بیلداپ کامپوزیت؛ راهی برای بازسازی ساختار و عملکرد دندان های آسیب دیده
- تـاریـخ:
- دسته بندی: مقالات, مقالات ترمیم دندان
- نوشته شده توسط آرتمان درمان
- بدون نظر کاربران
فهرست عناوین این نوشتار
زمانی که صحبت از آسیب های دندانی به میان می آید، بسیاری از افراد تصور می کنند که تنها راهکارهای موجود، پر کردن یا روکش است. اما در دندانپزشکی مدرن، طیف وسیعی از درمان ها در این میانه قرار دارند که هدف اصلی آن ها حفظ حداکثری نسج سالم دندان است. شاید برای شما هم پیش آمده باشد که پس از یک شکستگی ناگهانی یا انجام درمان ریشه، با این چالش مواجه شوید که دندانتان ساختار زیادی را از دست داده است، اما هنوز ریشه و دیواره هایی مستحکم دارد. در چنین شرایطی، قربانی کردن بافت های باقیمانده برای نصب روکش، تصمیم دشواری است. اینجاست که تکنیک بیلداپ کامپوزیت به عنوان یک راهکار منطقی، پا به میدان می گذارد.
در این مقاله قصد داریم فراتر از تعاریف ساده، بررسی کنیم که بازسازی دندان با روش بیلداپ دقیقا چیست، چه تفاوتی با ترمیم های کلاسیک دارد و چرا برای کسانی که اولویتشان حفظ سلامت دندان است، یک گزینه ایده آل محسوب می شود.
بیلداپ کامپوزیت دقیقا چیست و چه کاربردی دارد؟
برای درک صحیح بیلداپ دندان، ابتدا باید ذهنیت خود را از واژه پر کردن دندان خالی کنید. پر کردن دندان معمولا برای حفره های کوچک و متوسطی انجام می شود که دیواره های دندان هنوز قادر به تحمل فشار هستند. اما زمانی که تخریب دندان زیاد باشد، به گونه ای که یک یا چند دیواره اصلی یا کاسپ ها (برجستگی های تاج دندان) از بین رفته باشند دیگر یک ترمیم ساده پاسخگو نیست.
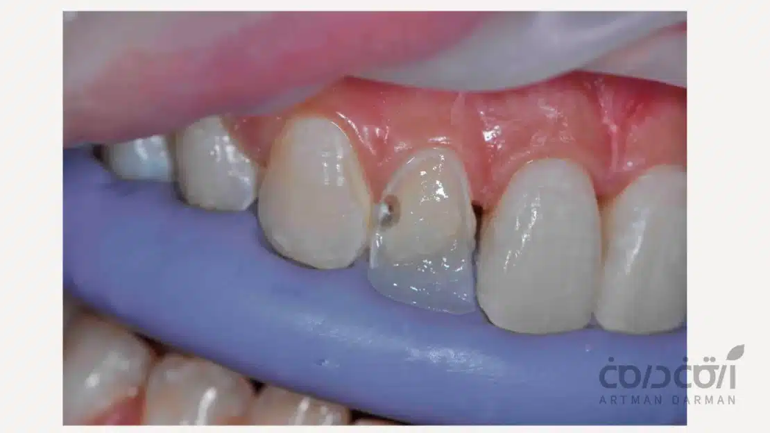
بیلداپ کامپوزیت، در واقع فرآیند بازسازی تاج دندان است. در این روش، دندانپزشک با استفاده از مواد کامپوزیتی پیشرفته و بهره گیری از تکنیک های لایه گذاری، آناتومی از دست رفته دندان را بازسازی می کند.
در این روش هدف تنها پر کردن یک حفره نیست؛ بلکه هدف، بازگرداندن فرم صحیح دندان، ایجاد نقاط تماس مناسب با دندان های مجاور و از همه مهم تر، بازگرداندن عملکرد دندان برای جویدن است. در بیلداپ، مواد ترمیمی با استفاده از سیستمهای باندینگ پیشرفته به بافت دندان متصل می شوند و یک ساختار یکپارچه را ایجاد می کنند که می تواند نیروهای وارده را به صورت متعادل در طول ریشه پخش کند.

چه زمانی به جای ترمیم معمولی یا روکش به سراغ بیلداپ می رویم؟
تشخیص اینکه آیا دندان شما کاندیدای مناسبی برای بیلداپ است یا خیر، نیاز به معاینه دقیق کلینیکی و بررسی رادیوگرافی دارد. با این حال، اصول دندانپزشکی کم تهاجمی حکم می کند که تا جای ممکن از تراشیدن بافت سالم پرهیز شود.
معمولا در شرایط زیر، بیلداپ کامپوزیت به عنوان درمان ارجح پیشنهاد می شود:
دندان های عصب کشی شده
پس از درمان ریشه، دندان آب خود را از دست داده و کمی تردتر می شود. اگر حجم بافت باقیمانده دندان قابل قبول باشد، نیازی نیست دور تا دور دندان تراشیده شود تا زیر روکش برود. با انجام بیلداپ، می توان تاج را بازسازی کرد و عمر دندان را بدون تهاجم بیشتر افزایش داد.
شکستگی های وسیع تاج
گاهی بر اثر ضربه یا فشار ناگهانی، نیمی از تاج دندان می شکند اما ریشه کاملا سالم است. در این حالت، ترمیم دندان شکسته بدون روکش با تکنیک بیلداپ، نه تنها زیبایی را بلافاصله برمی گرداند، بلکه از دستکاری غیرضروری دندان جلوگیری می کند.

