همه چیز درباره دندان عقل (از عملکردها تا مشکلات و کشیدن آن)
- تـاریـخ:
- دسته بندی: مقالات, مقالات دندانپزشکی عمومی
- نوشته شده توسط آرتمان درمان
- بدون نظر کاربران
فهرست عناوین این نوشتار
دندان های عقل (Wisdom teeth) که به عنوان دندان آسیاب سوم (یا مولر سوم) نیز شناخته می شوند، آخرین مجموعه دندان هایی هستند که از لثه بیرون می آیند. آنها در انتهای قوس دندانی قرار دارند و در مجموع 4 عدد هستند (2 عدد در هر فک). البته با اینکه بیشتر بزرگسالان چهار دندان عقل دارند، برخی افراد ممکن است تعداد کمتری داشته باشند یا اصلاً فاقد این دندانها باشند.
🦷 جدول علمی: خلاصه نکات کلیدی درباره دندان عقل
| 🧾 عنوان | 📌شرح |
| 📍 نام دیگر | دندان آسیاب سوم (مولر سوم) |
| 🔢 تعداد در حالت طبیعی | ۴ عدد (۲ عدد در هر فک) |
| ⏰ زمان رویش | معمولاً بین ۱۷ تا ۲۵ سالگی |
| ❌ مشکلات رایج | نهفتگی، نیمهنهفتگی، پوسیدگی، عفونت، بیماری لثه |
| 🛠️ روشهای درمانی | جراحی لثه، پر کردن، بازسازی (بیلداپ)، کشیدن دندان |
چرا دندان عقل داریم؟
از منظر تکاملی، اجداد باستانی ما آرواره های بزرگتری داشته و ترکیبی از رژیم های غذایی گیاهی و گوشتی سفت و سخت در دسترس آن ها بوده است. چنین رژیمی مستلزم قدرت جویدن بیشتری بوده و بنابراین طبیعی است که دندانی قدرتمند با سطح جونده گسترده مانند آسیاب سوم به وجود بیاید تا پردازش و آسیاب کردن غذاهای سفت مانند ریشه ها، دانه ها و آجیل ها و گوشت را آسان تر کند.
با این حال، همانطور که رژیم غذایی انسان در طول زمان تکامل یافت و نرم تر شد، آرواره های ما به تدریج کوچکتر شدند. این کاهش اندازه فک باعث شده که فضای کافی برای رویش دندان عقل در برخی از افراد کمتر باشد. در نتیجه، بسیاری از افراد با رویش کامل و بی دردسر دندان آسیاب سوم خود مواجه هستند.
دندان عقل چه زمانی شروع به رویش می کند؟
دندان های مولر سوم معمولاً بین 17 تا 25 سالگی شروع به رویش می کنند. با این حال، زمان دقیق آن در افراد مختلف متفاوت است. برخی از افراد ممکن است زودتر متوجه رویش دندان عقل خود شوند، در حالی که برخی دیگر ممکن است تا اواسط 20 سالگی یا حتی بعد از آن هیچ نشانه ای را مشاهده نکنند.
مشکلات رایج دندان عقل چه چیست؟

نهفته یا نیمه نهفته بودن
دندان عقل نهفته و نیمه نهفته زمانی اتفاق میافتد که فضای کافی در فک برای بیرون آمدن کامل یا رشد دندان در جهت صحیح وجود نداشته باشد. این مساله می تواند باعث شود که دندان به طور جزئی (نیمه نهفته) یا کامل (نهفته) در زیر خط لثه گیر کند. دندان مولر سوم نهفته می تواند منجر به درد، تورم و عفونت احتمالی شود.
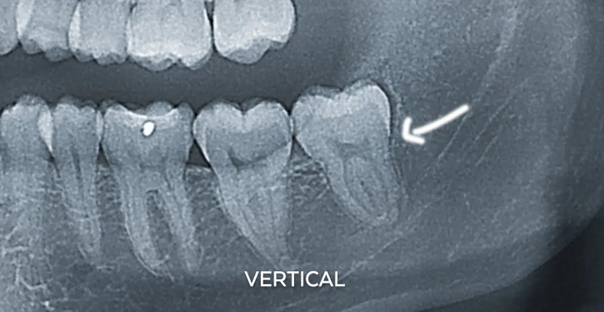
🦷 جدول مقایسه انواع نهفتگی دندان عقل و سختی درمان
| نوع نهفتگی | میزان پوشیدگی توسط استخوان/لثه | سختی درمان | توضیح کوتاه |
| عمودی (Vertical) | معمولاً بخشی از لثه روی دندان را پوشانده | 🔹 آسان تا متوسط | رایجترین حالت در فضاهای محدود |
| افقی (Horizontal) | معمولاً کاملاً زیر استخوان | 🔸 سخت | به ریشه دندان مجاور فشار میآورد |
| مزیوانگولار (Mesioangular) | نیمهنهفته | 🔹 متوسط | شایعترین نوع نهفتگی در بیماران |
| دیستوانگولار (Distoangular) | متغیر | 🔸 سخت | جهت غیرمعمول و دسترسی دشوار |
| نهفتگی کامل استخوانی (Full bony) | کاملاً درون استخوان فک | 🔺 بسیار سخت | نیازمند جراحی تخصصی و برش استخوان |
عفونت و بیماری لثه پیرامون
نیمه نهفته بودن و یا کج در آمدن دندان عقل، می تواند تمیز کردن صحیح آن را دشوار کند. در نتیجه، باکتری ها می توانند در اطرافش تجمع پیدا کرده و منجر به عفونت و بیماری لثه شوند. این وضعیت میتواند باعث تورم، قرمزی و ناراحتی در لثههای اطراف شود.
