ایمپلنت دندان چیست؟ (راهنمای جامع بهترین راه حل جایگزینی دندان)
- تـاریـخ:
- دسته بندی: مقالات, مقالات ایمپلنت دندان
- نوشته شده توسط آرتمان درمان
- 2 نظر کاربران
فهرست عناوین این نوشتار
تجربه از دست دادن دندان، اتفاقی است که می تواند بر توانایی جویدن، زیبایی لبخند، اعتماد به نفس و حتی سلامت عمومی شما تأثیر بگذارد. در گذشته، گزینه های محدودی برای حل این مشکل وجود داشت. اما امروزه، دندانپزشکی مدرن راه حلی را پیش روی ما قرار می دهد که نه تنها یک جایگزین، بلکه یک بازسازی کامل و عملکردی برای دندان از دسترفتهاست. این راه حل، ایمپلنت دندان نام دارد. اما ایمپلنت دندان چیست و چرا این روزها انقدر طرفدار دارد؟
این مقاله، پاسخی جامع و عمیق به این سوال است تا شما را با تمام جنبه های این درمان شگفت انگیز آشنا کند.
ایمپلنت دندان چیست؟

برای درک درست ایمپلنت دندان باید آن را فراتر از یک روش جایگزینی ساده تصور کرد. ایمپلنت در واقع بازسازی زیستی یک دندان است. بازسازی ای که نه تنها فضای خالی را پر می کند، بلکه ساختار و عملکرد دندان طبیعی را از ریشه تا تاج بازآفرینی می کند. تفاوت ایمپلنت با سایر روش های جایگزینی دندان از دست رفته (مثل بریج ها و پروتزهای متحرک) دقیقاً در همین نکته است:
“آن ها تنها ظاهر را تکمیل می کنند، اما ایمپلنت با بدن یکپارچه می شود و بخشی از آناتومی طبیعی فرد به شمار می آید.”
همین ویژگی است که دوام، کارایی و زیبایی بلندمدت آن را تضمین می کند.
آناتومی یک ایمپلنت دندان کامل از سه بخش مهندسی شده تشکیل می شود
بسیاری از افراد کنجکاو هستند که مهم ترین بخش های یک ایمپلنت دندان چیست؟ در واقع یک درمان کامل ایمپلنت دندان از سه بخش اصلی تشکیل می شود که مانند قطعات یک ساعت سوئیسی، با دقتی بی نظیر با یکدیگر کار می کنند تا عملکرد و زیبایی را به طور همزمان فراهم آورند:
بخشهای مختلف ایمپلنت دندان
| بخش ⚙️ | توضیح 📝 | جنس معمول 🔬 | نقش اصلی 🦷 |
| پایه (فیکسچر) | ریشه مصنوعی که در استخوان قرار میگیرد | تیتانیوم پزشکی | اتصال به استخوان و پشتیبانی |
| اباتمنت | رابط بین پایه و روکش | تیتانیوم / زیرکونیا | نگهدارنده روکش |
| روکش | بخش قابل مشاهده و زیبایی | سرامیک / زیرکونیا | بازگرداندن ظاهر و عملکرد دندان |
پایه ایمپلنت یا فیکسچر

فونداسیون کل سیستم، همین پایه پیچی شکل است که طی یک فرآیند جراحی در استخوان فک قرار می گیرد. جنس آن معمولاً از تیتانیوم گرید پزشکی است که با بدن سازگاری کامل دارد و هیچ واکنش آلرژیکی ایجاد نمی کند.
این قطعه به عنوان ریشه مصنوعی دندان عمل می کند و موفقیت بلندمدت درمان به جوش خوردن کامل آن به استخوان بستگی دارد. طراحی رزوه ها و پردازش سطح این قطعه، حاصل دهه ها تحقیق و توسعه علمی است.
اباتمنت یا رابط پروتزی

این قطعه، یک رابط دقیق است که پس از دوره ریکاوری، روی پایه ایمپلنت سوار می شود. اباتمنت از لثه بیرون میزند و به عنوان پایه ای عمل می کند که روکش نهایی روی آن قرار می گیرد.
اباتمنت ها در اشکال، زوایا و جنس های مختلف (تیتانیوم یا زیرکونیا) وجود دارند تا دندانپزشک بتواند بهترین نتیجه پروتزی را حتی در شرایط آناتومیک پیچیده، به صورت سفارشی برای شما ایجاد کند.
