چرا ممکن است ایمپلنت دندان دچار شکستگی شود؟
- تـاریـخ:
- دسته بندی: مقالات, مقالات ایمپلنت دندان
- نوشته شده توسط آرتمان درمان
- بدون نظر کاربران
فهرست عناوین این نوشتار
درمان با ایمپلنت دندان، با میزان موفقیت بلندمدت بیش از ۹۵ درصد، یکی از استوارترین دستاوردهای دندانپزشکی مدرن است. این آمار بالا، گواهی بر قابلیت اطمینان این درمان است. با این حال، در موارد بسیار نادری، ممکن است با یک عارضه مکانیکی جدی به نام شکستگی ایمپلنت دندان مواجه شویم.
این اتفاق، اگرچه نادر است، اما می تواند برای بیمار تجربه ای نگران کننده باشد. درک دقیق دلایل وقوع این پدیده و شناخت پروتکل های درمانی صحیح، کلید مدیریت موفقیت آمیز این چالش و بازگرداندن سلامت و عملکرد به بیمار است. این مقاله، یک کالبدشکافی علمی و دقیق از این موضوع است.
ماهیت شکستگی ایمپلنت دندان به صورت دقیق تعریف می شود
ابتدا باید ماهیت این مشکل را به درستی درک کنیم. شکستگی ایمپلنت دندان یک شکست مکانیکی در بدنه خود ایمپلنت (پایه تیتانیومی که در استخوان قرار دارد) است. این پدیده را باید از سایر مشکلات، مانند:
- شل شدن پیچ اباتمنت
- شکستن روکش سرامیکی
- یا شکست بیولوژیک (عدم جوش خوردن به استخوان) تفکیک کرد.
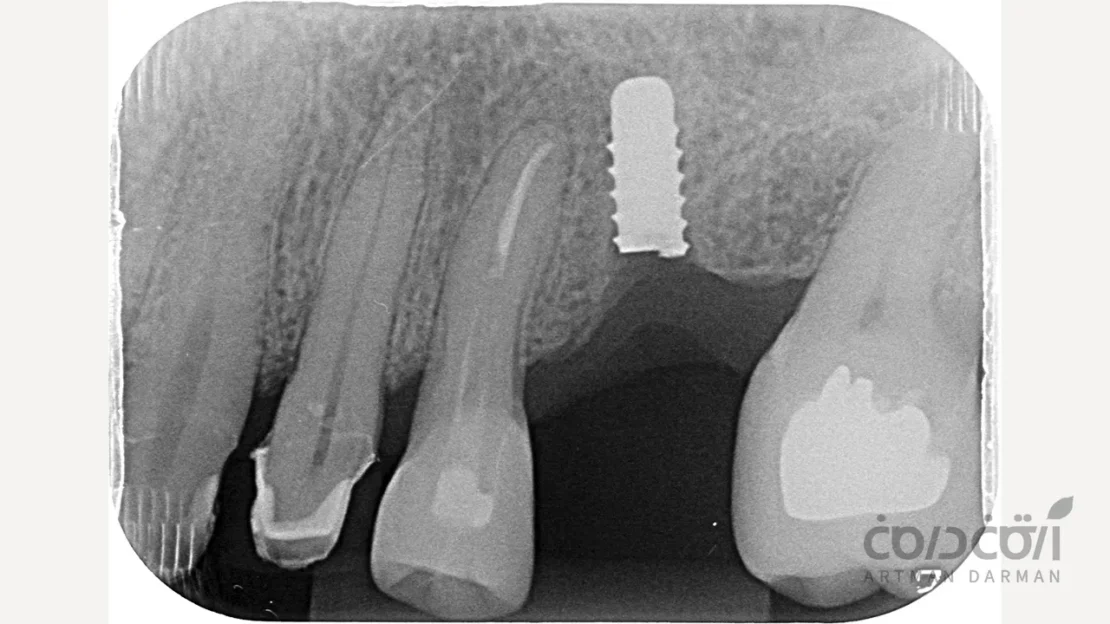
در یک شکستگی ایمپلنت دندان واقعی، خود پایه تیتانیومی که به طور کامل به استخوان جوش خورده است، دچار ترک یا شکست کامل می شود. این شکستگی معمولاً در ضعیف ترین نقطه ایمپلنت، یعنی در ناحیه گردن آن (نزدیک به محل اتصال به اباتمنت) رخ می دهد.
