سلامت باشید
تشکر بابت مطالب سایت
دندان شش فک پایین من عصب کشی و طبق گفته دکتر بیلداپ شده. تقریبا دیواره های دندان سالم است و آمالگام بر روی سطح دندان وجود داره
به دایل اینکه روکش باعث تراش مقدار زیادی از جداره های دندانمیشه و بر اساس مطالب شما تمایلی به انجام روکش ندارم. منتهای مراتب از اطرافیان میشنوم که روکش گذاشته نشود بعد از مدتی دندان تخریب میشه که این مطلب هم عمدتا نقل قولی از همکاران شما است. اگه واقعا دندانی که بیلداپ شده استحکام لازم را دارد، چرا برخی همکارانتون اصرار به روکش گذاشتن دارند؟ آیا ممکن است دندان عصب کشی شده خلفی بدون بیلداپ ترمیم بشه؟
ممنون
با سلام، متاسفانه در بسیاری موارد که دندان های درمان ریشه شده دچار شکستگی می شوند، به جای بیلداپ، ترمیم می شوند. در بیلداپ تمامی بافت های ضعیف کوتاه شده و پوشش داده می شوند و اصول و بیومکانیک آن به نحوی است که دندان دچار شکستگی نشود اما اگر به اشتباه دندان ها بدون در نظر گرفتن این اصول ترمیم شوند، در بسیاری موارد دچار شکستگی های عمیق و غیر قابل ترمیم می شوند، در نتیجه برای پیشگیری از این مسئله انجام روکش توصیه می شود. در بیلداپ اگر این اصول رعایت شود دندان به هیچ وجه دچار شکستگی نمی شود و در بدترین حالت تکه ای از کامپوزیت ممکن است بپرد که قابل تعمیر است.
سلام علیکم
یه سوال از خدمت شما
مطالب سایت شما رو خوندم. همچنین از تجربیات اطرافیان در مورد دندانشان شنیدم که میگن دندان عصب کشی شده خلفی در صورت عدم روکش، ازسمت دیواره ها ترک برمیداره و به نوعی خرد میشه که دیگه امکان بازسازی هم موجود نیست. چقدر این مطلب صحت دارد؟ البته نمیدونم بداشون بیلداپ شده بوده یا نه
واقعا موندم که روکش بزنم یا نه. لطفا کمککنید
با سلام، بله در صورتی که دندان بدون در نظر گرفتن اصول و بیومکانیک صحیح مانند دندان های معمول که درمان ریشه نشده اند فقظ ترمیم شود، احتمال شکستگی های عمیق و غیر قابل جبران زیاد است. اما بیلداپ اصول و بیومکانیک خاص خود را دارد که دندان بتواند در مقابل نیروها مقاومت کند و دچار شکستگی نشود.
سلام
دندانی که روت کانال و همچنین بیلداپ و با آمالگام پرشده، در صورت خالی شدن دندان از مواد آمالگام بعد چند سال،امکان پر شدن مجدد داره با توجه به اینکه بعد عصب کشی قاعدتا دندان و به خصوص دیواره هاش ضعیف میشه؟
با سلام، اگر خالی شدن مواد آمالگام به دلیل وجود پوسیدگی باشد ممکن است بافت باقیمانده اندک بعد از حذف کامل پوسیدگی اجازه انجام بیلداپ مجدد را ندهد. اما اگر آمالگام تنها دچار شکستگی شده باشد احتمال انجام بیلداپ مجدد وجود دارد.
سلام و خسته نباشید.
من حدود دو ماه پیش دندان شماره شش فک پایین رو عصب کشی کردم و دکتر با مواد آمالگام اون رو پر کرد. البته دکتر به دستیارش گفت پین گذاشته و بیلد آپ کرده. بعد از صحبت اطرافیان و جستجو در اینترنت خیلی تاکید روی روکش کردن دارند. البته افرادی هم تاکید داشتند روکش در برخی موارد غیر ضروریه. الان دیواره های دندان من سالمه و فقط در مرکز دندان با آمالگام پر شده که به رنگ نقره ای هستش. حقیقت ب اساس مطالب سایتتون به نظرم حیفه که نسج سالم دندانم به خصوص دیواره ها رو تراش بدن برای روکش کردن. با توجه به این موارد ذکر شده فکر میکنید همون بیلد آپی که دکتر اشاره کرد کفایت میکنه یا روکش برای دندان خلفی که فشار روش غالبا زیاده، لازمه. واقعا نمیخوام بعد دو سه سال بعد کلی خرج دندانم خرد بشه. هر چند سعیم بر این بوده بهداشت دهان و دندان رو رعایت کنم. لبخشید اگه طولانی شد.