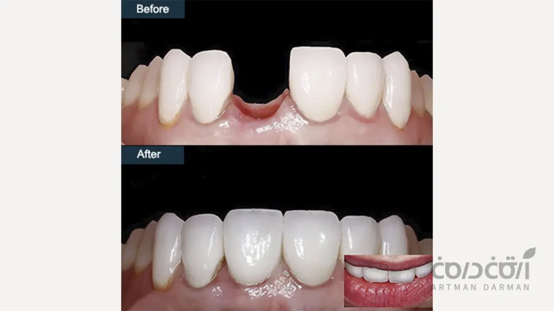
روکش دندان

بخش نهایی و قابل مشاهده درمان، همان روکش است که دقیقاً شبیه به یک دندان طبیعی ساخته می شود. جنس آن معمولاً از سرامیک های پیشرفته (مانند زیرکونیا یا E.max) است که هم استحکام لازم برای جویدن را دارند و هم زیبایی و شفافیتی مشابه مینای دندان طبیعی را ارائه می دهند.
این روکش به صورت کاملاً سفارشی برای هر بیمار ساخته می شود تا از نظر رنگ و فرم، با دندان های مجاور خود غیرقابل تشخیص باشد.
چرا می گوییم که ایمپلنت به معنای واقعی کلمه به جزئی از استخوان فک شما تبدیل می شود؟
شاید از خود بپرسید که چگونه یک قطعه خارجی می تواند به جزئی دائمی از بدن تبدیل شود؟ پاسخ این سوال قطعا در یک فرآیند بیولوژیک شگفت انگیز به نام “اوسئواینتگریشن” (Osseointegration) یا یکپارچگی استخوانی نهفته است. در واقع درک این مفهوم برای فهم اینکه کارایی واقعی ایمپلنت دندان چیست واقعا ضروری است.
توضیح ساده فرآیند اوسئواینتگریشن ….

زمانی که پایه ایمپلنت دندان از جنس تیتانیوم در استخوان فک قرار می گیرد، بدن آن را به عنوان یک جسم خارجی متخاصم شناسایی نمی کند. در عوض، سلول های استخوان ساز بدن (استئوبلاست ها) سطح ایمپلنت را به عنوان یک بستر مناسب برای رشد شناسایی کرده و به آن مهاجرت می کنند.
این سلول ها شروع به ساختن استخوان جدید (به طور مستقیم روی سطح ایمپلنت) می کنند. در طی یک دوره چند ماهه، استخوان به تدریج در تمام خلل و فرج میکروسکوپی سطح ایمپلنت رشد کرده و یک اتصال زنده، مستقیم و فوق العاده محکم بین استخوان و ایمپلنت ایجاد می کند. این فرآیند، ایمپلنت دندان را به معنای واقعی کلمه به بخشی از آناتومی فک شما تبدیل می کند.
کاشت ایمپلنت دندان به چه روش هایی انجام می شود؟
با توجه به شرایط استخوان، تعداد دندانها و طرح درمان تخصصی، میتوان از روشهای متفاوتی برای کاشت ایمپلنت استفاده کرد. برای درک بهتر تفاوت تکنیکهای جراحی و انتخاب مناسبترین روش، در جدول زیر مقایسهای جامع بین انواع روشهای کاشت ایمپلنت ارائه شده است. این مقایسه به شما کمک میکند بدانید هر روش در چه شرایطی بهکار میرود و چه مزایا و محدودیتهایی دارد.
