تفاوت بلیچینگ و جرمگیری دندان در چیست؟
- تـاریـخ:
- دسته بندی: مقالات, مقالات بلیچینگ دندان
- نوشته شده توسط آرتمان درمان
- بدون نظر کاربران
فهرست عناوین این نوشتار
داشتن لبخندی زیبا و دندانهایی سفید و سالم از مهمترین عوامل در افزایش اعتمادبهنفس و جذابیت ظاهری است. در این میان، دو روش پرکاربرد برای بهبود ظاهر دندانها، یعنی بلیچینگ و جرمگیری، اغلب با یکدیگر اشتباه گرفته میشوند. در حالی که هر دو فرآیند به بهداشت و زیبایی دندانها کمک میکنند. اما، تفاوتهای اساسی در هدف، روش اجرا و نتیجه نهایی آنها وجود دارد. در این مقاله به بررسی دقیق تفاوت بلیچینگ و جرم گیری دندان میپردازیم تا افراد بتوانند با آگاهی بیشتری روش مناسب را برای سلامت و زیبایی لبخند خود انتخاب کنند.
بلیچینگ دندان چیست؟
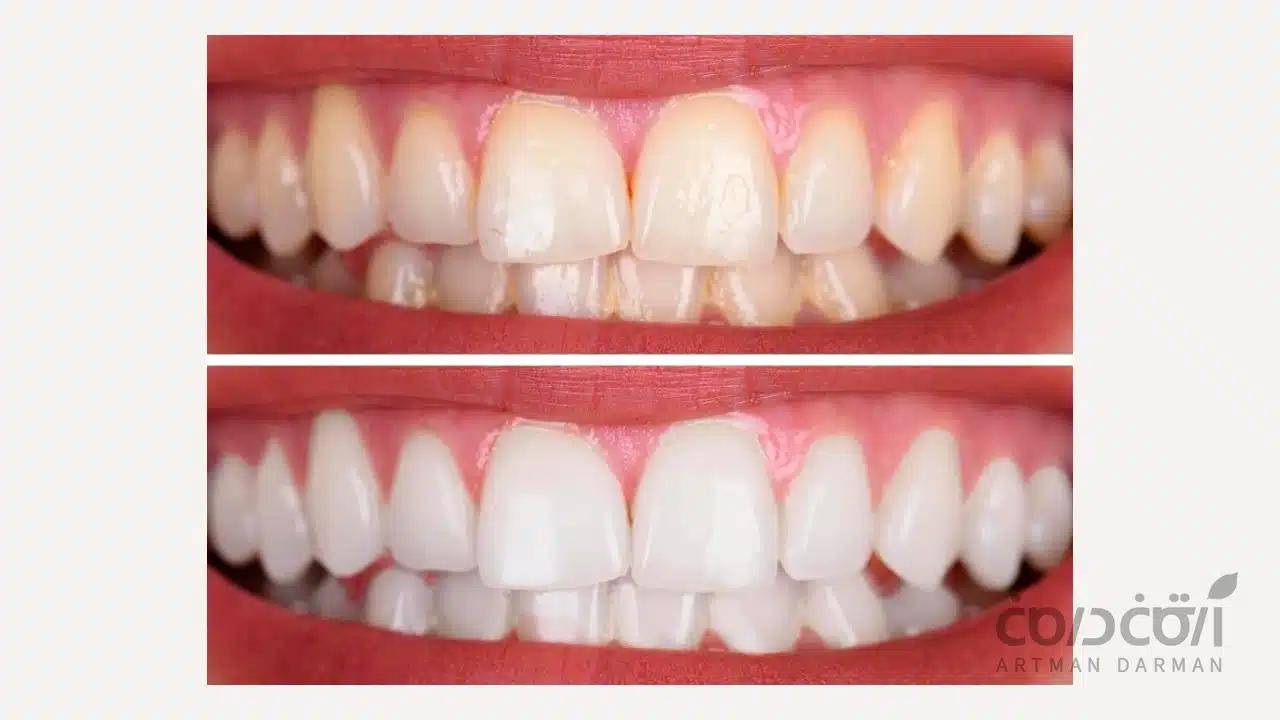
بلیچینگ دندان، یکی از روشهای رایج برای سفید کردن دندانها است که در آن با استفاده از مواد شیمیایی مخصوص، رنگ طبیعی دندانها چند درجه روشنتر میشود. این فرآیند بیشتر برای افرادی کاربرد دارد که دندانهای آنها به مرور زمان بر اثر مصرف چای، قهوه، دخانیات یا عوامل ژنتیکی تغییر رنگ داده است. بلیچینگ معمولا در مطب دندانپزشک انجام میشود، اما برخی افراد از کیتهای خانگی هم استفاده میکنند. البته استفاده از روشهای خانگی همیشه نیازمند مشورت با پزشک است تا آسیبی به مینای دندان وارد نشود.
