برای بازسازی دندان آسیب دیده بیلداپ دندان بهتر است یا روکش؟
- تـاریـخ:
- دسته بندی: مقالات, مقالات ترمیم دندان, مقالات روکش دندان
- نوشته شده توسط آرتمان درمان
- بدون نظر کاربران
فهرست عناوین این نوشتار
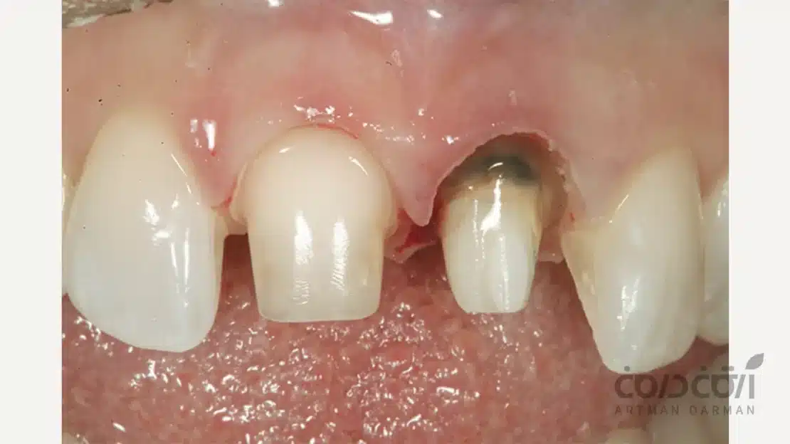
پس از یک آسیب گسترده به دندان (مثل پوسیدگی عمیق یا شکستگی یا درمان ریشه)، دندانپزشک و بیمار با یک تصمیم مهم روبرو میشوند: چگونه ساختار از دست رفته دندان را به شیوهای بازسازی کنیم که هم عملکرد و هم طول عمر آن برای سالهای آینده تضمین شود؟ و مشخصاً در این نقطه، سوال مهمی مثل بیلداپ دندان بهتر است یا روکش؟ مطرح می شود. این مقاله به شما کمک میکند تا فلسفه علمی پشت این انتخاب را به طور کامل درک کنید.
جهت انتخاب بین این دو درمان باید شرایط دندان آسیب دیده بررسی شود
برای پاسخ دقیق به این سوال که بیلداپ دندان بهتر است یا روکش، ابتدا باید وضعیت دندانی را که نیازمند بازسازی است، به درستی درک کنیم. یک دندان که دچار آسیب گسترده شده (به خصوص پس از درمان ریشه) با چندین چالش همزمان روبرو است:
1. از دست رفتن حجم قابل توجهی از ساختار
بخش بزرگی از تاج دندان (قسمتی که در دهان دیده میشود) به دلیل پوسیدگی، شکستگی قبلی یا فرآیند دسترسی به کانالهای ریشه در حین عصبکشی، از بین رفته است.
2. افزایش شکنندگی پس از درمان ریشه

دندانی که درمان ریشه شده، منبع تغذیه و آبرسانی داخلی خود (یعنی عروق خونی و اعصاب موجود در پالپ) را از دست میدهد. این امر به مرور زمان باعث میشود دندان رطوبت خود را از دست داده و خشکتر و شکنندهتر از یک دندان زنده شود.
3. کاهش مقاومت در برابر نیروهای جویدن
دیوارههای باقیمانده دندان، به خصوص اگر نازک باشند، دیگر (به تنهایی) قادر به تحمل نیروهای شدید جویدن نیستند. این دیوارهها مانند ستونهای ضعیفشده یک ساختمان، در معرض خطر شکستگی قرار دارند. شکستگیهایی که ممکن است تا زیر لثه و روی ریشه امتداد یافته و منجر به غیرقابل نگهداری شدن کل دندان شوند.
بنابراین…
هدف اصلی از بازسازی، نه تنها پر کردن یک حفره، بلکه تقویت استراتژیک ساختار باقیمانده و محافظت از آن در برابر شکست است. این هدف، راهنمای ما در پاسخ به این پرسش است که بیلداپ دندان بهتر است یا روکش؟
بهترین دندان، دندان طبیعی خود شماست!
