اگر پر کردگی دندان بیفتد چه باید کرد؟
- تـاریـخ:
- دسته بندی: مقالات, مقالات ترمیم دندان
- نوشته شده توسط آرتمان درمان
- بدون نظر کاربران
فهرست عناوین این نوشتار
ممکن است برای شما هم پیش آمده باشد که ناگهان هنگام غذا خوردن یا حتی بدون هیچ دلیل مشخصی، متوجه شوید بخشی از دندانتان ریخته یا چیزی شبیه به پر کردگی از دهانتان خارج شده است. اولین واکنش اغلب افراد، نگرانی و اضطراب است؛ به خصوص اگر دندان مورد نظر قبلا عصب کشی یا ترمیم شده باشد. اما آیا افتادن مواد دندان پر شده همیشه نگران کننده است؟ و اگر پر کردگی دندان بیفتد چه باید کرد؟در این مقاله، به تمام جوانب این اتفاق می پردازیم؛ از دلایل و نشانه ها گرفته تا روش های ترمیم مجدد دندان پر شده و راهکارهای موثر برای جلوگیری از تکرار این مشکل.
در مواجهه با افتادن پر کردگی دندان، مساله زمان بسیار مهم است!
وقتی پر کردگی دندان میریزد (چه درمان ریشه انجام شدهباشد چه نه)، زمان اهمیت زیادی پیدا میکند. مساله صرفاً افتادن پر کردگی دندان نیست، بلکه بحث بر سر احتمال گسترش آسیب ناشی از این اتفاق است. درواقع همیشه قرار نیست که افتادن ترمیم منجر به درد و حساسیت شود، در نتیجه برخی از افراد ممکن است ترمیم مجدد دندان را به تاخیر بی اندازند. در چنین شرایطی دو احتمال مطرح میشود. ابتدا بخشی از دندان (یا شاید تمام آن) اکنون بدون محافظ مانده و در معرض تماس با بزاق، غذا و حتی باکتری های دهان قرار میگیرد. در نتیجه احتمال گسترش آسیب و درگیری عصب دندان (اگر دندان ترمیم ریشه نشده) افزایش مییابد. سپس احتمالا شکستگی دیواره های سالم و باقی مانده دندان نیز مطرح می شود. در مجموع برای پیشگیری از این دو مساله باید در اسرع وقت جهت ترمیم دندان به متخصص ترمیمی و زیبایی مراجعه کرد.

در صورت افتادن پرکردگی دندان چه کنیم؟
اگر متوجه افتادن مواد دندان پر شده شدید، مهمترین نکته حفظ آرامش و پرهیز از اقدامات خودسرانه است. در این شرایط، دندان بخشی از محافظ خود را از دست داده و در معرض تحریکهای محیطی قرار میگیرد؛ بنابراین نحوه برخورد اولیه میتواند نقش مهمی در جلوگیری از گسترش آسیب و نیاز به درمانهای پیچیدهتر داشته باشد. تا زمان مراجعه به دندانپزشک، رعایت چند اقدام ساده اما اصولی میتواند از بدتر شدن وضعیت دندان جلوگیری کند.
- از جویدن غذا با سمت دندانی که پرکردگی آن افتاده است خودداری کنید تا فشار اضافی به ساختار دندان وارد نشود.
- دهان را با آب ولرم یا دهانشویه ملایم شستوشو دهید تا باقیماندههای غذایی در محل ترمیم تجمع پیدا نکنند.
- از مصرف خوراکیهای بسیار سرد، داغ یا شیرین که میتوانند موجب تحریک و درد شوند، پرهیز کنید.
- در صورت وجود لبههای تیز یا حساسیت، از دستکاری محل با زبان یا اشیای خارجی خودداری کنید.
- در اولین فرصت ممکن برای معاینه و ترمیم مجدد دندان پر شده به دندانپزشک مراجعه کنید تا از پیشرفت پوسیدگی یا آسیب به عصب جلوگیری شود.