اصلاحات زیبایی
شکستگی یا لب پریدگی دندان های جلو، چالشی بزرگ برای زیبایی لبخند و اعتماد به نفس است. در این شرایط، بیلداپ کامپوزیت راهکاری هنرمندانه و محبوب محسوب می شود؛ این روش ساختار آسیب دیده دندان را به گونه ای بازسازی می کند که تشخیص مرز میان دندان طبیعی و بخش ترمیم شده، تقریبا غیرممکن است.
بهترین دندان، دندان طبیعی خود شماست!
رویکرد ما در مجموعه دندانپزشکی آرتمان درمان انجام درمان به صورت محافظه کارانه و با حفظ حداکثری نسج دندان طبیعی است. اگر به دنبال درمانی اصولی، طبیعی ومحافظه کارانه هستید، با همین نگاه میزبان شما در آرتمان درمان هستیم.
02166003625 09021216575مزایا و معایب بیلداپ کامپوزیت چیست؟
برای افرادی که به دنبال کیفیت و حفظ سلامتی هستند، دانستن نقاط قوت و ضعف این روش ضروری است.
مزایا: چرا بیلداپ محبوب است؟
- حفظ نسج سالم دندان: برخلاف روکش دندان در بیلداپ حتی ۰.۱ میلی متر از بافت سالم تراشیده نمی شود.
- انجام درمان در یک جلسه: تمام مراحل بازسازی، در یک جلسه انجام می شود. این یعنی حذف مرحله قالب گیری و لابراتوار و صرفه جویی در زمان ارزشمند شما.
- قابلیت تعمیر: اگر بخشی از بیلداپ دندان در اثر جویدن جسم سخت بپرد، به راحتی قابل ترمیم است.
- زیبایی طبیعی: کامپوزیت های امروزی طیف رنگی بسیار وسیعی دارند و می توانند شفافیت و رنگ مینای طبیعی را کاملا تقلید کنند.

معایب و چالش ها
- حساسیت تکنیکی بالا: موفقیت آن به شدت وابسته به مهارت دندانپزشک، و دقت در لایهگذاری است.
- احتمال تغییر رنگ: کامپوزیت ها به مرور زمان (طی سال ها) ممکن است اندکی رنگدانه های مواد غذایی (مثل قهوه و چای) را جذب کنند.
- محدودیت در تخریب های بسیار شدید: اگر دندان هیچ دیواره ای نداشته باشد و سطح اتکا بسیار کم باشد، ممکن است بیلداپ به تنهایی کافی نباشد و نیاز به روش های جایگزین باشد.
به نقل از Journal of Esthetic and Restorative Dentistry
“Direct composite build-up is a conservative approach that can be completed in a single appointment and provides good esthetics and function.”
“بیلدآپ مستقیم با کامپوزیت یک روش محافظهکارانه است که میتواند در یک جلسه انجام شود و زیبایی و عملکرد خوبی فراهم کند.”
آیا دوام و ماندگاری بیلداپ کامپوزیت قابل اطمینان است؟
کامپوزیت های نوین حاوی ذرات نانوسرامیکی هستند که مقاومت فشاری و سایشی آن ها بسیار نزدیک به دندان طبیعی است. زمانی که این مواد با پروتکل های صحیح باندینگ (چسباندن) به دندان متصل می شوند، عملا با دندان یکی شده و دندان را از درون تقویت می کنند.
عمر مفید بیلداپ کامپوزیت به دو عامل بستگی دارد:
- حجم بافت باقیمانده دندان: هرچه دندان طبیعی بیشتری داشته باشید، تکیه گاه بیلداپ قوی تر است.
- کنترل فشارهای مخرب: تنظیم دقیق ارتفاع دندان (اکلوژن) بسیار حیاتی است. اگر دندان بازسازی شده زودتر از سایر دندان ها با فک مقابل برخورد کند، احتمال شکستن آن بالاست.
بنابراین، اگر بیلداپ توسط دندانپزشک متبحر و با مواد درجه یک انجام شود، می تواند سال های طولانی (به شرط مراقبت) عملکردی مشابه دندان طبیعی داشته باشد.

