ترمیم و تقویت دندان پوسیده با حفظ حداکثری ساختار طبیعی دندان
- تـاریـخ:
- دسته بندی: مقالات, مقالات ترمیم دندان
- نوشته شده توسط آرتمان درمان
- بدون نظر کاربران
فهرست عناوین این نوشتار
ترمیم و تقویت دندان پوسیده فقط یک اقدام درمانی نیست؛ فرصتی است برای حفظ دندان طبیعی، قبل از آنکه نیاز به درمان های پیچیده تر یا تهاجمی تر پیدا شود. برخلاف تصور رایج، بسیاری از پوسیدگی ها در مراحل اولیه، بدون آسیب به بافت سالم قابل کنترل هستند. اگر شما هم جزو کسانی هستید که ترجیح می دهید قبل از هر اقدامی، راهکارهای موثر را بررسی کنید، این مقاله برای شما نوشته شده است.
پوسیدگی دندان چیست؟
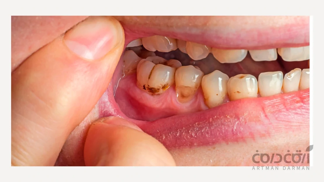
پوسیدگی دندان، فرایندی است که در آن باکتریهای دهان با تولید اسید، مینای دندان را تخریب میکنند. این تخریب معمولاً از سطح دندان آغاز شده و اگر به موقع کنترل نشود، به عاج و حتی پالپ دندان نفوذ میکند. پوسیدگی دندان نه تنها باعث درد و حساسیت میشود، بلکه میتواند عملکرد جویدن و سلامت کلی دهان را تحت تاثیر قرار دهد. خوشبختانه، شناسایی زودهنگام و رعایت اصول بهداشت دهان، تغذیه مناسب و استفاده از مواد ترمیمی محافظهکارانه، امکان توقف یا کنترل این فرآیند را فراهم میکند.
چرا حفظ دندان طبیعی همیشه در اولویت است؟
در هر تصمیم درمانی مربوط به ترمیم و تقویت دندان پوسیده، اولین و مهم ترین سوال این است: «آیا می توان دندان را حفظ کرد؟» پاسخ این سوال در اغلب موارد، مثبت است، به شرطی که تشخیص و مداخله در زمان مناسب انجام شود. در دندانپزشکی نوین، اصل بر این است که هیچ جایگزینی حتی بهترین ایمپلنت ها و روکش ها، قادر نیستند همان کارایی، زیبایی و سازگاری بیولوژیکی دندان طبیعی را داشته باشند.
دندان فقط یک قطعه سخت نیست. ساختار آن شامل مینای مقاوم، عاج انعطاف پذیر و پالپ زنده است که نه تنها در برابر فشار و تغییرات حرارتی واکنش نشان می دهد، بلکه به طور مداوم با بدن در ارتباط است. وقتی دندان طبیعی حفظ می شود، تعامل عصبی، حس جویدن و عملکرد کامل فک نیز باقی می ماند.
حتی پیشرفته ترین مواد ترمیمی نمی توانند تمام این ویژگی ها را به طور کامل بازسازی کنند؛ به همین دلیل، در ترمیم دندان پوسیده، اصل بر حفظ ساختار طبیعی است، نه جایگزینی.

حفظ دندان طبیعی از درمان های زنجیره ای جلوگیری می کند
وقتی دندانی کشیده یا بیش از حد تراشیده می شود، مشکلات معمولا تمام نمی شوند، بلکه به مراحل جدیدی وارد می شوند:
- دندان های مجاور شروع به حرکت می کنند
- فشار نامتوازن به مفصل فک وارد می شود
- در ناحیه بی دندان، تحلیل استخوان اتفاق می افتد
- نیاز به روکش، بریج یا ایمپلنت ایجاد می شود
تمام این موارد نه تنها پرهزینه تر، بلکه تهاجمی تر نیز هستند. درحالیکه با ترمیم و تقویت دندان پوسیده در مراحل اولیه، می توان جلوی این چرخه را گرفت.