با سلام، قطعا همه تلاشمان حفظ بافت سالم دندان است اما جهت تشخیص قطعی باید دندان هم به شکل کلینیکی و هم در رادیوگرافی بررسی شود. رعایت بهداشت دهان باعث جلوگیری از ایجاد پوسیدگی و ماندگاری طولانی تر خواهد شد اما از نظر مقاومت در برابر نیروها و جلوگیری از شکستگی دندان بهتر است معاینه انجام شود.
سلام وقتتون بخیر،ببخشید من دوتا دندون جلو (پیش) از ناحیه اتصال به هم دچار پوسیدگی نسبتا متوسط شدن و مقداری شکستگی دارن که قراره دندانپزشک عمومی ترمیم کنن (فکر کنم عصب کشی نیاز نداره)
بعلاوه دندون نیش بالا نیاز به عصب کشی داره،
دوتا سوال از خدمتتون داشتم از اونجایی که جنوب سیستان بلوچستان هستم و دسترسی به متخصص ترمیمی ندارم میخواستم بدونم من میتونم پیش دندانپزشک عمومی دندون نیشمو عصب کشی و پر کنم و بعد از مدتی(وقتی دسترسی به متخصص ترمیمی داشتم شاید چندین ماه بعد) به متخصص مراجعه کنم و بیلداپ انجام بدن؟؟؟ مشکلی نداره؟؟
در مورد دندونای پیش چطور میشه الان ترمیم و پر بشن اما بعدا بیلداپ انجام بشه؟؟
مشکلی پیش نمیاد؟؟؟
در واقع منظورم از این سوال این هستش که فرآیند بیلداپ باید حتما همون زمان پر کردن و عصب کشی انجام بشه یا نه محدودیتی نداره و میشه دندون رو عصب کشی و پر کرد و بعد از مدت ها برای بیلداپ اقدام کرد؟؟؟
سوال دوم اینکه بیلداپ دندان واسه دندان عصب کشی شده جلو مثل پیش و نیش مناسب هست یا خیر،
ممنون از پاسخگوییتون
با سلام، بله این امکان هست که چند ماه بعد از درمان ریشه بیلداپ انجام دهید اما با دو پیش شرط: یکی اینکه روی پرکردگی ریشه با ماده مخصوص کاملا سیل و بسته شود که کانال ریشه دچار آلودگی نشود و مورد دوم اینکه تا زمانی که بیلداپ دندان انجام شود باید بسیار مراعات کنید که دندان دچار شکستگی نشود.
بیلداپ برای تمام دندان ها قابل انجام است و بهتر است در مرحله اول بعد از درمان ریشه انجام شود.
سلام و خسته نباشید. ببخشید بعد از عصب کشی و بیلداپ باز هم نیاز هست دندون رو رو کش کنیم ؟
با سلام، خیر، در واقع بیلداپ درمانی محافظه کارانه به منظور پیشگیری از تراش وسیع دندان و انجام روکش است.
سلام وخسته نباشید ،دندان عصب کشی وبیلداپ پر بشه بازم هم نیاز فوری به روکش داره؟
با سلام، اگر بیلداپ با اصول صحبح انجام شده باشد از شکستگی دندان جلوگیری می کند و نیازی به انجام روکش نمی باشد.
