بررسی جامع روش های جایگزینی دو دندان با ایمپلنت
- تـاریـخ:
- دسته بندی: مقالات, مقالات ایمپلنت دندان
- نوشته شده توسط آرتمان درمان
- بدون نظر کاربران
فهرست عناوین این نوشتار
از دست دادن دو دندان مجاور، یک چالش بالینی قابل توجه است که تأثیر مستقیمی بر عملکرد جویدن، زیبایی لبخند و سلامت کلی دهان دارد. در چنین شرایطی، جایگزینی دو دندان با ایمپلنت به عنوان مدرن ترین و پایدارترین راه حل مطرح می شود. با این حال، نحوه اجرای این درمان، ملاحظات بیومکانیکی و پروتکلی پیچیده ای دارد.
برخی رویکردها که ممکن است در نگاه اول اقتصادی یا ساده تر به نظر برسند، می توانند در بلندمدت منجر به شکست های فاجعه بار شوند. این مقاله یک تحلیل جامع در خصوص اصول صحیح جایگزینی دو دندان با ایمپلنت را مورد بحث قرار می دهد.
چالش اصلی در جایگزینی دو دندان با ایمپلنت درک اصول بیومکانیک است
قبل از بررسی راهکارهای درمانی، باید یک حقیقت بنیادین را درک کنیم:
- دهان ما یک سیستم بیومکانیکی فوق العاده پیچیده و قدرتمند است.
- عضلات جونده قادرند نیروهای بسیار شدیدی را تولید کنند.
- هر دندان طبیعی با داشتن ریشه و لیگامان پریودنتال، و هر ایمپلنت با طراحی مهندسی شده خود، برای تحمل و توزیع صحیح این نیروها در استخوان فک تکامل یافته یا طراحی شده است.

موفقیت هرگونه درمان برای جایگزینی دو دندان با ایمپلنت، در گرو احترام کامل به این اصول بیومکانیک است. نادیده گرفتن این اصول، صرف نظر از کیفیت مواد یا مهارت جراح، به شکست قطعی منجر خواهد شد.
یک تصور اشتباه و خطرناک در جایگزینی دو دندان با ایمپلنت وجود دارد
در مواجهه با نیاز به جایگزینی دو دندان با ایمپلنت، یک سوال رایج و وسوسه انگیز مطرح می شود: آیا می توان با کاشت تنها یک پایه ایمپلنت، پروتزی را روی آن قرار داد که جای خالی هر دو دندان را پر کند؟
این ایده، که اغلب با هدف کاهش هزینه ها یا تعداد جراحی ها مطرح می شود، از نظر علمی و بالینی کاملاً مردود و خطرناک است. چنین رویکردی که به آن “پروتز کانتی لِوِر” (Cantilever) می گویند، یکی از بزرگترین اشتباهات در طراحی درمان ایمپلنت است.
فاجعه بیومکانیکی کانتی لِوِر در دهان چگونه رخ میدهد؟

کانتی لِوِر در علم مهندسی سازه به تیری گفته می شود که تنها از یک سمت به تکیه گاه متصل است و سمت دیگر آن آزاد است (مانند بالکن یک ساختمان).
در سناریوی جایگزینی دو دندان با ایمپلنت واحد، ایمپلنت نقش تکیه گاه را ایفا کرده و دندان دوم که هیچ پایه ای در زیر خود ندارد، بخش آزاد یا کانتی لور است. زمانی که شما با آن دندان بدون پایه، عمل جویدن را انجام می دهید، یک فاجعه بیومکانیکی رخ می دهد:
| ریسک ⚡ | علت 🔑 | پیشگیری 🛡️ |
| شل شدن یا شکست پیچ اباتمنت | نیروی اهرمی بالا | استفاده از دو ایمپلنت مجزا |
| تحلیل استخوان | تمرکز استرس بر گردن ایمپلنت | رعایت فاصله استاندارد و بارگذاری صحیح |
| شکست ایمپلنت | فشار خمشی غیرطبیعی | طراحی اصولی بریج یا استفاده از روکش مستقل 🦷 |
| شکست کامل پروتز | کانتی لور بدون پایه کافی | انتخاب درمان استاندارد، مراجعه منظم 📅 |
ایجاد نیروی اهرمی ویرانگر
تمام نیروی وارد شده به دندان دوم، مانند یک اهرم عمل کرده و چندین برابر تشدید می شود. این نیروی تشدید یافته به طور مستقیم به اجزای کوچک و حساس سیستم، یعنی پیچ اباتمنت (پیچی که روکش را به ایمپلنت متصل می کند) و خود ایمپلنت منتقل می شود.