| روش کاشت ایمپلنت | توضیح | مزایا | محدودیتها |
| ایمپلنت معمولی (Two-Stage) | کاشت پایه در جراحی اول و نصب اباتمنت در جراحی دوم؛ روش استاندارد و مطمئن | درصد موفقیت بالا، مناسب تقریباً برای همه بیماران | طول درمان طولانیتر بهدلیل دوره انتظار جوش خوردن |
| ایمپلنت فوری (Immediate Implant) | کاشت پایه بلافاصله پس از کشیدن دندان | کاهش تعداد جراحی، حفظ بهتر استخوان، زیبایی سریعتر | نیازمند استخوان سالم؛ در همه شرایط قابل انجام نیست |
| ایمپلنت یکمرحلهای (One-Stage) | قرار دادن پایه و اباتمنت در یک مرحله جراحی | کاهش تعداد جراحی، سرعت بیشتر درمان | نیازمند شرایط ایدهآل لثه و دقت بسیار بالا |
| ایمپلنت با لود فوری (Immediate Loading) | نصب روکش موقت در همان روز یا ۷۲ ساعت اول | زیبایی و عملکرد سریع، مناسب ناحیههای قابلمشاهده | فشار زودهنگام ممکن است ریسک شکست را افزایش دهد |
| ایمپلنت بدون برش لثه (Flapless) | کاشت ایمپلنت بدون برش و بخیه با راهنمای دیجیتال | کمترین تورم و درد، ریکاوری سریع | فقط با CBCT دقیق و آناتومی مناسب امکانپذیر است |
اگر به دنبال درمان هایی با رویکرد محافظه کارانه و کم تهاجم هستید که با کمترین آسیب به دندان، باعث حفظ حداکثری ساختار دندان طبیعی شما شود، جهت دریافت مشاوره تخصصی و طرح درمان اختصاصی شماره تماس خود را وارد فرمایید
مهم ترین گام ها در درمان ایمپلنت دندان چیست؟ ( آشنایی با مراحل درمان ایمپلنت)
فرآیند دریافت یک ایمپلنت دندان یک مسیر چند مرحله ای است که با دقت و بر اساس شرایط منحصر به فرد شما برنامه ریزی می شود. بیاییم این مراحل را با هم مرور کنیم:
مراحل درمان ایمپلنت
| مرحله ⏳ | توضیح مختصر 📝 | مدت زمان تقریبی 📆 |
| ارزیابی و برنامهریزی | معاینه، CBCT، طرح درمان | ۱ جلسه |
| جراحی کاشت پایه | قرار دادن فیکسچر در استخوان | ۱ جلسه (سرپایی) |
| ریکاوری و جوش خوردن | انتظار برای اوسئواینتگریشن | ۲ تا ۶ ماه |
| نصب اباتمنت | جراحی کوچک و قالبگیری | ۱ جلسه |
| روکش نهایی | ساخت و قرار دادن پروتز | ۱–۲ هفته |
گام اول و حیاتی ارزیابی جامع و برنامه ریزی دیجیتال است
موفقیت نهایی یک درمان، به دقت برنامه ریزی اولیه آن بستگی دارد. در جلسه مشاوره، دندانپزشک متخصص، سلامت عمومی و دهان شما را به طور کامل ارزیابی می کند. مهم ترین ابزار تشخیصی در این مرحله، اسکن سه بعدی (CBCT) است.
این اسکن یک نقشه راه دقیق و سه بعدی از آناتومی فک شما ارائه می دهد و به دندانپزشک اجازه می دهد تا:
- ارتفاع
- عرض
- و کیفیت استخوان را با دقت میکرونی اندازه گیری کند
- و موقعیت ساختارهای حیاتی مانند اعصاب و سینوس ها را مشخص نماید.
به نقل از Nature
“Patients rehabilitated with dental implants have shown enhanced tactile discriminative capabilities & motor function compared to complete denture patients.”
«بیمارانی که با ایمپلنتهای دندانی درمان شدهاند، نسبت به بیمارانی که از دندان مصنوعی کامل استفاده میکنند، تواناییهای حسی و عملکرد حرکتی بهبود یافتهای نشان دادهاند.»
رایج ترین چالش در مرحله اول ایمپلنت دندان چیست؟
طی این مرحله با استفاده از نرم افزارهای دیجیتال، جراحی به صورت مجازی شبیه سازی شده و بهترین موقعیت برای قرار دادن ایمپلنت تعیین می شود. رایج ترین چالش این مرحله نیز اغلب کمبود توده استخوانی است. در واقع اگر مشخص شود که حجم استخوان کافی نیست، طرح درمان برای پیوند استخوان نیز ریخته می شود.
گام دوم فرآیند جراحی برای قرار دادن پایه ایمپلنت است

این مرحله، یک فرآیند جراحی سرپایی است که تحت بی حسی موضعی کامل در مطب، مجموعه یا کلینیک دندانپزشکی انجام می شود. خوشبختانه شما در طول آن هیچ دردی احساس نخواهید کرد.
- جراح طی یک جراحی با ایجاد یک برش کوچک در لثه، به استخوان دسترسی پیدا می کند. سپس با استفاده از دریل های بسیار دقیق، حفره ای متناسب با ایمپلنت ایجاد می کند.
