۷ باور اشتباه در مورد بلیچینگ دندان
- تـاریـخ:
- دسته بندی: مقالات, مقالات بلیچینگ دندان
- نوشته شده توسط آرتمان درمان
- بدون نظر کاربران
فهرست عناوین این نوشتار
بلیچینگ دندان یکی از پرطرفدارترین روشهای زیبایی در دندانپزشکی مدرن است که به افراد کمک میکند لبخندی روشنتر و جذابتر داشته باشند. با این حال، ۷ باور اشتباه در مورد بلیچینگ دندان میان مردم رواج یافته که میتواند تصمیمگیری آگاهانه را برای انتخاب این درمان تحت تأثیر قرار دهد. این باورهای نادرست، گاهی موجب ترس بیمورد از آسیب به دندانها شده یا انتظارات غیرواقعی از نتایج درمان ایجاد میکنند. در این مقاله، به بررسی علمی این ۷ باور نادرست میپردازیم تا دیدگاهی دقیق، واقعگرایانه و مبتنی بر شواهد در اختیار شما قرار دهیم.
🔍 باورهای نادرست درباره بلیچینگ دندان و واقعیت علمی 🦷✨
| ❌ باور اشتباه | ✅ واقعیت علمی | 💡 توصیه |
| 🧪 بلیچینگ به مینای دندان آسیب میزند | اگر تحت نظر دندانپزشک انجام شود، آسیبی به مینا نمیزند | ✔ از محصولات معتبر استفاده کنید ✔ معاینه قبل از شروع |
| 👥 بلیچینگ برای همه مناسب است | برای برخی افراد با پوسیدگی یا بیماری لثه مناسب نیست | ✔ مشاوره تخصصی بگیرید ✔ ارزیابی سلامت دهان الزامی است |
| ♾ نتایج بلیچینگ دائمی است | نتایج موقت است و به سبک زندگی وابسته است | ✔ پرهیز از قهوه و سیگار ✔ رعایت بهداشت روزانه |
| 😖 بلیچینگ باعث حساسیت دائمی میشود | حساسیت موقتی است و با مراقبت کاهش مییابد | ✔ خمیردندان مخصوص استفاده شود ✔ از غذاهای خیلی داغ یا سرد پرهیز شود |
| 🏠 کیت خانگی مثل روش حرفهای مؤثر است | روشهای خانگی قدرت و ایمنی کمتری دارند | ✔ روش حرفهای ایمنتر و مؤثرتر است |
| 🦷 بلیچینگ باعث لق شدن دندان میشود | تنها بر لکههای سطحی اثر دارد، ساختار دندان را تضعیف نمیکند | ✔ درمان فقط زیر نظر متخصص انجام شود |
| هرچه بیشتر بلیچ کنیم، بهتر است | افراط در بلیچینگ به مینای دندان آسیب میزند | ✔ تعداد جلسات را طبق توصیه پزشک تنظیم کنید |
بلیچینگ دندان چیست و چرا اهمیت دارد؟

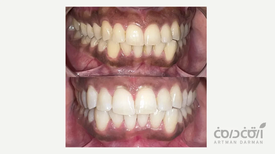
بلیچینگ دندان فرآیندی است که طی آن از موادی مانند پراکسید هیدروژن یا پراکسید کرباماید برای روشن تر کردن رنگ دندان ها استفاده می شود. این روش می تواند به صورت حرفه ای در مطب دندانپزشک یا با کیت های خانگی انجام شود، اما روشهای سفید کردن دندان حرفه ای به دلیل دقت و ایمنی بالاتر، نتایج بهتری ارائه می دهند. بلیچینگ نه تنها به بهبود ظاهر لبخند کمک می کند، بلکه اعتماد به نفس افراد را نیز افزایش می دهد. با این حال، وجود باورهای اشتباه در مورد بلیچینگ دندان باعث شده است که برخی افراد با تردید به این روش نگاه کنند.