سلام وقت جنابعالی بخیر، دندان ۵ بالا-راست من عصب کشی شده است و حدود نصف دندان (جداره بیرونی) باقی مانده است. آیا میتوانم در صورت رعایت کامل و منظم اصول بهداشتی و نجویدن غذاهای سفت، از درمان بیلداپ استفاده کنم و روکش نشود؟
با سلام، دندان باید به شکل کلینیکی و از نظر رادیوگرافی بررسی شود تا بتوان تشخیص قطعی داد. اما به طور کلی وجود حداقلی از بافت سالم دندان انجام درمان بیلداپ را میسر می کند.
سلام من دندونم عصب کشی شد بعد یکماه نرفتم پر کنم قسمتی ازش ریخت،دکتر الان پرش کرده که بعد روکش کنه ،ابان امکان داره که بیلداپ انجام بدم؟؟
با سلام، اگر دندان برای روکش تراش نخورده باشد، احتمال اینکه بتوان آن را بیلداپ کرد بسیار بالاست.
سلام
دندونی که عصب کشی شده و پین داره و با مواد پر شده رو میشه در صورتی که بافت موردنیاز برا بیلداپ رو داشته باشه، بیلداپ کامپوزیت کرد؟
در واقع میخوام بدونم چنین دندونی که پر هم شده میشه دوباره امالگامش رو درآورد و بیلداپ انجام داد یانه؟
بعد دندون بیلداپ شده رو میشه روش براکت ارتودنسی زد؟ نمیشکنه؟
ممنون
با سلام، بله، دندان های ترمیم شده با آمالگام را می توان مجددا با کامپوزیت بیلداپ کرد و یکی از درمان های روتین در حیطه تخصصی دندانپزشکی ترمیمی است.
نیرویی که توسط ارتودنسی به دندان بیلداپ شده وارد می شود باعث شکست آن نخواهد شد.
سلام من دندون نیشمو ۱۰ سال پیش عصب کشی و روکش کردن متاسفانه الان عفونت شدید کرده دکتر متخصص درمان ریشه گفت قابلیت ترمیم ندارد ایا با این روش میشه ترمیمش کرد
با سلام، دندانی که روکش می شود به این دلیل که تمام مینای دندان تراش می خورد و برداشته می شود، این قابلیت را ندارد که درمان بیلداپ روی آن انجام شود. البته برای هر درمانی که روی تاج دندان انجام می شود اعم از روکش یا بیلداپ، ابتدا باید از درمان موفق ریشه دندان اطمینان حاصل کرد. سلامت باشید
سلام من می خوام 6 واحد دندانهای جلو فک بالام رو کامپوزیت زیبایی کنم چه جنس کامپوزیت خوبه ؟ بیلداپ کامپوزیت خوبه برای این کار ؟
با سلام، بیلداپ کامپوزیت در مواردی استفاده می شود که دندان ها دچار تخریب زیاد هستند، به عنوان مثال پس از درمان ریشه دندان، می توان از بیلداپ کامپوزیت برای بازسازی تاج دندان استفاده کرد. درمان زیبایی با کامپوزیت، در صورتی که دندان ها سالم باشند و یا دچار آسیب اندکی باشند، با ونیرهای کامپوزیتی قابل انجام است. کامپوزیت هایی که در این دو نوع درمان (بیلداپ کامپوزیت و ونیر کامپوزیت) استفاده می شوند، از نظر خواص فیزیکی و مکانیکی متفاوت هستند و دندانپزشک شما با در نظر گرفتن فاکتورهای مختلفِ مداخله کننده، کامپوزیت مناسب جهت درمان را برایتان در نظر خواهد گرفت
سلام من چند روز قبل دندانم را عصب کشی کردم و الان با مواد پانسمان پر شده می تونم بیداپ را در مرکز شما انجام بدم
در ضمن شما دندانپزشک خانم هم دارید؟
با سلام، بله، لطفا به شماره واتس اپ مرکز پیام ارسال بفرمایید. بله، دندانپزشکان خانم هم همکاری دارند
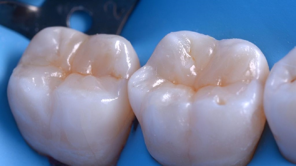
دندون آسیابمو هفته قبل عصب کشی کردم. اگه روکش نزارم و اونجوری که تو عکس هست بیلداپ بشه نمیشکنه؟
بیلداپ دندان با در نظر گرفتن بیومکانیک نیروهای وارد به دندان انجام می شود، به گونه ای که دندان بتواند در برابر نیروهای جویدن مقاومت کند. مزیت بزرگ بیلداپ دندان آن است که تمام بافت باقی مانده دندانی حفظ می شود و دندان به نحوی پوشش داده شده و بازسازی می شود که می تواند نیروهای وارده را تحمل کند.