تمرکز استرس غیرفیزیولوژیک بر استخوان
این نیروی اهرمی، استرس فوق العاده زیادی را در ناحیه گردن ایمپلنت و استخوان اطراف آن متمرکز می کند. استخوان زنده برای تحمل نیروهای فشاری عمودی (در راستای طول ایمپلنت) طراحی شدهاست، نه نیروهای خمشی، کششی و برشی که توسط یک اهرم ایجاد می شوند.
بارگذاری مخرب و غیرطبیعی، به طور قابل پیش بینی به مجموعه ای از عواقب ناگوار منجر می شود …

چنین وضعیتی کل فرآیند جایگزینی دو دندان با ایمپلنت (فقط یک ایمپلنت) را با شکست مواجه می کند و مشکلات زیر را پیش خواهد آورد:
- شل شدن مکرر یا شکستن پیچ اباتمنت: این پیچ اولین قطعه ای است که تحت فشار تسلیم می شود.
- تحلیل پیش رونده استخوان: تمرکز استرس باعث مرگ سلول های استخوانی و تحلیل سریع استخوان نگهدارنده ایمپلنت می شود.
- شکستگی ایمپلنت: در موارد شدید، ممکن است خود بدنه تیتانیومی ایمپلنت نیز دچار شکستگی ناشی از خستگی فلز شود.
- شکست کامل یکپارچگی استخوانی: در نهایت، اتصال بین استخوان و ایمپلنت از بین رفته، ایمپلنت لق شده و باید از دهان خارج شود.
بنابراین، تلاش برای جایگزینی دو دندان با ایمپلنت واحد، یک راهکار کوتاه مدت است. که به بهای ایجاد یک شکست بزرگ، از دست دادن حجم قابل توجهی از استخوان و نیاز به جراحی های بازسازی پیچیده تر در آینده تمام می شود.
اگر به دنبال درمان هایی با رویکرد محافظه کارانه و کم تهاجم هستید که با کمترین آسیب به دندان، باعث حفظ حداکثری ساختار دندان طبیعی شما شود، جهت دریافت مشاوره تخصصی و طرح درمان اختصاصی شماره تماس خود را وارد فرمایید
راهکارهای علمی و استاندارد برای جایگزینی دو دندان با ایمپلنت کدامند؟
حال که روش نادرست را به طور کامل بررسی کردیم، به راهکارهای صحیح، علمی و با پیش آگهی بلندمدت می پردازیم. برای جایگزینی دو دندان با ایمپلنت، اصولاً دو گزینه استاندارد و مورد تایید وجود دارد. معمولا نیز انتخاب بین آن ها به شرایط بالینی خاص بیمار بستگی دارد. بیایید هر دو روش را در این بخش مورد بحث قرار دهیم:
راهکار اول کاشت دو ایمپلنت مجزا به عنوان استاندارد طلایی است

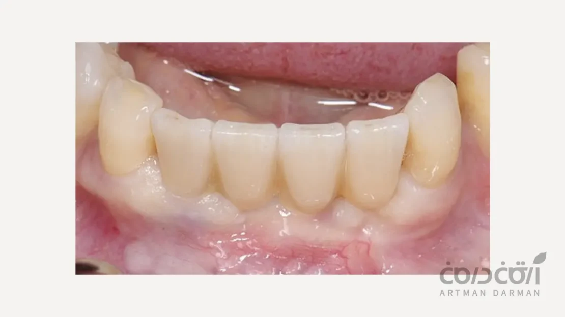
این روش، ایده آل ترین، بیولوژیک ترین و محافظه کارانه ترین راه حل برای جایگزینی دو دندان با ایمپلنت است. در این رویکرد، برای هر دندان از دست رفته، یک ایمپلنت مجزا با روکش مستقل خود کاشته می شود. این روش به دلایل زیر به عنوان استاندارد طلایی شناخته می شود:
تقلید کامل از ساختار طبیعی
این روش دقیقاً آناتومی و عملکرد طبیعی دندان ها را شبیه سازی می کند. هر دندان دارای ریشه (ایمپلنت) و تاج (روکش) مستقل خود است.
توزیع بهینه نیروها
هر ایمپلنت تنها نیروی جویدن وارد بر روکش خود را تحمل می کند و این نیرو به صورت عمودی و فیزیولوژیک به استخوان منتقل می شود. هیچ نیروی اهرمی یا استرس مخربی در کار نیست که این امر پایداری بلندمدت درمان جایگزینی دو دندان با ایمپلنت را تضمین می کند.
