بررسی ایمپلنت های دندانی اوردنچر و میزان رضایت بیماران
- تـاریـخ:
- دسته بندی: مقالات, مقالات ایمپلنت دندان
- نوشته شده توسط آرتمان درمان
- 4 نظر کاربران
فهرست عناوین این نوشتار
وقتی یک یا چند دندان از دست رفته باشد، میتوان آنها را با ایمپلنت دندان، بریج دندان و پروتز دندان مصنوعی جایگزین کرد. اما اگر تعداد زیادی (یا تمامی دندانها) از دست رفته باشد، در این وضعیت، روشهای جایگزینی دندان کمی متفاوت خواهد بود. یکی از این روشها، استفاده از ایمپلنت اوردنچر است که در ادامه به طور کامل با آن آشنا خواهید شد.
ایمپلنت اوردنچر چیست؟
پروتز کامل و پروتز پارسیل متحرک در حالت عادی روی لثهها قرار داده میشود و با وجود تمام مزایا، معایبی نیز دارد. به عنوان مثال میتواند از روی لثه بلغزد یا جابجا شود و خلاصه، آن استحکامی که باید داشته باشد را ندارد. برای برطرف کردن چنین مشکلاتی از اوردنچر استفاده میشود.

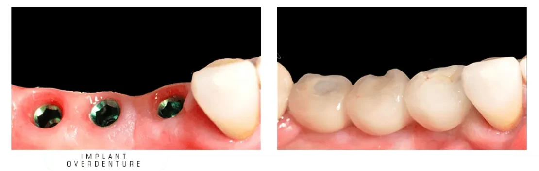
ایمپلنت اوردنچرها ترکیبی متشکل از دندان مصنوعی و ایمپلنت هستند که جایگزینی پایدارتر و مطمئنتر به جای پروتزهای سنتی هستند. بر خلاف پروتزهای معمولی که روی لثه قرار میگیرند، ایمپلنت اوردنچر با ایمپلنتهای دندانی حمایت میشود که در استخوان فک کاشته میشوند. این ایمپلنتها مانند لنگر عمل میکنند و باعث میشوند ایمپلنت اوردنچر ثابت بماند و لغزش نداشته باشد. به برخی از نمونه های اوردنچر حتی دندان مصنوعی ثابت نیز گفته میشود و این نامگذاری از آن جهت است که این پروتز به واسطه ایمپلنتها واقعاً ثابت میشود.
انواع ایمپلنتهای دندانی اوردنچر کدامند؟
بسته به روش و تکنیک کاشت ایمپلنت دندان، به طور کلی سه نوع اصلی ایمپلنت اوردنچر وجود دارد.
| نوع اوردنچر 🦷 | توضیح 📌 | ویژگی اصلی ⭐ |
| ایمپلنت نگهدارنده (Implant-Retained) | اوردنچر روی لثه قرار گرفته و به ایمپلنتها متصل میشود | قابل درآوردن توسط بیمار |
| نوار نگهدارنده (Bar-Retained) | به نوار فلزی وصل شده که روی ایمپلنتها قرار دارد | اتصالات ثابت و قابل درآوردن |
| اوردنچر ثابت روی ایمپلنت | مستقیماً به ایمپلنتها متصل است | فقط دندانپزشک میتواند بردارد؛ بیشترین شباهت به دندان طبیعی |
ایمپلنت نگهدارندها (Implant-Retained) – محافظ لثه
در این حالت اوردنچر به طور مستقیم روی لثه شما قرار گرفته و به ایمپلنتهایی که در فک بالا یا پایین قرار دارند، متصل میشود. این نوع اوردنچر قابل در آوردن است و از طریق اتصالاتِ محکم و ثابتِ موجود در دنچر، به ایمپلنت متصل میشود.