– سلام ، عمر این بیلداپ ها مثل روکشه ؟
با سلام،
بیلداپها نسبت به روکشها نیاز به مراقبت بیشتری دارند. اما در صورت ملاحظه و رعایت بهداشت صحیح میتوانند تا طولانیمدت دوام داشته باشند.
سلام وقت بخیر ، روکش ها جنسشون محکمتر نیست نسبت به کامپوزیت ؟ برای دندون بهتر نیستن ؟
وقت شما بخیر،
موادی که روکشها از آن ساخته میشوند (فلز سرامیک و یا سرامیکهای تقویتشده) دارای استحکام بالاتری نسبت به موادی است که بیلداپها از آن ساخته میشوند (کامپوزیت یا آمالگام). ولی این مسئله لزوما به معنای افزایش طول عمر دندانی که روکش روی آن قرار میگیرد نیست. در روکشها در مواردی که دندان زیر روکش دچار مشکل میشود، متاسفانه در بسیاری موارد این مشکل نه بطور کلینیکی و نه در رادیوگرافی قابل تشخیص نیست.
حسن بزرگ بیلداپ در این است که اگر دچار مشکلی هم بشوند چون برخلاف روکشها در دید و قابل دسترسیاند، بلافاصله میتوان مشکل را تشخیص داده و آن را برطرف کرد.
سلام ، وقت شما بخیر
من یکی از دندون های اسیاب فک بالام خیلی خراب شده. چند جا رفتم گفتن باید بکشم ایمپلنت کنم میشه نکشم و بیلداپش کنم؟
وقت شما بخیر،
برای بیلداپ دندانها باید حداقل میزانی از بافت دندان جهت ایجاد گیر و مقاومت مادهی ترمیمی باقی مانده باشد. اینکه این امکان برای دندان شما وجود داشته باشد با معاینه کلینیکی و بررسی رادیوگرافی مشخص میشود.
سلام، یه سوال داشتم، من یکی از دندونای عقبم خیلی پوسیدگی داره ولی درد نداره ، اگر عصب کشی نخواد باز هم میتونم بیلداپ انجام بدم یا فقط برای دندونای عصب کشی شده اس؟ مرسی
با سلام،
بیلداپ در مورد تمام دندانهایی که بافت زیادی از دست دادهاند اما حداقلی از دیوارهها را جهت بازسازی دارند، قابل انجام است. ممکن است در این دندانها پوسیدگی بسیار نزدیک عصب یا پالپ دندان باشد ولی عصب درگیر نشود و یا امکان دارد عصب باز شود و نیاز به درمان ریشه باشد و پس از آن بیلداپ انجام شود.
وقتتون بخیر ، یه سوال داشتم. من دندون اسیاب کوچیک فک بالام رو عصب کشی کردم و نمیخام روکشش کنم . اگه بیلداپ کنم متوجه نشدم اگه امالگام کنم محکمتره؟ ولی وقتی بخندم رنگ سیاهش معلوم میشه. اگه همرنگ دندون بشه دوام داره؟
وقت شما بخیر ،
آمالگام مادهای قویتر از کامپوزیت (مواد همرنگ دندان) است، اما وقتی در داخل حفرات دندانی قرار میگیرند شرایط فرق میکند و هر کدام مورد تجویز خود را خواهند داشت.
دندان آسیای کوچک چون در محدودهی زیبایی قرار دارد و با لبخند شما دیده میشود، باید با کامپوزیت بیلداپ گردد. بیلداپهای کامپوزیتی در صورت رعایت اصول درمان و کاربرد مواد مناسب، به دلیل باند شدن کامپوزیت به بافت دندان، از طول عمر مناسبی برخوردارند.