رویکرد ما در مجموعه دندانپزشکی آرتمان درمان انجام درمان به صورت محافظه کارانه و با حفظ حداکثری نسج دندان طبیعی است. اگر به دنبال درمانی اصولی، طبیعی ومحافظه کارانه هستید، با همین نگاه میزبان شما در آرتمان درمان هستیم.
02166003625 09021216575بیلداپ دندان به عنوان رویکرد اول و انتخاب محافظهکارانه مطرح است
بیلداپ دندان، که به آن “بازسازی تاج” نیز گفته میشود، یک روش درمانی است که در آن، ساختار از دست رفته تاج دندان با استفاده از مواد ترمیمی مدرن، معمولاً (کامپوزیتهای دندانی با استحکام بالا)، بازسازی میشود. در رویکردهای دندانپزشکی که بر پایه اصول محافظهکارانه بنا شده، این روش همیشه به عنوان انتخاب اول در نظر گرفته میشود. فلسفه این است که چرا باید بافت سالمی را که میتوان نگه داشت، تراش داد؟

چه زمانی بیلداپ دندان یک انتخاب ایدهآل و کافی است؟
تصمیمگیری در مورد اینکه بیلداپ دندان بهتر است یا روکش، کاملاً به یک ارزیابی دقیق از میزان ساختار سالم باقیمانده دندان بستگی دارد. در همین راستا بیلداپ زمانی بهترین و کافیترین گزینه است که:
- حداقل ۵۰٪ از ساختار تاج سالم دندان، پس از حذف تمام پوسیدگیها و بخشهای ضعیف، باقی مانده باشد.
- دیوارههای دندان ارتفاع و ضخامت کافی داشته باشند. به طور خاص، باید حداقل ۲ میلیمتر از ارتفاع دیوارههای سالم در تمام جهات بالای لثه وجود داشته باشد. این دیوارههای باقیمانده مانند یک حلقه یا فرول فلزی (Ferrule Effect) عمل کرده و ماده بیلداپ را در آغوش گرفته و از آن حمایت میکنند. این اثر، کلید موفقیت بلندمدت بازسازی است.
- دندان در معرض نیروهای جویدن بسیار شدید و مخرب قرار نداشته باشد (مثلاً دندانهای پیشین یا پرمولرهای کوچک در شرایط بحرانی).
چرا بیلداپ رویکرد ارجح در دندانپزشکی محافظه کارانه است؟
- حامی حفظ حداکثری بافت سالم دندان است: این بزرگترین و مهمترین مزیت بیلداپ و پاسخی روشن به این سوال است که چرا در بسیاری از موارد بیلداپ دندان بهتر است از روکش. در این روش، ما تنها بخشهای پوسیده یا ضعیف را حذف کرده و تمام ساختار سالم و ارزشمند باقیمانده دندان را دستنخورده باقی میگذاریم.
- فقط در یک جلسه درمانی قابل انجام است: در بسیاری از موارد، کل فرآیند بیلداپ میتواند در یک جلسه تکمیل شود که از نظر زمان برای بیمار بسیار بهینه است.
- قابلیت ترمیم دارد: اگر در آینده بخش کوچکی از بیلداپ دچار پریدگی شود، به راحتی قابل تعمیر است، در حالی که روکش آسیبدیده باید به طور کامل تعویض شود.
به نقل از Clinical Oral Investigations
Endodontically treated teeth can be successfully directly restored with composite build-ups even when no additional post is inserted.
دندانهای درمانشده ریشه حتی بدون قرار دادن پست اضافی را میتوان با بیلداپ کامپوزیتی بهطور موفقیتآمیز بازسازی کرد.