نوار نگهدارنده (Bar-Retained) – محافظ ایمپلنت
در این حالت، اوردنچر به اتصالات روی یک نوار فلزی وصل میشود که این نوار فلزی طی جراحی به ایمپلنتهای فک بالا یا پایین متصل میشود. این نوع پروتز، قابل در آوردن است و از طریق اتصالات ثابت موجود در دندان مصنوعی درون نوار فلزی محکم میشود.

اوردنچر ثابت روی ایمپلنت
در این حالت اوردنچر، مستقیما به ایمپلنتهای قرار داده شده در فک بالا یا پایین متصل میشود. این نوع، فقط توسط دندانپزشک قابل برداشتن است. این حالت بیشترین شباهت را به دندانها و لثه طبیعی دارد. زمانی که صحبت از دندان مصنوعی ثابت می شود منظور مستقیما این مدل است.

چه کسانی کاندیدای ایمپلنت اوردنچر هستند؟
اگر فردی سلامت کافی برای کشیدن دندان یا تراکم مناسب استخوان برای کاشت ایمپلنت داشته باشد، میتواند کاندید مناسبی برای ایمپلنت اوردنچر باشد.
کاندیدهای بالقوه این نوع پروتزها افرادی هستند که از عدم ثبات دندانهای مصنوعی خود ناراضیاند، همچنین افراد بیدندان با شرایط دندانی خیلی پیچیده که نمیتوانند به طور موفقیتآمیزی پروتزهای ثابت یا متحرک را در دهان نگه دارند.
تحقیقات نشان داده اند که افزایش سن یا پوکی استخوان نیز مانعی برای بهبودی یا اتصال موفقیتآمیز ایمپلنت نیست، زیرا با روش های مختلفی می توان از موفقیت آمیز بودن کاشت ایمپلنت و داشتن اوردنچر اطمینان حاصل کرد.
اگر به دنبال درمان هایی با رویکرد محافظه کارانه و کم تهاجم هستید که با کمترین آسیب به دندان، باعث حفظ حداکثری ساختار دندان طبیعی شما شود، جهت دریافت مشاوره تخصصی و طرح درمان اختصاصی شماره تماس خود را وارد فرمایید
ایمپلنت اوردنچر برای چه کسانی مناسب نیست؟
افرادی که دچار بیماریهای سیستمیک کنترلنشده مانند دیابت شدید هستند، یا مشکلات انعقادی دارند، ممکن است در روند ترمیم و جوش خوردن ایمپلنت با چالش مواجه شوند.
همچنین در مواردی که تحلیل استخوان فک بسیار شدید است و امکان پیوند استخوان یا درمانهای تکمیلی وجود ندارد، انجام اوردنچر ایمپلنتی محدودیت خواهد داشت. مصرفکنندگان سیگار، افرادی که بهداشت دهان و دندان را بهطور منظم رعایت نمیکنند و بیمارانی که مراجعات دورهای را جدی نمی گیرند نیز، کاندیدای مناسبی برای این درمان محسوب نمیشوند، زیرا موفقیت بلندمدت ایمپلنت اوردنچر وابستگی زیادی به همکاری بیمار و مراقبت مداوم دارد.
