روش درمان دندان نهفته و نیمه نهفته چیست؟ (با آن ها چه کنیم؟)
- تـاریـخ:
- دسته بندی: مقالات, مقالات دندانپزشکی عمومی
- نوشته شده توسط آرتمان درمان
- بدون نظر کاربران
فهرست عناوین این نوشتار
نهفتگی دندان زمانی اتفاق می افتد که دندان نتواند به طور کامل از طریق لثه در موقعیت طبیعی و قابل پیش بینی خود در قوس دندانی ظاهر شود. این پدیده معمولاً در دندان عقل (دندان آسیاب سوم که معمولاً بین سنین ۱۷ تا ۲۵ سالگی می روید) مشاهده میشود. با این حال، نهفتگی دندان میتواند دندانهای دیگر، چه دندانهای شیری و چه دندانهای دائمی را نیز تحت تأثیر قرار دهد. در این نوشتار، همه چیز درباره دندان نهفته و نیمه نهفته توضیح داده شده است.

چرا نهفتگی دندان اهمیت دارد؟
برای حفظ عملکرد و زیبایی، دندانها باید در موقعیت طبیعی خود رشد کنند. در صورتی که یک یا چند دندان دچار نهفتگی شود، نهتنها عملکرد همان دندان، بلکه عملکرد و ظاهر سایر دندانها نیز تحتتأثیر قرار میگیرد.
اینکه آیا همهٔ دندانهای نهفته نیاز به درمان دارند یا نه، همچنان محل بحث است.
دندانپزشک و تیم پزشکی فک و صورت میتوانند مزایا و معایب وجود دندان نهفته یا درمان آن را که معمولا به صورت جراحی است، برای بیمار توضیح دهند. در صورت عدم درمان، برخی دندانهای نهفته ممکن است باعث بروز مشکلاتی مانند پوسیدگی، عفونت، بیماری لثه و کیستهای دندانی شوند؛ با این حال، این مسائل قابل بررسی و پیگیری توسط دندانپزشک هستند.
تعریف و طبقهبندی دندان نهفته 🦷
| موضوع 📚 | توضیح خلاصه |
| تعریف دندان نهفته 🦷 | دندانی که بهطور کامل یا جزئی از لثه یا استخوان بیرون نیامده است. |
| شایعترین دندان نهفته ⏳ | معمولاً دندان عقل (آسیاب سوم) بین ۱۷ تا ۲۵ سالگی. |
| انواع نهفتگی 🧱🦷 | نهفتگی با بافت نرم، جزئی با استخوان، کامل با استخوان. |
| انواع زاویه نهفتگی ↗️↘️ | مزیال، دیستال، عمودی، افقی، زاویهای. |
| علل نهفتگی 🦴🧬 | فضای ناکافی، عوامل ژنتیکی، رشد غیرطبیعی، دندانهای اضافی، از دست دادن زودهنگام دندانهای شیری. |
| علائم نهفتگی 😖🤕 | درد، تورم، بوی بد دهان، سفتی فک، سردرد و گوش درد. |
| روشهای تشخیص 👩⚕️📸 | معاینه بالینی، تصویربرداری (اشعه ایکس). |
| عوارض نهفتگی 🦠⚠️ | عفونت، کیست، آسیب به دندانهای مجاور، مشکلات ارتودنسی |
| درمان 🦷📏 | انتظار، جراحی، درمان ارتودنسی. |
| پیشگیری 🦷✔️🚫 | معاینات منظم، مداخله زودهنگام، اجتناب از عادات مضر، کشیدن به موقع دندانهای شیری. |
انواع مختلف دندانهای نهفته کداماند؟
بهطور کلی، نهفتگی ممکن است در بافت نرم، بهصورت جزئی در استخوان، یا بهطور کامل در استخوان باشد.
- نهفتگی در بافت نرم: حالتی است که در آن دندان تنها با یک لایه از بافت لثه پوشیده شده است.
- نهفتگی جزئی با استخوان: در این حالت، بخش بالایی دندان علاوه بر بافت لثه، تا حدی درون استخوان فک نیز قرار دارد.

- نهفتگی کامل با استخوان: در این حالت دندان نهفته به طور کامل توسط استخوان فک احاطه شده است (برداشتن دندانهای عقل در این وضعیت معمولا دشوارتر است).

دندان نهفته به چه وضعیتهایی رشد میکند؟
نهفتگی دندان، بسته به موقعیت و زاویه قرارگیری، میتواند به اشکال مختلفی ظاهر شود. در ادامه، نگاهی دقیقتر به انواع نهفتگی میاندازیم:
نهفتگی دندان مزیال (Mesial Impaction)
نهفتگی مزیال زمانی رخ میدهد که دندان به سمت جلوی دهان زاویه داشته باشد و به دندانهای مجاور فشار وارد کند.