جدول مقایسه بیلداپ و روکش
| موضوع ⚡ | بیلداپ دندان 🧩 | روکش دندان 👑 |
| میزان تراش دندان | حداقل | زیاد |
| زمان درمان ⏱️ | یک جلسه | چند جلسه |
| حفظ بافت سالم 🦷 | بسیار زیاد | متوسط |
| استحکام نهایی 💪 | مناسب در شرایط خاص | بسیار بالا |
| هزینه 💵 | کم تا متوسط | بیشتر |
| امکان ترمیم در آینده 🔧 | دارد | معمولاً ندارد (تعویض کامل) |
| مناسب برای دندانهای… | نیمهتخریبشده | بهشدت تخریبشده |
روکش دندان به عنوان راهکار نهایی برای دندانهای به شدت تخریب شده شناخته میشود
روکش دندان (Crown)، یک کلاهک کامل است که مانند یک کلاه ایمنی، تمام سطح خارجی تاج دندان را از همه جهات در بر گرفته و آن را در برابر نیروهای جویدن محافظت میکند. این یک راه حل بسیار مؤثر و بادوام است، اما به دلیل ماهیت تهاجمیترش، در فلسفه دندانپزشکی محافظهکارانه به عنوان آخرین راه حل ترمیم در نظر گرفته میشود.

چه زمانی روکش یک درمان ضروری و اجتنابناپذیر است؟
زمانی که ساختار باقیمانده دندان به قدری ضعیف است که درمانهای محافظهکارانه واقعا نمیتوانند از آن محافظت کنند، دیگر سوال بیلداپ دندان بهتر است یا روکش محلی از اعراب ندارد و روکش به یک ضرورت تبدیل میشود. ما تنها زمانی به سراغ روکش میرویم که مطمئن باشیم دندان بدون پوشش کامل، در معرض خطر بالای شکستگی قرار دارد. این شرایط عبارتند از:
- بیش از ۵۰ تا ۶۰ درصد از ساختار تاج از بین رفته و دندان شکننده باشد.
- یک یا چند دیواره اصلی دندان (به خصوص دیوارههای کناری) از بین رفته باشند.
- دیوارههای باقیمانده بسیار نازک و بدون حمایت باشند.
- وجود ترکهای متعدد در ساختار دندان که از سطح جونده شروع شدهاند.
چرا روکش دندان درمانی تهاجمیتر است؟
برای قرار دادن روکش، دندانپزشک باید دندان را از تمام جهات (معمولاً ۱.۵ تا ۲ میلیمتر) تراش دهد تا فضایی برای قرارگیری کلاهک روکش ایجاد شود. این به معنای حذف حجم قابل توجهی از ساختار دندان است، حتی اگر آن بخشها کاملاً سالم باشند. به همین دلیل، ما تا حد امکان از این اقدام پرهیز میکنیم، مگر اینکه برای بقای دندان ضروری باشد. اینجاست که درک دقیق شرایط، به ما در پاسخ به این سوال که بیلداپ دندان بهتر است یا روکش کمک میکند.

رویکرد درمانی مجموعه آرتمان درمان چگونه است؟
در مجموعه ما، پاسخ به سوال “بیلداپ دندان بهتر است یا روکش؟” همواره با تکیه بر فلسفه دندانپزشکی حداقل تهاجمی (Minimally Invasive Dentistry) داده میشود. اولویت مطلق و غیرقابل مذاکره ما، حفظ هر میلیمتر از ساختار ارزشمند و سالم دندان شماست. بنابراین برای پاسخ به این سوال مراحل زیر را طی میکنیم:
ارزیابی دقیق وضعیت دندانِ درمان ریشه شده (یا آسیب دیده)
اولین قدم، یک ارزیابی بالینی و رادیوگرافیک دقیق برای سنجش کمی و کیفی بافت سالم باقیمانده (پس از حذف کامل پوسیدگی) است. این ارزیابی، مبنای تصمیمگیری نهایی ماست.
اولویت قطعی با بیلداپ
تا زمانی که حداقل شرایط علمی و بیومکانیکی لازم برای یک بیلداپ موفق وجود داشته باشد، بیلداپ دندان انتخاب اول (آخر و قطعی) ماست. ما معتقدیم که هیچ مادهای، هرچقدر هم پیشرفته، نمیتواند جایگزین ساختار طبیعی و سالم دندان شود.
روکش به عنوان آخرین راه حل
ما تنها زمانی روکش را پیشنهاد میدهیم که تمام شواهد بالینی نشان دهد که دندان بدون پوشش کامل، در معرض خطر بالای شکستگی قرار دارد و سایر روش های محافظهکارانه به تنهایی جواب نمیدهند.