جرمگیری دندان چیست و چگونه انجام میشود؟
جرمگیری دندان، به فرآیندی گفته میشود که در آن پلاکها و جرمهای سختشدهای که روی دندانها و در امتداد خط لثه تجمع یافتهاند، با ابزارهای مخصوص برداشته میشوند. این جرمها معمولا با مسواک زدن معمولی از بین نمیروند و اگر درمان نشوند، ممکن است التهاب لثه، خونریزی یا حتی بیماریهای جدیتر دهان و دندان به وجود آید.
دندانپزشک در طول جرمگیری از دستگاههای اولتراسونیک یا دستی برای تمیز کردن دقیق استفاده میکند. این روش باعث بازگشت سلامت لثه و دندانها میشود و احساس تمیزی و طراوت خاصی به دهان میبخشد. حال که میدانیم تفاوت بلیچینگ و جرمگیری دندان در چه زمینههایی است، در این بخش به بررسی این موضوع از جوانب مختلف میپردازیم.

تفاوت بلیچینگ و جرمگیری دندان از نظر هدف
هرچند بلیچینگ و جرمگیری هر دو به بهبود ظاهر دندانها کمک میکنند، اما اهداف متفاوتی دارند. هدف اصلی جرمگیری، پاکسازی دندانها از جرمها و پلاکهایی است که به سلامت دهان آسیب میزنند. در واقع، این روش بیشتر جنبه درمانی دارد. در مقابل، بلیچینگ یک روش زیبایی است که تمرکز آن بر روشنتر کردن رنگ دندانها است، حتی اگر دندانها از نظر بهداشت در وضعیت خوبی باشند. بنابراین، جرمگیری سلامت را هدف میگیرد، در حالی که بلیچینگ زیبایی را تقویت میکند.
به نقل از makeO
“It is best to do a scaling before whitening to ensure that your teeth are free of plaque and tartar before whitening. Scaling also ensures that your gums and teeth are healthy so that you can do a whitening procedure in a worry-free manner.”
«بهتر است قبل از بلیچینگ، جرمگیری انجام شود تا اطمینان حاصل شود که دندانهایتان از پلاک و تارتار پاک هستند. جرمگیری همچنین اطمینان میدهد که لثهها و دندانهایتان سالم هستند تا بتوانید فرایند بلیچینگ را بدون نگرانی انجام دهید.»
مقایسه روش انجام بلیچینگ و جرمگیری
حتما از خودتان میپرسید که یکی از انواع تفاوت بلیچینگ و جرم گیری دندان، در روش انجام آن است. باید بگوییم که بله. در بلیچینگ، دندانپزشک ابتدا لثهها را با محافظ میپوشاند. سپس ماده سفیدکننده مخصوص (معمولاً حاوی پراکسید هیدروژن) را روی دندانها قرار میدهد و با تاباندن نور مخصوص، فرآیند فعالسازی مواد را آغاز میکند. این کار ممکن است در یک یا چند جلسه انجام شود.