پوسیدگی و حفره
دندان عقل به ویژه در معرض پوسیدگی است. قرار گرفتن آنها در پشت سایر دندان ها دسترسی به آنها را سخت تر می کند و بنابراین، بیشتر افراد نمیتوانند بهطور مؤثر دندان مولر سوم خود را مسواک بزنند و نخ بکشند. تجمع باکتریها در این ناحیه میتواند منجر به پوسیدگی، دنداندرد و مشکلات دیگر شود.
رشد نامناسب دندان عقل چه عواقبی دارد؟
وقتی دندان عقل در مسیر نادرست یا زاویهدار رشد میکند، میتواند به ساختار طبیعی فک و دندانهای دیگر آسیب برساند. فشار ناشی از رشد نامناسب این دندان ممکن است باعث کج شدن یا جابهجایی سایر دندانها شود و نظم ردیف دندانها را بر هم بزند. در موارد شدیدتر، ممکن است ریشه دندان مجاور دچار تحلیل یا آسیب شود. همچنین، فضاهای تنگ و غیرقابل دسترسی میان دندانها به وجود میآید که محل تجمع باکتریها و ایجاد پوسیدگیهای ثانویه خواهد بود. اگر این وضعیت درمان نشود، احتمال تشکیل کیست، آبسه یا حتی تحلیل استخوان فک نیز وجود دارد که درمان آنها پیچیدهتر و پرهزینهتر است.
بهترین دندان، دندان طبیعی خود شماست!
رویکرد ما در مجموعه دندانپزشکی آرتمان درمان انجام درمان به صورت محافظه کارانه و با حفظ حداکثری نسج دندان طبیعی است. اگر به دنبال درمانی اصولی، طبیعی ومحافظه کارانه هستید، با همین نگاه میزبان شما در آرتمان درمان هستیم.
02166003625 09021216575علائم مشکلات دندان آسیاب سوم چیست؟
زمانی که برای دندان عقل مشکلاتی ایجاد می شود، علائم و نشانه های مختلفی بروز می کند که برخی از مهم ترین علائم عبارتند از:
- درد یا حساسیت در پشت دهان، نزدیک ناحیه دندان عقل
- تورم یا قرمزی اطراف لثه
- مشکل در باز کردن کامل دهان یا تجربه سفتی فک
- طعم یا بوی بد دهان
- ناراحتی یا درد هنگام جویدن
در صورت تجربهی هر یک از این علائم، مشورت با دندانپزشک اهمیت زیادی دارد.
به نقل از International Journal of Oral Science
“Wisdom teeth are prone to caries and periodontal disease due to their position in the mouth and difficulty in maintaining hygiene.”
“دندانهای عقل به دلیل جایگاهشان در دهان و دشواری در رعایت بهداشت، بیشتر در معرض پوسیدگی و بیماری لثه هستند.”
تشخیص منشأ مشکلات دندان عقل چگونه انجام میشود؟
در طول معاینه دندان، دندانپزشک به صورت چشمی دهان شما را بررسی می کند و موقعیت و وضعیت دندان عقل شما را ارزیابی می کند. ایشان علائم نهفتگی، عفونت، بیماری لثه و سایر مشکلات دندانی مرتبط با دندان عقل را بررسی می کنند. دندانپزشک شما همچنین ممکن است از ابزار خاصی برای ارزیابی بافت لثه و دندان های اطراف نیز استفاده کند.
به جز معاینه فیزیکی روتین، ممکن است از اشعه ایکس و سایر تکنیک های تصویربرداری، مانند رادیوگرافی پانورامیک، برای تشخیص مشکلات دندان عقل نیز استفاده شود. این تکنیک های تصویربرداری نمای دقیق تری از دندان مولر سوم و موقعیت آنها ارائه می دهند و به دندانپزشک اجازه می دهند متوجه موارد زیر شود:

- نهفته یا نیمه نهفته بودن دندان
- زاویه رشد دندان
- تشخیص آسیب های احتمالی خود دندان
- مشاهده آسیب های وارده به سایر دندان ها و بافت های نگهدارنده از سوی دندان
درمان های مرتبط با دندان عقل چه هستند؟
- جراحی لثه:گاهی اوقات دندان تقریبا به درستی رشد کرده اما بافت لثه ممکن است بخشی از آن را پوشانده باشد و این بافت دچار عفونت و علائم آزاردهنده مانند دردهای شدید شده باشد. در این صورت اولین گزینه می تواند برداشتن این زائده از روی یا اطراف دندان باشد.