مزایای ایمپلنت اوردنچر چیست؟
استفاده از ایمپلنت اوردنچر فواید زیادی دارد که به همین دلیل آنها را به گزینهای بسیار مناسب و محبوب برای افرادی تبدیل کرده که تمام دندانهای خود را از دست دادهاند. مهمترین مزایای ایمپلنت اوردنچر عبارتند از:
| مزایا 🌟 | توضیح 📌 | تاثیر بر زندگی روزمره 💡 |
| ثبات و پایداری 🦷 | اوردنچر روی ایمپلنت ثابت میماند و حرکت نمیکند | صحبت کردن و غذا خوردن بدون نگرانی از لغزش پروتز |
| توانایی جویدن بهتر 🍏 | ثبات بالای پروتز باعث افزایش قدرت جویدن میشود | میتوانید انواع غذاها از جمله گوشت و سبزیجات سفت را راحت بخورید |
| حفظ سلامت استخوان 🦴 | ایمپلنت فک را تحریک میکند و از تحلیل استخوان جلوگیری میکند | جلوگیری از تغییر شکل صورت و فرورفتگی لثه |
| ظاهر طبیعی 😁 | شبیه دندان و لثه طبیعی به نظر میرسد | لبخند طبیعی و افزایش اعتماد به نفس |
| راحتی و آسایش 🛋️ | پروتز متناسب با دهان ساخته میشود و فشار روی لثه کمتر است | استفاده طولانی بدون درد یا ناراحتی |
| طول عمر بالا ⏳ | با مراقبت مناسب، دوام ایمپلنت اوردنچر بیشتر از پروتز معمولی است | نیاز کمتر به تعویض یا تعمیر پروتز |
| بهبود گفتار 🗣️ | حرکت کمتر پروتز باعث وضوح بیشتر صداها میشود | راحتتر میتوانید صحبت کنید و لبخند بزنید |
افزایش ثبات و پایداری
پروتز دندان مصنوعی ثابت در مقایسه با پروتزهای معمولی، پایداری قابل توجه و بیشتری ارائه میدهد. همانطور که اشاره شد، ایمپلنتهای دندانی در این روش مانند لنگرهای ایمن عمل میکنند و از جابجایی یا حرکت اوردنچر در حین صحبت کردن یا غذا خوردن جلوگیری میکنند.

بهبود توانایی جویدن
ثبات بالای ایمپلنت اوردنچر باعث بهبود قدرت و راحتی در جویدن غذا میشود. این بدان معنی است که افراد میتوانند از تنوع بیشتری از غذاها لذت ببرند و تجربه لذت بخشی از خوردن غذاهای مورد علاقه خود داشته باشند.
کمک به حفظ سلامت استخوان
ایمپلنت اوردنچر، استخوان فک را تحریک کرده و از تحلیل آن جلوگیری میکند. این مساله به حفظ شکل فک و ساختار صورت کمک میکند و از ایجاد یک ظاهر فرورفته که میتواند با دندان مصنوعی سنتی ایجاد شود، جلوگیری میکند.
به نقل از Herald Open Access
“Implant overdenture is superior to conventional complete denture in terms of stability and retention, and it’s improved the function, esthetics, and phonetics of patients.”
«اوردنچر ایمپلنتی است که از نظر پایداری و نگهداری از دندان مصنوعی کامل سنتی برتر است و عملکرد، زیباییشناسی و آوایی بیماران را بهبود بخشیده است.»
افزایش اعتماد به نفس و عزت نفس
ایمپلنت اوردنچر یا پروتز دندان مصنوعی ثابت، ظاهر و احساس طبیعیتری به افراد میدهد و به افراد اعتماد به نفس قابل توجهی میبخشد تا بدون نگرانی از لیز خوردن یا شل شدن پروتزهای مصنوعی خود لبخند بزنند، صحبت کنند و بخندند.
معایب ایمپلنت اوردنچر چیست؟
با وجود مزایای قابل توجه، ایمپلنت اوردنچر مانند هر روش درمانی دیگری، محدودیتها و معایب خاص خود را دارد که آگاهی از آنها به تصمیمگیری آگاهانهتر بیمار کمک میکند. این معایب معمولاً به شرایط فردی بیمار، نوع اوردنچر انتخابی و میزان رعایت مراقبتهای بعد از درمان بستگی دارد.
- هزینه بالاتر نسبت به پروتزهای معمولی: به دلیل نیاز به جراحی کاشت ایمپلنت و استفاده از قطعات تخصصی نسبت به پروتزهای معمولی از قیمت بالاتری برخوردار است.
- نیاز به جراحی و دوره بهبودی: فرآیند کاشت ایمپلنت مستلزم جراحی و طی شدن دوره جوش خوردن با استخوان فک است.