اما در جرمگیری، دندانپزشک با استفاده از ابزارهای مکانیکی یا اولتراسونیک، رسوبات سختشده را از سطح دندانها پاک میکند. در صورت نیاز، مرحله صیقل دادن (پولیش) نیز انجام میشود تا سطح دندان صاف و براق شود. بهطور خلاصه، بلیچینگ بیشتر شامل استفاده از مواد شیمیایی است و جرمگیری شامل کار مکانیکی و فیزیکی روی دندانها.
| ویژگیها | بلیچینگ دندان | جرمگیری دندان |
| هدف اصلی | سفید کردن دندانها برای زیبایی بیشتر | حذف جرم، پلاک و باکتریها برای حفظ سلامت دهان |
| مواد مورد استفاده | مواد شیمیایی مانند پراکسید هیدروژن | ابزار مکانیکی یا دستگاه اولتراسونیک |
| نحوه انجام | استفاده از ژل سفیدکننده و نور مخصوص | تراشیدن جرم با ابزار و پاکسازی سطح دندانها |
| محافظت از لثه | استفاده از پوشش یا ژل محافظ برای لثه | معمولاً نیازی به محافظت خاص ندارد |
| مدت زمان هر جلسه | حدود ۴۵ تا ۹۰ دقیقه | حدود ۳۰ تا ۶۰ دقیقه |
| تعداد جلسات مورد نیاز | ۱ تا ۳ جلسه (بسته به شدت تیرگی) | معمولاً یک جلسه؛ در برخی موارد دو جلسه |
| احساس بعد از انجام | دندانها ممکن است کمی حساس شوند | لثهها ممکن است کمی تحریک یا خونریزی داشته باشند |
| نتیجه نهایی | سفید شدن دندانها تا چند درجه | دندانهای تمیزتر، کاهش التهاب و بوی بد دهان |
| نوع کاربرد | زیباییشناختی | درمانی و پیشگیرانه |
چه زمانی به بلیچینگ نیاز داریم؟
بلیچینگ معمولا زمانی توصیه میشود که دندانها از نظر سلامت در وضعیت خوبی قرار دارند. اما، رنگ آنها به دلایل مختلف مثل مصرف مداوم نوشیدنیهای رنگی، سیگار یا افزایش سن، تیره شده است. اگر فردی از رنگ دندانهای خود ناراضی باشد و بخواهد لبخند درخشانتری داشته باشد، بلیچینگ میتواند گزینه بسیار خوبی باشد. البته پیش از انجام بلیچینگ، بررسی وضعیت لثه و دندان توسط دندانپزشک ضروری است تا اطمینان حاصل شود که مانعی برای انجام این روش وجود ندارد.
مزایای بلیچینگ دندان
- سفیدی طبیعی دندانها: روشنتر شدن رنگ دندانها بدون آسیب به مینای سالم.
- افزایش اعتمادبهنفس: لبخندی درخشانتر باعث جذابیت و حس بهتر فردی میشود.
- روش سریع و مؤثر: در چند جلسه کوتاه، تغییر رنگ قابل توجهی ایجاد میشود.
- بهبود ظاهر لبخند: دندانهایی با رنگ یکنواخت و درخشانتر باعث جذابیت بیشتر لبخند میشوند.
بلیچینگ دندان برای چه کسانی مناسب نیست؟
بلیچینگ دندان برای همه مناسب نیست و برخی افراد بهتر است قبل از اقدام به سفید کردن دندانها، با دندانپزشک مشورت کنند. افرادی که دندانهای بسیار حساس یا مشکلاتی مانند التهاب یا خونریزی لثه دارند، ممکن است با انجام بلیچینگ دچار درد یا تحریک بیشتر شوند. همچنین بلیچینگ برای زنان باردار یا شیرده توصیه نمیشود. کسانی که ترمیمهای گسترده دندان مانند پرکردگیها، لمینت یا روکش دارند نیز باید توجه داشته باشند که بلیچینگ رنگ دندانهای طبیعی را روشن میکند اما روی مواد ترمیمی تأثیری ندارد و ممکن است تفاوت رنگ ایجاد شود.