مراحل اقدام پس از افتادن پرکردگی ⏳🦷
| مرحله | توضیح | توصیه |
| شناسایی مشکل | مشاهده و تشخیص افتادن پرکردگی | بررسی دندان و محل آسیب |
| 🛡️ جلوگیری از عفونت و آسیب بیشتر | اجتناب از جویدن با طرف آسیب دیده، رعایت بهداشت دهان | استفاده از دهانشویه مناسب |
| 🏥 مراجعه به دندانپزشک | انجام معاینه و تصویربرداری در صورت نیاز | مراجعه سریع (حداکثر چند روز) |
| ⚖️ تصمیمگیری درمانی | انتخاب روش ترمیم یا درمان بر اساس شدت و نوع آسیب | استفاده از ترمیم مناسب |
| 🧼 مراقبتهای بعد از ترمیم | رعایت بهداشت، پرهیز از فشار زیاد، چکاپ دورهای | پیگیری و مراقبت منظم |
آیا این وضعیت یک اورژانس دندانپزشکی است؟
اگرچه افتادن مواد دندان پر شده همیشه اورژانس فوری محسوب نمی شود، اما هرگز نباید نادیده گرفته شود. مخصوصا در دندان هایی که قبلا عصب کشی شده اند یا پر کردگی وسیع داشته اند، تماس مستقیم با مواد غذایی یا حرارت می تواند به ترک، شکستگی یا حساسیت شدید منجر شود.
در دندان هایی که قبلا درمان ریشه روی آنها انجام شده است، ممکن است افتادن مواد نشانه ای از ضعف ساختاری یا پوسیدگی مجدد در زیر ترمیم باشد. موضوعی که در صورت بی توجهی، می تواند نیاز به درمان های پیچیده تر ایجاد کند. بنابراین، اگر با موردی مثل افتادن مواد دندان عصب کشی شده رو به رو شدید، نباید منتظر بروز درد بمانید.
بررسی دلایل رایج افتادن پر کردگی دندان
ترمیم دندان ها، هر چقدر هم با دقت انجام شده باشد، مادام العمر نیست. عوامل زیادی در دوام یا افتادن پر کردگی دندان نقش دارند که شناخت آن ها می تواند به پیشگیری بهتر کمک کند.
عادات نادرست جویدن یا دندان قروچه
اگر عادت دارید خوراکی های بسیار سفت بجوید یا در خواب دچار دندان قروچه باشید، فشار مداوم به دندان های پرشده وارد می شود. این فشار می تواند به مرور زمان باعث ترک خوردن ترمیم یا جدا شدن آن از دندان شود.

افزایش پوسیدگی زیر ترمیم
در مواردی که ترمیم به طور کامل پوسیدگی اولیه را پوشش نداده یا به مرور زمان لبه های پر کردگی دچار نشت می شود، پوسیدگی ثانویه در زیر ترمیم به وجود می آید. این اتفاق یکی از رایج ترین دلایل ترمیم مجدد دندان پر شده محسوب می شود.
فرسایش طبیعی مواد ترمیمی
با گذر زمان، مخصوصا در دندان هایی که با مواد کامپوزیت یا آمالگام پر شده اند، امکان دارد مواد به تدریج فرسوده شده یا خاصیت چسبندگی خود را از دست بدهند. البته این روند اغلب تدریجی است، اما گاهی هم افتادن ترمیم به طور ناگهانی رخ می دهد.
مشکلات مربوط به طراحی اولیه ترمیم
در مواردی، شکل یا موقعیت پر کردگی ممکن است باعث گیر کردن غذا یا فشار بیش از حد در یک نقطه شود. این موضوع می تواند باعث ترک خوردگی یا جدا شدن زودهنگام مواد ترمیمی شود. به همین دلیل، طراحی دقیق حین ترمیم اولیه اهمیت بالایی دارد.