نهفتگی دندان دیستال (Distal Impaction)
نهفتگی دیستال زمانی اتفاق می افتد که دندان به سمت پشت دهان زاویه داشته باشد و به دندانهای مجاور فشار وارد کند. این نوع نهفتگی میتواند در دندان عقل نیز رخ دهد.
نهفتگی دندان به صورت عمودی (Vertical Impaction)
نهفتگی عمودی به دندانی اطلاق میشود که به دلیل موقعیت عمودی آن در استخوان فک قادر به رویش کامل نیست. دندان زیر خط لثه باقی میماند و قادر به رویش در موقعیت مناسب نیست. این وضعیت ممکن است بهعنوان نوعی دندان نیمهنهفته در نظر گرفته شود.
نهفتگی دندان به صورت افقی (Horizontal Impaction)
نهفتگی افقی زمانی اتفاق می افتد که دندان به صورت افقی در استخوان فک قرار میگیرد و این مساله مانع از بیرون آمدن صحیح دندان میشود. این نوع نهفتگی ممکن است با ناراحتی و عوارض قابلتوجهی همراه باشد.
نهفتگی زاویهای (Angular Impaction)
نهفتگی زاویهای حالتی است که در آن دندان با زاویهای بین وضعیت عمودی و افقی قرار دارد. ممکن است دندان تا حدی بیرون بیاید اما به تراز صحیح خود نرسد. این نیز نوعی دندان نیمه نهفته خواهد بود.

علل بروز دندان نهفته و نیمهنهفته چیست؟
نهفتگی دندان میتواند ناشی از عوامل مختلف زیر باشد:
- فضای ناکافی: زمانی که در استخوان فک فضای کافی برای رشد دندان وجود نداشته باشد، نهفتگی ممکن است رخ دهد. این میتواند ناشی از اندازه کوچک فک یا ازدحام بیش از حد دندانها باشد.
- عوامل ژنتیکی: اندازه فک و رشد دندان، تحت تأثیر ژنتیک است. صفات ارثی میتواند منجر به ناهنجاری در الگوی رشد دندان شود و احتمال بروز دندان نهفته یا نیمه نهفته را افزایش دهد.
- رشد غیر طبیعی دندان: در برخی موارد، دندانها ممکن است به طور غیر طبیعی رشد کنند و در نتیجه نهفتگی ایجاد شود. این ناهنجاریها میتواند به دلیل عوامل ژنتیکی، تأثیرات محیطی یا ترکیبی از هر دو باشد.
- از دست دادن زودهنگام دندانهای شیری: از دست دادن زودتر از موعد دندانهای شیری میتواند توالی طبیعی رویش دندان را مختل کند. این اختلال میتواند مسیر رویش دندانهای دائمی را مسدود کرده و منجر به نهفتگی شود.
- دندانهای اضافی: دندانهای اضافی، میتوانند مسیر رویش دندان را مسدود کنند. این دندانهای اضافی میتوانند روند رویش طبیعی را مختل کرده و باعث ایجاد نهفتگی شوند.
بهترین دندان، دندان طبیعی خود شماست!
رویکرد ما در مجموعه دندانپزشکی آرتمان درمان انجام درمان به صورت محافظه کارانه و با حفظ حداکثری نسج دندان طبیعی است. اگر به دنبال درمانی اصولی، طبیعی ومحافظه کارانه هستید، با همین نگاه میزبان شما در آرتمان درمان هستیم.
02166003625 09021216575علائم دندان نهفته و نیمه نهفته کداماند؟
علائم نهفتگی بسته به شدت و محل دندان نهفته یا نیمه نهفته میتواند متفاوت باشد. با این حال، علائم و نشانههای رایجی که باید مراقب آنها بود عبارتند از:
- درد و ناراحتی: دندانهای نهفته میتوانند باعث درد و ناراحتی شوند، به ویژه هنگام جویدن یا گاز گرفتن. این مساله قابل توجه است. فشار وارده بر دندانهای اطراف و بافت لثه، میتواند منجر به درد و التهاب شود.
- تورم و قرمزی: بافت لثه اطراف دندان نهفته ممکن است متورم، حساس و قرمز شود. این التهاب پاسخی به تحریک ناشی از عدم توانایی دندان در بیرون آمدن کامل است.