دلایل اصلی و عوامل خطرآفرین در شکستگی ایمپلنت دندان کدامند؟
مهم ترین نکته ای که میبایست در این خصوص بدانیم این است که شکستگی ایمپلنت دندان یک اتفاق تصادفی نیست، بلکه نتیجه نهایی یک فرآیند تدریجی است که در آن، نیروهای وارده بر ایمپلنت از آستانه تحمل مکانیکی آن فراتر رفته اند. این پدیده عمدتاً ریشه در اصول بیومکانیک دارد. بنابراین بیایید ابتدا به بررسی عوامل خطر بیومکانیکی بپردازیم.
شایعترین و مهمترین دلایل وقوع شکستگی ایمپلنت دندان عوامل بیومکانیکی هستند که در جدول زیر به تفصیل آمدهاند:
| عامل ⚡ | توضیح 🔍 | تاثیر بر ایمپلنت 🦷 |
| بارگذاری بیش از حد / خستگی فلز | نیروهای مکرر و شدید از حد طراحی فلز فراتر میروند | ایجاد ترکهای میکروسکوپی → شکست خستگی |
| دندان قروچه / براکسیسم 😬 | فشارهای افقی و شدید حین خواب | افزایش ریسک ترک و شکست ایمپلنت |
| طراحی نامناسب پروتز 🛠️ | کانتیلور یا توزیع ناصحیح نیروها | تمرکز نیرو → آسیب مکانیکی ایمپلنت |
۱. عوامل بیومکانیکی به عنوان اصلی ترین دلیل شکستگی
این دسته از عوامل، شایع ترین و مهم ترین دلایل وقوع شکستگی ایمپلنت دندان هستند:
بارگذاری بیش از حد و خستگی فلز (Overloading and Metal Fatigue)

تیتانیوم، با وجود استحکام بسیار بالا، مانند هر فلز دیگری دارای یک آستانه خستگی است. به این معنا که اگر به طور مکرر تحت فشارهایی فراتر از حد طراحی خود قرار گیرد، به تدریج دچار ترک های میکروسکوپی می شود.
طبیعی است که این ترک ها با گذشت زمان و با ادامه بارگذاری، رشد کرده و در نهایت منجر به شکست ناگهانی قطعه می شوند. این فرآیند “شکست خستگی” نامیده می شود و عامل اصلی شکستگی ایمپلنت دندان است.
دندان قروچه شدید یا براکسیسم (Severe Bruxism)
این عادت پارافانکشنال، مهم ترین عامل بالینی در ایجاد بارگذاری بیش از حد است. نیروهایی که در حین دندان قروچه (به خصوص در خواب) به دندان ها و ایمپلنت ها وارد می شود، می تواند چندین برابر نیروی جویدن عادی باشد. این نیروهای مداوم، افقی و شدید، به تدریج ساختار ایمپلنت را دچار خستگی کرده و ریسک شکستگی را به شدت افزایش می دهند.
طراحی نامناسب پروتز (Inadequate Prosthetic Design)
روکش یا بریجی که روی ایمپلنت قرار می گیرد، نقش مهمی در توزیع صحیح نیروها دارد. یک طراحی نامناسب می تواند نیروها را به صورت مخرب بر روی ایمپلنت متمرکز کند. به عنوان مثال، ایجاد یک پروتز کانتی لِوِر (طُرّه) که در آن یک دندان بدون پایه به روکش ایمپلنت متصل است، یک نیروی اهرمی ویرانگر ایجاد کرده و احتمال شکستگی ایمپلنت دندان را به شدت بالا می برد.