بعد از پر کردن و ترمیم دندان به چه نشانههایی باید توجه کنیم؟
پس از انجام ترمیم یا پر کردن دندان، بروز برخی احساسات خفیف در روزهای ابتدایی میتواند طبیعی باشد؛ اما در بعضی موارد، نشانهها هشداری از وجود مشکل در ترمیم یا ساختار دندان هستند. توجه به این علائم و پیگیری بهموقع آنها میتواند از پیشرفت آسیب، افتادن زودهنگام پرکردگی یا نیاز به درمانهای پیچیدهتر مانند درمان ریشه جلوگیری کند.
- حساسیت طولانیمدت به سرما یا گرما که بیش از چند روز ادامه پیدا کند و رو به کاهش نباشد.
- درد هنگام جویدن یا بستن دندانها که میتواند نشانه بلند بودن ترمیم یا فشار نامتعادل روی دندان باشد.
- احساس لبه تیز یا ناصافی در محل ترمیم که ممکن است باعث گیر غذایی یا تحریک زبان و لثه شود.
- درد خودبهخود یا ضرباندار بدون تحریک خارجی، که میتواند به درگیری پالپ دندان اشاره داشته باشد.
- تغییر رنگ دندان یا لثه اطراف ترمیم که گاهی نشانه نشت ترمیم یا التهاب بافتهای اطراف است.
- بوی بد دهان یا طعم ناخوشایند مداوم که میتواند به تجمع باکتری یا پوسیدگی ثانویه مرتبط باشد.
در صورت مشاهده هر یک از این نشانهها، بهویژه اگر شدت آنها رو به افزایش باشد، مراجعه زودهنگام به دندانپزشک میتواند از افتادن پرکردگی و آسیبهای گستردهتر جلوگیری کند.
آیا افتادن پر کردگی دندان همیشه نیاز به ترمیم مجدد دارد؟
در اغلب موارد بله، مگر آنکه پر کردگی بسیار سطحی بوده و افتادن آن آسیبی به ساختار دندان نزده باشد (که معمولا هم اینطور نیست). در چنین شرایطی، بسته به ارزیابی دقیق وضعیت دندان، ترمیم مجدد دندان پر شده با همان ماده یا روش جایگزین انجام می شود.
ممکن است دندانپزشک تصمیم بگیرد از مواد ترمیمی متفاوت یا روش های مقاوم تر استفاده کند؛ به ویژه اگر دندان قبلا بارها ترمیم شده باشد یا بخش زیادی از آن از بین رفته باشد. در دندان هایی که چندبار موادشان افتاده یا دچار درگیری های مکرر شده اند، ممکن است استفاده از روکش دندان توصیه شود تا دوام و پایداری بیشتری فراهم شود.
بهترین دندان، دندان طبیعی خود شماست!
رویکرد ما در مجموعه دندانپزشکی آرتمان درمان انجام درمان به صورت محافظه کارانه و با حفظ حداکثری نسج دندان طبیعی است. اگر به دنبال درمانی اصولی، طبیعی ومحافظه کارانه هستید، با همین نگاه میزبان شما در آرتمان درمان هستیم.
02166003625 09021216575آیا دردی که بعد از افتادن پر کردگی احساس می شود طبیعی است؟
وقتی ترمیم دندان می افتد، برخی افراد دچار درد یا حساسیت می شوند، در حالیکه دیگران ممکن است هیچ نشانه واضحی نداشته باشند. اما نبود درد همیشه نشانه سلامت نیست. حتی اگر هیچ گونه ناراحتی وجود نداشته باشد، فضای خالی ایجاد شده در ساختار دندان می تواند زمینه ساز آسیب های بیشتر شود. با این حال، اگر پس از افتادن مواد دندان پر شده، درد یا ناراحتی وجود داشته باشد، باید دقیق تر بررسی شود.
درد پس از افتادن پر کردگی چه معنا دارد؟
در بسیاری از موارد، درد پس از افتادن ترمیم می تواند ناشی از قرار گرفتن عاج دندان در معرض هوا، سرما، گرما یا تحریک شیمیایی باشد. عاج بافتی حساس است که زیر مینای دندان قرار دارد. وقتی این بخش در معرض عوامل محیطی قرار بگیرد، ممکن است حساسیت هایی به وجود آید که با دردهای لحظه ای یا ضربان دار همراه است.