- در نهایت نیز، پایه ایمپلنت دندان به آرامی در داخل این حفره قرار داده شده و لثه را بخیه می زنند.
گام سوم دوره ریکاوری و یکپارچگی استخوانی نام دارد
اگر بپرسید بعد از مرحله خود جراحی، مهم ترین مرحله ایمپلنت دندان چیست، باید بگوییم که همین گام است. این مرحله در واقع، زمان انتظار برای وقوع پدیده بیولوژیک اوسئواینتگریشن است. بر اساس کیفیت استخوان و شرایط مراجع محترم، این دوره معمولاً بین ۲ تا ۶ ماه طول می کشد.
در این مدت، شما باید از وارد کردن هرگونه فشار مستقیم به محل ایمپلنت خودداری کنید. در صورت نیاز، راهکارهای موقتی برای پر کردن جای خالی دندان در این دوره وجود دارد تا شما از نظر زیبایی مشکلی نداشته باشید.
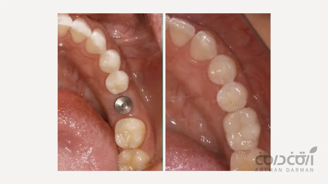
گام چهارم و پنجم به ساخت بخش پروتزی اختصاص دارد

پس از اطمینان از جوش خوردن کامل ایمپلنت به استخوان، مرحله پروتزی آغاز می شود. با یک جراحی کوچک، سر ایمپلنت نمایان شده و اباتمنت روی آن بسته میشود. سپس، یک قالب گیری دقیق (به روش سنتی یا با اسکنر دیجیتال) از اباتمنت و دندان های مجاور گرفته می شود.
در نهایت لابراتوار بر اساس این قالب، یک روکش سرامیکی کاملاً سفارشی می سازد که در جلسه نهایی، روی اباتمنت نصب شده و درمان شما کامل می شود.
برای درمان ایمپلنت دندان به چه مراقبت هایی نیاز است؟
مراقبت های قبل از کاشت ایمپلنت دندان
برای موفقیت طولانیمدت ایمپلنت، رعایت برخی نکات پیش از جراحی اهمیت زیادی دارد. این اقدامات ساده اما حیاتی به دندانپزشک کمک میکند تا بهترین نتیجه را برای شما به دست آورد و از هرگونه عارضه احتمالی پیشگیری شود.
- ارزیابی کامل سلامت دهان و دندان: قبل از جراحی، دندانپزشک تمام دندانها و لثهها را بررسی کرده و هرگونه عفونت یا پوسیدگی را درمان میکند.
- مشاوره پزشکی و بررسی شرایط عمومی بدن : بیماریهای سیستمیک مانند دیابت کنترل نشده یا فشار خون بالا باید قبل از ایمپلنت تحت کنترل قرار بگیرند.
- قطع یا تنظیم مصرف داروهای خاص: در صورت مصرف داروهای رقیقکننده خون یا داروهای خاص، ممکن است نیاز به هماهنگی با پزشک برای تنظیم دوز قبل از جراحی باشد.
- رعایت بهداشت دهان و دندان: مسواک زدن دقیق و استفاده از دهانشویه آنتیباکتریال قبل از روز جراحی، خطر عفونت پس از کاشت ایمپلنت را کاهش میدهد.
- عدم مصرف سیگار و الکل: مصرف سیگار و الکل حداقل چند روز قبل از جراحی میتواند فرایند جوش خوردن ایمپلنت به استخوان را بهبود دهد.
مراقبت های بعد از کاشت ایمپلنت دندان
پس از کاشت ایمپلنت، رعایت نکات ساده اما مهم میتواند به بهبود سریعتر، کاهش درد و جلوگیری از عوارض کمک کند. رعایت دقیق این موارد، تضمینکننده موفقیت طولانیمدت درمان شما است:
- اجتناب از فشار مستقیم روی ایمپلنت: حداقل تا زمان جوش خوردن کامل پایه به استخوان، از جویدن غذاهای سفت روی محل ایمپلنت خودداری کنید.
- رعایت بهداشت دهان و دندان: تمیز نگه داشتن اطراف ایمپلنت با مسواک نرم و دهانشویه تجویزی به پیشگیری از عفونت کمک میکند.