چه گزینه هایی برای ترمیم و تقویت دندان پوسیده وجود دارد؟
در دندانپزشکی، رویکرد محافظه کارانه یعنی: کمترین تراش و بیشترین حفظ ساختار طبیعی دندان. برای ترمیم و تقویت دندان پوسیده، انتخاب روش درمان بستگی به میزان آسیب بافت دندانی دارد. در ادامه با روش هایی آشنا می شوید که از سبک ترین مداخلات شروع شده و در موارد لزوم به درمان های پیشرفته تر می رسند.
🦷 مقایسه روش های ترمیم دندان پوسیده
| روش درمان | شرایط مناسب 📌 | مزایا و ویژگیها 🌟 |
| پر کردن دندان 🪥 | پوسیدگی سطحی و محدود به مینا | کمتهاجمی، سریع، با مواد همرنگ یا فلزی |
| بیلداپ 🧱 | تخریب وسیع بدون نیاز به عصبکشی | بازسازی ساختار از بین رفته، پایه درمان های بعدی |
| اینله / آنله 🧩 | پوسیدگی متوسط؛ نیاز به دقت بالا | ساختهشده در لابراتوار، استحکام بالا، حفظ ساختار سالم |
| عصبکشی 🧪 | نفوذ پوسیدگی به پالپ (بخش زنده دندان) | حذف عفونت، حفظ ریشه، نیاز به ترمیم تاج در ادامه |
| روکش دندان 👑 | تخریب شدید یا بعد از عصبکشی پیشرفته | محافظت کامل، بازگردانی زیبایی و عملکرد، طراحی زیستسازگار |
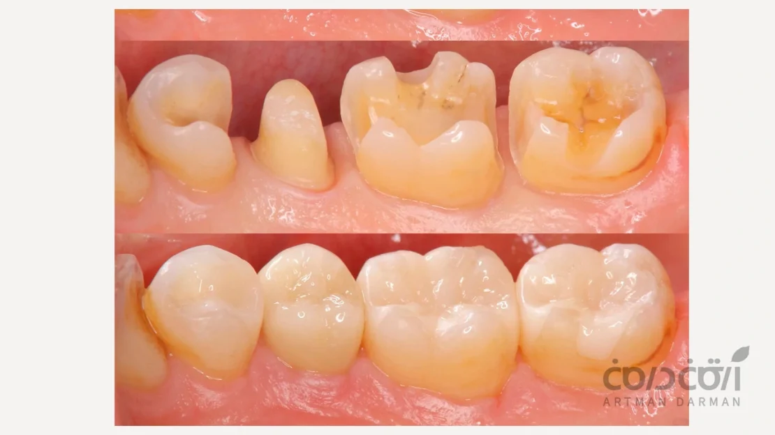
پر کردن دندان

رایج ترین و ابتدایی ترین روش برای ترمیم دندان پوسیده، پر کردن با مواد همرنگ یا فلزی است. این روش زمانی قابل استفاده است که پوسیدگی محدود به بخش کوچکی از تاج دندان بوده و هنوز ساختار کلی سالم باقی مانده است.
در این روش:
- بافت پوسیده با ابزارهای مخصوص برداشته می شود
- ناحیه تمیز شده با مواد رزینی (کامپوزیت) یا آمالگام پر می شود
- فرم و آناتومی دندان بازسازی می گردد تا عملکرد جویدن حفظ شود
بهترین دندان، دندان طبیعی خود شماست!
رویکرد ما در مجموعه دندانپزشکی آرتمان درمان انجام درمان به صورت محافظه کارانه و با حفظ حداکثری نسج دندان طبیعی است. اگر به دنبال درمانی اصولی، طبیعی ومحافظه کارانه هستید، با همین نگاه میزبان شما در آرتمان درمان هستیم.
02166003625 09021216575بیلداپ دندان (Build-up)
گاهی پوسیدگی آنقدر پیشرفته است که بخش زیادی از دندان تخریب شده، اما هنوز نیاز به عصب کشی نیست. در این حالت، باید دندان به طور کامل بازسازی شود. این فرآیند را بیلداپ می نامند.
بیلداپ یعنی:
- با استفاده از مواد تقویتی و مستحکم، ساختار از دست رفته دندان بازسازی می شود
- فرم اصلی دندان احیا می گردد
بیلداپ اغلب پایه ای برای انجام سایر درمان هاست، به ویژه زمانی که بخش زیادی از تاج دندان از بین رفته اما ریشه و پالپ هنوز قابل حفظ هستند.