بهداشت پذیری بی نقص
وجود دو روکش مجزا به شما اجازه می دهد که به راحتی فضای بین آن ها را مانند دندان های طبیعی با نخ دندان تمیز کنید. سهولت در رعایت بهداشت، برای حفظ سلامت لثه و پیشگیری از بیماری پری ایمپلنتایتیس در بلندمدت حیاتی است.
بهترین نتایج زیبایی شناختی
این روش به دندانپزشک و تکنسین لابراتوار اجازه می دهد تا فرم طبیعی لثه بین دندانی (پاپیلا) را به بهترین شکل ممکن بازسازی کرده و یک نتیجه کاملاً طبیعی خلق کنند.
ماندگاری و پیش آگهی عالی
از آنجایی که تمام اصول بیومکانیک و بیولوژیک رعایت شده، این روش بالاترین میزان موفقیت و ماندگاری را در بلندمدت دارد. و طبیعی است که بهترین انتخاب برای جایگزینی دو دندان با ایمپلنت محسوب می شود.
راهکار دوم استفاده از بریج بر پایه دو ایمپلنت است
این روش درمانی معمولاً برای جایگزینی سه یا چهار دندان مجاور استفاده می شود. به عنوان مثال، برای جایگزینی سه دندان، دو ایمپلنت در ابتدا و انتهای ناحیه بی دندان کاشته می شوند. سپس یک پل سه واحدی روی آن ها قرار می گیرد. اما آیا می توان از این اصل در جایگزینی دو دندان با ایمپلنت استفاده کرد؟
پاسخ این است …
بله، اما نه به شکلی که تصور می شود. در شرایط بسیار خاصی که فاصله بین دو دندان از دست رفته بسیار کم باشد یا آناتومی استخوان به گونه ای باشد که امکان کاشت دو ایمپلنت با فاصله استاندارد وجود نداشته باشد، می توان دو ایمپلنت (اغلب با قطر کم) را نزدیک به هم کاشت. و سپس یک پروتز دوتایی یکپارچه (Splinted Crowns) روی آن ها قرار داد.

به نقل از Journal of Prosthetic Dentistry
“The use of a single-implant-supported 2-unit cantilever fixed dental prosthesis (FDP) in anterior sites is a valid treatment option compared with 2 adjacent implants, especially when the available mesiodistal space is limited.”
“استفاده از پروتز ثابت دندانی دو واحده با تکیهگاه ایمپلنت واحد در نواحی قدامی یک گزینه درمانی معتبر است که نسبت به دو ایمپلنت مجاور، بهویژه زمانی که فضای میسیودستی موجود محدود باشد، توصیه میشود.”
تفاوت کلیدی این درمان با روش کانتی لور چیست؟
در این روش، پروتز توسط دو تکیه گاه (دو ایمپلنت) پشتیبانی می شود. نیروها بین دو ایمپلنت توزیع می شوند و هیچ گونه نیروی اهرمی مخربی وجود ندارد. با این حال، این رویکرد برای جایگزینی دو دندان با ایمپلنت معمولاً انتخاب اول نیست، زیرا:
- بهداشت دشوارتر: تمیز کردن زیر این پروتز یکپارچه، سخت تر از دو روکش مجزا است و نیازمند استفاده از ابزارهای خاص مانند نخ دندان سوپرفلاس است.
- پیچیدگی فنی: ساخت و تطبیق این پروتز از نظر فنی پیچیده تر بوده و نیازمند دقت بسیار بالایی است.
به همین دلیل، حتی در شرایطی که این گزینه مطرح می شود، اگر امکان کاشت دو ایمپلنت مجزا با رعایت فواصل استاندارد وجود داشته باشد، آن روش همچنان ارجح است.
هزینه درمان در جایگزینی دو دندان با ایمپلنت به چه صورت پیش بینی می شود؟
دغدغه هزینه در تصمیم گیری های درمانی کاملاً قابل درک است. اما یک تحلیل هوشمندانه، فراتر از هزینه اولیه، به هزینه کل درمان در طول زمان (Lifetime Cost) نگاه می کند:
| شرایط بالینی 🧪 | پیشنهاد درمان 🏆 | توضیح 📌 |
| فضای کافی بین دندانها ✔️ | دو ایمپلنت مجزا | بهترین پیش آگهی، بهداشت آسان |
| فضای محدود ❌ | بریج بر پایه دو ایمپلنت یا ایمپلنت با قطر کم | قابل انجام، نیاز به دقت بالای تکنسین |
| بیمار به دنبال کاهش هزینه اولیه 💰 | تک ایمپلنت با کانتی لور | مردود در بلندمدت، خطر بالا ⚠️ |
رویکرد تک ایمپلنت (روش مردود)
این روش هزینه اولیه پایین تری دارد، اما به دلیل شکست قطعی، هزینه های آتی آن بسیار سنگین خواهد بود. این هزینه ها شامل:
- جراحی خارج کردن ایمپلنت
- جراحی وسیع پیوند استخوان برای بازسازی نقص ایجاد شده
- و سپس هزینه کاشت دو ایمپلنت جدید خواهد بود.