- بوی بد دهان: دندانهای نهفته میتوانند فضاهایی ایجاد کنند که ذرات غذا و باکتریها در آن تجمع پیدا کنند. این مساله میتواند منجر به بوی بد مزمن (هالیتوزیس) و طعم ناخوشایند در دهان شود.
- سفتی فک:دندانهای نهفته ممکن است باعث سفتی فک و محدودیت در باز و بسته شدن دهان شوند. این مساله میتواند خوردن، صحبت کردن، یا انجام اقدامات معمول بهداشت دهان را دشوار کند.
- سردرد و گوش درد: فشار و التهاب ناشی از نهفتگی دندان میتواند به نواحی مجاور سرایت کرده و منجر به سردرد و گوش درد شود.

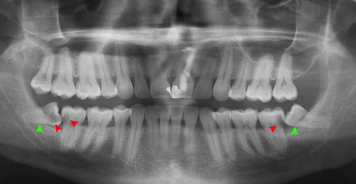
دندان نهفته و نیمه نهفته چطور تشخیص داده میشوند؟
تشخیص دندان نهفته و نیمه نهفته اهمیت زیادی دارد، زیرا این نوع دندانها می توانند مشکلات زیادی برای فرد ایجاد کنند. دندان نهفته به دندانی گفته میشود که به طور کامل از لثه بیرون نیامده است، در حالی که دندان نیمه نهفته دندانی است که تنها بخشی از آن از لثه بیرون آمده است. برای تشخیص این نوع دندانها، دندانپزشکان از معاینههای بالینی دقیق و روشهای تصویربرداری تخصصی استفاده میکنند.
ابتدا، دندانپزشک با انجام یک معاینه بالینی دقیق، وضعیت دهان و دندانهای بیمار را ارزیابی میکند. این معاینه شامل بررسی چشمی لثهها و دندانها و استفاده از ابزارهای تخصصی برای لمس و بررسی دقیقتر موقعیت دندانها میشود. سپس، برای تأیید تشخیص و بررسی دقیقتر، از تکنیکهای تصویربرداری مانند اشعه ایکس استفاده میشود. این تکنیکها تصاویری دقیق از دندانها و فک ارائه میدهند که به دندانپزشک کمک میکند موقعیت دقیق دندان نهفته یا نیمه نهفته را مشخص کند.
معاینه بالینی
در معاینه بالینی، دندانپزشک با استفاده از ابزارهای خاص به بررسی دقیق دندانها و لثهها میپردازد. این معاینه شامل ارزیابی وضعیت ظاهری لثهها، بررسی وجود هرگونه تورم، التهاب یا علائم عفونت است. همچنین، دندانپزشک ممکن است با فشار ملایم بر روی لثهها و دندانها، تلاش کند تا موقعیت دقیق دندان نهفته یا نیمه نهفته را تعیین کند.
علاوه بر این، دندانپزشک ممکن است از ابزارهای نوری و آینههای مخصوص استفاده کند تا به طور دقیقتر به مناطقی از دهان که به سختی قابل مشاهده هستند، دسترسی پیدا کند. هدف از این معاینه، تشخیص هرگونه ناهنجاری یا مشکل در رشد دندانها و ارزیابی نیاز به اقدامات درمانی است. معاینه بالینی، اولین قدم در فرایند تشخیص و برنامهریزی برای درمان دندانهای نهفته و نیمه نهفته است.
اشعه ایکس و تصویربرداری
اشعه ایکس و تکنیکهای تصویربرداری نقش کلیدی در تشخیص دندانهای نهفته و نیمه نهفته ایفا میکنند. این تکنیکها به دندانپزشک اجازه میدهند تا تصاویر دقیقی از ساختار داخلی دهان، شامل استخوانها و دندانها، به دست آورد. با استفاده از این تصاویر، دندانپزشک میتواند موقعیت دقیق دندان نهفته، جهتگیری آن و نزدیکی آن به دندانهای دیگر را ببیند.
این تصاویر همچنین به دندانپزشک کمک میکنند تا ببیند آیا دندان نهفته به دندانهای مجاور فشار میآورد یا باعث ایجاد مشکلات دیگری مانند کیست یا تومور شده است یا خیر. با اطلاعات به دست آمده از اشعه ایکس و تصویربرداری، دندانپزشک میتواند تصمیمات درمانی دقیقتری بگیرد و برنامهریزی مناسبی برای استخراج یا درمان دندان نهفته انجام دهد. این روشها بسیار مهم هستند زیرا بدون آنها، تشخیص دقیق و کامل دندانهای نهفته و نیمه نهفته ممکن نیست.