اهمیت سفید کردن دندان در دنیای امروز که ظاهر و زیبایی نقش مهمی در تعاملات اجتماعی دارد، غیرقابل انکار است. با این حال، در آرتمان درمان، ما معتقدیم که هر درمانی باید با حفظ سلامت مینای دندان انجام شود. به همین دلیل، پیش از هر اقدامی، ارزیابی جامعی از وضعیت دهان و دندان بیمار انجام می دهیم تا مطمئن شویم این روش برای او مناسب است. این رویکرد محافظهکارانه تضمین می کند که درمان نه تنها موثر، بلکه ایمن باشد.
بهترین دندان، دندان طبیعی خود شماست!
رویکرد ما در مجموعه دندانپزشکی آرتمان درمان انجام درمان به صورت محافظه کارانه و با حفظ حداکثری نسج دندان طبیعی است. اگر به دنبال درمانی اصولی، طبیعی ومحافظه کارانه هستید، با همین نگاه میزبان شما در آرتمان درمان هستیم.
02166003625باورهای نادرست درباره بلیچینگ دندان
در این بخش، به بررسی ۷ باور اشتباه در مورد بلیچینگ دندان می پردازیم که اغلب از اطلاعات نادرست یا تجربیات غیرحرفه ای ناشی می شوند. هر یک از این باورها با توضیحات علمی و توصیه های پیشگیرانه همراه است تا به شما کمک کند انتخابی آگاهانه داشته باشید.
1. آیا بلیچینگ دندان به مینای دندان آسیب می رساند؟
یکی از رایج ترین باورهای اشتباه در مورد بلیچینگ دندان این است که این روش می تواند به سلامت مینای دندان آسیب برساند. بسیاری نگرانند که مواد شیمیایی مورد استفاده در بلیچینگ، مینای دندان را ضعیف کرده یا ساختار طبیعی آن را تخریب کند.
حقیقت این است که بلیچینگ دندان، اگر به صورت حرفه ای، با مواد استاندارد و تحت نظارت دندانپزشک انجام شود، به مینای دندان آسیبی نمی رساند. مطالعات علمی نشان داده اند که مواد بلیچینگ با غلظت استاندارد و استفاده صحیح، تنها روی لکه های سطحی اثر می گذارند و ساختار اصلی دندان را دست نخورده نگه می دارند. با این حال، استفاده نادرست از محصولات خانگی یا غیراستاندارد می تواند خطراتی مانند تحریک لثه یا حساسیت موقت ایجاد کند.
به نقل از American Journal of Dentistry
“One common misconception about teeth whitening is that it causes irreversible damage to the enamel, but studies show that when done properly, teeth whitening procedures are safe and do not cause long-term harm to the enamel.”
“یک تصور اشتباه رایج در مورد سفید کردن دندانها این است که باعث آسیب غیرقابل برگشت به مینای دندان میشود، اما مطالعات نشان میدهند که وقتی به درستی انجام شود، فرآیندهای سفید کردن دندان ایمن هستند و به مینای دندان آسیب بلندمدت وارد نمیکنند.”
چگونه از آسیب احتمالی جلوگیری کنیم؟
- از محصولات مورد تایید دندانپزشکان استفاده کنید.
- جلسات بلیچینگ را بیش از حد توصیه شده تکرار نکنید.
- پیش از بلیچینگ، معاینه ای جامع برای بررسی سلامت دندان ها انجام دهید.
2. آیا بلیچینگ برای همه افراد مناسب است؟
یک نمونه دیگر از ۷ باور اشتباه در مورد بلیچینگ دندان، این است که این روش برای همه افراد مناسب است و نتایج یکسانی به همراه دارد. بسیاری تصور می کنند که صرف نظر از وضعیت دندان ها، بلیچینگ می تواند لبخندی درخشان برایشان ایجاد کند.
در حقیقت، بلیچینگ دندان برای همه مناسب نیست. افرادی که دچار پوسیدگی دندان، بیماری لثه یا حساسیت شدید دندانی هستند، ممکن است کاندیدای مناسبی برای این روش نباشند. همچنین، نتایج بلیچینگ در افرادی با دندان های زرد طبیعی بهتر از کسانی با لکه های خاکستری یا قهوه ای عمیق است. در کلینیک های حرفه ای، پیش از هر درمانی، ارزیابی دقیقی انجام میشود تا مطمئن شوند سفید کردن دندان برای بیمار مناسب است.