۲. عوامل مرتبط با خود ایمپلنت
برخی عوامل هم مربوط به خود ساختار ایمپلنت مورد استفاده می شوند و می توانند تاثیراتی بر شکستگی فیکسچر به همراه داشتهباشند:
انتخاب قطر نامناسب ایمپلنت

این مورد تقریبا یک اشتباه رایج در طرح درمان است. استحکام یک ایمپلنت رابطه مستقیمی با قطر آن دارد. استفاده از یک ایمپلنت با قطر کم (مثلاً ۳.۵ میلی متر) برای جایگزینی یک دندان آسیاب بزرگ (مولر) که نیروهای جویدن سنگینی را تحمل می کند، مانند قرار دادن یک ستون نازک زیر یک سقف سنگین است. این انتخاب نادرست، ایمپلنت را مستعد شکستگی ایمپلنت دندان می کند.
نقص در طراحی یا ساخت ایمپلنت
اگرچه این مورد در برندهای معتبر و پریمیوم بسیار نادر است، اما در سیستم های ایمپلنت ارزان قیمت و با کنترل کیفیت پایین، ممکن است نقص های میکروسکوپی در طراحی یا فرآیند ساخت وجود داشته باشد که به عنوان نقطه شروع ترک عمل کنند.
۳. عوامل مرتبط با موقعیت قرارگیری ایمپلنت
کاشت ایمپلنت با زاویه نامناسب هم می تواند باعث شکستگی آن در آینده شود. در واقع ایمپلنت ها برای تحمل نیروهای عمودی (در راستای محور طولی خود) طراحی شده اند. اگر یک ایمپلنت با زاویه زیاد کاشته شود، نیروهای جویدن به صورت خمشی و برشی به آن وارد می شوند. این نیروهای غیرمحوری، استرس را در ناحیه گردن ایمپلنت متمرکز کرده و ریسک شکستگی ایمپلنت دندان را افزایش می دهند.

فرآیند تشخیص و علائم شکستگی ایمپلنت دندان چگونه است؟
بیماری که دچار شکستگی ایمپلنت دندان شده، معمولاً با علائم زیر مراجعه می کند:
- روکش که قبلاً کاملاً ثابت بوده، ناگهان دچار لقی شدید می شود.
- ممکن است درد مبهم یا تیزی در ناحیه ایمپلنت، به خصوص هنگام جویدن، احساس شود.
- به دلیل لقی و تجمع باکتری در محل شکستگی، ممکن است لثه دچار التهاب، قرمزی یا حتی تشکیل آبسه شود.
اگر به دنبال درمان هایی با رویکرد محافظه کارانه و کم تهاجم هستید که با کمترین آسیب به دندان، باعث حفظ حداکثری ساختار دندان طبیعی شما شود، جهت دریافت مشاوره تخصصی و طرح درمان اختصاصی شماره تماس خود را وارد فرمایید
تشخیص قطعی توسط دندانپزشک و با استفاده از روش های زیر انجام می شود:
- معاینه بالینی: بررسی لقی غیرطبیعی پروتز.
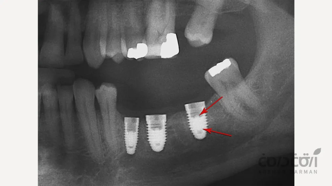
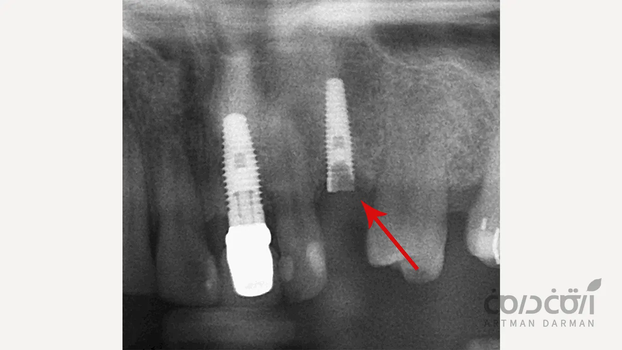
- تهیه رادیوگرافی (X-ray): این مهم ترین ابزار تشخیصی است. در رادیوگرافی، یک خط شکست واضح در بدنه ایمپلنت قابل مشاهده است. گاهی برای بررسی دقیق تر، از اسکن سه بعدی (CBCT) استفاده می شود.