- طولانی بودن زمان درمان: تکمیل درمان ممکن است چند ماه زمان ببرد، بهویژه در صورت نیاز به پیوند استخوان این دوره طولانی تر خواهد شد.
- لزوم رعایت دقیق بهداشت دهان و دندان: عدم مراقبت مناسب میتواند منجر به التهاب لثه یا کاهش عمر ایمپلنت شود.
- نیاز به مراجعات دورهای: برای بررسی اتصالات، تنظیم اوردنچر و حفظ عملکرد مناسب، مراجعات منظم ضروری است.
- محدودیت برای برخی بیماران: در افراد با بیماریهای کنترلنشده یا تحلیل شدید استخوان فک، انجام این درمان ممکن است با چالش همراه باشد.
مراحل دریافت ایمپلنت اوردنچر به چه شکل است؟
پروسه دریافت ایمپلنت اوردنچر معمولاً شامل چندین مرحله است:
| مرحله 🗂️ | توضیح 📌 | مدت زمان ⏳ | نکات مراقبتی 💡 |
| مشاوره اولیه 🩺 | ارزیابی سلامت دهان و دندان، بررسی تراکم استخوان و تعیین کاندیدای مناسب | ۳۰ تا ۶۰ دقیقه | همه سوالات خود را از دندانپزشک بپرسید و سابقه پزشکی را کامل ارائه دهید |
| کاشت ایمپلنت دندان 🦷 | قرار دادن پیچهای تیتانیومی در استخوان فک | ۱ تا ۲ ساعت | رعایت بهداشت دهان، استفاده از داروهای تجویز شده و جلوگیری از فشار روی ایمپلنت |
| دوره بهبودی ⏳ | جوش خوردن ایمپلنت به استخوان و ایجاد پایه قوی | ۳ تا ۶ ماه | پیروی از دستورات دندانپزشک، استفاده از پروتز موقت در صورت نیاز، جلوگیری از جویدن غذاهای سفت |
| ساخت اوردنچر 🏗️ | ساخت پروتز سفارشی با تناسب دقیق و ظاهر طبیعی | ۱ تا ۲ هفته | همکاری با لابراتوار دندانپزشکی و آزمایش پروتز برای تناسب و راحتی |
| اتصالات و تنظیمات ⚙️ | نصب اوردنچر روی ایمپلنت و انجام تنظیمات لازم | ۳۰ تا ۶۰ دقیقه | اطمینان از ثبات پروتز، بررسی راحتی بیمار و آموزش مراقبت روزانه |
| مراجعات بعدی 🔄 | بررسی سلامت ایمپلنت و اوردنچر، تنظیمات تکمیلی | هر ۶ تا ۱۲ ماه | مراقبت مداوم و بررسی منظم برای طول عمر بالاتر ایمپلنت |
مشاوره اولیه
اولین قدم برای دریافت پروتز دندان مصنوعی ثابت، مشورت با یک متخصص دندانپزشکی (متخصص پروتزهای دندانی، متخصص ایمپلنت و یا جراح دهان و دندان) است. در طول این مشاوره، دندانپزشک سلامت دهان و دندان شما را ارزیابی میکند، اهداف و انتظاراتتان را مورد بحث قرار میدهد و تعیین میکند که آیا شما کاندید مناسبی برای اوردنچر هستید یا خیر.
متخصص همچنین همه چیز درباره این فرآیند را با جزئیات توضیح داده، به هر سوالی که ممکن است داشته باشید پاسخ میدهد و یک برنامه درمانی جامع به شما ارائه خواهد داد.
کاشت ایمپلنت دندان
اگر شما کاندید مناسبی برای ایمپلنت اوردنچر تشخیص داده شوید، قدم بعدی قرار دادن ایمپلنتهای دندانی در قوس فکی شما خواهد بود. این یک روش جراحی است که شامل قرار دادن فیکسچرهای تیتانیومی در استخوان فک است.