برای افرادی که بلیچینگ برای آنها مناسب نیست، روش هایی مانند ونیر یا اصلاح طرح لبخند می تواند گزینه های مناسبی باشد. مشاوره با متخصص به شما کمک می کند بهترین روش را انتخاب کنید.

3. آیا نتایج بلیچینگ دائمی است؟
بسیاری از افراد به اشتباه فکر می کنند که سفید کردن دندان با بلیچینگ نتایج دائمی دارد و نیازی به مراقبت های بعدی نیست. این باور می تواند انتظارات غیرواقعی ایجاد کند.
حقیقت این است که ماندگاری نتایج بلیچینگ به عوامل متعددی مانند سبک زندگی، عادات غذایی و رعایت بهداشت دهان و دندان بستگی دارد. مصرف موادی مانند قهوه، چای، شراب قرمز و دخانیات می تواند باعث بازگشت لکه ها شود. با این حال، با رعایت نکات پیشگیرانه، می توانید نتایج بلیچینگ را ماندگار کنید.
چگونه نتایج بلیچینگ را طولانیتر کنیم؟
- از مصرف بیش از حد مواد غذایی رنگی خودداری کنید.
- به طور منظم از مسواک و نخ دندان استفاده کنید.
- معاینات دوره ای با دندانپزشک را جدی بگیرید.
4. آیا بلیچینگ باعث حساسیت دائمی دندان ها می شود؟
یکی از نگرانی های رایج این است که بلیچینگ دندان می تواند به حساسیت دائمی دندان ها منجر شود. این باور اشتباه در مورد بلیچینگ دندان باعث شده است که برخی افراد از انجام این روش اجتناب کنند.
حقیقت این است که حساسیت موقت پس از بلیچینگ در برخی افراد طبیعی است و معمولا طی چند روز برطرف می شود. اگر از مواد با کیفیت استفاده شود این عارضه به حداقل می رسد. حساسیت دائمی بسیار نادر است و معمولا در اثر استفاده نادرست از محصولات غیراستاندارد رخ می دهد.
راه های کاهش حساسیت چیست؟
- استفاده از خمیردندان های مخصوص دندان های حساس.
- اجتناب از غذاها و نوشیدنی های خیلی سرد یا گرم بلافاصله پس از بلیچینگ.
- رعایت توصیه های دندانپزشک برای مراقبت های پس از درمان.
5. آیا محصولات خانگی بلیچینگ به اندازه روش های حرفه ای موثرند؟
بسیاری از افراد به دلیل راحتی یا دسترسی آسان، به سراغ کیت های خانگی می روند و تصور می کنند که تفاوت بلیچینگ خانگی و حرفه ای ناچیز است. این باور نادرست می تواند به انتخاب های غیرایمن منجر شود.

حقیقت این است که کیت های خانگی معمولا غلظت کمتری از مواد فعال دارند و نتایج محدودتری ارائه می دهند. همچنین، استفاده نادرست از این محصولات می تواند به تحریک لثه یا آسیب به سلامت مینای دندان منجر شود. در مقابل، بلیچینگ در مطب تحت نظارت متخصص، با استفاده از تجهیزات پیشرفته و مواد استاندارد، نتایج ایمن تر و موثرتری به همراه دارد.
6. آیا بلیچینگ دندان باعث تضعیف یا شل شدن دندان ها می شود؟
یکی از نگرانی های برخی بیماران این است که مواد سفید کننده دندان ممکن است به قدری قوی باشند که ساختار داخلی دندان را تحت تاثیر قرار دهند و در درازمدت باعث تضعیف، شکنندگی یا حتی لق شدن دندان ها شوند. این تصور، بیشتر ناشی از عدم آگاهی نسبت به نحوه عملکرد بلیچینگ است.
فرآیند بلیچینگ به گونه ای طراحی شده که فقط بر لکه های سطحی مینا اثر بگذارد. مواد فعال مانند پراکسید هیدروژن و پراکسید کرباماید به داخل لایه های سطحی مینا نفوذ می کنند و مولکول های رنگی را تجزیه می کنند، اما هیچ تاثیری بر ساختار سخت دندان، ریشه ها یا بافت های نگهدارنده دندان (لیگامانها و استخوان) ندارند. بنابراین، بلیچینگ دندان تحت نظر دندانپزشک هرگز باعث لق شدن دندان یا آسیب به ساختارهای نگهدارنده آن نخواهد شد.