چه زمانی جرمگیری توصیه میشود؟

جرمگیری معمولا زمانی توصیه میشود که نشانههایی از تجمع پلاک و جرم روی دندانها دیده شود. این نشانهها میتوانند شامل بوی بد دهان، التهاب یا خونریزی لثه، یا احساس زبری روی سطح دندان باشند. همچنین، حتی اگر هیچکدام از این علائم وجود نداشته باشد، بهتر است افراد هر ۶ ماه تا یک سال برای چکاپ و در صورت نیاز جرمگیری به دندانپزشک مراجعه کنند.
مزایای جرمگیری دندان
- حذف پلاک و جرمها: پاکسازی رسوبات سختشده که با مسواک معمولی از بین نمیروند.
- پیشگیری از بیماریهای لثه: کاهش التهاب، خونریزی و بوی بد دهان.
- حفظ سلامت دندانها: کمک به جلوگیری از پوسیدگی و مشکلات دندانی طولانیمدت.
- احساس تمیزی و طراوت: دهان و دندانها بعد از جرمگیری حس تازه و تمیز پیدا میکنند.
بهترین دندان، دندان طبیعی خود شماست!
رویکرد ما در مجموعه دندانپزشکی آرتمان درمان انجام درمان به صورت محافظه کارانه و با حفظ حداکثری نسج دندان طبیعی است. اگر به دنبال درمانی اصولی، طبیعی ومحافظه کارانه هستید، با همین نگاه میزبان شما در آرتمان درمان هستیم.
02166003625 09021216575ماندگاری نتایج بلیچینگ و جرمگیری چقدر است؟
یکی از انواع سوالات شما عزیزان مربوط به تفاوت بلیچینگ و جرم گیری دندان، در بخش ماندگاری این دو روش است. نتایج جرمگیری معمولا طولانیمدت هستند، به شرط آنکه فرد بهداشت دهان را بهخوبی رعایت کند. البته، با گذشت زمان ممکن است دوباره مقداری پلاک روی دندانها تشکیل شود که با مراجعه منظم به دندانپزشک قابل کنترل است. در مقابل، ماندگاری بلیچینگ به سبک زندگی فرد بستگی دارد.
اگر پس از بلیچینگ مصرف نوشیدنیهای رنگی، دخانیات یا غذاهای رنگدار محدود شود، سفیدی دندانها ممکن است چندین ماه تا چند سال باقی بماند. گاهی هم نیاز است هر سال یا چند سال یکبار، برای حفظ نتیجه، بلیچینگ تکرار شود.
چطور میتوان از ایجاد جرم و لکه دندان جلوگیری کرد؟

برای حفظ سلامت و زیبایی دندانها و پیشگیری از ایجاد جرم و لکه، رعایت برخی نکات ساده، ضروری است. مسواک زدن منظم حداقل دو بار در روز و استفاده از نخ دندان برای پاکسازی پلاکهای بین دندانی اولین قدم است. کاهش مصرف نوشیدنیها و غذاهای رنگی مانند قهوه، چای و نوشابههای رنگی و همچنین ترک یا کاهش مصرف دخانیات، میتواند جلوی تغییر رنگ دندانها را بگیرد. مراجعه منظم به دندانپزشک هر ۶ ماه تا یک سال برای چکاپ و جرمگیری پیشگیرانه نیز نقش مهمی در حفظ سلامت لثهها و دندانها دارد. علاوه بر این، استفاده از دهانشویههای حاوی فلوراید و رعایت رژیم غذایی سالم، دندانها را تقویت کرده و از تشکیل جرم و لکه جلوگیری میکند.
آیا بلیچینگ و جرمگیری عوارضی دارند؟ برای انجام آنها به کجا مراجعه کنیم؟
در حالت کلی، هر دو روش اگر توسط دندانپزشک متخصص انجام شوند، بیخطر هستند.مجموعه دندانپزشکی آرتمان درمان یکی از مراکز معتبر و تخصصی در حوزه سلامت و زیبایی دهان و دندان است که با بهرهگیری از تجهیزات مدرن و تیمی حرفهای، خدمات متنوعی از جمله جرمگیری و بلیچینگ دندان را به مراجعهکنندگان ارائه میدهد.