تعداد ایمپلنتهای مورد نیاز، به وضعیت هر بیمار و نوع اوردنچر انتخابی بستگی دارد. پس از کاشت ایمپلنت، یک دوره بهبودی چند ماهه لازم است تا ایمپلنتها به استخوان فک جوش خورده و پایهای قوی ایجاد کنند.
دوره بهبودی
در دوره بهبودی پس از کاشت ایمپلنت اوردنچر، رعایت دستورالعملهای متخصص برای موفقیت درمان بسیار اهمیت دارد. انجام مراقبتهای بعد از ایمپلنت دندان در واقع به جوش خوردن موفقیت آمیز ایمپلنت و کاهش خطر عوارض آن کمک میکند. دندانپزشک شما ممکن است پروتزهای موقتی برای استفاده در طول مدت دوره نقاهت ارائه دهد.
ساخت اوردنچر
مرحله بعدی ساخت پروتز دندان مصنوعی ثابت شما است. این مرحله شامل ایجاد یک پروتز سفارشی است که روی ایمپلنتها قرار میگیرد. دندانپزشک شما از نزدیک با یک لابراتوار دندانپزشکی کار خواهد کرد تا از تناسب دقیق و ظاهر طبیعی پروتز آماده شده، اطمینان حاصل کند.

اتصالات و تنظیمات
هنگامی که پروتز دندان مصنوعی ثابت ساخته شد، یک جلسه ویزیت با دندانپزشک خود خواهید داشت. دندانپزشک اطمینان حاصل میکند که اوردنچر به درستی روی ایمپلنتها و قوس فکی قرار میگیرد و هر گونه تنظیمات لازم را برای راحتی و عملکرد مطلوب ایمپلنت اوردنچرها انجام میدهند. دندانپزشک همچنین دستورالعملهایی در مورد نحوه مراقبت و نگهداری از اوردنچر ارائه میدهد.
طول عمر ایمپلنت اوردنچر چقدر است؟
طول عمر ایمپلنت اوردنچر به مجموعهای از عوامل از جمله کیفیت ایمپلنتهای استفادهشده، وضعیت استخوان فک، دقت انجام جراحی و میزان رعایت مراقبتهای بهداشتی توسط بیمار بستگی دارد. در صورت جوش خوردن موفق ایمپلنتها با استخوان فک و پیگیری منظم مراجعات دندانپزشکی، ایمپلنتها میتوانند بیش از ۱۵ تا ۲۰ سال و در بسیاری از موارد حتی مادامالعمر دوام داشته باشند. خود پروتز اوردنچر نیز معمولاً عمر طولانی دارد، اما ممکن است پس از چند سال استفاده، بسته به میزان سایش و شرایط دهان، نیاز به تنظیم یا تعویض داشته باشد. رعایت بهداشت دهان، پرهیز از عادات مخرب مانند سیگار کشیدن و انجام معاینات دورهای، نقش مهمی در حفظ عملکرد و افزایش ماندگاری ایمپلنت اوردنچر ایفا میکند.
👋 برای آگاهی بیشتر از روند درمان ایمپلنت دندان، مطالعه سایر مقالات وبسایت آرتمان درمان توصیه میشود.
حداقل و حداکثر سن مناسب برای ایمپلنت دندان چه سنی است؟
آیا پیوند استخوان در ایمپلنت دندان ضروری است؟ (پاسخ کامل به این سوال)
دوام ایمپلنت دندان چقدر است؟ (+ روش های افزایش طول عمر ایمپلنت)
✅نتیجهگیری: ارتقای کیفیت زندگی با ایمپلنت اوردنچر
ایمپلنت اوردنچر با ارائه ثبات بالا، راحتی در جویدن، حفظ سلامت استخوان و ظاهری طبیعی، گزینهای ایدهآل برای افرادی است که دندانهای خود را از دست دادهاند یا از پروتزهای سنتی ناراضی هستند. این روش نه تنها کیفیت زندگی را بهبود میبخشد بلکه اعتماد به نفس و لبخند طبیعی را به بیماران بازمیگرداند. انتخاب اوردنچر مناسب و پیروی از مراحل درمان، از مشاوره اولیه گرفته تا نصب و تنظیم پروتز، اهمیت بالایی دارد تا نتیجهای پایدار و موفقیتآمیز حاصل شود، و اگر به دنبال مرکزی هستید که در تمام مراحل درمان — از نخستین جلسه مشاوره تا پایان مسیر — بر این اصول تکیه داشته باشد، در آرتمان درمان آمادهایم با همین نگاه از شما میزبانی کنیم.