در واقع این یک صرفه جویی کاذب و در اصل یک تله مالی بزرگ است.
رویکرد دو ایمپلنت مجزا (روش استاندارد)
در این روش درمانی هزینه اولیه بالاتر است. اما به دلیل دوام و پایداری فوق العاده بالا، در بلندمدت یک سرمایه گذاری بسیار مقرون به صرفهتر خواهد بود. این روش شما را از هزینه های تکراری و جراحی های پیچیده در آینده مصون می دارد. و بهترین ارزش را برای سرمایه گذاری شما در جایگزینی دو دندان با ایمپلنت فراهم می کند.
نکته آخر: در مسیر درمان علمی هیچ میانبری وجود ندارد

در پایان، باید با قاطعیت تکرار کرد که جایگزینی دو دندان با ایمپلنت واحد، یک رویکرد کاملاً مردود و غیراصولی است. اصول بیومکانیک، مانند قوانین فیزیک، قابل مذاکره نیستند و تلاش برای دور زدن آن ها، همواره به شکست منجر خواهد شد.
استاندارد طلایی و بهترین راه حل برای جایگزینی دو دندان با ایمپلنت، استفاده از دو ایمپلنت مستقل با دو روکش مجزا است. این روش، با تقلید از ساختار و عملکرد طبیعت، بالاترین میزان موفقیت، دوام، بهداشت پذیری و زیبایی را برای شما به ارمغان می آورد.
👋 برای آگاهی بیشتر از روند درمان ایمپلنت دندان، مطالعه سایر مقالات وبسایت آرتمان درمان توصیه میشود.
متخصص ایمپلنت دندان کیست: چه دندانپزشکی جراحی ایمپلنت انجام میدهد؟
6 نکته در انتخاب بهترین متخصص ایمپلنت در غرب تهران
راهنمای جامع تعویض ایمپلنت دندان (بررسی دلایل تعویض + نحوه درمان)
با انواع پروتز موقت ایمپلنت بیشتر آشنا شوید (مهم ترین راه حل ها)
✅به فکر انجام درمان ایمپلنت برای جایگزینی دو دندان ازدست رفته خود هستید؟
در مجموعه آرتمان درمان، فلسفه درمانی بر پایه اصول دندانپزشکی محافظه کارانه و مبتنی بر شواهد علمی استوار است. ما هرگز برای کاهش هزینه های اولیه، سلامت بلندمدت و موفقیت درمان شما را به خطر نمی اندازیم. طرح درمان ما برای جایگزینی دو دندان با ایمپلنت همواره بر اساس راهکارهایی تدوین می شود که از نظر علمی اثبات شده و از نظر بیومکانیکی کاملاً صحیح باشند تا نتیجهای پایدار و استاندارد برای شما حاصل شود.
❓پرسش و پاسخ های کوتاه
راه حل علمی، استفاده از ایمپلنت های با قطر کم (Narrow Diameter Implants) یا در صورت لزوم، انجام ارتودنسی برای ایجاد فضای کافی است.
این پیشنهاد معمولاً ناشی از عدم آگاهی کافی از اصول بیومکانیک یا تلاش برای ارائه یک راه حل ارزان قیمت بدون در نظر گرفتن عواقب بلندمدت آن برای بیمار است.
بله، قطعاً. با اینکه بریج نیازمند تراش دندان های سالم است، اما از نظر بیومکانیکی بسیار باثبات تر از یک ایمپلنت کانتی لور است و ریسک شکست فاجعه بار آن به مراتب کمتر است.
دریافت مشاوره و نوبت آنلاین
فیلد های "*" اجباری هستند
مقالات مرتبط
بررسی جدیدترین روش های ترمیم دندان (با تمرکز بر بیلداپ)
در سال های اخیر، دندانپزشکی ترمیمی و زیبایی شاهد تغییراتی
هرچیزی که باید درباره پروتز دندان پارسیل بدانید (دندان مصنوعی تکه ای)
از دست دادن دندانها میتواند بهطور قابلتوجهی بر اعتمادبهنفس، توانایی
آفت دهان چیست و چگونه با این 9 روش درمان می شود؟
آفت دهان که به عنوان (aphthous ulcers) نیز شناخته می