به نقل از Journal of Pharmacy and Bioallied Sciences
“The prevalence of teeth impaction was 22.0%. A total of 330 subjects presented with at least one impacted tooth. Mandibular third molars were the most commonly impacted tooth (17.46%). The mesioangular orientation was the most common pattern.”
شیوع دندانهای نهفته حدود ۲۲ درصد بود. در ۳۳۰ نفر دستکم یک دندان نهفته دیده شد. دندان عقل پایین (مولر سوم فک پایین) بیشترین آمار نهفتگی را داشت (حدود ۱۷٪). رایجترین حالت قرارگیری آنها به سمت جلو (مِزیوآنژولار) بود.
عوارض نهفتگی دندان کداماند؟
در صورت عدم درمان دندان نهفته یا نیمه نهفته، این مساله میتواند عوارض مختلفی را به همراه داشته باشد. برخی از عوارض احتمالی عبارتند از:
- عفونت: هنگامی که یک دندان نهفته تا حدی بیرون میآید، فضایی بین بافت لثه و سطح دندان ایجاد میکند. این فضا که به عنوان پاکِت شناخته میشود، محل تجمع باکتریها و بقایای غذاست و منجر به عفونت و التهاب شود.
- کیست و تومور: در موارد نادر، دندانهای نهفته میتوانند باعث ایجاد کیست یا تومور در استخوان فک شوند. این تودهها میتوانند باعث آسیب بیشتر به دندانها، استخوانها و اعصاب اطراف شوند.
- آسیب به دندانهای مجاور: دندانهای نهفته میتوانند به دندانهای مجاور فشار وارد کنند که منجر به جابجایی، تحلیل ریشه و آسیب به ساختار آن دندانها میشوند.
- مسائل ارتودنسی: نهفتگی دندان میتواند تراز طبیعی دندانها را به هم زده و به طور بالقوه نیاز به درمان ارتودنسی برای اصلاح بایت و بهبود زیبایی را افزایش میدهد.
درمان دندان نهفته و نیمه نهفته چیست؟
رویکرد درمان دندان نهفته و نیمه نهفته به عوامل مختلفی از جمله نوع و شدت نهفتگی، سن بیمار و وجود علائم یا عوارض مرتبط بستگی دارد. برخی از گزینههای رایج درمانی عبارتند از:
انتظار تا بروز علائم
اگر دندان نهفته یا نیمه نهفته هیچ مشکل یا عارضه فوری ایجاد نمیکند، ممکن است رویکرد “انتظار” توصیه شود. معاینات منظم دندانپزشکی به پیگیری وضعیت دندان نهفته کمک کرده و در صورت لزوم، امکان مداخله بهموقع را فراهم میکنند.
جراحی دندان نهفته و نیمه نهفته (کشیدن)
کشیدن دندان نهفته با روش جراحی صورت میگیرد. در واقع جراحی یک روش رایج برای درمان دندان عقل نهفته است که باعث درد، عفونت یا آسیب به دندانهای مجاور شده باشد:

درمان نهفتگی دندان در بافت نرم
برای حل این مشکل دندانپزشک برشی در بافت لثه پوشاننده ایجاد میکند و همانند یک فلپ بافت را برمیگرداند. در این حالت دندان نهفته در معرض دید قرار میگیرد و میتواند به راحتی برداشته شود (احتمالا فقط با روشهای معمول کشیدن دندان). سپس فلپ لثه بسته شده و با استفاده از بخیه در جای خود قرار داده میشود.
درمان نهفتگی جزئی با استخوان
بافت لثه بهصورت فلپ کنار زده میشود تا دندان قابلدسترسی باشد. هر مقدار استخوان که در سر راه برداشت دندان وجود دارد باید تراشیده شود. سپس دندان برداشته شده، بافت فلپ مجددا سر جای خود قرار داده شده و بخیه زده میشود.
درمان نهفتگی کامل با استخوان
مراحل کلی آن مشابه با روش درمان نهفتگی جزئی با استخوان است، گرچه در این حالت باید مقدار بیشتری استخوان تراشیده شود. در برخی موارد، دندان به قطعات کوچکتر تقسیم شده و هر قطعه بهصورت جداگانه خارج میشود؛ این روش معمولاً در نهفتگی کامل بهکار میرود.
درمان ارتودنسی
برای ایجاد فضای کافی در قوس فکی و هدایت دندان نهفته به موقعیت مناسب خود، ممکن است درمان ارتودنسی ثابت یا متحرک مورد نیاز باشد. این روش اغلب برای دندانهای نیش نهفته یا زمانی که چندین دندان تحت تأثیر قرار میگیرند استفاده میشود.