اما اگر درد شدیدتر شود، یا به شکل مداوم و خود به خود (بدون تحریک) ادامه پیدا کند، این نشانه می تواند به معنای درگیری پالپ (مغز دندان) باشد. در چنین شرایطی، تاخیر در درمان ممکن است به التهاب شدید یا حتی نکروز بافتی بینجامد که راهی جز درمان ریشه باقی نمی گذارد.
علائم و نشانههای نیاز به درمان ریشه پس از افتادن پرکردگی 🔍🦷
| علامت یا نشانه | توضیح | اقدام لازم |
| 🔥 درد شدید و مداوم | درد خود به خود حتی بدون تحریک | مراجعه فوری به دندانپزشک |
| ❄️ حساسیت شدید به گرما و سرما | احساس درد با تغییر دما | بررسی دقیق و احتمال درمان ریشه |
| 🎨 تغییر رنگ دندان | تیره شدن دندان به دلیل نکروز | ارزیابی و درمان احتمالی |
| 🤕 التهاب و تورم لثه | ورم اطراف دندان و درد هنگام لمس | بررسی فوری و درمان مناسب |
افتادن پر کردگی در دندان های عصب کشی شده
اگر دندانی که ترمیمش افتاده قبلا عصب کشی شده باشد، شاید درد شدیدی احساس نکنید. اما این موضوع نباید شما را به اشتباه بیندازد؛ چون این نوع دندان ها اغلب ضعیف تر از دندان های زنده هستند. در واقع، افتادن مواد دندان عصب کشی شده گاهی نشان دهنده ایجاد ترک یا پوسیدگی زیرین است، که اگر به موقع ترمیم نشود، ممکن است ساختار دندان قابل حفظ نباشد.
در چنین مواردی، دندانپزشک احتمالا بررسی دقیقی با تصویربرداری انجام می دهد تا از سلامت ساختار باقیمانده اطمینان حاصل کند. سپس بر اساس وضعیت، ترمیم مجدد یا استفاده از روکش تقویتی را توصیه می کند تا خطر شکستگی کاهش یابد.

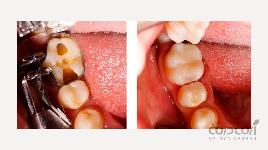
ترمیم مجدد دندان پر شده یا راهکار جایگزین؟
در اکثر موارد، وقتی مواد ترمیمی می افتند، ترمیم مجدد دندان پر شده گزینه اول درمان است. بسته به محل دندان، وسعت آسیب و جنس مواد قبلی، ممکن است دندانپزشک تصمیم بگیرد از روش های زیر استفاده کند:
| نوع ترمیم | کاربرد / مزایا | طول عمر تقریبی |
| کامپوزیت | مناسب برای دندان های جلو یا ترمیم های کوچک تر؛ تطابق رنگی بالا با دندان دارد. | ۵ تا ۷ سال |
| آمالگام | بیشتر برای دندان های عقب بهکار می رود؛ دوام بالا اما رنگ فلزی آن ممکن است خوشایند نباشد. | ۱۰ تا ۱۵ سال |
| ترمیم غیرمستقیم (اینله/آنله) | مناسب برای آسیب های وسیع تر که هنوز امکان حفظ دندان وجود دارد؛ در لابراتوار ساخته می شود و دقت بالایی دارد. | ۱۰+ سال |
| روکش کامل دندان | در صورت شکستگی گسترده یا ضعف ساختار دندان استفاده می شود؛ پایداری زیادی ایجاد می کند و نیاز به بررسی دقیق دارد. | ۱۵ سال یا بیشتر |
در همه این گزینه ها، اصل بر این است که تا حد ممکن بافت طبیعی دندان حفظ شود. این فلسفه درمانی باعث می شود که حتی در صورت افتادن پر کردگی، دندان بتواند با حداقل تهاجم، مجددا به عملکرد طبیعی بازگردد.