اینله و آنله (Inlay / Onlay)

وقتی پوسیدگی گسترده تر از حد معمول است اما همچنان نیازی به روکش کامل نیست، از اینله یا آنله استفاده می شود. این دو نوع ترمیم، غیرمستقیم هستند، یعنی در لابراتوار ساخته شده و سپس روی دندان چسبانده می شوند.
تفاوت:
- اینله داخل سطوح جونده دندان قرار می گیرد (مشابه پر کردن پیشرفته)
- آنله علاوه بر سطح جونده، کاسپ ها (برجستگی های دندان) را هم پوشش می دهد
مزیت اصلی این روشها:
- دقت بالاتر نسبت به ترمیم های مستقیم
- حفظ بیشتر ساختار سالم دندان نسبت به روکش کامل
- دوام بالا و استحکام بیشتر هنگام جویدن
به نقل از Journal of Clinical Dentistry
“Clinical trials have shown that inlay and onlay restorations can help in preserving more healthy tooth structure compared to crowns, leading to better long-term outcomes.”
“آزمایشهای بالینی نشان دادهاند که ترمیمهای اینلی و آنلی میتوانند به حفظ بیشتر ساختار دندان سالم نسبت به تاجها کمک کرده و منجر به نتایج بهتر بلندمدت شوند.”
عصب کشی یا درمان ریشه
اگر پوسیدگی به پالپ (بخش زنده دندان) نفوذ کند و موجب التهاب یا عفونت شود، تنها راه نجات دندان ممکن است عصب کشی باشد. برخلاف تصور عمومی، این درمان تهاجمی محسوب نمی شود، بلکه گاهی تنها راه برای حفظ دندان در دهان است.
فرآیند عصب کشی شامل:
- برداشت کامل پالپ عفونی یا آسیب دیده
- ضدعفونی کانال های ریشه
- پر کردن کانال ها با مواد زیستی
- ترمیم نهایی تاج دندان برای حفظ عملکرد و استحکام
روکش دندان (Crown)

در شرایطی که دندان به شدت تخریب شده باشد یا بیلداپ کافی برای تحمل فشار نداشته باشد، ممکن است نیاز به روکش باشد. روکش ها به دو هدف اصلی استفاده می شوند:
- محافظت از دندانی که ساختار زیادی از آن از بین رفته
- بازگرداندن عملکرد و زیبایی در دندان های درمان شده
روکش دندان فقط زمانی استفاده می شود که هیچ یک از گزینه های قبلی کافی نباشد. همچنین امروزه روکش های تمام سرامیکی یا زیرکونیومی با حداقل تراش طراحی می شوند تا بیشترین بافت دندان حفظ شود.
آیا ترمیم و تقویت دندان پوسیده بدون نیاز به پر کردن ممکن است؟
در گذشته تصور می شد هر نشانه ای از پوسیدگی به معنای نیاز قطعی به پر کردن دندان است. اما پیشرفت های علمی در دندانپزشکی، دیدگاه تازه ای را مطرح کرده اند. در واقع در مراحل اولیه پوسیدگی، امکان تقویت ساختار دندان بدون نیاز به مداخلات تهاجمی وجود دارد. اما این مسیر، نیازمند تشخیص زودهنگام، پایبندی به مراقبت های پیشگیرانه و استفاده از روش های علمی تقویت مینای دندان است.
نقش تغذیه، فلوراید و مراقبت روزانه
یکی از ارکان مهم در ترمیم و تقویت تقویت دندان پوسیده، تغذیه صحیح است. استفاده روزانه از مواد غذایی غنی از کلسیم، فسفر و ویتامین D می تواند به روند معدنی سازی مجدد (remineralization) کمک کند. همچنین مصرف متعادل قند و پرهیز از اسنک های شیرین در طول روز، مانع اسیدی شدن محیط دهان می شود.