پروتکل درمانی برای ایمپلنت شکسته چگونه است؟
درمان شکستگی ایمپلنت دندان یک فرآیند پیچیده، چندمرحله ای و نیازمند مهارت بسیار بالای جراح است. متاسفانه، هیچ راهی برای “ترمیم” یک ایمپلنت شکسته وجود ندارد و کل ساختار باید از دهان خارج شود.
مراحل درمان ایمپلنت شکسته
| مرحله ⏱️ | توضیح 🔍 | هدف 🦷 |
| خارج کردن قطعات شکسته 🛠️ | استفاده از دریل Trephine یا کیتهای Explantation | حفظ حداکثری استخوان سالم |
| بازسازی نقص استخوانی 🦴 | جراحی پیوند استخوان (GBR) | آمادهسازی فک برای ایمپلنت جدید |
| دوره انتظار و بهبودی ⏳ | ۶ تا ۹ ماه | تثبیت استخوان پیوندی |
| کاشت ایمپلنت جدید 🦷 | انتخاب قطر مناسب و کاشت در استخوان بازسازی شده | تضمین ثبات و طول عمر ایمپلنت |
مرحله اول خارج کردن قطعات شکسته است

این مرحله، چالش برانگیزترین بخش درمان است. قطعه بالایی ایمپلنت که شکسته و لق است، به راحتی خارج می شود. اما قطعه پایینی (آپیکال) هنوز به طور کامل به استخوان جوش خورده است (اوسئواینتگریشن). خارج کردن این قطعه بدون آسیب رساندن شدید به استخوان اطراف، نیازمند تکنیک و ابزارهای خاص است.
جراح با استفاده از دریل های مخصوصی به نام ترفاین (Trephine Drill) یا کیت های پیشرفته خارج کردن ایمپلنت (Explantation Kits)، با دقت استخوان اطراف ایمپلنت را برداشته و قطعه باقیمانده را خارج می کند. هدف اصلی در این مرحله، حفظ حداکثری استخوان سالم باقیمانده است.
مرحله دوم بازسازی نقص استخوانی وسیع است
خارج کردن ایمپلنت شکسته، تقریباً همیشه یک نقص استخوانی بزرگ و قیفی شکل در فک ایجاد می کند. کاشت مجدد ایمپلنت در این نقص به هیچ عنوان امکان پذیر نیست. بنابراین، مرحله بعدی، بازسازی کامل این نقص با استفاده از جراحی پیوند استخوان (Guided Bone Regeneration – GBR) است. جراح حفره را با حجم زیادی از مواد پیوند استخوان پر کرده و روی آن را با یک ممبرین محافظ می پوشاند.
مرحله سوم دوره انتظار و بهبودی است
این مرحله نیازمند صبر و شکیبایی بالای بیمار است. بدن باید فرصت کافی داشته باشد تا مواد پیوندی را به استخوان زنده، متراکم و باکیفیت تبدیل کند. این فرآیند معمولاً بین ۶ تا ۹ ماه به طول می انجامد. در طول این دوره، از راهکارهای موقت برای پر کردن جای خالی دندان استفاده می شود.
مرحله چهارم کاشت ایمپلنت جدید است

پس از اتمام دوره بهبودی و تایید موفقیت پیوند استخوان با استفاده از اسکن سه بعدی، می توان برای کاشت یک ایمپلنت جدید اقدام کرد. ایمپلنت جدید معمولاً با قطری بزرگتر از ایمپلنت اولیه انتخاب می شود. چرا؟ تا در استخوان بازسازی شده، به ثبات کافی دست یابد.
راهکارهای پیشگیری از شکستگی ایمپلنت دندان چه هستند؟
خبر خوب این است که شکستگی ایمپلنت دندان یک عارضه کاملاً قابل پیشگیری است. با رعایت اصول علمی در تمام مراحل درمان، می توان این ریسک بسیار نادر را به نزدیک صفر رساند.
طرح درمان دقیق و مبتنی بر اصول بیومکانیک
این مهم ترین گام است. انتخاب ایمپلنت با قطر مناسب برای هر ناحیه، پرهیز از طراحی های پرخطر مانند کانتی لور و برنامه ریزی برای توزیع صحیح نیروها.