آیا همیشه نیاز به درمان ریشه هست؟
خیر. درمان ریشه تنها زمانی مطرح می شود که پالپ دندان آسیب دیده باشد. این اتفاق معمولا با علائمی مثل درد خود به خود، حساسیت شدید به گرما و سرما، تغییر رنگ دندان یا التهاب لثه اطراف آن همراه است. اگر هیچ کدام از این نشانه ها وجود نداشته باشد و بررسی رادیوگرافی هم مشکلی را نشان ندهد، می توان دندان را بدون نیاز به عصب کشی ترمیم کرد.
البته اگر قبلا هم پوسیدگی عمیق وجود داشته یا افتادن پر کردگی به دلیل پوسیدگی مجدد بوده باشد، احتمال نفوذ آسیب به بخش های عمیق تر دندان بالاتر می رود. در چنین شرایطی، دندانپزشک با بررسی بالینی و تصویربرداری، درباره نیاز به درمان ریشه تصمیم گیری می کند.
به نقل از SAGE Journals
“When dentin is exposed to the oral environment, bacteria can penetrate into the tooth structure, potentially leading to pulpal inflammation and progression of disease.”
«وقتی عاج دندان در معرض محیط دهان قرار میگیرد، باکتریها میتوانند به داخل ساختار دندان نفوذ کرده و منجر به التهاب پالپ و پیشرفت بیماری شوند.»
چطور از افتادن پر کردگی دندان جلوگیری کنیم؟
درمان هر چقدر هم با دقت انجام شده باشد، اگر همراه با مراقبت مناسب نباشد، نمی تواند دوام طولانی مدت داشته باشد. به ویژه در مورد دندان هایی که یک بار ترمیم شده اند، مراقبت های بعد از پر کردن و سبک زندگی، نقش تعیین کننده ای در پایداری درمان دارند.
مراقبت روزانه دهان و دندان

اولین قدم در جلوگیری از افتادن مواد دندان پر شده، رعایت بهداشت دهان به صورت دقیق و منظم است. استفاده از مسواک نرم، نخ دندان و دهانشویه متناسب با شرایط دهان می تواند از تجمع پلاک در اطراف ترمیم ها جلوگیری کند.
اگر این بهداشت رعایت نشود، احتمال بروز پوسیدگی در ناحیه اتصال پر کردگی و بافت دندان بسیار بالا می رود؛ اتفاقی که یکی از دلایل اصلی افتادن پر کردگی دندان شده به شمار می رود.
اجتناب از جویدن خوراکی های بسیار سفت
جویدن یخ، ته دیگ های سفت، آجیل های فشرده یا شکستن پوست مغزها با دندان، می تواند به راحتی موجب ترک خوردن یا افتادن مواد ترمیمی شود. به خصوص در دندان هایی که عصب کشی شده اند یا ساختارشان به واسطه درمان قبلی ضعیف تر است، فشارهای این چنینی می تواند منجر به شکستن کامل ترمیم یا حتی ترک در بافت دندان شود.
درمان دندان قروچه و ساییدگی شبانه
یکی دیگر از عوامل مهم، براکسیسم یا همان دندان قروچه است. ساییدگی های مکرر در خواب، فشار مداومی به ترمیم ها وارد می کند و آن ها را در معرض جدا شدن قرار می دهد. استفاده از نایت گارد (محافظ شبانه) می تواند از بروز این آسیب ها پیشگیری کند.
چکاپ های دوره ای؛ کلید حفظ ترمیم ها
بسیاری از افرادی که دچار افتادن ترمیم دندان می شوند، سال هاست به دندانپزشک مراجعه نکرده اند. در حالیکه معاینه های منظم (حداقل هر ۶ ماه یک بار) نه تنها به پیشگیری از مشکلات گسترده تر کمک می کند، بلکه می تواند آسیب های کوچک در اطراف ترمیم را زود تشخیص دهد.