- مصرف داروها طبق دستور پزشک: در صورت تجویز آنتیبیوتیک یا مسکن، داروها را به موقع و کامل مصرف کنید.
- اجتناب از سیگار و دخانیات: مصرف دخانیات میتواند فرآیند جوش خوردن ایمپلنت را مختل کند و ریسک عفونت را افزایش دهد.
- مراجعه منظم برای چکاپ: جلسات پیگیری با دندانپزشک به شناسایی به موقع هر مشکل احتمالی کمک میکند.
- استراحت و تغذیه مناسب: استراحت کافی و مصرف غذاهای نرم و مقوی، روند بهبودی را تسریع میکند.
چرا ایمپلنت دندان به عنوان راه حل ایده آل برای جایگزین دندان از دست رفته چیست؟
حال که می دانیم ایمپلنت دندان چیست؟ و چگونه کار می کند، می توانیم در یک جدول به مقایسه آن با سایر روش ها بپردازیم تا برتری های آن به وضوح مشخص شود:
| ویژگی کلیدی | ایمپلنت دندان | بریج دندان (پل ثابت) | پروتز متحرک (دندان مصنوعی) |
| حفظ دندان های سالم | عالی (بدون آسیب به دندان های مجاور) | ضعیف (نیاز به تراش غیرقابل بازگشت دو دندان سالم) | متوسط (فشار و گیر غذایی روی دندان های پایه) |
| حفظ استخوان فک | عالی (از تحلیل استخوان جلوگیری می کند) | ضعیف (استخوان زیر ناحیه خالی تحلیل می رود) | ضعیف (استخوان زیرین به سرعت تحلیل می رود) |
| طول عمر و دوام | بسیار بالا (پتانسیل مادام العمر) | متوسط (۱۰ تا ۱۵ سال) | پایین (۵ تا ۷ سال) |
| عملکرد و جویدن | عالی (کاملاً مشابه دندان طبیعی) | خوب (ثابت اما با محدودیت بهداشتی) | ضعیف (قدرت جویدن کم و احتمال لقی) |
| زیبایی شناسی | عالی (ظاهر کاملاً طبیعی) | خوب (ممکن است لبه فلزی نمایان شود) | متوسط (ممکن است گیره های فلزی دیده شوند) |
| بهداشت و نگهداری | آسان (مانند دندان طبیعی) | دشوار (نیاز به ابزار خاص برای تمیز کردن زیر پل) | دشوار (نیاز به خارج کردن و تمیز کردن روزانه) |
عوارض احتمالی ایمپلنت دندان چیست؟
اگرچه ایمپلنت دندان یکی از مطمئنترین و پایدارترین روشهای جایگزینی دندان است، اما مانند هر درمان پزشکی دیگری، ممکن است با برخی عوارض احتمالی همراه باشد. شناخت این موارد به شما کمک میکند تا مراقبتهای لازم را جدی بگیرید و خطرات را به حداقل برسانید.
- عفونت در محل جراحی: رعایت بهداشت دهان و دندان پس از جراحی بسیار مهم است.
- درد یا تورم موقتی: معمولاً طی چند روز کاهش مییابد و با مسکنهای معمولی کنترل میشود.
- خونریزی جزئی: در روزهای ابتدایی طبیعی است، اما اگر شدید یا طولانی شود باید به دندانپزشک اطلاع دهید.
- شل شدن یا شکست ایمپلنت: ممکن است به دلیل بارگذاری زودهنگام، کیفیت پایین استخوان یا شرایط پزشکی خاص رخ دهد.
- آسیب به عصب یا سینوس: در صورتی که موقعیت ایمپلنت به دقت انتخاب نشود، ممکن است باعث بیحسی موقت یا آسیب سینوسها شود.
- التهاب لثه اطراف ایمپلنت: در صورت رعایت نکردن بهداشت، ممکن است منجر به پری ایمپلنتیت شود.
چه افرادی کاندیدای مناسبی برای درمان ایمپلنت دندان هستند؟
خوشبختانه، امروزه اکثر افرادی که یک یا چند دندان خود را از دست دادهاند، می توانند کاندیدای مناسبی برای این درمان باشند. شرایط اصلی برای موفقیت درمان عبارتند از:
- برخورداری از سلامت عمومی مناسب برای انجام یک جراحی کوچک دهانی.