انتخاب ایمپلنت با برند معتبر و باکیفیت
برندهای پیشرو، سرمایه گذاری هنگفتی در مهندسی، علم مواد و کنترل کیفیت محصولات خود می کنند تا از استحکام مکانیکی و پایداری بلندمدت آن ها اطمینان حاصل شود.
مدیریت عادات پارافانکشنال مانند دندان قروچه

تشخیص و مدیریت براکسیسم با استفاده از محافظ های شبانه (نایت گارد) برای محافظت از ایمپلنت در برابر نیروهای مخرب، کاملاً ضروری است.
رعایت چکاپ های منظم دندانپزشکی
مراجعات دوره ای به دندانپزشک اجازه می دهد تا وضعیت پروتز و نحوه توزیع نیروها (اکلوژن) را بررسی کرده و هرگونه مشکل احتمالی را قبل از اینکه منجر به فاجعه شود، شناسایی و اصلاح کند.
بهترین رویکرد پیشگیری از طریق درمان اصولی ممکن می شود …
شکستگی ایمپلنت دندان یک عارضه مکانیکی جدی اما بسیار نادر است که تقریباً همیشه ریشه در نقض اصول بیومکانیک دارد. این اتفاق، پایان راه درمان نیست و با پروتکل های پیشرفته جراحی بازسازی، می توان با موفقیت آن را مدیریت کرد. با این حال، مهم ترین پیام این است که این عارضه به طور کامل قابل پیشگیری است.
👋 برای آگاهی بیشتر از روند درمان ایمپلنت دندان، مطالعه سایر مقالات وبسایت آرتمان درمان توصیه میشود.
متخصص ایمپلنت دندان کیست: چه دندانپزشکی جراحی ایمپلنت انجام میدهد؟
6 نکته در انتخاب بهترین متخصص ایمپلنت در غرب تهران
راهنمای جامع تعویض ایمپلنت دندان (بررسی دلایل تعویض + نحوه درمان)
✅در مجموعه ما، فلسفه درمانی بر پایه یک اصل استوار است …
ما در آرتمان درمان با درک عمیق از اصول بیومکانیک و با استفاده از دقیق ترین ابزارهای تشخیصی دیجیتال، طرح درمانی را تدوین می کنیم که نه تنها از نظر بیولوژیک موفق باشد، بلکه از نظر مکانیکی نیز برای مقاومت در برابر نیروهای جویدن در بلندمدت، کاملاً مهندسی شده باشد. انتخاب صحیح قطر ایمپلنت، طراحی پروتز اصولی و مدیریت ریسک فاکتورهایی مانند دندان قروچه، بخش جدایی ناپذیر پروتکل درمانی ما برای جلوگیری از وقوع شکستگی ایمپلنت دندان است.
❓پرسش و پاسخ های کوتاه
خیر، این یک عارضه بسیار نادر است و طبق مطالعات، شیوع آن کمتر از ۱ درصد در بازه های زمانی ۱۰ تا ۱۵ ساله است.
خیر، تمام مراحل جراحی تحت بی حسی موضعی کامل انجام می شود و بدون درد است. ناراحتی پس از عمل نیز با داروهای تجویز شده به خوبی کنترل می شود.
خیر، به هیچ عنوان. ایمپلنت شکسته باید به طور کامل خارج و با یک ایمپلنت جدید جایگزین شود.
بله، برندهای معتبر با کنترل کیفیت بالا و طراحی مهندسی شده، استحکام مکانیکی قابل اعتمادتری را ارائه می دهند و ریسک نقص در ساخت را به حداقل می رسانند.
دریافت مشاوره و نوبت آنلاین
فیلد های "*" اجباری هستند
مقالات مرتبط
هرآنچه که باید درباره لمینت سرامیکی دندان بدانید
در میان تمام روش های اصلاح طرح لبخند، لمینت سرامیکی
متخصص ایمپلنت دندان کیست: چه دندانپزشکی جراحی ایمپلنت انجام میدهد؟
افرادی که قصد دارند دندان یا دندانهای از دسترفته خود
با مهم ترین مراقبت های بعد از بلیچینگ دندان آشنا شوید
همانطور که میدانید، بلیچینگ یک درمان زیبایی با هدف سفید