چطور از نهفتگی دندان پیشگیری کنیم؟
در حالی که همیشه نمیتوان از بروز یک دندان نهفته یا نیمه نهفته جلوگیری کرد، اما اقداماتی وجود دارد که میتوانید برای کاهش خطر این مشکل انجام دهید:
- معاینات منظم دندانپزشکی: ویزیتهای منظم دندانپزشکی به دندانپزشک شما اجازه میدهد تا رشد و تکامل دندانهایتان را زیر نظر داشته باشد، مشکلات احتمالی را در مراحل اولیه تشخیص دهد و در صورت لزوم مداخلات مناسب را ارائه دهد.
- مداخله زودهنگام ارتودنسی: اگر دندانهای کودک شما نشانههایی از شلوغی یا نامرتبی دارد، مداخله ارتودنسی زودهنگام میتواند به ایجاد فضای کافی برای رویش مناسب دندان کمک کند و خطر نهفتگی را کاهش دهد.
- اجتناب از عادات مضر: از عاداتی مانند مکیدن انگشت شست، استفاده طولانی مدت از پستانک یا استفاده بیش از حد از شیشه شیر خودداری شود. زیرا این موارد میتوانند بر رشد فک و دندانها تأثیر بگذارند و خطر بروز دندان نهفته و نیمه نهفته را افزایش دهند.
- کشیدن به موقع دندانهای شیری: در صورت عدم افتادن طبیعی دندانهای شیری، باید با دندانپزشک مشورت شود تا مشخص شود آیا کشیدن دندان برای تسهیل رویش دندانهای دائمی ضروری است یا خیر.
👋 برای آگاهی بیشتر از روند درمان بیماری های عمومی دهان و دندان، مطالعه سایر مقالات وبسایت آرتمان درمان توصیه میشود.
همه چیز درباره جراحی دندان عقل و کشیدن دندان عقل به روش معمولی
✅جمعبندی و نگاهی به مسیر درمان دندان نهفته
مراقبت و درمان مؤثر در حوزه دندانهای نهفته و نیمه نهفته نیازمند ترکیبی از دانش تخصصی، دقت در تشخیص، و همراهی گامبهگام با بیمار است. از ارزیابیهای اولیه با تصویربرداری دقیق گرفته تا انتخاب روش درمانی مناسب — چه جراحی، چه ارتودنسی — آنچه اهمیت دارد، تصمیمگیری آگاهانه و ارائه خدماتی است که بر پایه احترام به نیازها و شرایط هر فرد بنا شده باشد. اگر به دنبال مرکزی هستید که در تمام مراحل درمان — از نخستین جلسه مشاوره تا پایان مسیر — بر این اصول تکیه داشته باشد، در آرتمان درمان آمادهایم با همین نگاه از شما میزبانی کنیم.
❓ سؤالات متداول درباره دندان نهفته و نیمه نهفته
خیر. تصمیم به درمان یا جراحی به عوامل مختلفی مثل نوع دندان، شدت نهفتگی، سن بیمار، وجود یا نبود علائم و خطر بروز عوارض بستگی دارد. برخی دندانهای نهفته بیعارضه ممکن است تنها تحت نظارت منظم قرار بگیرند.
دندان عقل (آسیاب سوم) شایعترین دندان نهفته است. همچنین دندان نیش فک بالا نیز بهخصوص در نوجوانان مستعد نهفتگی است.
بله. دندان نهفته ممکن است به دندانهای مجاور فشار وارد کرده و باعث جابهجایی، تحلیل ریشه، پوسیدگی یا حتی عفونت در نواحی اطراف شود.
در زمان جراحی، به دلیل بیحسی موضعی یا بیهوشی، بیمار دردی حس نمیکند. پس از جراحی ممکن است درد یا تورم مختصری وجود داشته باشد که با داروهای تجویزشده قابل کنترل است.
دریافت مشاوره و نوبت آنلاین
فیلد های "*" اجباری هستند
مقالات مرتبط
بررسی جدیدترین روش های ترمیم دندان (با تمرکز بر بیلداپ)
در سال های اخیر، دندانپزشکی ترمیمی و زیبایی شاهد تغییراتی
هرچیزی که باید درباره پروتز دندان پارسیل بدانید (دندان مصنوعی تکه ای)
از دست دادن دندانها میتواند بهطور قابلتوجهی بر اعتمادبهنفس، توانایی
آفت دهان چیست و چگونه با این 9 روش درمان می شود؟
آفت دهان که به عنوان (aphthous ulcers) نیز شناخته می