- پر کردن معمولی دندان: چنانچه دندان آسیاب سوم به صورت جزئی دچار پوسیدگی شده باشد، می توان با برداشتن علائم پوسیدگی و سپس پر کردن حفره باقی مانده با آمالگام یا کامپوزیت آن را ترمیم کرد.
- بیلداپ دندان: چناچه آسیب وارده به دندان متوسط تا گسترده باشد می توان دندان را با درمان بیلداپ بازسازی کرد و ظاهر و عملکردش را مجددا احیا کرد.
- کشیدن دندان: اگر هیچ یک از درمان های بالا، کارساز نباشد در نهایت باید اقدام به کشیدن دندان عقل کرد.

چه زمانی باید دندان عقل را خارج کرد یا نگه داشت؟
در همهی موارد، کشیدن دندان عقل ضروری نیست. اگر دندان بهصورت کامل روییده، در مسیر صحیح قرار دارد و تمیز نگه داشتن آن ممکن است، میتوان آن را حفظ کرد و فقط بهصورت دورهای تحت بررسی دندانپزشک قرار داد.
اما در شرایطی خاص، کشیدن دندان عقل توصیه میشود. از جمله:
- بروز درد، تورم یا عفونت مکرر در ناحیهی عقب دهان
- ایجاد فشار یا آسیب به دندان مجاور
- پوسیدگی شدید یا پوسیدگی دندانهای مجاور بهدلیل تماس نزدیک
- تشکیل کیست، آبسه یا تحلیل استخوان در اطراف دندان عقل
- کمبود فضا در فک یا کج بودن زاویه رشد دندان
در مقابل، در مواردی که دندان عقل سالم است، فضای کافی برای رشد دارد و تمیز کردن آن بدون مشکل انجام میشود، میتوان با رعایت بهداشت دقیق و معاینهی دورهای، آن را نگه داشت.
👋 برای آگاهی بیشتر از روند درمان بیماری های عمومی دهان و دندان، مطالعه سایر مقالات وبسایت آرتمان درمان توصیه میشود.
همه چیز درباره جراحی دندان عقل و کشیدن دندان عقل به روش معمولی
همه چیز درباره دندان: آناتومی دندان، انواع و نحوه رشد دندانهای دائمی و شیری
✅جمعبندی و نگاه نهایی به اهمیت مراقبت از دندان عقل
مراقبت از دندان مولر سوم، بهویژه در صورت بروز مشکلاتی مانند نهفتگی، پوسیدگی یا عفونت، نیازمند تشخیص دقیق، تصمیمگیری آگاهانه و اجرای درمانی مناسب است. انتخاب یک مرکز تخصصی که نهتنها به جنبههای پزشکی توجه داشته باشد، بلکه با درک دغدغههای بیمار، روند درمان را با دقت، همدلی و شفافیت همراهی کند، اهمیت زیادی دارد. اگر به دنبال مرکزی هستید که در تمام مراحل درمان — از نخستین جلسه مشاوره تا پایان مسیر — بر این اصول تکیه داشته باشد، در آرتمان درمان آمادهایم با همین نگاه از شما میزبانی کنیم.
❓پاسخ به سوالات رایج درباره دندان مولر سوم
خیر، همه دندان های آسیاب سوم نهفته نیستند. برخی ممکن است به درستی و بدون مانعی رشد کرده و مرتب باشند.
بله اگر هیچ علائمی تجربه نمی شود لزومی به کشیدن دندان نیست. ولی بهتر است که به طور مرتب برای ارزیابی به دندانپزشک مراجعه شود.
خود درمان تحت بیحسی انجام می شود، بنابراین در حین کشیدن دندان دردی احساس نمی کنید. با این حال، ممکن است کمی ناراحتی و درد خفیف در طول دوره بهبودی وجود داشته باشد.
به طور معمولا دوره نقاهت از فردی به فرد دیگر متفاوت است، اما معمولاً حدود ۷ تا ۱۰ روز برای بهبود اولیه زمان نیاز استت. بهبودی کامل ممکن است چند هفته طول بکشد.
دریافت مشاوره و نوبت آنلاین
فیلد های "*" اجباری هستند
مقالات مرتبط
بررسی جدیدترین روش های ترمیم دندان (با تمرکز بر بیلداپ)
در سال های اخیر، دندانپزشکی ترمیمی و زیبایی شاهد تغییراتی
هرچیزی که باید درباره پروتز دندان پارسیل بدانید (دندان مصنوعی تکه ای)
از دست دادن دندانها میتواند بهطور قابلتوجهی بر اعتمادبهنفس، توانایی
آفت دهان چیست و چگونه با این 9 روش درمان می شود؟
آفت دهان که به عنوان (aphthous ulcers) نیز شناخته می