در چکاپ های دوره ای، دندانپزشک می تواند:
- ترک های سطحی یا شکستگی های مخفی در ترمیم ها را بررسی کند
- پوسیدگی های زیرین یا نشت در اطراف ترمیم را شناسایی کند
- تصمیم بگیرد که آیا زمان تعویض یا تقویت ترمیم رسیده یا نه

👋 برای کسب اطلاعات بیشتر درباره روشهای ترمیم دندان، مطالعه سایر مقالات وبسایت آرتمان درمان پیشنهاد میشود
ترمیم و تقویت دندان پوسیده با حفظ حداکثری ساختار طبیعی دندان
تفاوت بین روکش و پر کردن دندان؛ کدام انتخاب منطقی تر است؟
پر کردن دندان بدون عصب کشی چه زمانی ممکن است؟
ترمیم دندان شکسته: چگونه دندان شکسته شده را ترمیم کنیم؟
بهترین روش ترمیم دندان جلو چیست؟ (بررسی همه درمان ها)
✅نتیجه گیری
افتادن مواد دندان پر شده اگرچه ممکن است نگران کننده به نظر برسد، اما با اقدام درست و به موقع، می توان از آسیب های گسترده تر جلوگیری کرد. در بسیاری از موارد، ترمیم مجدد ساده و غیرتهاجمی کافی است؛ به شرط آنکه پوسیدگی گسترش نیافته باشد و ساختار دندان هنوز قابل حفظ باشد.
هرچه مراجعه زودتر انجام شود، احتمال اینکه دندان بدون نیاز به درمان ریشه یا روکش حفظ شود بیشتر خواهد بود. در مقابل، تاخیر در درمان می تواند به از دست رفتن بخش های بیشتری از دندان منجر شود.
اگر به دنبال مرکزی هستید که در تمام مراحل درمان (از نخستین جلسه مشاوره تا پایان مسیر) بر اصول محافظه کارانه و حفظ حداکثری بافت دندان تکیه داشته باشد، در آرتمان درمان آماده ایم با همین نگاه از شما میزبانی کنیم.
❓پاسخ به سوالات پرتکرار درباره اینکه اگر پر کردگی دندان بیفتد چه باید کرد؟
بله، در برخی موارد ممکن است پوسیدگی زیر ترمیم اتفاق افتاده باشد، مخصوصا اگر مواد قدیمی یا روش های ناکافی برای ترمیم استفاده شده باشد.
بله، حتی در صورت نداشتن درد، احتمال درگیری عمیق تر یا ایجاد مشکل در آینده وجود دارد. مراجعه سریع می تواند از درمان های پیچیده تر جلوگیری کند.
در صورتی که بخش زیادی از دندان بدون محافظ باقی مانده باشد یا پالپ در معرض محیط قرار گیرد، ممکن است نیاز به درمان ریشه مطرح شود.
بهتر است همان روز یا نهایتا طی ۲۴ تا ۴۸ ساعت اقدام شود تا از پیشرفت آسیب جلوگیری شود.
در بسیاری از موارد بله. پرکردگیها طول عمر مشخصی دارند و افتادن آنها میتواند نشاندهنده پایان کارایی ترمیم یا وجود پوسیدگی ثانویه باشد. تشخیص نهایی با معاینه دندانپزشک انجام میشود.
معمولاً خیر. پرکردگی جداشده اغلب قابلیت اتصال مجدد ایمن را ندارد و ترمیم مجدد با مواد جدید گزینه مطمئنتری است.
📚منابع
pubmed.ncbi.nlm.nih.gov
ada.org
دریافت مشاوره و نوبت آنلاین
فیلد های "*" اجباری هستند
مقالات مرتبط
چرا کشیدن دندان شکسته باید آخرین راهکار در دندانپزشکی باشد؟
مواجهه با یک دندان شکسته معمولاً با وحشت و نگرانی
سوراخ شدن ریشه دندان: علت ها، نحوه تشخیص و درمان
دان درد یکی از آزاردهنده ترین دردهایی است که تجربه
ترمیم و تقویت دندان پوسیده با حفظ حداکثری ساختار طبیعی دندان
ترمیم و تقویت دندان پوسیده فقط یک اقدام درمانی نیست؛