🥗 مواد غذایی مفید یا مضر برای دندان ها
| ماده غذایی / مکمل 🍽️ | تأثیر بر دندان 🦷 | توصیه یا هشدار ⚠️ |
| کلسیم (شیر، بادام) 🥛🌰 | تقویت مینای دندان، کمک به بازسازی 🧱 | مصرف روزانه توصیه میشود ✅ |
| فسفر (ماهی، تخممرغ) 🐟🍳 | همراه کلسیم در بازسازی مینای دندان 🔩 | در وعدههای اصلی گنجانده شود ✅ |
| ویتامین D (نور آفتاب) ☀️ | جذب بهتر کلسیم و فسفر ⚙️ | روزانه ۱۵ دقیقه در معرض نور خورشید 🕒 |
| قندهای ساده (شیرینی، نوشابه) 🍩🥤 | تغذیه باکتریهای پوسیدگیزا 😬 | مصرف محدود شود ❌ |
| فلوراید (خمیر دندان، آب) 💧🪥 | تقویت مینای دندان و مقاومت در برابر اسید 🛡️ | استفاده روزانه توصیه میشود ✅ |
از سوی دیگر، استفاده منظم از خمیر دندان های حاوی فلوراید، دهانشویه های تقویتی و رعایت اصول بهداشت دهان، نقش تعیین کننده ای در توقف یا کند شدن روند پوسیدگی دارند. مسواک زدن صحیح، نخ دندان روزانه و تمیز کردن زبان همگی جزئی از سبک زندگی بهداشتی دهانی هستند که به تقویت دندان ها کمک می کنند.
remineralization چیست و در چه شرایطی موثر است؟
فرایند Remineralization به معنای بازگشت مواد معدنی به ساختار مینای دندان است. زمانی که اسیدهای باکتریایی به مینای دندان حمله می کنند، شروع به خارج کردن کلسیم و فسفات از بافت مینایی می کنند. اگر این آسیب در مراحل اولیه متوقف شود، با تامین دوباره این مواد از طریق رژیم غذایی مناسب، فلوراید و برخی محصولات معدنی، امکان بازسازی نسبی مینا فراهم خواهد شد.
Remineralization زمانی موثر است که پوسیدگی هنوز وارد عاج دندان نشده باشد و تنها در مرحله سطحی باشد. در این وضعیت، مینای دندان هنوز تخریب نشده و قابلیت پاسخ به درمان های غیرتهاجمی را دارد.
چه نوع پوسیدگی هایی با مینرال تراپی قابل کنترل هستند؟
پوسیدگی هایی که در مراحل اولیه و سطحی هستند (که اغلب به صورت لکه های سفید یا گچی روی مینا ظاهر می شوند)، گزینه های مناسبی برای مینرال تراپی یا همان remineralization هستند. در این روش، بدون تراشیدن دندان و تنها با استفاده از ژل های معدنی، فلورایدتراپی، رزین های محافظ یا حتی کلسیم فسفاته ها، می توان روند پیشرفت پوسیدگی را متوقف یا حتی معکوس کرد.
علائم هشداردهنده که نباید نادیده گرفته شوند
بسیاری از بیماران تا زمانی که درد نداشته باشند، مراجعه به دندانپزشک را ضروری نمی دانند. اما باید بدانیم که پوسیدگی دندان اغلب بدون درد آغاز می شود و به تدریج عمیق تر می شود. برخی علائم اولیه، هشداری مهم برای اقدام زودهنگام هستند:

- حساسیت به سرما یا شیرینی: یکی از علائم ابتدایی نفوذ اسیدها به لایه های سطحی دندان است.
- تغییر رنگ مینای دندان: لکه های سفید، قهوه ای یا خاکستری روی دندان ممکن است نشان دهنده تخریب معدنی باشند.
- بوی بد دهان و طعم فلزی: این علائم ممکن است ناشی از فعالیت باکتری های مولد پوسیدگی باشند.
چگونه تشخیص داده میشود که دندان نیاز به ترمیم دارد؟
تشخیص صحیح و به موقع پوسیدگی دندان، نخستین گام برای انتخاب روش مناسب ترمیم است. دندانپزشک با ارزیابی دقیق، تعیین میکند آیا دندان نیاز به ترمیم دارد یا میتوان آن را با روشهای پیشگیرانه محافظت کرد. این بررسیها شامل روشهای زیر هستند:
- معاینه بالینی: بررسی ظاهر دندان، لکهها، سوراخها و تغییر رنگ مینای دندان.