مراقبت های پس از درمان برای حفظ کیفیت بیلداپ
حتی بهترین و گران ترین درمان های دندانپزشکی نیز بدون نگهداری صحیح، محکوم به شکست هستند. رویکرد ما بر پایه آموزش و پیشگیری است تا شما بتوانید سرمایه گذاری که روی سلامت دندان خود کرده اید را حفظ کنید.
برای افزایش طول عمر دندان های بازسازی شده، رعایت نکات زیر ضروری است:
۱. مدیریت فشارهای سنگین
دندان بازسازی شده، هرچند محکم است، اما نباید به عنوان ابزار استفاده شود. شکستن آجیل، جویدن یخ یا باز کردن گره با دندان، دشمن اصلی بیلداپ های کامپوزیتی (و حتی دندان طبیعی) است. رفتار با دندان بیلداپ شده باید دقیقا مانند یک دندان طبیعی باشد.
۲. استفاده از نایت گارد (محافظ شبانه)
بسیاری از افراد بدون آنکه بدانند، در خواب دندان قروچه دارند یا دندان هایشان را روی هم فشار می دهند. این فشارها می تواند چندین برابر فشار جویدن عادی باشد و به مرور باعث ترک خوردن کامپوزیت یا دندان شود. استفاده از نایت گارد که توسط دندانپزشک تجویز می شود، یک بیمه نامه ارزان برای محافظت از بازسازی های وسیع دهان شماست.

۳. بهداشت دقیق در مرزهای ترمیم
محل اتصال کامپوزیت به دندان، مکانی است که اگر خوب تمیز نشود، می تواند مستعد پوسیدگی ثانویه باشد. استفاده منظم از نخ دندان و مسواک زدن صحیح، تضمین می کند که باکتری ها فرصت نفوذ به زیر ترمیم را پیدا نکنند.
۴. چکاپهای دوره ای
مزیت بزرگ کامپوزیت این است که قابل پالیش و ترمیم است. مراجعه هر ۶ ماه یک بار به دندانپزشک این امکان را می دهد که اگر سایش مختصری ایجاد شده یا رنگ ترمیم نیاز به اصلاح دارد، با یک پرداخت ساده آن را به کیفیت روز اول بازگرداند.
👋 برای کسب اطلاعات بیشتر درباره روشهای ترمیم دندان، مطالعه سایر مقالات وبسایت آرتمان درمان پیشنهاد میشود
پست و کور دندان چیست و چه زمانی انجام می شود؟
همه چیز درباره پر کردن یا ترمیم دندان + و شرح مراحل انجام آن
توضیح اینله و انله به زبان ساده + شرح مراحل
آشنایی با مهم ترین ترمیم های بعد از درمان ریشه دندان
برای بازسازی دندان آسیب دیده بیلداپ دندان بهتر است یا روکش؟
✅جمع بندی
بیلداپ کامپوزیت در دندانپزشکی مدرن بر پایه احترام به بافت زنده بدن بنا شده است. این روش به ما اجازه می دهد دندان هایی را که در گذشته کشیده می شدند یا بی رحمانه تراش می خوردند، با کمترین مداخله و بیشترین استحکام به چرخه فعالیت بازگردانیم.
اگرچه این درمان نیاز به دقت، زمان و مهارت بالای دندانپزشک دارد، اما نتیجه نهایی آن که داشتن دندانی با ظاهر طبیعی و ساختاری یکپارچه است ارزش این انتخاب را دارد. به یاد داشته باشید که هیچ ماده ای جایگزین کامل دندان خدادادی نمی شود، اما بیلداپ کامپوزیت، نزدیک ترین شبیه سازی ساختاری به آن در دندانپزشکی ترمیمی است.
اگر به دنبال مرکزی هستید که در تمام مراحل درمان (از نخستین جلسه مشاوره تا پایان مسیر) بر اصول محافظه کارانه و حفظ حداکثری بافت دندان تکیه داشته باشد، در آرتمان درمان آماده ایم با همین نگاه از شما میزبانی کنیم.
❓سوالات متداول
پین یا پست، یک میله ظریف (معمولا از جنس فایبرگلاس) است که داخل ریشه دندانِ عصب کشی شده قرار می گیرد تا گیر و استحکام ریشه را افزایش دهد. اما «بیلداپ»، به فرآیند بازسازی بدنه و تاج دندان با مواد کامپوزیتی گفته می شود. در واقع، پین در نقش فونداسیون عمل میکند و بیلداپ، ساختار نهایی دندان است که روی آن بنا می شود.
ممکن است در روزهای ابتدایی پس از درمان، دندان نسبت به تغییرات دمایی یا فشار جویدن حساسیت جزئی نشان دهد. این حالت معمولا ناشی از پروسه باندینگ و آماده سازی دندان است و کاملا طبیعی بوده و پس از مدت کوتاهی برطرف می شود.
دریافت مشاوره و نوبت آنلاین
فیلد های "*" اجباری هستند
مقالات مرتبط
بررسی جدیدترین روش های ترمیم دندان (با تمرکز بر بیلداپ)
در سال های اخیر، دندانپزشکی ترمیمی و زیبایی شاهد تغییراتی
هرچیزی که باید درباره پروتز دندان پارسیل بدانید (دندان مصنوعی تکه ای)
از دست دادن دندانها میتواند بهطور قابلتوجهی بر اعتمادبهنفس، توانایی
آفت دهان چیست و چگونه با این 9 روش درمان می شود؟
آفت دهان که به عنوان (aphthous ulcers) نیز شناخته می