در این کلینیک، جرمگیری با دقت بالا و با استفاده از دستگاههای اولتراسونیک انجام میشود تا بدون آسیب به مینای دندان، پلاکها و رسوبات بهطور کامل حذف شوند. همچنین، خدمات بلیچینگ با استفاده از مواد باکیفیت و ایمن، زیر نظر دندانپزشکان مجرب انجام میشود و نتایجی طبیعی و ماندگار را برای بیماران به ارمغان میآورد.
فضای آرام و بهداشتی این مجموعه، تجربهای دلپذیر و اطمینانبخش را برای هر مراجعهکننده فراهم میکند. اگر به دنبال لبخندی سالم و درخشان هستید، آرتمان درمان میتواند انتخابی حرفهای و مطمئن برای شما باشد.

👋 برای آگاهی بیشتر از روند درمان بلیچینگ دندان، مطالعه سایر مقالات وبسایت آرتمان درمان توصیه میشود.
بلیچینگ دندان چقدر دوام دارد و چطور نتایج آن را طولانی تر کنیم؟
با مهم ترین مراقبت های بعد از بلیچینگ دندان آشنا شوید
همه چیز درباره بلیچینگ دندان با لیزر دیود (Diode laser)
✅نتیجه گیری
در نهایت، دانستن تفاوت بلیچینگ و جرم گیری دندان به شما کمک میکند تصمیم درستی برای سلامت و زیبایی دندانهای خود بگیرید. جرمگیری بیشتر یک روش درمانی برای پاکسازی دندانها و حفظ سلامت لثه است. در حالی که، بلیچینگ یک انتخاب زیبایی برای روشنتر شدن رنگ دندانها بهشمار میرود. هر دو روش در جای خود مفید هستند و حتی میتوانند مکمل یکدیگر باشند. با مراجعه منظم به دندانپزشک و رعایت بهداشت دهان، میتوان از هر دو روش بهرهمند شد و از لبخندی سالم، زیبا و باطراوت لذت برد.
❓سوالات رایج درباره بلیچینگ و جرمگیری دندان
خیر، بلیچینگ زمانی مناسب است که دندانها سالم باشند و تنها رنگ آنها تغییر کرده باشد. قبل از انجام بلیچینگ، بهتر است وضعیت لثه و سلامت دندانها توسط دندانپزشک بررسی شود.
معمولاً هر ۶ ماه تا یک سال، یا در صورت مشاهده بوی بد دهان، التهاب یا خونریزی لثه.
بله، ممکن است دندانها کمی حساس شوند که این حالت معمولاً موقتی است و با مراقبتهای پس از بلیچینگ کاهش مییابد.
بله، این دو روش میتوانند مکمل یکدیگر باشند. معمولاً ابتدا جرمگیری انجام میشود و سپس بلیچینگ برای نتیجه بهتر توصیه میشود.
استفاده از کیتهای خانگی ممکن است، اما باید تحت نظر دندانپزشک باشد تا به مینای دندان آسیبی وارد نشود.
در صورتی که بلیچینگ توسط دندانپزشک انجام شود و دندانها سالم باشند، هیچ آسیبی به مینای دندان وارد نمیشود.
خیر، اگر توسط متخصص انجام شود، جرمگیری به حفظ سلامت لثه کمک میکند و باعث آسیب نمیشود.
افرادی با دندانهای بسیار حساس، مشکلات لثهای فعال، زنان باردار یا شیرده و کسانی که ترمیمهای گسترده دندان دارند، بهتر است قبل از بلیچینگ با دندانپزشک مشورت کنند.
دریافت مشاوره و نوبت آنلاین
فیلد های "*" اجباری هستند
مقالات مرتبط
میزان ماندگاری و طول عمر لمینت دندان چقدر است؟
لمینت ها یک درمان دندانپزشکی محبوب برای بهبود ظاهر دندان
همه چیز درباره بستن فاصله بین دندان ها در دندانپزشکی
فاصله بین دندان ها که در اصطلاح دندانپزشکی به آن
بیلداپ دندان چیست؟ (بررسی جامع و ساده این درمان محافظه کارانه)
زمانی که دندان به شدت آسیب دیده یا به ویژه