👋 برای کسب اطلاعات بیشتر درباره روشهای ترمیم دندان، مطالعه سایر مقالات وبسایت آرتمان درمان پیشنهاد میشود
پست و کور دندان چیست و چه زمانی انجام می شود؟
همه چیز درباره پر کردن یا ترمیم دندان + و شرح مراحل انجام آن
توضیح اینله و انله به زبان ساده + شرح مراحل
آشنایی با مهم ترین ترمیم های بعد از درمان ریشه دندان
بیلداپ کامپوزیت؛ راهی برای بازسازی ساختار و عملکرد دندان های آسیب دیده
انتخاب درمان بر اساس میزان تخریب دندان
| میزان آسیب 🩹 | بهترین انتخاب درمان 🧠 | توضیح کوتاه 📝 |
| آسیب خفیف | ترمیم ساده | نیازی به تقویت زیاد نیست |
| آسیب متوسط | بیلداپ 🧩 | بافت کافی برای حمایت وجود دارد |
| آسیب شدید | روکش 👑 | برای جلوگیری از شکست دندان ضروری است |
| آسیب بسیار شدید | پست + روکش 🛠️ | بدون تقویت ریشه، روکش دوام ندارد |
✅به عنوان جمع بندی: بهترین درمان، محافظهکارانهترین درمان است
در نهایت، در جدال بیلداپ دندان بهتر است یا روکش، هیچ برنده مطلقی وجود ندارد. هر کدام از این درمانها، ابزاری ارزشمند در دستان دندانپزشک هستند و در جایگاه صحیح خود، بهترین عملکرد را دارند.
با این حال، فلسفه پشت انتخاب، چیزی است که تفاوت را رقم میزند. بیلداپ دندان نماینده یک رویکرد مدرن و محافظهکارانه است که به سلامت بافت طبیعی اولویت میدهد. روکش، یک راه حل کلاسیک و بسیار مؤثر است که باید به عنوان آخرین سنگر برای نجات دندانهای به شدت آسیبدیده به کار گرفته شود. حتما میبایست از نزدیک توسط یک متخصص ترمیمی و زیبایی ویزیت شوید تا بهترین نوع درمان بر اساس شرایط موجود برایتان انتخاب شود. اگر به دنبال مرکزی هستید که در تمام مراحل درمان — از نخستین جلسه مشاوره تا پایان مسیر — بر این اصول دندانپزشکی محافظه کارانه تکیه داشته باشد، در آرتمان درمان آمادهایم با همین نگاه از شما میزبانی کنیم.
❓پرسش و پاسخ های کوتاه پیرامون سوال اصلی (بیلداپ دندان بهتر است یا روکش)
استحکام آنها قابل مقایسه نیست. روکش ذاتاً ساختار محکمتری است. اما سوال این نیست که کدام محکمتر است، سوال این است که آیا دندان شما به آن استحکام اضافی نیاز دارد یا میتوان با روش محافظهکارانهتر بیلداپ، به یک نتیجه پایدار دست یافت.
لزوماً خیر. اگر بیلداپ به درستی انجام شود و بیمار بهداشت خوبی داشته باشد و از دندان به درستی استفاده کند، میتواند برای سالهای بسیار طولانی پایدار بماند.
طول عمر یک بیلداپ دندان کامپوزیتی با کیفیت، بسیار خوب است. ماندگاری آن برای برخی از مراجعان آرتمان درمان بعضا به بالای 10 سال هم رسیده است. البته بعد از انجام اصولی درمان، همه چیز مشروط به رعایت اصول مراقبتی است.
دریافت مشاوره و نوبت آنلاین
فیلد های "*" اجباری هستند
مقالات مرتبط
بررسی جدیدترین روش های ترمیم دندان (با تمرکز بر بیلداپ)
در سال های اخیر، دندانپزشکی ترمیمی و زیبایی شاهد تغییراتی
هرچیزی که باید درباره پروتز دندان پارسیل بدانید (دندان مصنوعی تکه ای)
از دست دادن دندانها میتواند بهطور قابلتوجهی بر اعتمادبهنفس، توانایی
آفت دهان چیست و چگونه با این 9 روش درمان می شود؟
آفت دهان که به عنوان (aphthous ulcers) نیز شناخته می