- داشتن حجم کافی از استخوان فک برای قرار دادن ایمپلنت. در صورت کمبود استخوان، می توان با جراحی پیوند استخوان، شرایط را برای کاشت ایمپلنت فراهم کرد.
- سلامت کامل لثه ها و عدم وجود بیماری های فعال لثه.
- تعهد به رعایت دقیق بهداشت دهان و دندان و مراجعات منظم برای چکاپ.
چه افرادی کاندید مناسبی برای انجام ایمپلنت دندان نیستند؟
با وجود اینکه ایمپلنت دندان درمانی موفق و با دوام است، همه افراد شرایط لازم برای انجام آن را ندارند. موارد زیر افرادی را نشان میدهد که ممکن است کاندیدای مناسبی نباشند:
- افراد با بیماریهای فعال لثه یا عفونت دهان و دندان: وجود التهاب یا عفونت فعال میتواند مانع جوش خوردن ایمپلنت به استخوان شود و احتمال شکست درمان را افزایش دهد.
- افراد با بیماریهای مزمن کنترلنشده: بیماریهایی مانند دیابت شدید کنترلنشده، اختلالات ایمنی یا مشکلات قلبی، ممکن است روند بهبودی را مختل کنند.
- افراد سیگاری یا مصرفکننده دخانیات سنگین: نیکوتین جریان خون لثه را کاهش داده و فرایند جوش خوردن ایمپلنت را دشوار میکند.
- افراد با تراکم استخوان ناکافی: در برخی موارد، اگر استخوان فک برای پشتیبانی ایمپلنت کافی نباشد و امکان پیوند استخوان هم وجود نداشته باشد، درمان مناسب نیست.
- افراد با تعهد کم به مراقبتهای بعد از درمان: رعایت بهداشت دهان و مراجعات منظم برای کنترل سلامت ایمپلنت، شرط موفقیت بلندمدت است.
طول عمر و ماندگاری ایمپلنت دندان چقدر است؟
ایمپلنت دندان به دلیل اتصال مستقیم به استخوان فک و ساختار مقاوم خود، یکی از بادوامترین روشهای جایگزینی دندان محسوب میشود. طول عمر آن به عوامل مختلفی بستگی دارد. کیفیت استخوان فک و سلامت عمومی بیمار نقش مهمی در ایجاد پایهای محکم برای ایمپلنت دارد. رعایت بهداشت دهان و دندان، شامل مسواک زدن منظم، استفاده از نخ دندان و مراجعه به دندانپزشک برای چکاپهای دورهای، از بروز مشکلات و عفونت جلوگیری میکند. انتخاب برند و کیفیت مواد ایمپلنت، شیوه جراحی و تجربه متخصص نیز مستقیماً بر دوام آن تأثیر میگذارد. علاوه بر این، عادات رفتاری بیمار مانند پرهیز از دندانقروچه، سیگار و اعمال فشارهای غیرطبیعی بر ایمپلنت، میتواند طول عمر آن را افزایش دهد.
با رعایت تمامی این نکات، ایمپلنت میتواند بین ۲۰ تا ۳۰ سال یا حتی بیشتر عمر کند و در بسیاری از موارد، مادام العمر باقی بماند، به شرط آن که مراقبتهای پس از کاشت به دقت انجام شوند.
در نهایت، ایمپلنت دندان یک بازسازی بیولوژیک است که می تواند برای شما تفاوت ایجاد کند

پس در پاسخ نهایی به سوال «ایمپلنت دندان چیست؟»، باید گفت که این درمان فراتر از یک جایگزینی مکانیکی است. ایمپلنت دندان یک بازسازی بیولوژیک و عملکردی برای دندان از دست رفته است.
این تنها روشی است که با طبیعت بدن همکاری کرده، ساختار آن را حفظ می کند و عملکرد و زیبایی را به گونه ای باز می گرداند که گویی هرگز دندانی را از دست نداده اید. این درمان، اوج دستاوردهای دندانپزشکی مدرن و یک سرمایه گذاری هوشمندانه در سلامت، زیبایی و کیفیت زندگی شما برای سال های طولانی آینده است.
👋 برای آگاهی بیشتر از روند درمان ایمپلنت دندان، مطالعه سایر مقالات وبسایت آرتمان درمان توصیه میشود.