- عکسبرداری رادیوگرافی: شناسایی پوسیدگیهای مخفی بین دندانها یا زیر پر شدگیهای قبلی.
- تست حساسیت: بررسی واکنش دندان به سرما، گرما یا فشار برای تشخیص نفوذ پوسیدگی به پالپ.
- تشخیص با ابزارهای دیجیتال: استفاده از لیزر، کاشفهای الکترونیکی یا دوربینهای دهانی برای شناسایی زودهنگام پوسیدگی.
این روشها کمک میکنند تا درمان به موقع و محافظهکارانه انجام شود و از پیشرفت پوسیدگی جلوگیری گردد.
چه کارهایی برای پیشگیری از پیشرفت پوسیدگی می توان انجام داد؟
پوسیدگی دندان پدیده ای پیشرونده است، اما خوشبختانه می توان با اقداماتی ساده اما مداوم، جلوی پیشرفت آن را گرفت و حتی در مواردی، نیاز به پر کردن و درمان های پیشرفته را حذف کرد.
اصلاح سبک زندگی
کاهش مصرف قند، نوشیدنی های اسیدی، تنقلات چسبنده و میان وعده های پی در پی، از راهکارهای کلیدی در کنترل محیط دهان است. نوشیدن آب بعد از هر وعده غذایی و جویدن آدامس بدون قند برای افزایش ترشح بزاق نیز کمک کننده هستند.
آموزش بهداشت پیشرفته دندان
مسواک زدن صحیح، استفاده روزانه از نخ دندان و آگاهی از نقاط کور در دهان (مانند پشت دندان های آسیاب) بخش مهمی از مراقبت حرفه ای خانگی هستند. در صورت امکان، از ابزارهای کمکی مانند واترجت هم استفاده شود.
استفاده از دهانشویه ها و محصولات تقویتی
دهانشویه های حاوی فلوراید یا کلرهگزیدین، خمیر دندان های مینرال تراپی و ژل های تقویت کننده مینای دندان از جمله محصولاتی هستند که در صورت تجویز تخصصی، می توانند تاثیر قابل توجهی در توقف پوسیدگی داشته باشند.
👋 برای کسب اطلاعات بیشتر درباره روشهای ترمیم دندان، مطالعه سایر مقالات وبسایت آرتمان درمان پیشنهاد میشود
پست و کور دندان چیست و چه زمانی انجام می شود؟
آشنایی با مهم ترین ترمیم های بعد از درمان ریشه دندان
۸ علت درد دندان پر شده + نحوه درمان این درد ناخواسته
✅ویزیت های دوره ای

برخی آسیب ها تنها با معاینه تخصصی و عکس دندان مشخص می شوند. مراجعه منظم هر ۶ ماه به دندانپزشک، زمینه ساز شناسایی زودهنگام و جلوگیری از پیشرفت بی علامت پوسیدگی خواهد بود.
اگر به دنبال مرکزی هستید که در تمام مراحل درمان (از نخستین جلسه مشاوره تا پایان مسیر) بر اصول محافظه کارانه و حفظ حداکثری بافت دندان تکیه داشته باشد، در آرتمان درمان آماده ایم با همین نگاه از شما میزبانی کنیم.
❓پاسخ به سوالات پرتکرار درباره ترمیم و تقویت دندان پوسیده
بله، در مراحل اولیه و با رویکرد محافظه کارانه، این امکان وجود دارد.
بله، بیشتر پوسیدگی ها بدون علامت هستند تا زمانی که دیر شده باشد.
📚منابع
pubmed.ncbi.nlm.nih.gov
ada.org
دریافت مشاوره و نوبت آنلاین
فیلد های "*" اجباری هستند
مقالات مرتبط
7 علامت اصلی عفونت ریشه دندان + روش های درمان این عفونت
مراجعهکنندگان به مراکز دندانپزشکی اغلب با مشکل عفونت ریشه
پر کردن دندان با کامپوزیت و مواد همرنگ دندان
برای ترمیم پوسیدگی دندان، دندانپزشک ابتدا قسمت پوسیده دندان را
ترمیم دندان شکسته: چگونه دندان شکسته شده را ترمیم کنیم؟
شکستگی دندان یک مشکل نه چندان رایج است که میتواند