❓پاسخ به سوالات رایج درباره ایمپلنت اوردنچرها
مطالعات، افزایش رضایت بیماران و نیز بهبود کیفیت زندگی آنها را هنگام استفاده از اوردنچرهای متصل به ایمپلنت نسبت به دندانهای مصنوعی معمولی نشان میدهد.
بسته به شرایط استخوان و نوع درمان، معمولاً بین ۳ تا ۶ ماه زمان میبرد.
ممکن است کمی ناراحتی در روزهای اول وجود داشته باشد، اما با مسکن قابل کنترل است.
با مراقبت مناسب، میتواند بیش از ۱۵-۲۰ سال دوام داشته باشد.
معمولاً ۲ تا ۴ هفته طول میکشد تا به جویدن و صحبت کردن با پروتز جدید عادت کنید.
دریافت مشاوره و نوبت آنلاین
فیلد های "*" اجباری هستند
مقالات مرتبط
بررسی جدیدترین روش های ترمیم دندان (با تمرکز بر بیلداپ)
در سال های اخیر، دندانپزشکی ترمیمی و زیبایی شاهد تغییراتی
هرچیزی که باید درباره پروتز دندان پارسیل بدانید (دندان مصنوعی تکه ای)
از دست دادن دندانها میتواند بهطور قابلتوجهی بر اعتمادبهنفس، توانایی
آفت دهان چیست و چگونه با این 9 روش درمان می شود؟
آفت دهان که به عنوان (aphthous ulcers) نیز شناخته می
4 دیدگاه در “بررسی ایمپلنت های دندانی اوردنچر و میزان رضایت بیماران”
بنده ی سوال داشتم پدر من چندسالی میشه که دو سه تا دندون بیشتر نداره الان اگه بخواد اونارو بکشه دندون مصنوعی بذاره مشکلی براش ایجاد نمیشه؟
تصمیم در مورد حفظ و یا کشیده شدن چند دندان باقیمانده باید با نظر تخصصی متخصص پروتز انجام شود. گاه اگر همان چند دندان ریشه و بافت نگاهدارنده مناسبی داشته باشند، حفظ می شوند و می توانند به گیر پروتز آینده کمک کنند. بهتر است رادیوگرافی تهیه بفرمایند و توسط متخصص پروتز معاینه شوند تا بر اساس طرح درمان در نظر گرفته شده، در مورد دندان ها تصمیم گیری شود. سلامت باشند
سلام ۱۷ سالمه بیشتر دندون هام شیری هست و این ژن خانوادگیمونه از شانسمون.خیلی هم تعداد کمی هستن و با فاصله بسیار زیاد و همینطور ریز حتی گاز زدن سیب هم به سختیه برام تو این سن.دندون مصنوعی بر پایه ایمپلنت میتونم انجام بدم؟ تو چه سنی انجام بدم؟ و هزینش چقدره؟
ممنون میشم جوابمو بدین
با سلام
نیاز هست که هم به صورت کلینیکی و هم رادیوگرافی معاینه شوید و طرح درمانتان توسط مشاوره و هم فکری چند متخصص مشخص شود تا نهایتا بتوان درمانی درست و اصولی را با توجه به سن پایین شما انجام داد.
سلامت باشید