متخصص ایمپلنت دندان کیست: چه دندانپزشکی جراحی ایمپلنت انجام میدهد؟
6 نکته در انتخاب بهترین متخصص ایمپلنت در غرب تهران
چرا ایمپلنت دندان جلو را باید با احتیاط بیشتری انجام داد؟
✅به دنبال انجام درمان ایمپلنت به روشی اصولی و محافظه کارانه هستید؟
در مجموعه دندانپزشکی آرتمان درمان، رویکرد ما در خصص درمان های ایمپلنت بر پایه اصول محافظه کارانه و تشخیص دقیق استوار است. ما با استفاده از پیشرفته ترین تکنولوژی های دیجیتال و با تکیه بر دانش روز، تلاش می کنیم تا برای هر بیمار، یک طرح درمان سفارشی و دقیق ارائه دهیم تا نتیجه نهایی نه تنها زیبا، بلکه از نظر بیولوژیکی سالم و برای تمام عمر پایدار باشد.
اگر در این خصوص نیاز به دریافت مشاوره دارید می توانید با ما در آرتمان درمان تماس بگیرید. و یا برای مشاوره و ویزیت تخصصی به مجموعه مراجعه فرمایید.
❓پرسش و پاسخ های کوتاه پیرامون پرسش اصلی (ایمپلنت دندان چیست)
خیر. جراحی تحت بی حسی موضعی کامل انجام می شود و کاملاً بدون درد است. ناراحتی پس از عمل نیز معمولاً خفیف و با مسکن های معمولی قابل کنترل است.
هزینه ایمپلنت دندان به عواملی مانند برند، نیاز به پیوند استخوان و نوع روکش بستگی دارد. اگرچه هزینه اولیه آن بالاتر است، اما دوام بسیار بالای آن در بلندمدت، آن را به یک سرمایه گذاری مقرون به صرفه تبدیل می کند.
اصطلاح “پس زدن” در مورد تیتانیوم (که یک ماده خنثی است)، صدق نمی کند. شکست ایمپلنت (که میزان آن بسیار پایین است) معمولاً به دلایل دیگری مانند عفونت، بارگذاری نادرست یا شرایط پزشکی بیمار رخ می دهد.
مطالعات بلندمدت نشان می دهند که با مراقبت مناسب، خود پایه ایمپلنت دندان می تواند برای تمام عمر در دهان به صورت سالم باقی بماند.
دریافت مشاوره و نوبت آنلاین
فیلد های "*" اجباری هستند
مقالات مرتبط
هرآنچه که باید درباره لمینت سرامیکی دندان بدانید
در میان تمام روش های اصلاح طرح لبخند، لمینت سرامیکی
متخصص ایمپلنت دندان کیست: چه دندانپزشکی جراحی ایمپلنت انجام میدهد؟
افرادی که قصد دارند دندان یا دندانهای از دسترفته خود
با مهم ترین مراقبت های بعد از بلیچینگ دندان آشنا شوید
همانطور که میدانید، بلیچینگ یک درمان زیبایی با هدف سفید
2 دیدگاه در “ایمپلنت دندان چیست؟ (راهنمای جامع بهترین راه حل جایگزینی دندان)”
درود وقت بخیر
دندان ۷ فک پایین سمت چپ از ۳ ماه پیش چیزای سفت و سخت میجویدم درد میگرفت مثال نون برشته یا بیسکویت ساقه طلایی و سیب ک به ناچار میدادم سمت راست فک رفتم دکتر گفت عکس بگیر گفت هیچ مشکلی نداره عصب کشی نمیخواد گفتم درد از چیه رفتم پیش یه دکتر دیگه ایشونم حرف دکتر اول زد ک به ناچار خودم گفتم برام عصب کشی کنید حالا بعد ۳ هفته هنوز میجوم درد میگیره هم وسط دندان هم گوشه ی سمت لُپ دکترم اولیه گفت احتمالا از داخل ترک داره اما تو عکس نشان نمیده
بنظره شما باید چیکار کنم ؟
دندان پر نکردم بعد ۳ هفته پانسمانه دکتر میگه باید بیخیال دندان بشی جاش ایمپلنت بکاری
با درود، احتمال وجود ترک بسیار بالاست. بهتر است قبل از اقدام به خارج کردن دندان از تمامی امکانات تشخیصی جهت تشخیص و نهایتا درمان علت درد استفاده کرد تا در صورت امکان دندان حفظ شود.