7.آیا هرچقدر بیشتر بلیچینگ کنیم، دندان ها سفیدتر و بهتر می شوند؟

بسیاری تصور می کنند که بلیچینگ دندان مشابه رنگ کردن دیوار است و هرچه تعداد دفعات آن بیشتر باشد، دندان ها سفیدتر و زیباتر خواهند شد. این باور اشتباه می تواند به انتخاب های نادرست و حتی بروز مشکلاتی برای دندان ها منجر شود.
دندان ها یک حد طبیعی برای روشنی و شفافیت دارند که به ضخامت مینا، رنگ زمینه ای عاج و ژنتیک هر فرد وابسته است. تکرار بیش از حد بلیچینگ از این حد فراتر نمی رود و نه تنها سفیدی بیشتری ایجاد نمی کند، بلکه ممکن است باعث تحریک لثه، افزایش حساسیت دندان ها و حتی ساییدگی سطحی مینا شود.
👋 برای آگاهی بیشتر از روند درمان بلیچینگ دندان، مطالعه سایر مقالات وبسایت آرتمان درمان توصیه میشود.
آیا بلیچینگ دندان میتواند اعتیادآور باشد؟
✅نکات کلیدی برای انتخاب بلیچینگ ایمن
مرور ۷ باور اشتباه در مورد بلیچینگ دندان به شما کمک میکند تا با دیدی دقیقتر و علمیتر این روش را انتخاب کنید. برای اطمینان از ایمنی و اثربخشی بلیچینگ دندان، انتخاب مرکزی معتبر با رویکرد محافظه کارانه ضروری است. در آرتمان درمان، ما ابتدا سلامت دندان ها و لثه های شما را ارزیابی می کنیم و سپس درمانی متناسب با نیازهایتان ارائه می دهیم. رعایت مراقبت های پیشگیرانه مانند استفاده منظم از مسواک و نخ دندان، کاهش مصرف مواد غذایی رنگی و معاینات دوره ای می تواند به حفظ نتایج کمک کند. اگر به دنبال مرکزی هستید که در تمام مراحل درمان (از نخستین جلسه مشاوره تا پایان مسیر) بر اصول محافظه کارانه و حفظ حداکثری بافت دندان تکیه داشته باشد، در آرتمان درمان آماده ایم با همین نگاه از شما میزبانی کنیم.
❓پاسخ به سوالات پرتکرار درباره باور اشتباه در مورد بلیچینگ دندان
خیر، بلیچینگ دندان تنها روی دندان های طبیعی اثر می گذارد و نمی تواند رنگ روکش ها، ونیرها یا پرشدگی های دندانی (مانند کامپوزیت یا آمالگام) را تغییر دهد. این به این دلیل است که مواد بلیچینگ برای نفوذ به مینای دندان طبیعی طراحی شده اند و روی مواد مصنوعی ترمیمی تاثیری ندارند.
بلیچینگ دندان برای زنان باردار یا شیرده توصیه نمی شود، زیرا مطالعات کافی در مورد ایمنی مواد بلیچینگ در این گروه وجود ندارد. اگرچه مواد مورد استفاده در بلیچینگ حرفه ای معمولا ایمن هستند، اما به دلیل حساسیت های احتمالی در دوران بارداری، بهتر است این درمان به پس از این دوره موکول شود.
دریافت مشاوره و نوبت آنلاین
فیلد های "*" اجباری هستند
مقالات مرتبط
هرآنچه که باید درباره لمینت سرامیکی دندان بدانید
در میان تمام روش های اصلاح طرح لبخند، لمینت سرامیکی
متخصص ایمپلنت دندان کیست: چه دندانپزشکی جراحی ایمپلنت انجام میدهد؟
افرادی که قصد دارند دندان یا دندانهای از دسترفته خود
با مهم ترین مراقبت های بعد از بلیچینگ دندان آشنا شوید
همانطور که میدانید، بلیچینگ یک درمان زیبایی با هدف سفید