تصویر عصب کشی دندان

بررسی درمان ریشه دندان؛ راهی برای حفظ دندان آسیب دیده اما ارزشمند شما

به‌ عنوان یک دندانپزشک متخصص عصب‌کشی یا اندودنتیست، همواره با بیمارانی مواجه می‌شوم که نگرانی‌های زیادی درباره درمان ریشه یا همان عصب‌ک...

ادامه مطلب

دندانپزشک متخصص ترمیمی و زیبایی دندان

4 دلیل که چرا باید به یک متخصص ترمیمی و زیبایی دندان مراجعه کنیم

بیشتر افراد به طور معمول تنها با دندانپزشکان عمومی آشنا هستند. برخی نیز با متخصصان دندانپزشکی مانند متخصص درمان ریشه، پریودنتیست‌ها، مت...

ادامه مطلب

کامپوزیت یا لمینت؟ مقایسه کامل با بررسی مزایا و معایب

کامپوزیت یا لمینت؟ مقایسه کامل با بررسی مزایا و معایب

اگر شما هم جزو افرادی هستید که به زیبایی لبخندتان اهمیت می‌دهید و به فکر اصلاح رنگ، فرم یا فاصله دندان افتاده‌اید، حتما با این سوال مهم...

ادامه مطلب

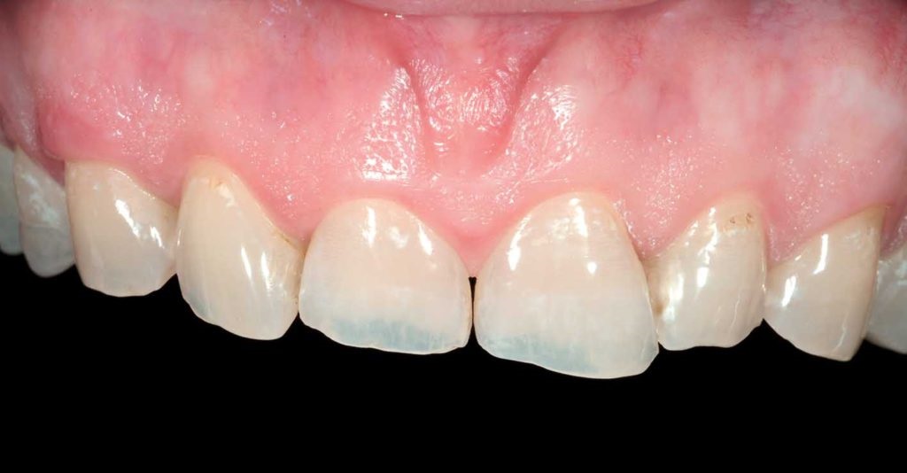
تصویر لمینت دندان روی لثه تحلیل رفته

آیا کامپوزیت یا لمینت برای دندان های دارای تحلیل لثه مجاز است؟

وقتی تحلیل لثه (Gingival Recession) اتفاق می افتد، بخشی از ریشه دندان نمایان می شود. این اتفاق باعث می شود دندان ها بلندتر از حالت طبیع...

ادامه مطلب